Patho Slides Flashcards

(30 cards)

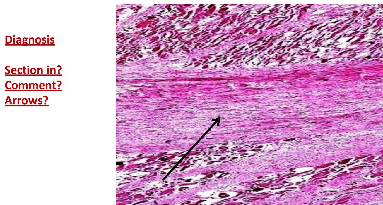
1
Q
A

Myocardial scar

Section in myocardium
Area of scar tissue
Adjacent cardiac muscles are red and slightly atrophic

How well did you know this?
1
Not at all
2
3
4
5
Perfectly
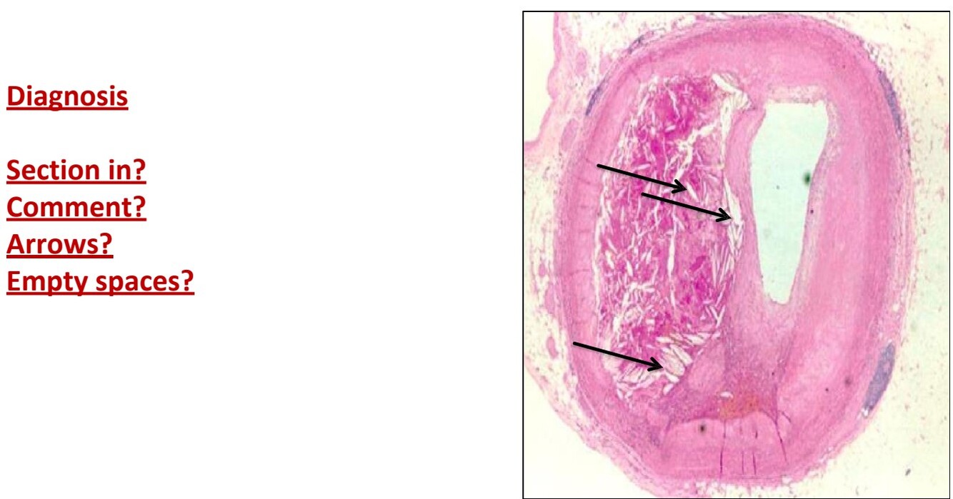
2
Q
A

Arterial thrombus

Transverse section in blood vessels

Lumen is occluded by a thrombus between lines of Zahn which is made of fibrin entangling

How well did you know this?
1
Not at all
2
3
4
5
Perfectly
3
Q
A

Atheroma, small artery

Section in small artery

The empty clefts were occupied by cholesterol
Internal elastic lamina is thinned and so is the media
Thickened subendothelial CT with needle/spindle shaped

How well did you know this?
1
Not at all
2
3
4
5
Perfectly
4
Q
A

Lobular Pneumonia

Section in lung

Alveolar spaces contain network fibrin entangling RBCS and some macrophages
Alveolar wall are thickened and show edema and congestion

Acute nonsuprative fibrinous inflammation

How well did you know this?
1
Not at all
2
3
4
5
Perfectly
5
Q
A

Chronic venous congestion in lung

Lung section

Alveolar wall are thickened due to interstitial edema and congested
Alveolar spaces contain transudate, entangling red cells and hemosiderin granules (the BROWN CELL)

