Pulmonology Flashcards

(190 cards)

1
Q

Mc cause of acute bronchitis

A

Viral

How well did you know this?
1
Not at all
2
3
4
5
Perfectly
2
Q

Tx for acute bronchitis

A

Sx: Albuterol, antitussives No ABX usually needed d/t 80% viral

How well did you know this?
1
Not at all
2
3
4
5
Perfectly
3
Q

Sx. of Flu

A

Myalgias, sudden onset of fever and chills

How well did you know this?
1
Not at all
2
3
4
5
Perfectly
4
Q

Tx for Influenza A only

A

Amantidine/rimantidine

How well did you know this?
1
Not at all
2
3
4
5
Perfectly
5
Q

Tx for Flu A and B

A

Oseltamivir/Zanamivir

How well did you know this?
1
Not at all
2
3
4
5
Perfectly
6
Q

Define Catarrahl stage of pertussis

A

URI sx in first 1-2 wks

How well did you know this?
1
Not at all
2
3
4
5
Perfectly
7
Q

Define Paroxysmal stage of pertussis

A

Cough with post-tussive emesis

How well did you know this?
1
Not at all
2
3
4
5
Perfectly
8
Q

Define convalescent stage of pertussis

A

Sx lasting months after pertussis

How well did you know this?
1
Not at all
2
3
4
5
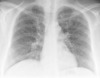
Perfectly
9
Q

Primary Tx of pertussis

A

Macrolides (azithromycin)

How well did you know this?
1
Not at all
2
3
4
5
Perfectly
10
Q

2ndary tx of pertussis

A

sulfa drugs

How well did you know this?
1
Not at all
2
3
4
5
Perfectly
11
Q

Viral PNA cxr

A

Perihilar markings

How well did you know this?
1
Not at all
2
3
4
5
Perfectly
12
Q

MC pathogen of CAP

A

S. pneumo

How well did you know this?
1
Not at all
2
3
4
5
Perfectly
13
Q

CXR of CAP

A

Lobar consolidation

How well did you know this?
1
Not at all
2
3
4
5
Perfectly
14
Q

Vocal fremitus is _______ in consolidation (bacterial) PNA

A

Increased

How well did you know this?
1
Not at all
2
3
4
5
Perfectly
15
Q

Percussion is ________ in consolidation (Bacterial) PnA

A

Dull

How well did you know this?
1
Not at all
2
3
4
5
Perfectly
16
Q

Whispered petroliloquy is ______ in consolidation (Bacterial) PNA

A

Present

How well did you know this?
1
Not at all
2
3
4
5
Perfectly
17
Q

diagnostic test of choice for bacterial PNA

A

CXR

How well did you know this?
1
Not at all
2
3
4
5
Perfectly
18
Q

CXR findings of consolidation PNA

A

Air bronchograms, Lobar consolidation, Atelectasis

How well did you know this?
1
Not at all
2
3
4
5
Perfectly
19
Q

MC cause of viral pna in infants/small children

A

RSV and Parainfluenza

How well did you know this?
1
Not at all
2
3
4
5
Perfectly
20
Q

MC cause of viral Pna in adults

A

Influenza

How well did you know this?
1
Not at all
2
3
4
5
Perfectly
21
Q

MC cause of VIRAL PNA in AIDS or transplant pt.

A

CMV

How well did you know this?
1
Not at all
2
3
4
5
Perfectly
22
Q

MC cause of atypical (walking) PNA esp in school aged college students or military recruits

A

Mycoplasma pneumoniae

How well did you know this?
1
Not at all
2
3
4
5
Perfectly
23
Q

Sx present in Mycoplasma pneumo

A

Pharyngitis Bullous myringitis URI sx.

