Oral pathology Flashcards

(249 cards)

1
Q

What is the basic investigative process in oral pathology?

A
  1. Presentation of chief concers
  2. Information collection - medical history, patietn history, clinical examiantion and special tests
  3. Information collation
  4. Development of a differential diagnosis - list most likely diagnoses and do specific test to eliminate potential diagnoses
  5. Arrive to definitive diagnosis and commence treatment
How well did you know this?
1
Not at all
2
3
4
5
Perfectly
2
Q

What are the types of differential diagnosis?

A
  1. Clinical differential diagnosis
  2. Radiographic differential diagnosis
  3. Provisional/working/tentative diagnosis
  4. Histological differential diagnosis
  5. Definitive diagnosis
How well did you know this?
1
Not at all
2
3
4
5
Perfectly
3
Q

How is differential diagnosis structured?

A

It is based on likelihood and probability. It is listed from most likely to least likely

How well did you know this?
1
Not at all
2
3
4
5
Perfectly
4
Q

What information can help us with a differential diagnosis?

A
  1. Characteristics of the presenting lesion
  2. History taking
  3. Examination
  4. Investigation

Also some facts that need to be considered:

  1. Prevalence of the lesions
  2. Characteristics of these prevalent lesions

3.

How well did you know this?
1
Not at all
2
3
4
5
Perfectly
5
Q

How do we usually categorised oral lesions?

A
  1. Age group
  2. Site
  3. Pathogenesis (surgical sieve)

*Surveys of biopsies exclude clinically diagnosed oral lesions

How well did you know this?
1
Not at all
2
3
4
5
Perfectly
6
Q

What is the step by step process to understand the arisal of a certain oral lesion?

A

Use this scheme

  1. Developmental origin
  2. Inflammatory origin
  3. Hyperplastic origin
  4. Degenerative origin
  5. Hormonal origin
  6. Neoplastic origin
  7. Idiopathic origin

DIHDHNI

How well did you know this?
1
Not at all
2
3
4
5
Perfectly
7
Q

How do we take history about a lesion?

A
  1. Duration when the patient first started seeing the lesion
  2. Variations in site and character of the lesion
  3. Symptoms - related to the lesion and any systemic symptoms
  4. Onset - any associated hsitorical events related to the lesion
How well did you know this?
1
Not at all
2
3
4
5
Perfectly
8
Q

What is the systematic way to examine a lesion?

A
  1. Site - using anatomical terminology
  2. Size - measure with a probe
  3. Morphology - elevated, flat or depressed
  4. Colour - compare to adjacent normal tissue
  5. Consistency - how it feels (ONLY CLINICAL DO NOT SAY THIS IN EXAM), texture - how the surface looks like (PHOTOS ARE APPROPRIATE :))
How well did you know this?
1
Not at all
2
3
4
5
Perfectly
9
Q

What are some of the terminology in a lesion with elevated morpholoy?

A

Blisters - Fuild filled masses:

  1. Vesicle - upto 0.5cm
  2. Bulla - more than 0.5cm
  3. Pustule - pus of any size

Non-blisters - not fluid filled elevations

  1. Papule - upto 0.5cm
  2. Nodule - from 0.5cm to 2 cm
  3. Tumour - more than 2 cm
  4. Plaque - more than 0.5cm but it is only clightly raised
How well did you know this?
1
Not at all
2
3
4
5
Perfectly
10
Q

What are some of the terminology of a lesion with depressed or flat morphology?

A

Depressed:
1. Ulcer (epithelium lost) - if it is yellow tissue more likely to be an ulcer

  1. Erosion (epithelium lost)/atrophy - if it is redness tissue more likely to be an erosion/atrophy

Flat:
1. Macule - discoloration (freckel)

  1. Patch - big discolouration
How well did you know this?
1
Not at all
2
3
4
5
Perfectly
11
Q

What kind of structure is this?

A

A brown macule - a flat discoloration

Site - RHS lower vermilion shifted around 10 mm from the midline of the lips

Size - measure with peiro probe - around 5-10mm

Morphology - flat, round, heart shapped

Colour - brown

Consistency - NOPE IT IS A PHOTO - Texture - maybe rough, defiantly different from the normal lip

How well did you know this?
1
Not at all
2
3
4
5
Perfectly
12
Q

What kind of structure is this?

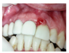
A

It is a white polyp

Site - RHS buccal mucosa adjacanet to the buccal surface of 45

Size - measure with perio probe - around 10-15mm

Morphology - elevated, rounded, sphere like

Colour - white, opaque, with small amounts of pink

Consistency - NOPE IT IS A PHOTO - Texture - rubbery

How well did you know this?
1
Not at all
2
3
4
5
Perfectly
13
Q

What constitutes the oral pharynx?

A

From uvuala to the posterior wall of the pharynx

How well did you know this?
1
Not at all
2
3
4
5
Perfectly
14
Q

What investigation do we have in oral pathology?

A
  1. Biopsy (taking the whole or some of the tissue) - histopathology (investigative process) and exfoliative cytology
  2. Adjunct diagnostic techniques - light-based and vital stains
  3. Other techniques - microbiology, biochemistry, serology
How well did you know this?
1
Not at all
2
3
4
5
Perfectly
15
Q

What are some of the types of biopsy?

A
  1. Scalpel biopsy - incisional or exitional - most common procedure
  2. Fine needle aspiration
  3. Core biopsy
  4. Exfoliative cytology - taking the gunk and spreading it over a film
How well did you know this?
1
Not at all
2
3
4
5
Perfectly
16
Q

What are the consideration during biopsy?

A
  1. The lesion in question
  2. Surrounding anatomy
How well did you know this?
1
Not at all
2
3
4
5
Perfectly
17
Q

What should you do with some of the lesions that you may encounter to understant if they are vascular?

A

Use a small, transparent plate and apply pressure - if the lesion stars to blanch, it is most likely to be vascular

How well did you know this?
1
Not at all
2
3
4
5
Perfectly
18
Q

What are some of the features of pathology that can be observed by a light based system such as Velscope?

A

In some instances, the pathological tissue may take up the light thus resulting in a shadowing of the structures.

Good adjunct but please do not use this as a basis of diagnosis.

How well did you know this?
1
Not at all
2
3
4
5
Perfectly
19
Q

What are some common stains in oral pathology?

A
  1. Haematoxylin and eosin
  2. Periodic Acid-Shiff - used for fungal infection
How well did you know this?
1
Not at all
2
3
4
5
Perfectly
20
Q

What is exfoliative cytology?