How well did you know this?
1
Not at all
2
3
4
5
Perfectly
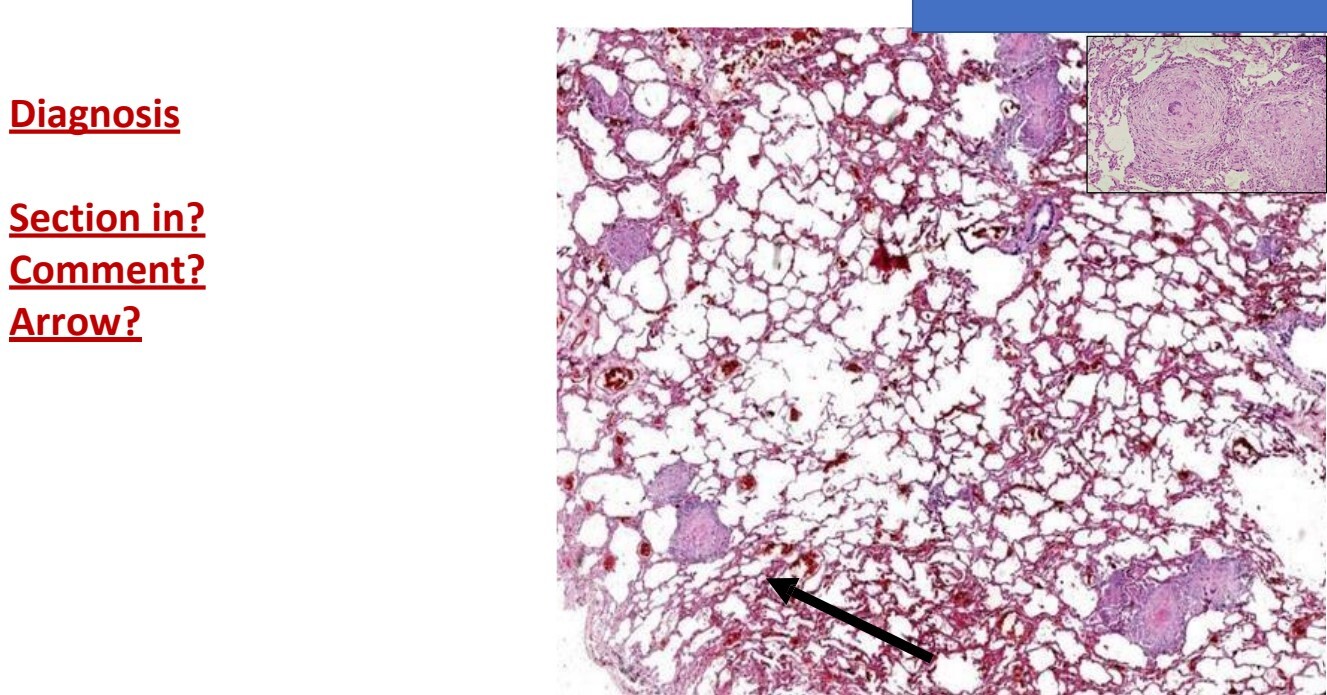
6
Q
A

Infarction lung

Lung

The infract show atrophic alveolar wall appears as thin fibrous septa
Rest of lung shows chronic venous congestion

How well did you know this?
1
Not at all
2
3
4
5
Perfectly
7
Q
A

Miliray TB in lung

small tubercles scattered in lung tissue
Each tubercle shows minimal central caseation

Arrow points at giant cells

How well did you know this?
1
Not at all
2
3
4
5
Perfectly
8
Q
A

Acute suppurative appendicitis

The mucosa, submucosa show edema, congested capillaries and exudate
Lumen of the appendix contains fibrin network entangling mucosal cells

How well did you know this?
1
Not at all
2
3
4
5
Perfectly
9
Q
A

Fibrinous peritonitis small intestine

Peritoneum shows shed serosal cell covered by fibrin
Subserosal CT shows edema, congestion and acute infiltrate

How well did you know this?
1
Not at all
2
3
4
5
Perfectly
10
Q
A

Adenoma (intestine)

Benign tumor formed of proliferated acini lined by columnar mucin secreting cells
Some show pseudo-stratification
Vascular CT is found between gland

precancerous

How well did you know this?
1
Not at all
2
3
4
5
Perfectly
11
Q
A

Adenocarcinoma colon

Showing malignant gland
Irregular in shape, and in lumen, lined in anaplasic-like cells
Invading colon

How well did you know this?
1
Not at all
2
3
4
5
Perfectly
12
Q
A

Bilharziasis rectum

section in colonic mucosa

Showing bilharzial granuloma. Many bilharzia ova with reflective shell.
Ova are surrounded by bilharzial reaction (lymphocytes plamsa, fibrosis, giant cells

Non precancerous

How well did you know this?
1
Not at all
2
3
4
5
Perfectly
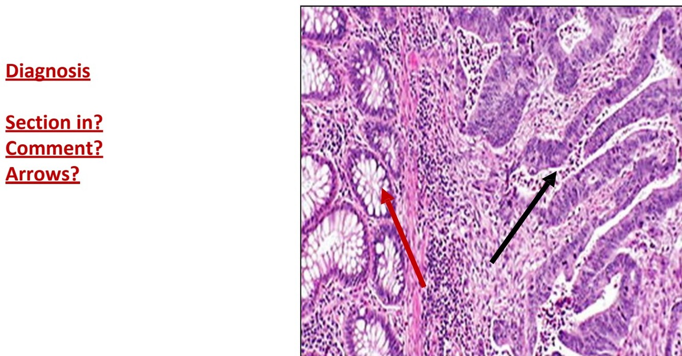
13
Q
A

