The nervous system is derived from the ectoderm of the trilaminar germ disc. This is where neurulation starts. Describe the first part of neurulation
what does Superior ectoderm become Vs inferior surface ?
During neurulation (day 20-22), ectoderm folds to create the neural tube, which then pinches off to become the nervous system
Superior ectoderm becomes the luminal surface of the neural tube (becomes the ventricles), whereas the inferior surface becomes the pial surface (becomes the pia mater)
What is the nervous systemderived from?
The nervous system is derived from the ectoderm of the trilaminar germ disc.
Outline 5 steps of neural development
1)Neurogenesis: creates the correct number of nerve cells
2)Migration and differentiation: gets the right nerve cell types to the right place
3)Axon guidance: axons grow into correct target area
4)Synaptogenesis: making synapses
5)Activity-dependent refinement: neural circuit is tested and perfected.
what does the neural tube begin as?
Where do these cells migrate and how do cells divide in the tube?
The neural tube begins as a single layer of radial glial cells. These migrate from pial–>luminal surface. They divide perpendicularly to increase neural tube SA til tube closes off
After neural tube closes, luminal surface chemicals change gene expression for neuroepithelial cell division to be parallel, not perpendicular
The upper of the 2 daughter cells then differentiate to form neuroblasts
What can go wrong with neurogenesis?
Mutations affecting neuroepithelial cell division affect brain size
Eg a mutation leading to the loss of microcephalin protein disrupts mitotic control. This reduces no. of nerve cells produced =microcephaly–> learning difficulties
The 2nd stage in neural development is Migration and Differentiation, which gets the right cells to the right place. Describe this
What happens at 8-10 weeks?
The neuroblast puts out fine projections up the radial glial cell, seeking chemical signals/morphogens, which draw the neuroblast up to the pial surface
~8-10 weeks: morphogens released from the neural tube dictate neuroblast differentiation by controlling transcription - this attracts the neuroblasts to areas of highest conc.
Each area of the developing nervous system is eventually ‘tagged’ by a specific conc of diff morphogens!
compare differentiation + migration from weeks 8-10 Vs week 12
After week 12, guidance chemicals control nerve cell migration. These are proteins found in diff locations at diff concs.
Some morphogens act as guidance chemicals, and vice-versa
So, morphogens drive neuroblast differentiation between week 8 - 10, whilst guidance chemicals drive migration around week 12
what do cells born in Cerebral Cortex Vs Ganglionic Eminence differentiate into and where do they migrate to?
Cells born in cerebral cortex become excitatory neurones and go upwards towards the pial surface – mediated by reelin (is highly conc below pia mater)
Cells born in Ganglionic eminence become Basal Ganglia cells or Inhibitory interneurons. Basal ganglia cells migrate to the basal ganglia region; inhibitory interneurons migrate to the cerebral cortex
how do neuroblasts start to differentiate?
How does the cerebral cortex develop?
Neuroblasts crawl up the radial glial cells towards the reelin, then start to differentiate
Each new wave of neuroblasts grows past the previous one – i.e. the newest wave of cells ends up closest to the pia (outside of cortex), the oldest end up on the inside of the cortex
Over time, 6 cortical cell layers differentiate to become diff nerve cell types 🤯
Describe the 6 layers of the cerebral cortex during development and where they project to
Deep cortical cells (layers 5+6): differentiate to large pyramidal cells w apical dendrites projecting right to the surface, whereas their axons project into the Thalamus, Spinal cord + Midbrain
Middle layers differentiate to Stellate cells, which receive input from other Cortical + Subcortical areas
Newest cells become Superficial Pyramidal cells, which project their axons to other cortical layers
What other cell types do we get following completion of cortical development? + when does it fully develop
Following the completion, we get:
Astrocytes derived from the radial glial cells
Inhibitory interneurons + Oligodendrocytes derived from the ganglionic eminence
Finally, radial glial cells turn into glia, and the reelin-producing & initial neuroblast layer ‘disappear’, leaving a developed cerebral cortex 4-6 weeks before birth🤩
What can go wrong with differentiation and migration (2nd stage) ?