A

It is the examination of cells scraped from the surface of the lesion - great for fungal infection - it is quick and easy but may not be used to more complex lesions with pathology below the surface

How well did you know this?
1
Not at all
2
3
4
5
Perfectly
21
Q

What is fine needle aspiratin used for?

A

It is mostly used for intraosseous pathology and fluctuant soft tissue pathology and neck masses

How well did you know this?
1
Not at all
2
3
4
5
Perfectly
22
Q

What is core biopsy used for?

A

It is used to remove the core of some tissues - it is similar to scalpel biopsy but it has more complication than fine needle biopsy.

Mostly used in biopsy in the abdomen but also can be used on a lymph node

How well did you know this?
1
Not at all
2
3
4
5
Perfectly
23
Q

What is the basic way of performing a biopsy?

A
  1. Select the right technique and perform
  2. Send for histopathological investigation
How well did you know this?
1
Not at all
2
3
4
5
Perfectly
24
Q

What is the aspiration test?

A

When you stick a needle into a bony cavity or a swelling, aspirate and determine what is inside.

This could be done to determine further steps - maybe even a biopsy!

You aspirated? What is in the needle? Is it a fluid? Is it solid tissue? Is it puss? Is it blood?

How well did you know this?
1
Not at all
2
3
4
5
Perfectly
25
What can a microbial culture show us?
1. If it is a fungul infection 2. If it is a bacterial infection - antibiotic infection may be needed 3. If it is a viral infection
26
What is a smere vs a swab?
Swab - microbial analysis - need to send to a lab for something like PCR Smere - do a cell analysis - straight under the microscope - think exfoliative cytology
27
What kind of structure is this?
This is herpes labialis - please do not touch them Site - LHS vermillion border and just below the lower LHS conissure Size - scattered but overall spands around 10-20mm, irregularly shapped, diffused Morphology - slightly elevated but mostly flat, distinct, spread, a crop of vesicles Colour - yellow but also some of the lesion is similar to the vermilion border Consistency - NOPE IT IS A PHOTO Texture - rough because some have been bursed but some are smooth
28
What kind of structure is this?
This is a traumatic ulcer Site - the RHS lateral surface of the tongue Size - around 0.5mm Morphology - round, depressed, indented Colour - red with yellow tinge white white defused borders - due to keratin build up Consistency - SIKE IT IS A PHOTO - Texture - looks rough but needs to be assessed properly clinically
29
What kind of structure is this?
Multiple ulceration due to a viral infection - vesicles - please d Site - RHS attached gingival near the posterior region to the mid-line of the hard palate Size - multiple lesions, rnaging from 3-15mm in lengthm width of around 2 mm average Morphology - flat, may be slightly elevated Colour - Yellow Consistency - PHOTO NO CONSISTENCY FOR YOU - Texture - appears to be smooth please check clinically
30
What are the two basic types of mucosa present in the mouth?
1. Attached, orthokeratinised mucosa 2. Non-attached, non-keratinised mucosa
31
What are some of the examples of oral mucosa and oral mucoperiosteum?
Oral mucosa - lining mucosa Oral mucoperiosteum - attached gingiva
32
What are the four layer of the epithelium?
1. stratum basale (D) 2. stratum spinosum (C) 3. stratum granulosum (B) 4. stratum corneum (A) E and F and the papillary and reticular layer accordingly
33
What are some the benign lesion of epithelial layer with idiopathic or developmental origin?
1. Leukoedema 2. White Sponge Nevus 3. Epidermolysis Bullosa
34
What is a leukoedema?
It is a common developmental lesion of the oral mucosa. It is a variation of normal mucosa and it is more common in individuals with dark skin. Mainly in buccal mucosa It can be implicated by the use of tobacco or alcohol. They are asymptomatic, bilateral, poorly defined and it disappears when the mucosa is stretched or whipped with a gauze. Please consider not to stretched the attached gingiva!
35
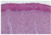
What is the histology of leukoedema?
It appears in the supperficial half of the epithelium. There are large vacuolated cells present with some Pyknotic nuclei. Epithelial hyperplasia present as well as long elongated rete pegs
36
What is the management of leukoedema?
Unless there are any other worrying signs - no management is needed just monitoring
37
What is the White Sponge Naevus?
It is a rare inherited condition. It is autosomal dominants trait and it is early onset. Majority of cases present with oral lesion, other mucosal surface may be affected. It is asymptomatic, diffuse, with white thickening and if irregular thickening
38
What is the histology of White Sponge Naevus?
It appears in the superficial layer of the epithelium. Large vacuolated cells. Pyknotic nuclei and thickened parakeratin layer No dysplasia present
39
What is benign migratory glossitis?
It is also known as geographic tongue - it is quite common and the aetiology is well known It is a result of loss (atrophy) of filiform papillae. Sometimes it can be sore but again not much can be done - if concerning please refer for biopsy
40
What can be commonly seen int eh benign migratory glossitis histologically?
Numerous microabscesses in the surface of epithelium filled with neutrophils and lymphocytes
41
What is hairy tongue (aka coated tongue)?
It is a condition with poorly understood aetiology and a result of increased length of filliform papilla. May be initiated by heavy smoking, atiobiotics and other. Usually asymptomatic. Increased number of chromogenic microorganisms thus a change in colour to usually darker one
42
What do we do in the instance of hariy tongue, migratory glossitis or other benign developmental deviation?
1. Ensure the patient that this is not something pathological 2. Take a smear if needed
43
What are the two major vascular changes and anomalies related to endothelial cell proliferations?
1. Haemangioma - swelling of blood vessels 2. Lymphangioma - swelling of lymph vessels
44
What is haemangioma?
It is a localised vascular proliferation that may be congenital or arise later in life. Could be single or multiple and results in soft tissue lesions usually
45
What is the hsitological appearance of haemangioma?
1. Layer of epileium 2. Perforations of endothelial blood vessels and cells - forming capillaries
46
What type of haemangioma is this?
This is capillary haemangioma due to the small capillary vessels presence
47
What type of haemgioma is this?
This is cavernous haemangioma due to larger blood vessels present
48
What is lymphangioma?
It is a type of lesion that is present in tongue swelling. The epithelium lining is very thin with a large, lymph filled vascular spaces
49
What kind of condition is this?
This a lymphagioma of the tongue - due to the pink limp liquid being observed in the hghlighted areas
50
What kind of condition is this?
This a large cystic lymphagioma involving the lateral side of the neck. It is a rare, congenital, lymphagiomic lesion.
51
