Prions Flashcards

(3 cards)

1
Q

Clinical sign of what prion disease

A

Scrapie

How well did you know this?
1
Not at all
2
3
4
5
Perfectly
2
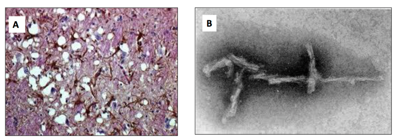
Q

Histopathologic signs of what prion disease

A

Neuronal Vacuolation and Degeneration, Scrapie associated fibrils

Scrapie

How well did you know this?
1
Not at all
2
3
4
5
Perfectly
3
Q
A
How well did you know this?
1
Not at all
2
3
4
5
Perfectly