Os Flashcards

(118 cards)

1
Q

Quel est le rôle principal de l’os ?

A

Tissu de soutien hautement spécialisé

How well did you know this?
1
Not at all
2
3
4
5
Perfectly
2
Q

Comment est caractérisée la matrice extracellulaire des os ?

A

Fortement minéralisée

How well did you know this?
1
Not at all
2
3
4
5
Perfectly
3
Q

Quelle est l’optimisation de la structure de chaque os ?

A

Fournir un maximum de résistance avec un minimum de poids

How well did you know this?
1
Not at all
2
3
4
5
Perfectly
4
Q

Comment décrit-on la nature des os ?

A

Structures très dynamiques

How well did you know this?
1
Not at all
2
3
4
5
Perfectly
5
Q

Que se passe-t-il avec la matrice extracellulaire des os ?

A

Continuellement synthétisée et résorbée

How well did you know this?
1
Not at all
2
3
4
5
Perfectly
6
Q

Quelles sont les fonctions des os ?

A

Les fonctions des os incluent :
* Soutien
* Mouvement (locomotion)
* Protection des organes vitaux
* Stockage
* Hématopoïèse

Les organes vitaux protégés comprennent l’encéphale, la moelle osseuse, et le cœur.

How well did you know this?
1
Not at all
2
3
4
5
Perfectly
7
Q

Quel est le rôle des os en matière de soutien ?

A

Les os fournissent une structure rigide et un soutien au corps.

How well did you know this?
1
Not at all
2
3
4
5
Perfectly
8
Q

Comment les os contribuent-ils au mouvement ?

A

Les os permettent la locomotion en servant de leviers pour les muscles.

How well did you know this?
1
Not at all
2
3
4
5
Perfectly
9
Q

Quels organes vitaux sont protégés par les os ?

A

Les organes vitaux protégés incluent :
* Encéphale
* Moelle osseuse
* Cœur

La protection est essentielle pour le bon fonctionnement de ces organes.

How well did you know this?
1
Not at all
2
3
4
5
Perfectly
10
Q

Quels éléments sont stockés par les os ?

A

Les os stockent :
* Ca2+
* PO4
* K+
* Na+
* Mg2+
* Graisses

Ces éléments sont importants pour diverses fonctions biologiques.

How well did you know this?
1
Not at all
2
3
4
5
Perfectly
11
Q

Quel est le processus de formation des cellules sanguines appelé ?

A

Hématopoïèse.

How well did you know this?
1
Not at all
2
3
4
5
Perfectly
12
Q

Quels sont les deux types de tissu osseux?

A

Os compact et Os spongieux

Les proportions de ces tissus varient selon le type d’os.

How well did you know this?
1
Not at all
2
3
4
5
Perfectly
13
Q

Définissez l’os compact.

A

Dense et dépourvu de cavités

L’os compact constitue la couche externe des os.

How well did you know this?
1
Not at all
2
3
4
5
Perfectly
14
Q

Définissez l’os spongieux.

A

Formé par un réseau de minces travées osseuses et de nombreuses cavités

L’os spongieux se trouve principalement à l’intérieur des os.

How well did you know this?
1
Not at all
2
3
4
5
Perfectly
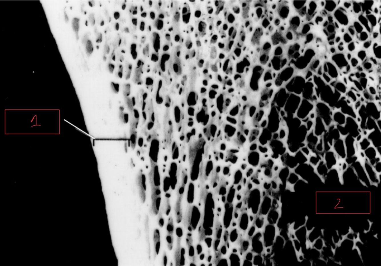
15
Q
A

1: Os compact
2: Os spongieux

How well did you know this?
1
Not at all
2
3
4
5
Perfectly
16
Q

Quelles sont les catégories d’os (classification)

A

Os plat, Os court, Os long et Os irréguliers

How well did you know this?
1
Not at all
2
3
4
5
Perfectly
17
Q

Qu’est-ce qu’un os plat ?