What are lingual varices?
They are aqcuired malformation (age related - loss of elacticity in vein walls) of lingual vein that result in the focal dilation of a single vein. They can be present on the ventral tongue and lower lip. They are firm and blanch with compression.
52
What conditions is this?
This is a caliber persistent labial artery. It occurs when the inferior alveolar artery maintains it's size after leaving the mental forament and becomes superficial in the lower lip. It can present as a nodule. PLEASE PULPATE IT BECAUSE IT WILL PULSE
53
What is normal physiological pigmentation?
It is usually: 1. Symmetrical 2. Follows normal anatomy/tissue architecture 3. Commonly seen in the gingivae 4. Associated with increase melanin production
54
What is this condition?
Oral melanotic macule or focal melanosis or an intraoral freckle It is a well demarcated, uniform in colour, asymptomatic and has the same consitency as the surrounding mucosa macule. Histologically it is related to increase melanin deposition. Sometimes can arise due to medication use specifically oral medications. Remeber macules DO NOT CHANGE OVER TIME
55
What is this condition?
This iss a mucosal menocytic naevus. It is a rare oral cavity lesion or patch. It is bening proliferation of neaevus cells. The lesion is not neoplastic but is a hamartomatous lesion
56
What us a hamartoma?
It is a tumour-like lesion. Non-neoplastic proliferation of tissue. It grows at the same rate as the surrounding tissue
57
What type of naevus is this?
This is a junctional naevus because is confined to the basal layer of the epithelium
58
What type of naevus is this?
This is intraomucosal naevus - because is is not in the epeithelium
59
What condition is this?
This is an amalgam tattoo - it is associated with some of the amalgam being incorporate into the adjcent soft tissue over time. PLEASE LOOK AT AMALGAM NEAR BY. This lesion can grow but usually at a none alarming rate.
60
What does ectopic mean?
It is a tissues that are in an abnormal sire of position
61
What are Fordyce spots?
They are ectopic sebaceous glands that usually occur on the buccal mucosa - their instance increases with age. They are slightly elevated yellowish nodules. It arises due to the arisal of the tissue from the ectoderm during the embrio development
62
What are the histological features of the Fordyce spots?
They are very similar to sebaceous glands
63
What condition is this?
These are lingual tonsils. This is part of the lymphoid tissue (Welder's ring) that is used to fight infection. The lymphoid tissue underneath the folliate papilla goes through lymphoid hyperplasia (growth) and result in an elevation on the postra-lateral tongue surface.
64
What type of nodules are theses?
This is lymphoid hyperplasia
65
What type of tissue is this?
This is lingual thyroid tissue
66
What are the Tori and exostoses?
They are bony protuberances. Non-neoplastic. Possibly inherited Exotoses - multiple or single nodules at the buccal aspect of the alveolar bone
67
What type of cyst is this?
This is a nasopalatine cyst. It is the most common non-odontogenic oral cyst. It s asymptomatic unless secondarily inflamed.
68
What type of conditon is this and why?
These are fordyce spots They are sebatious glands in the oral mucosa. Do not biopsy and reassure the patient that this is normal. Pathogenesis: ectoderm refrences
69
What is hyperplasia?
It is an increase in the size of a particular tissue by increase in cell number - it is reversible and stimulus dependent
70
What is hypertrophy?
It is an increase in the size of particular tissue by increase in cell size.
71
What are the two main origins of hyperplastic lesions?
1. Predominantly epithelial in nature 2. Predominantly connective tissue in nature
72
What are the two basic morphological potentials of a lesion?
1. Senssile lesion - broad based lesion 2. Pedunculatedlesion - on a stalk - use a perioprobe to see if a lesion has a neck
73
What are some of the other adjectives that can be used to describe a lesion?
1. Papillary - any small growth projectin into a cavity 2. Verrucous - warty surface appearance (small hyperkeratinised projections) 3. Epulis - lump on the gum non-neoplastic
74
What is fibroepithelial hyperplasia?
It is a growth of fibrous connective tissue underneath an epithelium
75
WHat are the clinical features of fibroepithelial hyperplasia?
It is a exophytic lesion. Site is a site of trauma Size is around 1-2mm upto 1cm Moprphology could be sessile or pedunculated Colour is similar to normal mucosa but could look inflamed Consistency could be soft to hard depending on the age of the fibrous tissue
76
What is the aetiology, pathogenesis and treatment of fibroepethilial hyperplasia?
Aetiology: Chronic physical trauma, cheek biting, irritation from broken teeth etc. Pathogenesis - cellular proliferation and production of cell product - predominantly connective tissue Treatment: Excision of the tissue and removal of the cause
77
What is papillary hyperplasiaof the palate?
It is a nodular overgowth that is associated with dentures and S.Candida infection. Associated with nodular hyperplasia in histological samples
78
What is the common histological presentation of the S.Candida infection
It is a presented as a nodule appearance with chronic inflammatory cell infiltrate
79
What condition is this?
This is fibroepithelial polyp. It is a localised fibroepithelial hyperplasia. Can occur anywhere but commonly sites prone to trauma. It is similar to the colour of the surroinding tissue but may appear a bit more inflammaed.
80
What condition is this?
This is fibroepithelial polyp. It is a localised fibroepithelial hyperplasia. Can occur anywhere but commonly sites prone to trauma.
81
What is the histopathology of fibroepithelial polyp?
It is an overlying epithelium - hyperplastic or atopic or normal. Bulk lesion is made up of densely collagenous fibrous connective tissue. MAY OCCUR WITH OSSIFICATION
82
What is the aetiology and treatment of fibroepithelial polyp?
Aetiology: chronic physical trauma and inflammation Treatment: Excision
83
What is the aetiology and treatment of fibroepithelial polyp?
Aetiology: chronic physical trauma and inflammation Treatment: Excision
84
What condition is this?
This is pyogenic granuloma. It is a localised soft tissue lesion that is common in people who are pregnant due to the hormone imbalance. Site: Anywhere but classically arises from the interdental papilla
85
What are the clinical features of pyognic granuloma?
Usually sensile Sudden onset and rapid growth Bright red and haemorrhagic, ulcerated surface. Tissue may mature thus becomes fibrosed
85
What are the clinical features of pyognic granuloma?
Usually sensile Sudden onset and rapid growth Bright red and haemorrhagic, ulcerated surface. Tissue may mature thus becomes fibrosed
86
What is the hsitopathology of Pyogenic granuloma?
Many lesions are made up of exuberant granulation tissue. It is a very vascular lesion with large numbers of thin walled dilated blood vessels lined by endothelial cells
87
What is the treatment for pyogenic granuloma?
