What are the large-vessel vasculitides?
Temporal (Giant cell) arteritis
Takayasu arteritis
What are the medium-vessel vasculitides?
Think: cook a COW in a PAN to get a MEDIUM BURGER
Kawasaki Disease
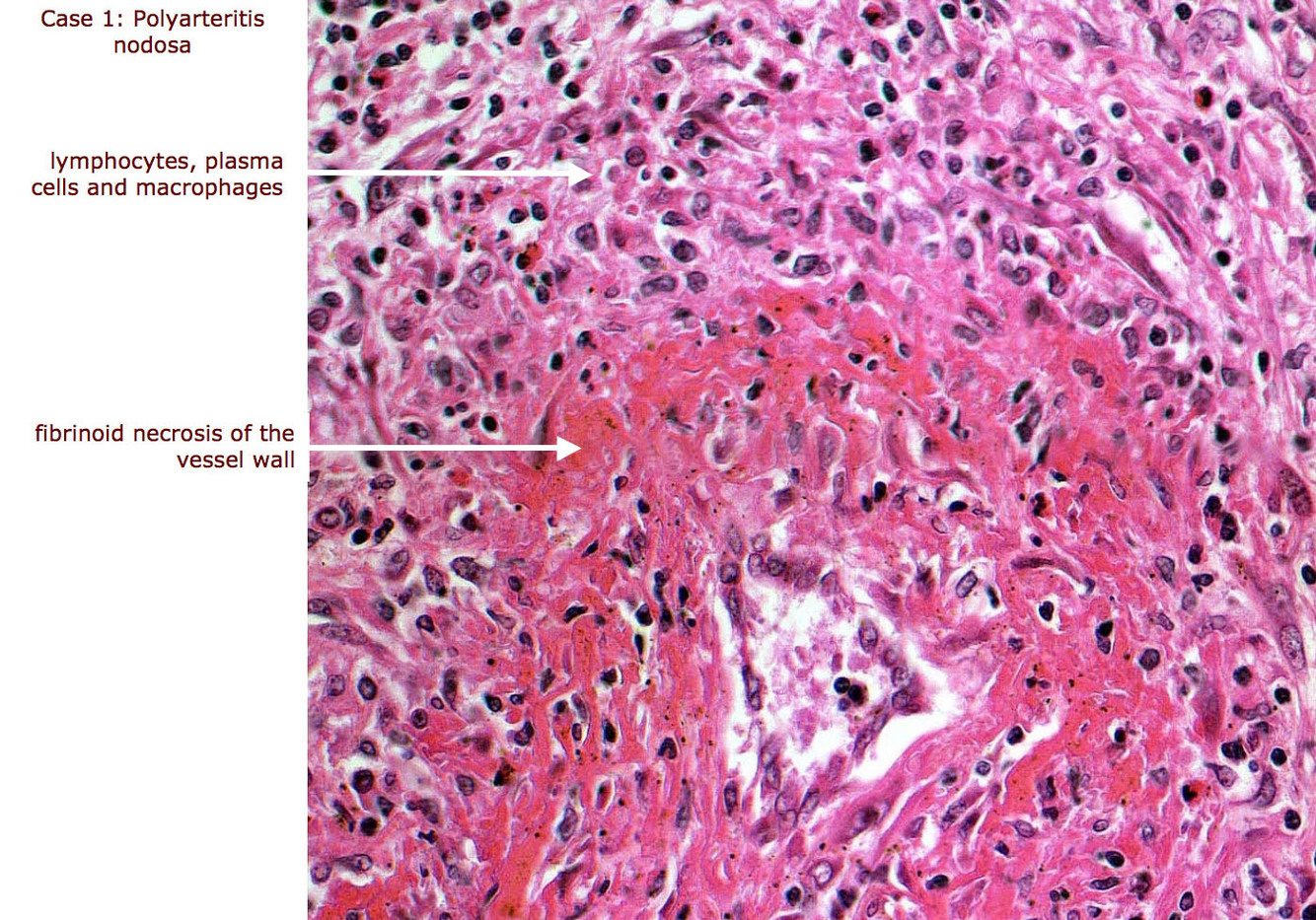
Polyarteritis Nodosa
Buerger Disease
What are the small-vessel vasculitides?
Wegener Granulomatosis
Microscopic polyangiitis
Churg-Strauss Syndrome
Henoch-Schonlein Purpura
What vessels are affected in Temporal (Giant cell) Arteritis?
Branches of the carotid artery
Presentation of Temporal (Giant cell) Arteritis?
Depends on artery involved:
Headache –> temporal a.
Visual disturbances –> ophthalmic a.
Jaw claudication
What is polymyalgia rheumatica and what disease is it involved in?
Flu-like symptoms with joint and muscle pain
Presentation of Temporal (Giant cell) Arteritis
Describe biopsy in Temporal (Giant cell) Arteritis
Focal granulomatous inflammation:
Giant cells and intimal fibrosis (between intima and media)
Lesions are segmental so biopsy requires long segment and may be negative even with disease

Treatment and importance of treatment in Temporal (Giant cell) Arteritis
Corticosteroids
High risk of blindness without treatment
Vessels involved in Takayasu arteritis?
Branches of the aortic arch
Presentation of Takayasu arteritis
Visual and neuro symptoms with weak or absent pulse in upper extremities (e.g. pulseless disease)
Treatment of Takayasu arteritis
Corticosteroids
What are the different populations affected by Giant cell vs Takayasu arteritis
Giant cell: adults > 50 y/o (usually elderly females)
Takayasu: adults < 50 y/o (usually young Asian female)
What organs are affected in polyarteritis nodosa?
Multiple organs with sparing of the lungs
Presentation of polyarteritis nodosa
HTN - renal artery
Abd pain with melena - mesenteric a.
Neuro disturbances
Skin lesions
What vasculitis is serum HBsAg associated with?
Polyarteritis nodosa
What is the appearance of polyarteritis nodosa on imaging
String-of-pearls appearance
Early lesion weaken the wall leading to aneurism
Late lesions heal with fibrosis

Histology of polyarteritis nodosa
Transmural inflammation with fibrinoid necrosis (super pink)

What population is typically affected by Kawasaki Disease?
Asian children < 4 y/o
Presentation of Kawasaki Disease
Nonspecific signs that may appear as viral infection: fever, conjunctivitis, erythematous rash of palms and soles
What vessel is often involved in Kawasaki Disease?
Coronary artery (thrombosis with MI or aneurysm with rupture)
Treatment of Kawasaki Disease
Aspirin (to prevent thrombosis) and IVIG
Presentation of Buerger Disease
Necrotizing vasculitis of digits (ulceration, gangrene, autoamputation of fingers and toes)
What is the major risk factor of Buerger Disease
Smoking
Treatment of Buerger Disease
Smoking cessation