Bilharzial polyp

Section in colon

Showing core showing fresh degenerated by bilharzial reaction (lymphocytes, plasma cell, macrophage)
Hyperplastic covering mucosa

Not precancerous

How well did you know this?
1
Not at all
2
3
4
5
Perfectly
14
Q
A

Fibrinous peritonitis

In liver

covering peritoneum shows shedded serosal cells and covered by network fibrin
Has acute inflammatory infiltrate
Subserosal CT shows edema, congested capillary and inflammation

How well did you know this?
1
Not at all
2
3
4
5
Perfectly
15
Q
A

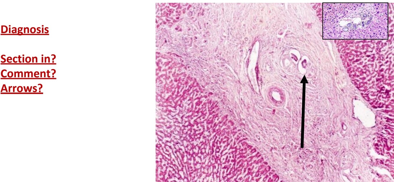
Bilharzial periportal fibrosis

Section in liver

Portal tract is side fibrinous due to bilharzial ova and is surrounded by bilharzial reaction (lymph, plasma cells, macrophage)

How well did you know this?
1
Not at all
2
3
4
5
Perfectly
16
Q
A

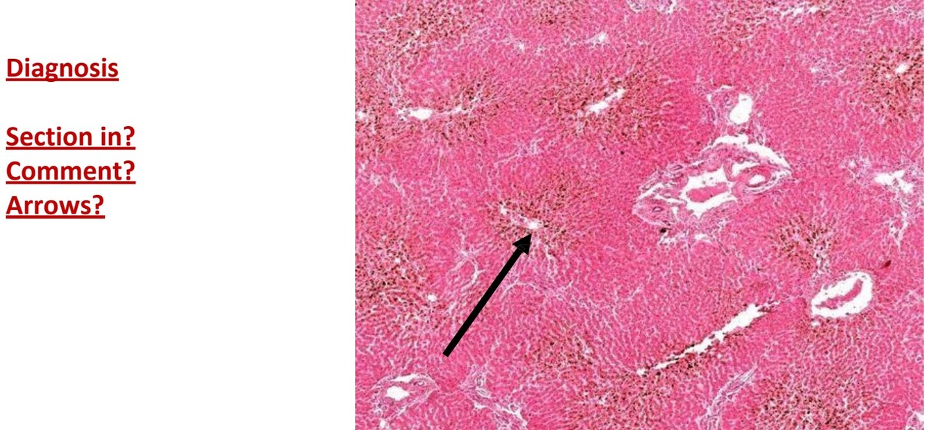
Chronic venous congestion of liver

central veins and sinisuoids are dilated and congested
Liver centeral lobules show necrosis
Liver cells in periphery shows swelling and fatty degeneration
Has kuffer cell macrophages

Arrow points to kuffer cells

17
Q
A

Bilharziasis in urinay bladder

Section from urinary bladder wall

Bilharzia ova are deposited on the submucosa. Ova surrouned by bilharzial reaction (lymphocytes, fibrosis, macrophages)
Urothelium shows hyperplasia