Excision and removal of causative factors
88
What are some of the differential diagnosis for pyogenic granuloma?
1. Neoplasm 2. Heamongioma
89
What is peripheral giant cell granuloma?
It is a similar lesion to the pyogenic granuloma but it also involves bone tissue
90
What is the histopathology of the peripheral giant cell granuloma?
It is a well vascularised cellular tissue with mononuclear cells. If you see multinucleadted diant cells - probs a peripheral giant cell granuloma
91
What is the imortant aspect of the peripheral giant cell granuloma?
It is important to determine that the lesion is not an intra-bony or central lesion which has perforated cortical bone
92
What is ulcerated fibrous epulis with ossification? what are the clinical features?
It is a relatively common oral lesion. Presents as localised lesion of gingiva like fibrous epulis and pyogenic granuloma. Clinical features: 1. Painless 2. Relatively rapid growth 3. Size usually less than 1 cm 4. Sometimes - surface ulceration
93
What is the histopathology of ulcerated epulis with ossification?
It is a very cellular lesion - well vascularised and collagenous. IT CONTAINS CALCIFICATIONS.
94
What are generalised gingival hyperplastic lesions?
They are lesion that occur due to underlying factors such as plaque or use of certain medications such as hypertension medication (calcium channel blockers) or anti-covulsants or immunosupresants. Drug Induced Gingival Overgrowth is one of them
95
What is a linea alba?
It is a lesion occurring on the buccal mucosa as a result of a local mechanical trauma
96
What is the clinical presentation of linea alba?
It is usually symptomless and is very very common. It presents as a white, narrow, linear lesion on the buccal mucosa. Could be unilateral or bilateral
97
What is the histopathology of linea alba? What is the management of linea alba?
A thichening of the prickle cell layer can be observed. Hyperkeratosis occurs. Nothing cna be done to manage it - just please do not bite your cheek.
98
What is morsicatio buccarum?
It is cheek biting which causes chronic mechanical trauma. Clinical presentation is a unilateral or bilateral white patch on the buccal mucosa, which is rough and whitenned. Usually symptomless
99
What is the management of cheek biting?
1. Control of habit 2. Might need to treat the underlying stress
100
What is frictional keratosis?
It is similar to the cheek biting and linea alba but usually occurs on commonly traumatised sites such as the lips, lateral border of the tongue, buccal mucosa, edentulous alveolar ridge. Appears as a poorly demarcated white lesion.
101
What happens histologically in frictional keratosis? What is the management?
Histological features: 1. Hyperkeratosis 2. No dysplastic changes Management: 1. Identify and try and remove a cause - might be difficult with edentulous patients 2. Always biopsy if in doubt :)
102
What is smoker's keratosis?
It is a diffused, white, moderately thickened palate that can be sometimes roughened. It usually involves the entire palate with characteristic, red, minor salivary gland dots. Associated with tobacco smoking, especially reverse smoking.
103
What is the histopathology of smokers keratosis?
Hyperkeratosis is common. Thickening of stratum spinosum (prickle cell layer)
104
What is the management of smokers keratosis?
1. Smoking cessation 2. The lesion is usually not malignant but close monitoring is idea
105
What condition is this?
This chronic hyperplastic candidiasis. It is usually a single, fixed, white or mix of white and red patch that syays when whipped. May occur anywhere but common sites are the tongue and buccal mucosa.
106
What is the histopathological appearance of chronic hyperplastic candidiasis?
Thickening large bulbus epithelial with keratinisation
107
What are the three common oral HPV infections?
1. Squamous papillomas/Oral warts 2. Condyloma accuminatum 3. Focal epithelial hyperpklasia
108
What are histopathological features of the giant cell fibroma? What are the clinical features?
The main difference between giant cell fibroma is the Giant Stellate Cells rather than the osteoclast like cells. The clinical features are similar: small, raised, pedunculated lesion that is asymptomatic
109
What is the treatment for giant cell fibroma?
usually surgical excision. The reoccurance of giant cell fibroma is relativley rare
110
What is traumatic neuroma? What are it's clinical signs?
It is a lesion thatoccurs due to the damage of a nerve trunk following some sort of injury (like surgery or pressure on dentures). Essenially - the repair of the axon does not go as planned and the lesion if fully comprised of the neural tissue. Clinical features: small swelling or nodule on mucosa near mental foramen, alveolar ridge, lips or tongue. Pressure on the nodule cuases pain
111
What is histapathology and treatment of traumatic neuroma?
Histopathology: Presents as a mass of irregular bundle situated in variable amount of connective tissue stroma. Treatment: surgical excision
112
What is this condition?
This is verruciform xanthoma, it is a rare lesion that mimic squamous cell carcinoma. It is flat, velvety, pebbly.
113
What is the histopathological appearacnce of verruciform xanthoma?
It is usually associated with foamy, lipid filled marophages. The lesion is bening
114
Observe the lesion below. Describe the abnormality. Extra info: It is a firm in consistency
Site - RHS buccal mucosa, adjacent to the premolar teeth Size - around 10-20 mm in diamtere Morphology - elevated sessile nodule Colour - similar colour of the surrounding tissue Consistency - firm - Texture - smooth
115
List and justify the most likely clinical diagnosis? Extra info: It is a firm in consistency
Fibroepithelial polyp - due to a firm consistency with whiteish, keratinised superior surface. Also the location is commonly traumatised. Fibroepithelial polyp is also a relatively common lesion.
116
What is the management for this lesion? Extra infro: It is firm in consistency
1. No urgent referral needed 2. Ask the patient if has changed in signs and symptoms 3. Suggest the patient that a surgical incision might be a good option as part of a histopathological investigation option or just to monitor the lesion 4. Try to reduce the potential traumatising habbits
117
Outline the pathogenesis of this abnormality/ variation Extra info: It if firm in consistency
Proliferation and production of cell products - predominantly fibrous connective tissue - reactive hyperplasia (reacting to an injury)
118
Observe the lesion below. Describe the abnormality. Extra info: The patient is a regular smoker with no other known heal issues, Their denture has become wobbly as this grown has been slowly increasing in size over the past months. It is firm in concistency
Site - around the lingual oral mucosa - adjacent to the lingual surfaces of 34 and 35 Size - around 15-20 mm in length Morphology - elevated, elongated, nodule Colour - similar to the attached gingiva Consistency - it is firm texture - it is smooth
119
