Hepatitis C virus
1. Type of virus
2. Family
3. Does it cause cancer?
Hepatitis B virus
1. Type of virus
2. Family
3. Does it cause cancer?
What virus is associated with Burkitt’s lymphoma?
Epstein-Barre Virus
*Part of the Herpesviridae family, an enveloped double stranded DNA virus
What is the translocation in Burkitts?
Which protein is overexpressed?
(REPEAT)
[t(8;14)]
Myc
What virus is associated with leukemias and lymphomas?
HTLV
Human T-lymphotropic virus 1
What type of virus is HTLV?
Retrovirus
Enveloped ssRNA (same as HIV)
What is the structure of retroviruses?
3 major coding domains
* Group specific antigen (gag) - proteins for capsid, matrix
* pol - reverse transcriptase and integrase, produce viral DNA and inegrate it into the host
* env - viral envelope proteins, associated with entry of virions into the host cell
** RNA template + reverse transcriptase + integrase **
What are the basic steps of angiogenesis?
(duplicating for another pretty picture)
What are the basic steps of angiogenesis?
(duplicating for another pretty picture)
What cancers can have elevated values of Ca 125?
Pancreas, colon, lymphoma, ovary, breast
NOT melanoma
Criteria for Amsterdam II for Lynch Syndrome (HNPCC)
Some guidelines say: Familial adenomatous polyposis should be excluded in the colorectal cancers
Tumors should be verified by pathological examination
What medical belief is aligned pt wanting to do 5th line chemo after bowel obstruction?
A Justice
B Autonomy
C nonmalificience
D beneficience
Autonomy
Beneficence (doing good)
Non-maleficence (to do no harm)
Autonomy (giving the patient the freedom to choose freely, where they are able)
Justice (ensuring fairness)
Brain radiation: which is not a side effect?
A hair loss
B seizures
C HA
D cerebral hemorrhage
cerebral hemorrhage
Most common ovarian malignancy in young women?
A) juvenile granulosa cell
B) sertoli leydig
C) borderline
Borderline
Best way to diagnose Lynch syndrome (for someone that meets criteria)?
Genetic testing
1 mg tumor = how many cells
10^6
= 1 million
1 cubic cm tumor = how many cells
10^9
= 1 billion
What is quality assurance?
Systematic process that ensures products, services, or processes meet specific quality standards.
When can you forgo consent on an IRB?
What are the four pillars of medical ethics?
Recognize a psammoma body
Associated with papillary serous tumor of the uterus and ovary
Call-Exner body
Granulosa cell tumor
Coffee bean nuclei
“CALL your GRANny for some coffee”
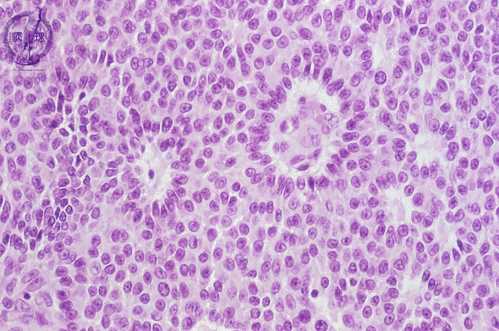
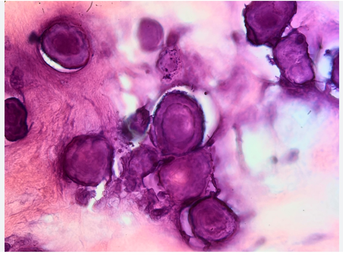
Identify this structure
Psammomma bodies
Associated with papillary serous tumor of the uterus and ovary
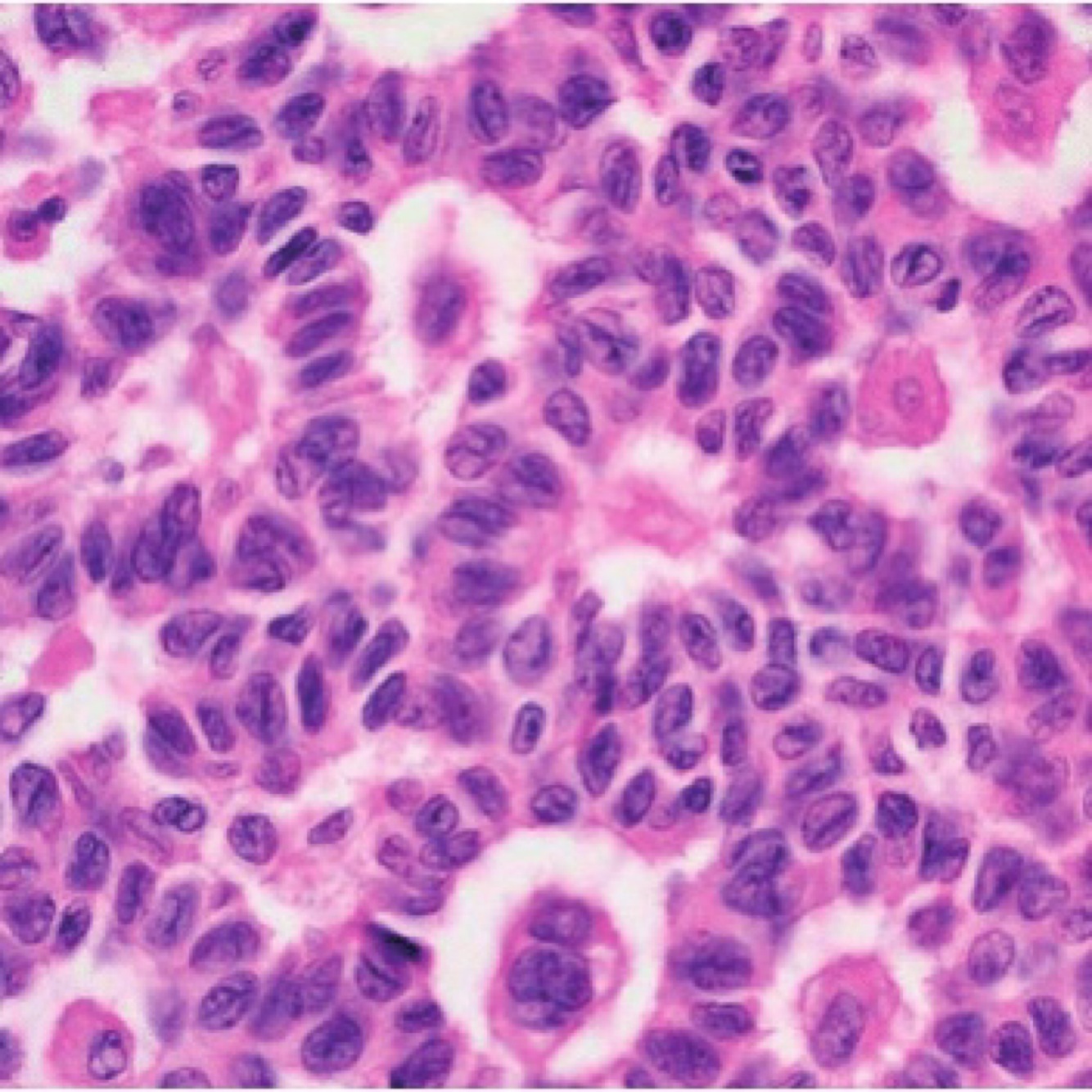
Identify this structure
Granulosa cell tumor
Call Exner Body
Coffee bean nuclei
“CALL your GRANny for some coffee”