yes, can be precancerous

18
Q
A

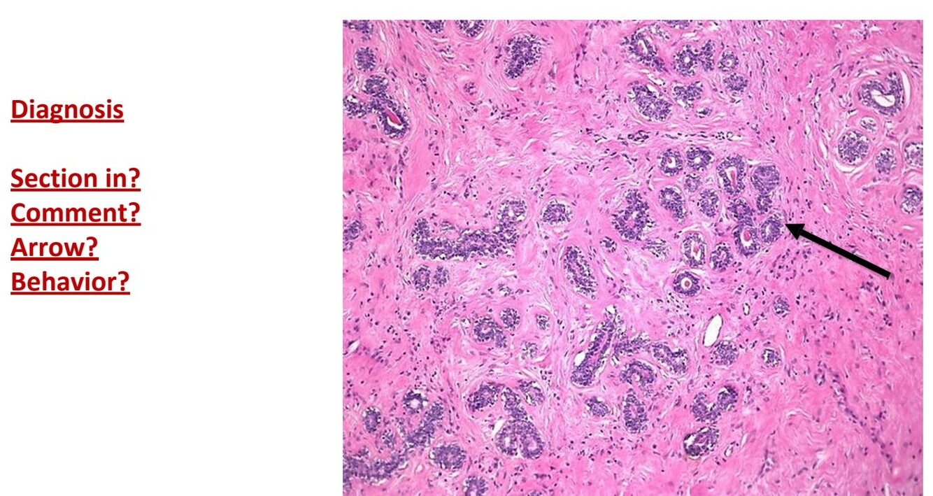
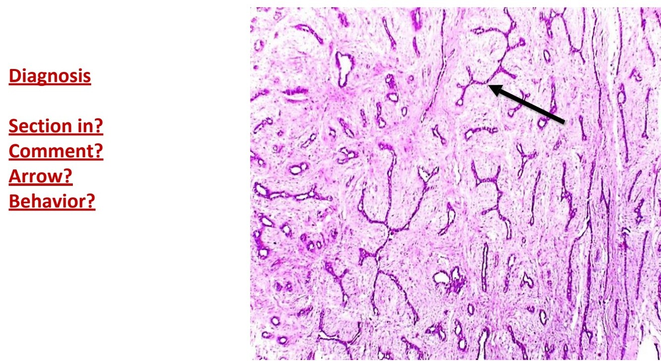
Peri-canalicular fibroadenoma

Section in capsulated benign tumor
Proliferated ducts with oval cut in section with patent lumen
Delicate fibrous tissue

Arrow points to duct (non invasive)

19
Q
A

Intra-canalicular fibroadenoma

section in capsulated benign tumor formed of proliferated ducts (slit like lumen), lined by 2 layer cells
Excess fibrous tissue

20
Q
A

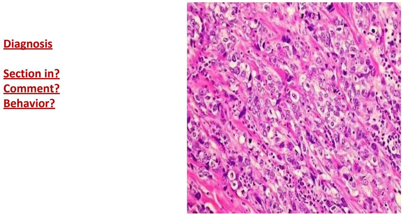
Infiltrating duct carcinoma

Section in breat showing malignatn tumor formed of infiltrating sheets
Malignant cells are rounded or polygonal variable in shape

shows cellular anaplasia behaviour

21
Q
A

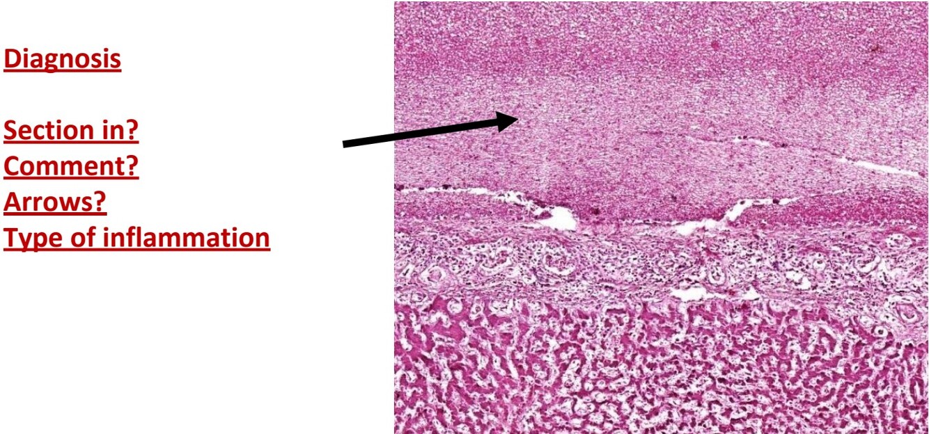
Infarction in spleen

Section in spleen
Infraction shows structureless pink area. Red and white pulp appear as GHOSTS
3 zones from left to right: infarction, congestion and normal zone

22
Q
A

Metastatic carcinoma, lymph nodes

In lymph nodes

Partial replacement of nodal tissue by malignant tumor deposits
Tumor is solid in masses

Arrow points to tumor emboli.