List and justify the most likely clinical diagnosis? Extra info: The patient is a regular smoker with no other known heal issues, Their denture has become wobbly as this grown has been slowly increasing in size over the past months. It is firm in consistency
Fibroepithelial hyperplasia - denture induced. Because: 1. Denture present - which is a causative factor 2. Clinical presentation - keratinisation of the tissues, slow growth and location 3. THIS IS A COMMON LESION - say that on the exam
120
What is the management for this lesion? Extra info: The patient is a regular smoker with no other known heal issues, Their denture has become wobbly as this grown has been slowly increasing in size over the past months. It is firm in consistency
1. Examine the denture and the fit of the denture - it might need to be adjusted or raplced 2. While waiting - might not retain the denture for long times in the mouth
121
What is the management for this lesion? Extra info: The patient is a regular smoker with no other known heal issues, Their denture has become wobbly as this grown has been slowly increasing in size over the past months. It is firm in consistency
Proliferation and production of cell products - predominantly fibrous connective tissue - reactive hyperplasia (reacting to an injury)
122
What would a biopsy of this lesion show? Extra info: The patient is a regular smoker with no other known heal issues, Their denture has become wobbly as this grown has been slowly increasing in size over the past months. It is firm in consistency
Thickened epithelial and thickened keratin layer
123
What are the principles of management of oral ulcers?
1. Detect a lesion 2. Health and lesion histories 3. Examination - identify cause and remove if possible 4. Differential diagnosis 5. Monitor or Investigate - including biopsy/referral for biopsy 6. Follow-up/referral
124
What is an ulcer?
An ulcer is the loss of contnues of epithelial linings and some fo the connective tissue. It is associated with colour yellow.
125
What are the parts of an ulcer?
1. Border 2. Depression
126
What are some of the oral that require urgent attention and referral?
1. Long-standing ulcers with no obvious cause 2. Indurated (hard) borders - PLEASE PALPATE 3. Deep ulcers with rolled borders 4. Ulcer that is fixed to underlying tissues - usually ulcers are mobile 5. Painless ulcer 6. Ulcers associated with lymphadenopathy - if there is a large swelling - EMERGENCY
127
What are the different sub types of ulcers that can occur?
1. Reactive lesions 2. Developmental 3. Inflammatory/immunologic 4. Infective 5. neoplastic 6. Idiopathic
128
What is a traumatic ulceration?
It is a type of ulceration from mechanical, chemical, thermal and radiation injury. Please recall the patient in 2 weeks and during the session try to remove the cause.
129
What are the two types of traumatic lesions?
1. Acute traumatic lesions - a lot of pain, surface covered by yellow fibrinous exudate and halo border 2. Chronic traumatic lesions - minimal pain, elevated margins, fibroepithelial hyperplasia, epithelial hyperkeratosis, induration
130
What is a traumatic eosinophilic ulcer?
It is a bening chronic ulcer usually presenting on the tongue. It is crateriform in shape.
131
What is the histopathological significance of eosinophilic ulcer and why should it worry us?
Eosinophilic ulcers are usually associated with an abnormal presentation of eosinophils thus it is important to send a biopsy sample of the ulcer for histopathological investigation to ensure it is not malignant
132
What is this condition?
This is a minor aphthous ulcer - which one of the most common ulcer of infectious origin. It usually occurs in non-keratinised mucosa, it is shallow and rounded. It has erythematous margins and yellowish floor
133
What is this condition?
This is a major Aphthous Ulcer - an uncommon ulcer of infectious origin. It is usually very large and can involve keratinised mucosa. This need to be reffer for biopsy because this could be a melignancy.
134
What is this condition?
This is Herpetiform aphthous ulvers - it is an uncommon and are very very small. Named herpetiform due to the resemblance of the ulcers to those of herpetic stomatitis
135
What are the basic management plan for aphthous ulcers?
1. Accurate diagnosis 2. Symptomatic treatment 3. Steroid
136
What are the oral manifestations of Crohn's disease?
1. Diffuse lip swelling 2. Coble stone thickening of the mucosa 3. Ulcers
137
What is glossitis?
It is the atrophy of the lingual papilla
138
Observe the lesion below. Describe the abnormality. Extra info: History of tongue biting 4 months ago followed by pain. The borders are firm in consistency.
Site - RHS lateral surface of the tongue, in close proximity to the posterior lingual surface of Q4 posterior teeth Size - 10-15mm Morphology - a central depression with well defined borders Colour - border: white in colour, depression: red in colour with small tinge of yellow Consistency - borders are firm - texture - smooth
139
List and justify the most likely clinical diagnosis? Extra info: History of tongue biting 4 months ago followed by pain. The borders are firm in consistency.
Most likely to be Chronic Traumatic Ulcer 1. Due to history of previous tongue biting (trauma) 2. It is a common lesion Firm and consistent borders should raise some alarm bells
140
Outline the management of this patient Extra info: History of tongue biting 4 months ago followed by pain. The borders are firm in consistency.
(previous history, exam, palpations done) 1. Referral for biopsy due to the length of the lesion being there and also the firm border are concerning 2. Find the cause and try to remove it
141
If the lesion was biopsied - what would you see microscopically? Extra info: History of tongue biting 4 months ago followed by pain. The borders are firm in consistency.
1. Missing epithelium layer or orthokeratinised squamous epithelial cells or hyperplastic epithelium 2. Sometimes some loss in fibrous connective tissue 3. Eosinophilic ulcers are usually associated with an abnormal presentation of eosinophils thus it is important to send a biopsy sample of the ulcer for histopathological investigation to ensure it is not malignant 4. Fibrousis on the borders of the ulcer - dense pink collagen
142
If the lesion was biopsied - what would you see microscopically? Extra info: History of tongue biting 4 months ago followed by pain. The borders are firm in consistency.
1. Missing epithelium layer or orthokeratinised squamous epithelial cells or hyperplastic epithelium 2. Sometimes some loss in fibrous connective tissue 3. Eosinophilic ulcers are usually associated with an abnormal presentation of eosinophils thus it is important to send a biopsy sample of the ulcer for histopathological investigation to ensure it is not malignant 4. Fibrosis on the borders of the ulcer - dense pink collagen
143
The lesion resolved in two weeks following biopsy. How would that help you arrive at a definitive diagnosis? Extra info: History of tongue biting 4 months ago followed by pain. The borders are firm in consistency.
If it resolves - it is a confirmation that it was an Acute Traumatic Ulcer