How well did you know this?
1
Not at all
2
3
4
5
Perfectly
24
Q

PNA in ETOH’ics

A

Klebsiella pna

How well did you know this?
1
Not at all
2
3
4
5
Perfectly
25
Legionella PNA is not transmitted through ________ instead through \_\_\_\_\_\_
person to person contact cooling towers, AC, contaminated water supply
26
Legionella PNA additional sx
N/V/D Inc LFT's
27
HCAP mc pathogens
Gram negative rods (pseudomonas,)
28
Tx for Legionella PNA
fluoroquinolones
29
Out patient tx for CAP in pt w/o comorbidities
Macrolide (azithro), Tetracyclines (doxy)
30
Out pt tx for CAP in pt w/ CHF, old age, DM, lung dz.
Respiratory fluoroquinolones (Levofloxacin)
31
Out pt tx for CAP in Pediatric pt
Azithro, Amox/augmentin
32
Tx for psuedomonas HCAP
Tobramycin
33
Tx for MRSA HCAP
Vanco
34
When you hear HIV and PNA what opportunistic AIDS defining pathogen do you think.
Pneumocystis jiroveci
35
Tx. for pneumocystis jiroveci
BACTRIM prophylactically!
36
All fungal PNA present similarly with what Sx.
Fever, night sweats, malaise, and cough
37
Histoplasmosis is found in what part of the country
MS/OH river valley
38
Blastomycosis is found in what part of the country
Midwest
39
Coccidiomycosis is found in what part of the country
Desert Southwest
40
3 stages of TB
Infection, Latent, Reactivation
41
Are pt's in the Latent stage of TB infective?
NO
42
Constitutional sx of TB
Fever, night sweats, anorexia, fatigue
43
Pulm Sx of TB
Chronic productive cough Hemoptysis
44
What is considered a positive TB test in an immuno-compromised, HIV, or close contact with confirmed TB pt?
\>5mm of induration
45
What is the test time frame for PPD?
48-72 hours
46
What is considered a positive TB test in IVDA, Prisoners, Military, DM, or Hospital workers?
\>10mm
47
What is considered a postive PPD in the general population?
\>15mm
48
Diagnosis of TB requires what?
3 days of AM sputum culture
49
Tx of active TB?
Empiric "RIPE" Rifampin INH Pyrazinamide Ethambutol (Add B6 Pyridoxine-for prevention of peripheral neuropathy)
50
When is TB PT no longer considered infectious?
2 weeks after initiation of tx.
51
Total tx duration of TB
6ms (or 3 mos with neg. sputum culture)
52
Tx of non-contagious Latent TB?
INH + Pyridoxine (Vit B6) if INF resistant: Rifampin
53
What is the most common cause of cancer death worldwide?
Lung CA
54
Characteristics of a benign pulmonary nodule on CXR
\<3cm Slow growing Smooth Central calcification (RARE cavitation)
55
Follow up for nodule \<3cm on CXR
serial CXR watchful waiting q3m CT scan BX if concern for malignancy
56
Characteristics of Malignant pulmonary nodule o CXR
Irregular shape, spiculated Rapid growth (may double in 4mo) Cavitary w/ thickened walls
57
MC cause of brochogenic carcinoma
smoking
58
MC eiology of bronchogenic carcinoma
NSCLC
59
1st line tx for NSCLC
surgery
60
MC type of NSCLC
Adenocarcinoma
61
SCLC tx.
Chemo w/ or w/o radiotherapy, Surgery not usually tx of choice
62
presentation of SCLC
Usually has Mets by the time presents,
63
Define Horner's syndrome
miosis, ptosis, anhydrosis
64
What percentage of sx secondary to sarcoid are pulmonary?
90%
65
What other systems besides pulmonary are affected by sarcoidosis
Lymph Skin Visual Myocardial Rhem Neuro
66
What sx are present in sarcoidosis w/ Lymph component?
Hilar notes, Painless intrathoracic lymphadenopathy
67
What sx are present in sarcoidosis w/ Skin component?
Erythema nodosum: bilat tender red nodules on ant legs Lupus Pernio: Violacsous, rased discolration of nose, ear cheek and chin (resembles frostbite)
68
What disorder is pathognomonic for sarcoidosis
Lupus Pernio
69
What sx are present in sarcoidosis w/ Visual component?
Uveitis: blurred vision, ocular discomfort, photophobia. Conjunctivitis
70
What sx are present in sarcoidosis w/ Myocardial component?
arrhythmias cmyops
71
What sx are present in sarcoidosis w/Rheum component?
arthralgias Splenomegaly
72
What sx are present in sarcoidosis w/ Neuro component?
CN palsies
73
CXR of sarcoidosis
Nodular lesions with hilar lymphadenopathy
74
Pt's with sarcoidosis are (Hyper/Hypo)-Calcemic?
Hyper
75
Tx of sarcoidosis
Steroids for sx only
76
Where are pt's with Asbestosis exposed?
Ships and insulation
77
Where are pt's with silicosis exposed?
Sand blasting, foundry work
78
Where are pt's with "black lung" exposed