A

Un os plat est constitué de deux tables d’os compact séparées par une couche d’os spongieux.

How well did you know this?
1
Not at all
2
3
4
5
Perfectly
18
Q

Donnez un exemple d’os plat.

A

L’os pariétal du crâne.

How well did you know this?
1
Not at all
2
3
4
5
Perfectly
19
Q
A
How well did you know this?
1
Not at all
2
3
4
5
Perfectly
20
Q
A
How well did you know this?
1
Not at all
2
3
4
5
Perfectly
21
Q
A
How well did you know this?
1
Not at all
2
3
4
5
Perfectly
22
Q

What type of bone is characterized by a spongy mass surrounded by compact bone?

A

Os court

How well did you know this?
1
Not at all
2
3
4
5
Perfectly
23
Q

True or False: Short bones are primarily found in the wrist.

A

True.

How well did you know this?
1
Not at all
2
3
4
5
Perfectly
24
Q

Fill in the blank: The structure of short bones consists of a _______ mass surrounded by compact bone.

A

spongy.

How well did you know this?
1
Not at all
2
3
4
5
Perfectly
25
Which bones in the wrist are classified as short bones?
Les os carpiens
26
What is the main function of os court? A) Support B) Movement C) Shock absorption D) All of the above
D) All of the above.
27
What are the two main parts of a long bone?
The two main parts of a long bone are the epiphyses and the diaphysis.
28
True or False: The humerus is an example of a long bone.
True.
29
Fill in the blank: A long bone, such as the femur, consists of _____ epiphyses.
two
30
What is the primary function of the diaphysis in long bones?
The diaphysis primarily provides strength and structure to the bone.
31
Multiple Choice: Which of the following is NOT a long bone? A) Humerus B) Femur C) Rib D) Tibia
C) Rib
32
Quelles sont les vertèbres irrégulières ?
Formes irrégulières, ne peuvent pas être classés parmi les trois autres classes ## Footnote Les vertèbres irrégulières sont des os qui ne rentrent pas dans les classifications standard des os longs, courts ou plats.
33
Les vertèbres irrégulières peuvent-elles être classées parmi les trois autres classes d'os ?
Non ## Footnote Cette caractéristique distingue les vertèbres irrégulières des autres types d'os.
34
Les vertèbres irrégulières sont-elles des formes régulières ?
Non ## Footnote Elles sont spécifiquement décrites comme des formes irrégulières.
35
Placer les termes suivants: vaisseau sanguin, faisceaux nerveux, périoste, C. Fibreuse, C.Ostéogène et fibres de Sharpey
36
Qu'est-ce que la matrice extracellulaire ?
Un réseau complexe de protéines et de polysaccharides qui soutient les cellules ## Footnote La matrice extracellulaire joue un rôle crucial dans la structure et la fonction des tissus.
37
Quelle est la composition de la matrice extracellulaire ?
Phase organique (~30%) et phase minérale (~65%) ## Footnote La phase organique comprend des protéines et des polysaccharides, tandis que la phase minérale est principalement constituée de sels minéraux.
38
Quel pourcentage de la matrice extracellulaire est constitué de la phase organique ?
~30% ## Footnote Cela inclut des éléments tels que le collagène et les glycosaminoglycanes.
39
Quel pourcentage de la matrice extracellulaire est constitué de la phase minérale ?
~65% ## Footnote Cette phase est essentielle pour la rigidité et la résistance des tissus, notamment dans les os.
40
Quels types de structures sont inclus dans la matrice extracellulaire ?
Protéines et polysaccharides ## Footnote Ces composants sont essentiels pour la communication cellulaire et la régulation des fonctions cellulaires.
41
Vrai ou Faux : La matrice extracellulaire est uniquement composée de cellules.
Faux ## Footnote La matrice extracellulaire inclut également des composants non cellulaires.
42