144
Observe the lesion below. Describe the abnormality. Extra info: Patient recently quit smoking. No known systemic disease other than managed hypertension. Patient has no fever or other systemic signs or symptoms.
Site - RHS anterior ventral and dorsal surface of the tongue Size - 4 ulcers from RHS to LHS - 2mm 1mm 3mm 3.5mm Morphology - rounded, depressed ulcers Colour - borders: red center: yellow Consistency - SIKE IT IS A PHOTO Texture - Glossy
145
List and justify the most likely clinical diagnosis? Extra info: Patient recently quit smoking. No known systemic disease other than managed hypertension. Patient has no fever or other systemic signs or symptoms.
Minor aphthous ulcer related to stress
146
Outline the management of this patient. Extra info: Patient recently quit smoking. No known systemic disease other than managed hypertension. Patient has no fever or other systemic signs or symptoms.
If it is their first ulceration: 1. Manage pain 2. Review in 2 weeks If the duration if reoccurring 1. Send to an oral surgeon for a biopsy 2. Send to a GP for a underlying health issue assessment
147
What are the three common origins of oral infections?
1. Viral disease 2. Fungal disease 3. Bacterial disease
148
What is this condition?
This is necrotising gingivitis. It is usualy caused by a presence of an opportunistic bacteria and an underlying stress factor. Clinical features: necrosis of the papilla, sudden onset, ulcer covered by greyish pseudomembrane from surrounding mucosa Treatment: 1. OHI 2. Debridement 3. CHx 4. Metronidozole 400mg 6 hourly for 5-7 days
149
What is this condition?
This is cancrum oris (noma) - it is a destructive condition involving oral soft tissues and jawbone. Usually associated with children who are malnourished and have lower immunity due to systemic infections. Thought to arise from NG
150
What is this condition?
This is actinomyces - an infection characterised by multiple foci of chronic suppuration. Patient present with firm swelling commonly in the submandibular region with variable pain symptoms. Treatment: prologned antimicrobial treatment after cultures
151
What are the histological features of Actinomyces?
1. Chronic granulomatous inflammation surrounded by abundant granulation tissue and fibrosis 2. Granules consisting of tangled meshes of organisms may be seen
152
What is syphilis and what are the 2 common types of syphilis?
It is a sexually transmitted disease that is cause by T. Pallidum Two common types 1. Congenital 2. Aquired
153
What are some of the oral manifestations of congenital syphilis?
1. Notched permanent incisors 2. Hypoplastic first molars 3. Saddle bone deformity
154
What are the lesion of the primary syphilis?
It is a chancre - which occurs at the site of primary inoculation 3-4 weeks after infection. Lesions are high infectious - be careful! Heals naturally
155
What are the lesion of the secondary syphilis?
They are usually described as some mucous patch, rash or condyloma lactum. Usually occur 6-8 weeks after primary stage. Still infectious - please be careful
156
What are the lesion of the tertiary syphilis?
They are called Gumma - they usually involve the hard palate perfiration or syphilitic glossitis
157
What are the oral manifestation of Tuberculosis?
Mulitlobular ulcerated growth due to immundeficency - histologically it is associated with granuloma inflammation.
158
What are the oral manifestations of Leprosy?
Nodular mucosa lesions are present in 20-60% of the patient
159
What are the aitological factors to Oral Candidosis?
Local factors: - Poor denture hygiene -Reduced vertical dimension -Reduced salivary flow Systemic factors: -Extreme of age -Endocrine disturbances -Malnutrition -Antibiotic therapy
160
What are the classifications of oral candidosis?
1. Acute: - Atrophic (denture or antiotic-associated) - Pseudomembranous condidosis - thrush 2. Chronic -Atrophic -Hyperpastic 3. Mucocutaneous - Usually T cell deficiency
161
What is an Acute Atrophic Candidosis? What is the management?
It is a generalised, red focal area of red/inflamed oralmucosa. This condition has no other specific symptoms other than pain. Management: -Correct diagnosis -Oral denture hygiene -Antifungal agents
162
What is the acute pseudomembranous candidosis or thrush?
it is most common type of acute candidiasis. This is a lesion/lesions that is associated with soft, white/yellow plaque that can be lifted off the mucosa. These plaques represent inflammatory exudate, dead cells and fungal colonies
163
What is the management of acute pseudomembranous cndidosis?
1. Base your diagnosis on oral features and cytology smear 2. Managment depedns on sverity of symptoms and predisposing factors: - for simple case - antibiotic therapy, topical antifungal agents and oral hygiene instructions - for a complex case e.g. patient with immunosuppression - medical consultation and topical/systemic antifungal agents
164
What is chronic atropic candidosis?
Chronic Atrophic Candidosis - is a non-specific red area in the mouth. Some of the example of it is angular cheilitis Take a smear.
165
Whatis a Chronic Hyperplastic Candidosis?
It is lesion/lesions that may occur anywere but are common to the tongue and buccal mucosa. Present as white or mixed white/red patches or plaques on the mucosa. THIS LESION CAN RESEMBLE OTHER PATHOLOGY - like lichen planus or early squamous cell cercinoma biopsy and re-biopsy after antifungal treatment
166
What can exfoliative cytology be used for?
1. Fungal infections 2. Bacterial infections 3. Viral infections
167
What is one of the treatment of oral candidosis?
Miconazole 2% gel 2.5 mL topically (then swallowed), 4 times daily, after food, for 7 to 14 days; continue treatment for at least 7 days after symptoms resolve Or Amphotericin B 10 mg lozenge sucked (then swallowed),4 times daily, 7 to 14 days; continue treatment 2 to 3 days after resolved
168
What is a treatment for a patient with angular cheilitis?
Miconazole 2% gel 2.5 mL topically (then swallowed), 4 times daily, after food, for 14 days; continue treatment for at least 14 days after symptoms resolve or Chlorimazole 1% cream topically to the angles of the mouth, twice daily for at least 14 days; continue treatment for 14 days after symptoms resolve
169
What are quite common viruses with oral manifestations?
1. Herpes labialis 2. HPV 3. HIV 4. Hep C
170
What is the basic progress of infection and manifestations with a herpes simplex virus?
1. An inividual is seronegative 2. Exposure to the virus occurs 3. Primary disease - Subclinical Gingivostomatitis is considered to be primary disease 4. An inidividual becomes seropositive 5. Reactivation of the diseases (aka Secondary disease) may occur due to stressors - usually results in a cold sore 6. Resolution of the cold sore - return to being seropositive
171
What is gingivostomatitis?
It is a widespread vesicular eruption involving skin, vermillion and mucosa. It results in painful widespread infection that can be observed in the photo. It is associated with young children or older adult who are immunocomprimised