23
Q
A

Caseating TB

In lymphnode
Lymph node is enlarged and partially effaced
Multiple tubercles are seen around caseation

Black arrow is Langerhans giant cell
Red arrow is caseation

24
Q
A

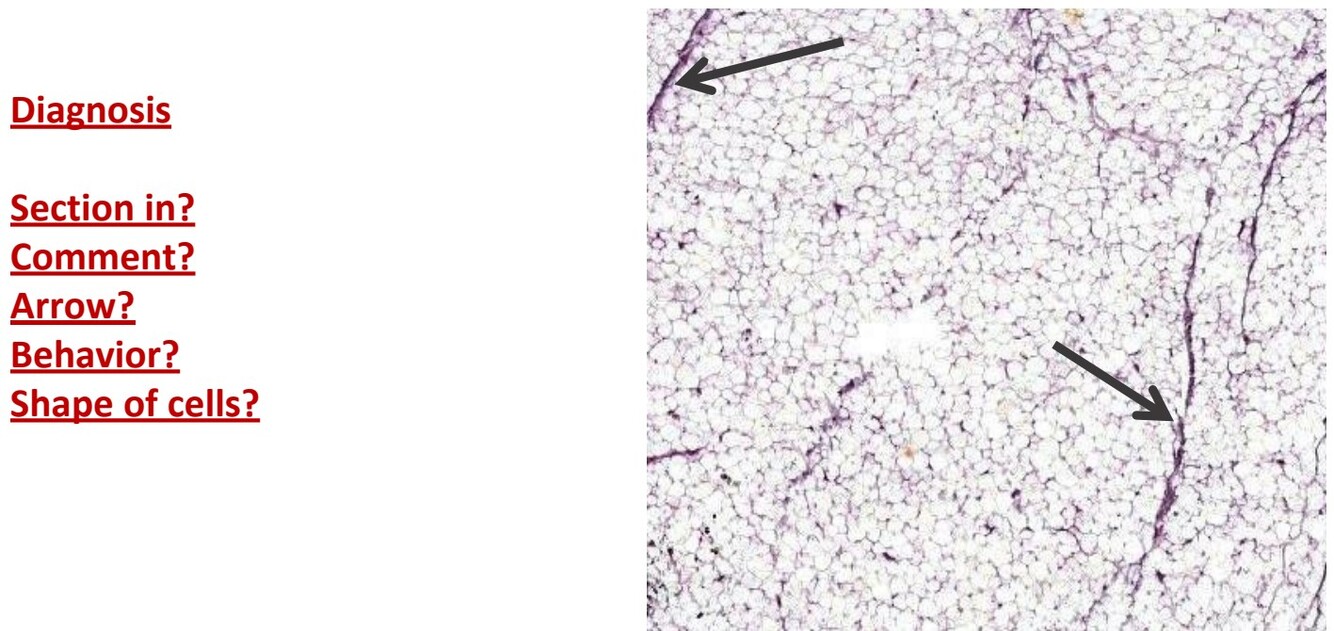
Lipoma

Section from Benign tumor
Fibrous capsule surrounds tumor creating fibrovascular septa
Lobules are formed of mature fat which are polygonal

arrow points to septa

25
Squamous cell papilloma Branching core of CT showing blood vessels Covered by thick hyperplastic stratified squamous epithelium rarley precancerous Arrow points to core CT
26
Squamous cell carcinoma in Situ section in skin Squamous metaplasia with full thickness and high grade dysplasia Cells show loss of orientation, large. hyperchromatic No invasion of no basement membrane
27
Squamous cell carcinoma Skin Mallignant tumor formed of cell nests formed of outer basal inner polyhedral keratin place. cells show criteria of anaplasia. Inside cell nests is keratin arrow cell nests
28
Fibrosarcoma In malignant tumor SHows proliferated spindle cells Cells have dark elongates nuclei, background is collagenous
29
Actinomycosis section in skin Has many abscesses surrounded by fibrosis Each abscess consists blue fungal colonies surrounded byneutrophils and macrophages Fungal colonies are dark blue Fungal colony
30
Acute suppurative appendicitis Transverse section in appendix Has transmural infiltrate Lumen contains fibrin network entangling necrotic shedded mucosal cell