Complétez : La matrice extracellulaire est composée de _______ et de _______.
[phase organique], [phase minérale] ## Footnote Cela reflète la diversité des composants présents dans la matrice.
43
Quel rôle joue la matrice extracellulaire dans les tissus ?
Soutien structurel et communication cellulaire ## Footnote La matrice extracellulaire est cruciale pour le maintien de l'intégrité des tissus et la transmission des signaux entre cellules.
44
What is the primary component of the organic phase?
Fibres collagènes de type 1 (90%) ## Footnote Type 1 collagen fibers are the most abundant collagen type in the body, providing structural support.
45
What percentage of the organic phase is made up of the fundamental substance?
10% ## Footnote The fundamental substance, also known as the ground substance, plays a crucial role in providing the medium for nutrient and waste exchange.
46
Name one type of glycosaminoglycan present in the fundamental substance.
Acide hyaluronique ## Footnote Hyaluronic acid is important for maintaining moisture and providing lubrication in tissues.
47
What are two other components found in the fundamental substance?
Autres glycosaminoglycanes, protéoglycanes ## Footnote Glycosaminoglycans and proteoglycans contribute to the structural integrity and hydration of the extracellular matrix.
48
What is the mineral phase of bone composed of?
It is composed of two fractions: fraction amorphe et fraction cristalline.
49
What does the amorphous fraction of the mineral phase contain?
It contains phosphate de calcium.
50
What is the crystalline fraction of the mineral phase made of?
It is constituted of cristaux d'hydroxyapatite.
51
Formule de l’hydroxyapatite
52
What is the role of organic and inorganic elements in bone matrix?
They allow the bone to be extremely durable and resistant without becoming brittle.
53
What type of collagen mutations are associated with osteogenesis imperfecta?
Mutations of type 1 collagen.
54
What is osteogenesis imperfecta characterized by?
Multiple fractures.
55
Quels sont les trois types de cellules trouvées dans le tissu osseux ?
* Ostéoblastes * Ostéocytes * Ostéoclastes ## Footnote Ces cellules jouent des rôles différents dans la formation, le maintien et la résorption du tissu osseux.
56
Quelle est la fonction principale des ostéoblastes ?
Formation de nouveau tissu osseux ## Footnote Les ostéoblastes sont responsables de la synthèse et de la minéralisation de la matrice osseuse.
57
Quel rôle jouent les ostéocytes dans le tissu osseux ?
Maintien du tissu osseux ## Footnote Les ostéocytes sont des ostéoblastes matures qui ont été piégés dans la matrice osseuse qu'ils ont formée.
58
Quelle est la principale fonction des ostéoclastes ?
Résorption du tissu osseux ## Footnote Les ostéoclastes décomposent le tissu osseux, jouant un rôle crucial dans le remodelage osseux.
59
Deux éléments principaux dans les ostéoblastes
Golgi et RER (reticulum endoplasmique rugueux )
60
What type of collagen is secreted by osteoblasts?
Collagène type 1 ## Footnote This collagen type is crucial for bone structure and integrity.
61
What is the role of osteopontin?
Favorise l'adhésion des ostéoclastes ## Footnote Osteopontin is a cell adhesion protein that plays a significant role in bone remodeling.
62
Which enzyme is involved in bone mineralization?
Phosphatase alcaline ## Footnote This enzyme is crucial for the mineralization process of bone tissue.
63
What is osteocalcine classified as?
Biomarqueur ## Footnote Osteocalcine is often used as a biomarker for bone turnover.
64
Name a protein involved in bone mineralization aside from phosphatase alcaline.
Ostéonectine ## Footnote Osteonectine plays a role in the regulation of bone mineralization and remodeling.