172
What is recurrent herpes simlex vitus?
It is a vesicular eruption affecting perioral skin, lips, gignivae and palate - knowns as harpes labialis
173
What are the histological features of herpetic lesions?
1. Intraepitheial vesicle formation - aka acantholysis 2. The vesicles contain inflammatory cells and exudate 3. Destruction of epithelial cells
174
What is the varicells virus?
It is also known as chicken pox! It is a vesicular infection that migh have some oral mucosal involvement
175
What does the reactivation vericells virus lead to?
It leads to shingles. Shingles may result in oral manifestations like vesicular lesiosn aorund the oral cavity.
176
What is a dermatome?
A dermatome is an area of sking that is associated with a root of a single neural connection to the spine or orofacial (cranial) nerves
177
What is Oral Hairy Leukoplakia?
It is a oral manifestation that relates to the Epstein Barr Virus and is associated with HIV invection
178
What is this condition? Extra information: The patient is from Greece?
This a kaposi's sarcoma - an oral lesion associated with Herpes Virus 8 - it is very aggresive in it's course
179
What are the two conditions related to Coxsackie virus infections?
1. Hand-foot-and-mouth disease 2. Herpangina Both are self limiting infections that effect children more than the adults
180
What do you usually associate infections with?
Systemic symptoms such as fever and enlarged tender lymph nodes.
181
What is the difference between true herpes infection ulcer and a herpetiform apthous ulcer?
True herpes infections come with systemic symptoms herpetiform does not
182
What are the most common origins of tumours in the oral cavity?
1. Epithelial - related to the epithelial lining of the oral cavity, salivary gland, oeontogenic epithelium 2. Mesenchymal 3. Haemotlymphoid
183
What is a meaning of tumour?
Tumour - means swelling above the size of 2cm.
184
What is a meaning of a neoplasm?
Neoplasm - is a tumour that does not stop growing
185
What are the terminology of the bening and malignant tumours?
1. Bening tumours have the suffix "...oma" 2. Melignant tumours: - Epithelial tumours are "carcinoma" - Mesenchymal tumour have a suffic "...sarcoma" The exeptions are: melanoma and lymphoma which are both malignant
186
What is the orgini of most benign fibromas in the oral cavity?
Most of them arise from fibropepithelials polyps and fibroepithelial hyperplasia
187
What is a solitary fibrous tumour?
The solitary fibrous tumours are benign neoplasms that arise from combination of altering hypocellular and hypercellular areas. It consists of bands of hyalinised collagen in between spindle shaped cells.
188
What is a myxoma?
It is an uncapsulate lesion with infiltrative growth and stellate and spindle. Occurs as bubbly in appearance.
189
What is a lipoma?
It is an uncommon lesion in the oral cavity - most commonly filled with adipose tissue (fat cells)
190
What are some muscle tumours?
1. Leiomyoma - smooth muscle, benign neoplasm 2. Leiomyosarcoma - smooth muscle, malignant neoplasm 3. Rhabdomyosarcoma - skeletal muscle, malignant neoplasm
191
Whats is neurilemmoma?
They are benign neoplasm associated with schwann cells. Could occur as a asymptomatic, submucosal mass
192
What is neurofibroma?
It is usually a multiple lesion - it is asymptomatic and is related to neurofribromatosis This lesion could turn malignant
193
What is a granular cell tumour?
It is a painless smooth swelling on the tognue related to large granular cells. Histologically it relates to hyperplasia in an odd way where it looks like it's invading other tissue
194
What are oral potentially malignant disorders?
It is a clinical presentation that carry a risk of cancer development in the oral cavity whether in a clinically definable precursor lesion or in clincally normal oral mucosa.
194
What are oral potentially malignant disorders?
It is a clinical presentation that carry a risk of cancer development in the oral cavity whether in a clinically definable precursor lesion or in clincally normal oral mucosa.
195
What are risk factors for cancer?
1. Tobacco 2. Alcohol 3. Betel-quid (tobaco in a different form) - bucal sulcus
196
What is the cinical spectrum of normal mucosa to erythroplkia?
1. Normal mucosa 2. Thin, smooth leukplakia 3. Thick, fissured, leukoplakia 4. Granular, verruciform leukoplakia 5. Red tissue - erytholeukoplakia
197
What is a leukoplakia?
It is a predominantly white plaque of questionable risk having excluded other known diseases or disorders that carry no increased risk of cancer
198
What is proliferative verrucous leukoplakia?
Proliferative verrucous leukoplakia is a progressive, persistent and irreversible disorder characterized by the presence of multiple leukoplakia that frequently become warty.
199
What is eryhtroplakia?
Erythroplakia is a predominantly fiery red patch that cannot be characterized clinically or pathologically as any other definable disease
200
What is lichen planus?
A lichen Planus is a chronic inflammatory disorder of uknown etiology with characteristis relapses and remissions, displaying white reticular lesions, accompanied or not by atrophic, erosive and ulcerative and/or plaque type areas. Lesion are frequently bilaterally symmetrical. Desquamative gingivitis may be a feature.
201
What condition is this?
This is an oral lichenoid lesion - which is similar to oral lichen planus but is usually around a single site. Usually associated with medications and go away when medication is stopped
202
What is oral submucous fibrosis?
Oral submucous fibrosis is a chronic, insidious disease that affects the oral mucosa, initially resulting in loss of fibroelasticity of the lamina propria and as the disease advances, results in fibrosis of the lamina propria and the submucosa of the oral cavity along with epithelial atrophy. Associated with tobaco products that stay in the crevaces of the oral cavity for a long time
203
What is actinic cheilitis?
Actinic cheilitis is a disorder that results form sun damage and affects exposed areas of the lips, most commonly the vermillion border of the lower lip.
204
What is dysplasia?
It is the presence of cells of an abnormal type within a tissue, which may signify a stage preceding the development of cancer.
205
What are some of the architectural changes that occur in dysplasia?
1. Drop shaped rete pegs 2. Irregular eppithelial stratification 3. Loss of polarity in basal cells 4. Increased number of mitotic figures 5. SUPERFICIAL MITOSES
206
What are the cytological changes in dysplasia?
1. Nuclear pleomorphism 2.Cellular pleomorphism 3. Increased nuclear size
207
What are the the different types of dysplasia?
1. Mild (grade I) - dysplasia is in the first third of the pithelium 2. Moderate (grade II) - dysplasia entering the middle third of the epithelium 3. Severe (grade III) - dysplasia near the basal layer
208
What is carcinoma in situ?
It is when dysplasia that has been only registered in one layer of the tissue but is through out the whole layer - the epithelium have not yet created island in the connective tissue below thus the basal layer has not yet been breached