Mutations affecting migratory signals disrupt cortical organisation
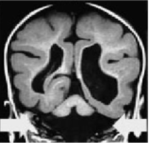
Eg If reelin gene is mutated=lissencephaly→severe learning difficulties and epilepsy
This is as the cells intended to be superficial end up in deep layers and vice-versa. Therefore cortical layers= inside out + the cortex itself is too thick
What can go wrong with differentiation and migration? Specifically mention mutations of the cytoskeleton
Cytoskeleton mutations affect neuroblast ability to migrate
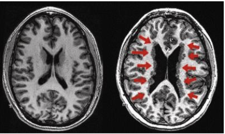
Eg: loss of doublecortin protein in females -> leads to Periventricular Heterotopia (clumps of abnormally located grey matter) → severe learning difficulties, Epilepsy.
Doublecortin protein is on the X-linked DCX gene, so females more commonly affected + is a dominant allele
What does the axon growth cone consist of?
Attractive and repulsive receptors are in the filopodia membrane:
Attractive receptors bind specific signals, initiating actin bundle growth –the filopodia get longer in the direction of the signal
However, binding to repulsive receptors disassemble actin bundles, so filopodia shrink
How does the axon grow during axon guidance?
Due to the signalling chemical conc gradient, attractive fibres are stimulated strongly at one end, and repulsive ones at the other end → therefore axon grows in 1 direction towards attractive receptors
En route, a series of chemical ‘way-points’ alter the expression of receptors, changing the course of the axon’s growth so that they don’t interfere with other structures
Give a specific example to show the unidirectional and specific axon growth
Development of ?:
When cell is 1st born, it ?
However, once the ?, downregulation ? + ? causes the growth cone to ?
This occurs until ?
Development of Nociceptor Relay cells in the Spinal cord:
When cell is 1st born, it responds+grows to attractive signals from the floor plate
However, once the axon reaches the floor plate, downregulation of the attractive receptors + expression of the repulsive receptors causes the growth cone to grow laterally away from the floor plate
This occurs until another set of signals changes receptor expression.
Describe how growth cones use adhesion techniques to grow
Growth cones only grow through tissues in which they can adhere to the ECM - therefore can only grow thru white matter + don’t disrupt grey matter
In the ECM of white matter, laminin proteins bind to comp molecules in the growth cone, eg integrin
This binding gives filopodia traction to grow!
These molecules aren’t expressed in grey matter , therefore the growth cone cannot produce sufficient traction to grow
Illustrate synaptogenesis, using development of fast excitatory synapses as an example
If the ? from a ? comes into contact w ?, they ? that develop a ?
The dendrite produces a ?, whereas the axon puts out a ?
Atp the synapse can ?
EG: between Muscle Spindle afferent and its own Motor neurone
If the Filopodia from a dendrite comes into contact w comp. proteins on an axon, they bind + produce signals that develop a primitive synapse
The dendrite produces a primitive Spine w Receptors, whereas the axon puts out a primitive Synaptic Bouton.
Atp the synapse can j act as a ‘test’ synapse
Compare how useless synapses are identified and removed VS how new and useful synapses are identified?
(use fast excitatory glutamate synapses as an example again)
New ‘test’ synapses= ?; doing something ? releases ?–> binds to ?
BUT ?=little effect as most ?, which don’t get activated by ?. If this happens a lot, ?
If ? are activated at once, ?–> ? receptors activated by ?, allowing ?
Ca initiates ?; it upregulates ? + upregulates ?
New ‘test’ synapses= few working glut receptors; doing something involving the synaptic connection releases glut–> binds to postsynaptic glut receptors
BUT activation of a single synapse=little effect as most receptors are NMDA, which don’t get activated by ligand-binding unless the membrane they’re in is strongly depolarised. If this happens a lot, synapse isn’t useful, so removed
If multiple synapses are activated at once, dendrite is depolarised–> NMDA receptors activated by glut-binding, allowing Ca entry to the spine.
Ca initiates long-term potentiation of useful synapses; it upregulates glut production in synaptic bouton + upregulates regular ligand-gated AMPA receptors
What is synaptic plasticity? + how does it change
Synaptic plasticity decreases during development – v high in the fetus, high in babies but much lower in adults
So babies who suffer severe brain injuries can recover a great deal of function as the synaptic connections can re-route themselves + work round the problem
What is the significance of synaptic plasticity? Use a clinical example
Stimulating appropriate synapses is vital in early life (during the ‘critical period’)
Eg if one eye is compromised in early life (congenital cataract), synapses won’t be stimulated in the visual pathway for that eye–> few connections, therefore other eye will dominate the visual cortex unless there is fast intervention!