"miner's lung" - coal
79
50 year old man is seen c/o dyspnea and non-productive cough. Fine bibasilar inspiratory crackles are hears. Noted clubbing of fingers. What is suspected dx.? Also what would you expect to see on CXR?
idiopathic pulmonary fibrosis CXR-"honeycombing", ground glass opacities
80
Managment of idiopathic pumonary fibrosis
smoking cessation and O2. Lung transplant only cure
81
Where are pt's with Berylliosis exposed?
Flourescent light bulb factories, aerospace, electronics
82
CXR of Asbestosis
Pleural plaques, interstitial fibrosis (honeycomb of lungs), primarily in lower lungs!!!
83
Chronic exposure to _____ leads to 80% of Mesothelioma cases.
Asbestos
84
Define pleural effusion
Abnormal accumulation of fluid in the pleural space
85
MC cause of transudative pelural effusion
CHF
86
Transudate pleural effusion occurs d/t
Circulatory system fluid
87
Exudate pleural effusion occurs d/t
local pulmonary factors inc vascular permeability
88
sx of pleural effusion
asymptomatic dyspnea "pleuritic cp" cough
89
In pleural effusion tactile fremitus is ______ ?
Decreased
90
In pleural effusion breath sounds are \_\_\_\_\_\_?
Diminished
91
In pleural effusion Percussion is \_\_\_\_\_?
Dull
92
What CXR is best for assumed pleural effusion
Lat Decub.
93
Gold standard tx for pelural effusion
Thoracentesis (Dx and therapeutic)
94
Do not remove greater than ____ during 1 thoracentesis?
\>1.5L
95
What are the 3 types of PTX?
Spontaneous Traumatic Tension
96
Managment of tension pneumothorax
Immediate needle aspiration followed by chest tube thoracostomy
97
Where do you place the needle for aspiration of tension PTX
2nd ICS MCL just above the third rib in order to avoid the NAV that rides under the 2nd rib
98
Placement of chest tube for tube thoracostomy in PTX
5th ICS Anterior to midaxiallary line
99
Virchow's Triad
1. Stasis 2. Hypercoaluability 3. Intimal Damage
100
Classic Triad of Sx for PE
1. dyspnea 2. Pleuritic cp 3. Hemoptysis
101
CXR finding of Westermark Sign or Hamptons' Hump Is an uncommon finding suggestive of
PE
102
Describe Diagnose
Westermarks Sign Avascular markings distal to area of embolus PE
103
Describe Diagnose
Hampton's Hump: Wedge shaped infiltrate PE
104
Describe Diagnose
Tension Pneumo
105
Define Diagnose
Lobar pneumonia CAP
106
# Define Diagnose
Perihilar markings Viral Pna
107
Define Diagnose
Fluid seen in R lower lung. Dull CVA Pleural effusion
108
Most common CXR findings of PE
None Most CXR in PE will be normal
109
ECG finding in PE
Sinus tach and non specific ST/T changes are MC Also S1Q3T3 (more likely to be seen w/ massive PE
110
Initial screening test for PE
Helical CT scan
111
Gold standard for PE testing
Pulmonary angiography: usually only done if high suspicion and neg CT or VQ scan
112
Tx for pt with PE who is hemodynamically stable
UFH or SQ LMWH followed by PO warfarin once therapeutic
113
Tx for PE in hemodynamically unstable
Thrombolytic tx or embolectomy if anticoag is contraindicated
114
How long must you tx a pt with PE after intiial DVT
3-6mo
115
What is the reversal agent for LMWH and UFH
Protamine sulfate
116
Define heparin Induced thrombocytopenia
Suspect HIT if drop in platelet count by 50% of baseline after initiation of Heparin tx.
117
What are the PERC criteria
Age \<50 Pulse \<100 O2 sat \>95% No prior PE No trauma No Hemoptysis No estrogens No unilateral leg swelling
118
Scoring for Well's Criteria
\<4 = Low probability 4.5-6 = Mod Probability \>6 = High probability
119
Pathogensis of Pulmonary HTN
Inc. Pulmonary vascular resistance --\> RVH --\> R sided HF
120
Primary Pulm HTN Mc cause
Idiopathic
121
Secondary Pulm HTN mc cause
Pulm dz (COPD MC)
122
Physical exam of Pulm HTN pt
Signs of R sided HF: Inc. JVP Peripheral edema Ascities
123
Definitive diagnosis of Pulm HTN
R sided cath: Pulm art pressure \>25mmHg at rest
124
Managment of Pulm HTN
Calcium Channel Blockers are 1st line tx Vasodilators O2 Anticoags
125
thumbprint sign on XRay indicative of what?
Epiglottitis
126
MC pathogen of acute epiglottitis
Group A strep (used to be Hflu)
127
Tx of Epiglottitis
Immediate intubation 3rd Gen cephalosporins
128
Steeple sign on Xray indicative of
Croup
129
What is heard on exam for pt with Croup
Inspiriatory stridor
130
MC cause of croup
Parainfluenza
131
Tx of croup
