Quais os quatro principais achados clínicos da Obstrução Intestinal?
Qual o achado clínico precoce de uma Obstrução Intestinal ALTA?
Vômitos precoces → Alcalose metabólica
Quais as duas principais causas de Obstrução Intestinal FUNCIONAL?
(1) Íleo paralítico (difusa)
(2) Síndrome de Ogilvie (pseudo-obstrução)
Qual causa de Obstrução Intestinal Funcional acomete classicamente apenas o cólon?
Síndrome de Ogilvie
Qual causa de Obstrução Intestinal Funcional tem relação com pós-operatório, drogas e distúrbios hidroeletrlíticos (HIPOCALEMIA)?
Íleo paralítico
Qual causa de Obstrução Intestinal Funcional costuma ter peristalse preservada?
Síndrome de Ogilvie
Qual causa de Obstrução Intestinal Funcional tem maior relação com pacientes críticos?
Síndrome de Ogilvie.
Quais as quatro medidas terapêuticas propostas para Obstrução Intestinal Funcional por Íleo Paralítico?
Suporte:
Quanto tempo de pós-operatório para que o ID volte a funcionar?
24 horas
Quanto tempo de pós-operatório para que o ESTÔMAGO volte a funcionar?
48 horas
Quanto tempo de pós-operatório para que o CÓLON volte a funcionar?
72 horas
A Síndrome de Ogilvie é encontrada mais em que tipo de paciente?
Pacientes GRAVES – sepse, IAM, trauma.
Quais as duas medidas terapêuticas propostas para Obstrução Intestinal Funcional por Síndrome de Ogilvie?
(1) Neostigmina
(2) Se muito grave: COLONOSCOPIA DESCOMPRESSIVA
Quais as quatro principais causas de Obstrução Intestinal Mecânica em Intestino Delgado?
(1) Aderência
(2) Hérnias
(3) Câncer
(4) Íleo biliar
Quais as três principais causas de Obstrução Intestinal Mecânica em Cólon?
(1) Câncer
(2) Volvo de sigmoide
(3) Divertículo
Quais as quatro principais causas de Obstrução Intestinal Mecânica na Infância?
(1) Intussuscepção
(2) Áscaris
(3) Benzoar (corpo estranho)
(4) Hérnia
Quais as três principais manifestações clínicas de Obstrução Intestinal Mecânica por Intussuscepção?
(1) Dor abdominal
(2) Massa palpável em”Salsicha”
(3) Fezes em framboesa
Quais os três exames complementares propostos para investigação de Obstrução Intestinal Mecânica por Intussuscepção?
(1) Radiografia
(2) USG
(3) Enema baritado
Quais as duas condutas terapêuticas propostas para Obstrução Intestinal Mecânica por Intussuscepção?
(1) Redução com enema ou ar
(2) Se Refratário ou Câncer → Cirurgia
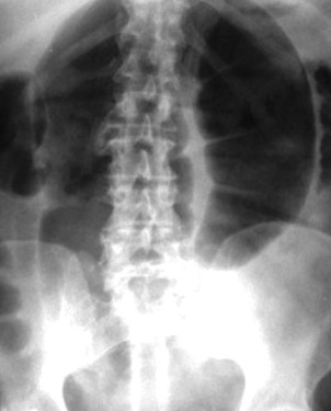
Qual o achado radiográfico que sugere obstrução intestinal em Delgado?
“Empilhamento de moedas”.

Quais os achados radiográficos que sugerem obstrução intestinal em Cólon?
Distensões periféricas e formação de haustrações visíveis

Qual a terapêutica proposta para obstrução intestinal parcial estável?
Sonda Nasogástrica + corrigir distúrbios hidroeletrolíticos + observar 24-48 horas.
Quais as indicações de cirurgia imediata em caso de obstrução intestinal?
Estrangulamento ou Obstrução TOTAL
No que consiste um Volvo de Sigmoide não-complicado?
Ausência de irritação peritoneal