What is important for panoramic proper positioning?
Patient positioning and head alignment
What do patients need to remove for a panoramic radiograph?
Dental appliances
Earrings
Necklaces
Hairpins
Glasses
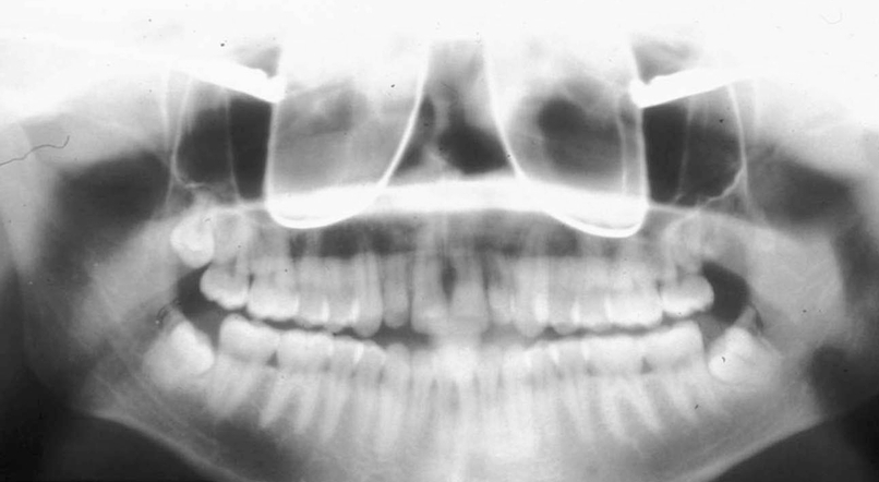
What is wrong with this image?
glasses
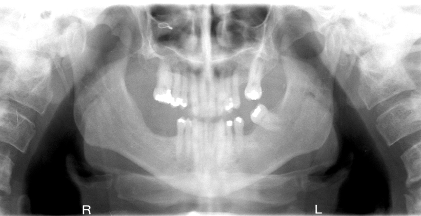
What is wrong with this image?
earrings
What is wrong with this image?
necklace
What is wrong with this image?
hairpins
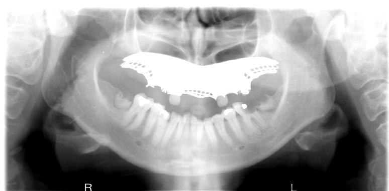
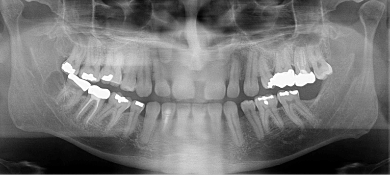
What is wrong with this image?
removable prosthodontic device
What should you be able to see with proper positioning for a panoramic?
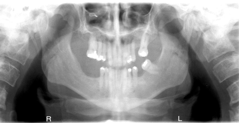
What is wrong with this image?
Too far forward
Anteriors narrowed and blurred; cervical spine superimposed on ramus?
What happens if a panoramic is taken too far forward?
What is wrong with this image?
too far forward
double real image of cervical spine (superimposed on ramus)
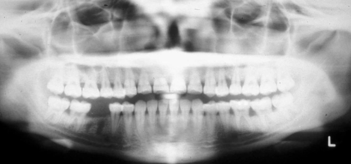
What is wrong with this image?
too far back
What happens if a panoramic is taken too far back?
What is wrong with this image?
too far back
What is wrong with this image?
Inferior turbinates and meati spread across maxillary sinuses (too far back)
(also ghost image of earrings?-haley)
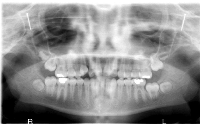
What is wrong with this image?
chin down
rami tipped in; OP very smiley
What happens if a panoramic is taken with the chin down?
What is wrong with this image?
chin down
What is wrong with this image?
chin down and too far forward
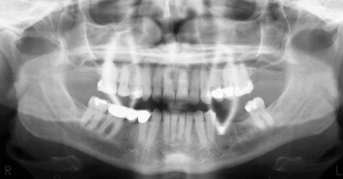
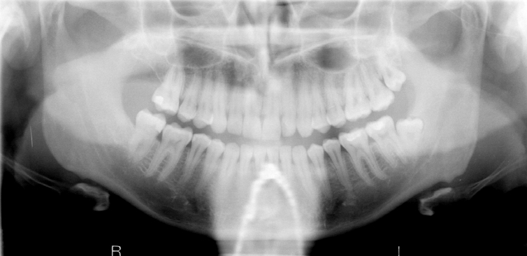
What is wrong with this image?
chin up
What happens if a panoramic is taken with the chin up?
What is wrong with this image?
chin up
What is wrong with this image?
head turned
unequal magnification of one side; overlaped contacts on ONE side
What happens if a panoramic is taken with the head turned?