65
List two factors involved in bone growth and cytokine activity.
* TGF-ß * Interleukine-1 * Interleukine-6 ## Footnote These factors are important in the regulation of osteoblast and osteoclast activity.
66
What is the first stage in the differentiation of osteoblasts?
Cellules mésenchymateuses (fusiformes) ## Footnote Mesenchymal cells are the progenitors that lead to osteoblast differentiation.
67
What type of cells do mesenchymal cells differentiate into during osteoblast development?
Cellules ostéoprogénitrices (fusiformes) ## Footnote Osteoprogenitor cells are a key transitional stage before becoming mature osteoblasts.
68
What is the final cell type in the differentiation process of osteoblasts?
Ostéoblastes (cubiques et basophiles) ## Footnote Mature osteoblasts are responsible for bone formation and mineralization.
69
Quels facteurs de croissance contrôlent la différenciation des ostéoblastes ?
Bone Morphogenetic Proteins (BMP) ## Footnote Les BMP sont des protéines essentielles pour la régulation du développement osseux.
70
Quel BMP induit l'expression du facteur de transcription Cbfa1 ?
BMP7 ## Footnote BMP7 joue un rôle crucial dans le développement osseux en stimulant Cbfa1.
71
Que possèdent des souris Cbfa1-/- en termes de structure osseuse ?
Un squelette constitué uniquement de cartilage ## Footnote Cela démontre l'importance de Cbfa1 dans la formation osseuse.
72
Vrai ou faux : Les BMP sont responsables de la formation des ostéoblastes.
Vrai ## Footnote Les BMP jouent un rôle clé dans la différenciation des ostéoblastes.
73
Remplissez le blanc : Le facteur de transcription _______ est induit par BMP7.
Cbfa1 ## Footnote Cbfa1 est essentiel pour la différenciation et la fonction des ostéoblastes.
74
Qu'est-ce que la minéralisation de l'ostéoïde?
Processus nécessitant une concentration locale élevée d'ions Ca2+ et PO4- ## Footnote La minéralisation de l'ostéoïde est essentielle pour la formation des os.
75
Quel rôle joue l'ostéocalcine dans la minéralisation de l'ostéoïde?
Augmente la concentration locale en liant les ions Ca2+ ## Footnote L'ostéocalcine est une protéine produite par les ostéoblastes.
76
Quel est le rôle de la phosphatase alcaline dans la minéralisation de l'ostéoïde?
Facilite la minéralisation en dégradant les composés organiques ## Footnote La phosphatase alcaline est une enzyme clé dans le processus.
77
Que sont les vésicules matricielles?
Structures qui forment des foyers pour la précipitation initiale des cristaux ## Footnote Elles sont essentielles pour le processus de minéralisation.
78
Comment les cristaux augmentent-ils de taille lors de la minéralisation de l'ostéoïde?
Par accrétion ## Footnote L'accrétion est le processus par lequel les cristaux se développent en ajoutant des ions supplémentaires.
79
En quoi se différencie les ostéoblastes?
Ostéocyte
80
Quelles sont les fonctions d'un ostéocyte jeune?
Termine la synthèse de la matrice ## Footnote Les ostéocytes jeunes jouent un rôle crucial dans la formation du tissu osseux.
81
Quel est le rôle d'un ostéocyte âgé?
Participe à l'ostéolyse en sécrétant des enzymes lysosomiales (métalloprotéinases) ## Footnote Les ostéocytes âgés contribuent à la dégradation de la matrice osseuse.
82
Pourquoi les ostéocytes sont-ils essentiels?
Pour le maintien de la matrice osseuse ## Footnote Leur présence est nécessaire pour la survie de la structure osseuse.
83
Que se passe-t-il si les ostéocytes meurent?
La matrice est résorbée ## Footnote La mort des ostéocytes entraîne une perte de la structure osseuse.
84
Qu’est ce que l’ostéolyse?
Dégradation de l’os
85
De quoi est composé la cellule ostéoclaste?