209
How do you manage dysplastic lesions?
1. Observation: - Mangaing lifestyle risk factors - Regular follow-ups -Clinical risk assessment Excision - Cold-knife excision - Cryosurgery - CO2 laser ablation - Photodynamic therapy
209
How do you manage dysplastic lesions?
1. Observation: - Mangaing lifestyle risk factors - Regular follow-ups -Clinical risk assessment Excision - Cold-knife excision - Cryosurgery - CO2 laser ablation - Photodynamic therapy
210
What are the most common types of oral cancers?
90% of the oral malignancies are from the oral mucosa and are squamous cell carcinomas
211
What is the definition of oral squamous cell carcinoma?
It is a carcinoma with a squamous differentiation arising from the mucosal epithelium
212
What are risk factors for cancer
1. Tobacco 2. Alcohol 3. Betel-quid (tobaco in a different form) - bucal sulcus 4. Human Papillomavirus (HPV) types 16 and 18 5. Ultraviolet radiation
213
What is the parthenogenesis of cancer?
1. Loss of cell cycle control through loss of apoptosis proteins (p53) and up regulation of proliferation proteins - cell communication occurs 2. Invasion and metastasis - through breach of basement membrane and over expression of oncogenic enzymes - metastasis could be distant
214
What is the clinical presentations of malignant lesions?
RULE acronym: 1. Red/white 2.Ulcer 3.Lump Exceeding 3 weeks in duration
215
What are some of the other presentations of oral cancer coudl arise?
1. Non-healing extraction socket 2. Pigemented lesion (melanoma) with irregular borders
216
What are the common sites for squamous cell carcinoma?
1. Lower lip 2. Tongue
217
What is the pathology of squamous cell carcinomal?
1. Invasion of malignant epithelial 2. Localised tissue destruction like bone erosion - floating tooth on the radiograph (primary intraosennous carcinoma 3. Spread to the lymphatic system 4. Distant metastasis
218
What is the grading of tumours?
It is a process of examining the degree of differentiation of cells Grade 1 - well differentiated squamous cell carcinoma Grade 2 - moderately differentiated squamous cell carcinoma Grade 3 - Poorly differentiated squamous cell carcinoma Grade 4 - anaplastic - fucked The greater the grade the worst a prognosis
219
What are the 4 pathways of spread of an oral carcinoma?
1. Direct extension into adjacent tissue 2. Perineural infiltration 3. Vascular invasion 4. Lymphatics
220
What is the staging system used for oral cancers?
Based on TNM system T is size N is invasion of surrounding tissue M is distant malignancies Minimum is Stage 1: T1N0M0 Max Stage 4 : Any M
221
What is the survival rate of each stage of oral cancer?
Stage 1 and 2 - around 50% over 5 years Stage 3 - 15-20% over 5 years Stage 4 - less than 5% over 5 years
222
What is main treatment for patient with oral cancer?
1. Initial diagnosis 2. Definitive treatment 3. Management of complications and monitoring
223
What are the actual treatment options for oral cancer?
1. Surgery 2. Radiotherapy 3. Chemotherapy 4. Combination of treatments above
224
What is the role of a general denstist for a patient with oral cancer?
1. Detection of potentially problematic lesions and referral 2. Management role - for any other oral concern, including complications from treatment of oral cancer 3. Ongoing screening
225
What is the advantage of radiotherapy?
Radiation affect the ability of rapidly dividing cells to replicate, thus a tumour can not grow.
226
What is the disadvantage of radiotherapy?
Radiotherapy may also affect the salivary gland and mucosa - causing it to become atrophied and ulcerated
227
What is the effect of radiotherapy on salivary glands?
1. Loss or atrophy of acini 2. Inflammation 3. FIbrosis 4. Dilation of ducts
228
What is the effect of radiotherapy of the bone tissue?
1. Endarteritis obliterans - destruction of blood vessels thus making the tissue depleted of oxygen and nutrients 2. Osteonecrosis 3. Infection and pain 4. Can be potentially life threatnening
229
What is the common condition that may be caused by radiotherapy?
Radiation mucositis
230
What are the side-effects of chemotherapy on the oral environment?
1. Oral mucositis is common 2. Salivary glands impairment 3. Increase the rate infections and decreased rate of healing due to supressed immunity
231
What is the management of side effects related to chemotherapy?
1. Prevention of oral infections 2. Maintenance of oral hygiene - basic oral care 3. Supportive treatment
232
How do we prevent a patient from having sever cancers?
1. Primary prevention - reducing the risk factors - tobacco control, healthy eating, reduced exposure to sunlight, inherited risks 2. Secondary prevention - early detection
233
What are the 5 categories of most frequent lesions of the oral cavity?
1. Apthous ulcers 2. Herpex simplex lesions 3. Trauma associated lesions 4. Migratory glossitis 5. Candidiasis infection lesions
234
What is oral granulomatosis?
It is a process where multiple granulomas can be seen in the oral cavity. Associated with: Crohn's disease Leprosie TB
235
Give 5 differential diagnosis for a white lesion
1. Leukodema 2. Leukoplakia 3. Lichen Planus 4. Frictional keratosis 5. Oral squamous cell carcinoma
236
Give 5 differential diagnosis for red lesions
1. Pyogenic granuloma 2. Haemangioma 3. Peripheral Giant Cell Granuloma 4. Erythroplakia 5. Oral squamous cell carcinoma
237
Give 5 differential diagnosis for a pigmented lesion?
1. Oral melanotic macule 2. Mucosal melanocytic naevus 3. Amalgam tattoo 4. Malignant melanoma 5. Smokers melanosis
238
Give 5 differential diagnosis for a gum lump?
1. Haemangioma 2.Fibroepithelial polyp 3. Pyogenic granuloma 4. Peripheral giant cell granuloma 5. Calcifying fibroblastic granuloma
239
Give 5 differential diagnosis for an ulcer?
1. Herpetiform ampthous ulcer 2. Mild amthous ulcer 3. Major ampthous ulcer 4. Traumatic acute ulcer 5. Traumatic chronic ulcer
240
What lesion is associated with human papilloma virus?
Squamous papilloma. An asymptomatic, solitary lesion that is associated with cauliflower like apperance
241
What are the histological features of squamous papilloma?
Exaggerated growth of usually parakeratinsed benign squamous epithelium. Finger-like projections of epithelium with central cres of fibrovascular tissue
242
What is the link between HPV and cancer?
Sometimes HPV can playe a role in oropharyngeal carcinoma - which is a basaloid subtype of squamous cell carcinoma.
243
What is another type of lesion that can be caused by HPV?
Genital warts in the mouth or Oral Condyloma Accuminatum. It is an infections lesion that can cause transmission through direct contact. It presents as a broad based pink nodule that grows and coalesce (come as one)
244
What are the two haematolynphoid tumours?
1. Non-Hodgkin lymphoma 2. Hodgkin lymphoma
245
What are the oral manifestation of non-hodgkins lymphoma?
Large ulceration, swelling, pain, paraesthesia and losse teeth Aetiology is unknowns
246
What is the main feature of oral malignant melanomas?
They have a defused appearance