When does acute mastitis commonly occur and what is the main cause?
Occurs in the first few months of breast feeding. Nipples and areola become irritated and infection can occur. Staph aureus is most common (localized lesion) Strep is second most common (diffuse lesions)
What is periductal mastitis and its biggest risk factor?
Inflammation of the subareolar lactiferous ducts. Commonly seen in smokers. (smoking leads to a vit. A deficiency which alters the ductal epithelium)
What is the morphology of periductal mastitis?
Cells along the lactiferous duct change from cuboidal to keratinized squamous.

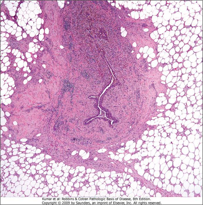
What is mammary duct ectasia?
Palpable periaroalr mass caused by inflammation and dilation of the subareolar ducts. Not associated with smoking.
What is the morphology of mammary duct ectasia?
Tons of lipid-laden macrophages and cholesterol deposits. Granulomatous inflammation surrounds the cholesterol deposits.

What are the 3 fibrocystic changes that occur in the breast?
What is the difference between proliferative breast disease without atypia vs. disease with atypia?
Without atypia means proliferation of ductal epithelium and stroma without cytologic or architectural changes that might indicate carcinoma in situ. Includes: epithelial hyperplasia, slerosing adenosis, complex sclerosing lesions, and papillomas.
With atypia resembles ductal carcinoma in situ. Includes atypical ductal hyperplasia and atypical lobular hyperplasia.
What is Ductal carcinoma in situ of the breast?
Malignant ductal cells of the lactiferous ducts. Can spread thru the lobules and create calcifications.

What is Paget Disease?
Occurs when a patient has Ductal Carcinoma In situ of the breast. The malignant cancer cells spread along the ductal epithelium and out onto the skin of the nipple creating “scale crust”.
Major differences between lobular and ductal carcinoma in situ.
Lobular has no calcifications and is usually bilateral.
Ductal has calcifications and is more unilateral.
Most common invasive breast carcinoma in women.
Medullary Carcinoma
Morhology of the 3 major types of invasive breast carcinoma:
Medullary
Mucinous
Tubular
Medullary: syncytium like sheets of cells, mitotic figures, lymphoplasmocytic infiltrate
Mucinous: small islands of cells with lakes of mucin
Tubular: well formed tubules, possible calcifications in tubules
Name the type of invasive breast carcinoma

Mucinous: lots of mucin and islands of cells
Name the type of invasive breast carcinoma.

Tubular: well formed tubules
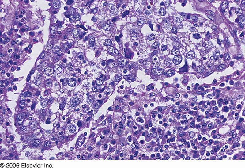
Name the type of invasive breast carcinoma.

Medullary: Sheets of syncytial cells
Main prognostic factor for breast cancers.
Axillary lymph node status
Most common benign breast tumor and its morphology.
Fibroadenoma: mammographic densities and calcifications. More common in women age 15-30 and in pregnancy.
Describe a Phyllodes Tumor and its morphology.
Similar to a fribroadenoma only the fibrous tissue expands even more in this type of tumor. Arises in the intralobular stroma in post menopausal women.
What is gynecomastia?
Enlargement of the male breast. Presents as a button-like subareolar enlargement.