10-30 noyaux, mitochondrie, molécules adhésion, bordure en brosse et LAcune de Howship= lyosome secondaire
86
87
Qu'est-ce que le remaniement osseux ?
C'est un processus dynamique où l'os est continuellement remanié sous le contrôle de facteurs hormonaux et physiques. ## Footnote Le remaniement osseux permet d'adapter la structure osseuse aux contraintes mécaniques.
88
Quels facteurs contrôlent le remaniement osseux ?
Les facteurs hormonaux et physiques. ## Footnote Les hormones comme la parathormone et les œstrogènes jouent un rôle clé dans ce processus.
89
Comment les os réagissent-ils aux sollicitations mécaniques ?
Ils sont renforcés aux endroits soumis à des fortes sollicitations mécaniques. ## Footnote Cela est important pour maintenir la solidité et la fonction des os.
90
91
Qu'est-ce que le calcium régule dans le corps?
Transmission de l'influx nerveux, contraction musculaire, coagulation sanguine, sécrétion glandulaire, division cellulaire ## Footnote Le calcium est essentiel pour de nombreux processus physiologiques.
92
Quelle est la concentration normale de calcium dans le sang?
2.2-2.7 mmol/L ## Footnote Cette plage indique les niveaux de calcium considérés comme normaux dans le sang.
93
Quel hormone stimule la résorption osseuse lorsque la concentration de calcium diminue?
Parathormone ou PTH ## Footnote La parathormone est produite par les glandes parathyroïdes.
94
Vrai ou Faux: La parathormone augmente la concentration de calcium dans le sang.
Vrai ## Footnote La PTH agit pour libérer le calcium des os dans le sang.
95
Complétez: La _______ est essentielle pour la contraction musculaire.
calcium ## Footnote Le calcium joue un rôle clé dans le mécanisme de contraction des muscles.
96
Quel effet a la parathormone (PTH) sur la concentration du calcium?
Stimule la résorption osseuse
97
Quel effet a la calcitonine sur la concentration du calcium?
Stimule le dépôt de sels de calcium dans les os
98
Qu'est-ce que la régulation hormonale permet de conserver?
L'homéostasie calcique
99
Quel est l'effet de l'absence d'hormone de croissance (GH) pendant la période de croissance?
Cause le nanisme hypophysaire
100
Quel est l'effet d'un excès de GH pendant la période de croissance?
Cause le gigantisme
101
Quel est l'effet d'un excès de GH chez l'adulte?
Cause l'acromégalie
102
Qu'est-ce que l'ostéoporose?
La masse totale est réduite mais la composition chimique de la matrice reste normale.
103
Pourquoi l'ostéoporose est-elle considérée comme un problème de santé publique majeur?
Environ 200 millions de personnes dans le monde souffrent de cette pathologie.
104
Quel pourcentage de femmes ménopausées en Europe et aux États-Unis sont atteintes d'ostéoporose?
~ 30%
105
Quel pourcentage des hommes caucasiens après 50 ans subiront des fractures dues à l'ostéoporose?
20%
106
Quel pourcentage des femmes caucasiennes après 50 ans subiront des fractures dues à l'ostéoporose?
50%
107
Quelles sont quelques types de fractures dues à l'ostéoporose?
* Fracture par tassement des vertèbres * Fractures du poigné * Fractures du col du fémur
108
Qu'est-ce que l'ostéogenèse?
Formation du tissu osseux
109
Que compose le squelette de l'embryon humain pendant les premières semaines?
Membranes fibreuses et cartilage hyalin
110
Comment le tissu osseux peut-il se former?
Par ossification directe ou indirecte
111
Qu'est-ce que l'ossification directe?
Formation d'os plats
112
Qu'est-ce que l'ossification indirecte?
Formation d'os longs à partir d'un modèle cartilagineux
113
L'ossification directe est également appelée _______.
[ossification intramembraneuse]
114
L'ossification indirecte est également appelée _______.
[ossification endochondrale]
115
116
117
Formation d’un os plat
118