Hydration, humidity, steroids Racemic epi if struggling
132
What is the most common cause of respiratory distress in an infant?
Hyaline Membrane Dz
133
Cause of Hyaline Membrane Dz
Deficiency of surfactant
134
Describe Diagnose
Gilateral atelectasis and "ground glass appearance" Hyaline Membrane Dz
135
Tx of Hyaline membrane dz
O2, early intubation, Ventilation, Surfactant replacement
136
What is the most common lower respiratory illness in infants and children \< 2 yo
Acute Bronchiolitis
137
MC pathogen of Bronchiolitis
RSV
138
Tx for Bronchiolitis
Supportive Hospitalize if severe Bronchodilators, corticosteroids are controversial use
139
Sx of Foreign body aspiration
Sudden onset cough, choking, wheezing or resp disterss
140
Tx of Foreign body aspirant
Rigid bronchoscopy if lower airway Heimlich if in upper airway
141
What is the "hallmark of ARDS"
Severe refractory hypoxemia not responsive to 100% O2
142
What is the genetic makeup of CF
Autosomal Recessive
143
What is the most common pathogen of lower respiratory tract infection in a pt with CF?
Pseudomonas
144
Pathognomonic for CF
Meconium ileus
145
W/u for CF?
Sweat chloride test is definitive
146
Define bronchiectasis
Irreversable bronchial dilation 2ndary to inflammation of the bronchi leading to obstruction of airflow and mucus clearance. leading then to lung infections
147
MC cause of bronchiectasis in the US
CF
148
If not due to CF what is the mc cause of recurrent lung infections leading to bronchiectasis in the US
H flu
149
Sx of bronchiectasis
Daily chronic cough w/ mucopurulent sputum
150
What is the MC cause of massive hemoptysis
Bronchiectasis
151
What is the MC cause of hemoptysis in general
lung ca
152
Lung exam of Bronchiectasis
persistent crackles at bases is common
153
Preferred imaging for Bronchiectasis
High res CT scan
154
Describe Diagnose
Tram track appearance: thickening of of bronchial wall on CT Bronchiectasis
155
Describe Diagnose
Signet Ring sign: Pulm artery coupled w/ dilated bronchus Bronchiectasis
156
Tx for Bronchiectasis
ABX cornerstone, Empiric: Ampicillin Psuedomonas (CF): FQ
157
COPD encompases 2 diagnoses. What are they?
Emphysema Chronic Bronchitis
158
Greatest RF for COPD
Smoking
159
In patients under 40 with positive fam hx with COPD RF possible
A1-antitrypsin deficiency
160
Define Emphysema
Abnormal permanent elargement of terminal airspaces
161
Define Chronic Bronchitis
Prod cough \> 3mos x 2 y consecutively
162
Hallmark Sx of Emphysema
DOE
163
Hallmark sx of COPD
Prod cough
164
Physical exam of Ephysema
Hyperinfalation of lungs Hyperresonance decreased breath souds Barrel Chested Pursed lip breathing (Pink puffer)
165
Physical exam of chronic bronchitis
Rales (crackles), Rhonchi, wheezing Signs of Cor Pulmonale: peripheral edema and cyanosis
166
Gold standard test in COPD
PFT's/Spirometery
167
FEV1\<\_\_\_\_? is indicative of increased mortality
1L
168
Primary tx for COPD
Quit smoking
169
Pharmocological tx for COPD
Combo tx w/ B2agonists + anticholinergics greatest response Ach: Tiotropium/Ipratropium B2A: albuterol, terbutaline, salmeterol
170
When should you avoid using Ach in a patient with COPD
Patients with BPH and Glaucoma may worsen with ach
171
When should you not use B2agonist in a pt with COPD
severe CAD
172
Gold Criteria Stage 1 Predicted PFT with Tx
FEV1\>80%: Bronchodilators (prn short acting)
173
Gold criteria stage II PFT% predicted and tx
FEV1 50-79%: Bronchodilators (prin short acting), + Long acting dilator
174
GOLD stage 3 PFT % predicted and tx.
FEV1 30-50%; Bronchodilators (prn short acting) + Long acting dilator (salmeterol) + Pulm rehab and steroids when exacerbations
175
Gold stage 4 PFT% predicted and tx.
FEV1 \<30: Bronchodilators (prn short acting) + Long acting (salmeterol) + pulm rehab & steroids when exacerbations + O2 therapy
176
Atopic traid
1. Asthma 1. Nasal Polyps 3. ASA/NSAID allergy
177
Gold standard of asthma diagnosis
PFT
178
Define Intermittent Asthma severity
Sx \< 2x week SABA use \< 2x/week Night time awakenings: \< 2x/mo No interference w/ aodl
179
PFT's of Intermittent Asthma severity
Normal FEV1 between exacerbations FEV1\>80 predicted FEV1/FVC normal
180
TX for Intermittent asthma exacerbations
inhaled SABA PRN
181
Define Milkd persistent asthma
sx: \>2d/wk (but not daily) Saba use: \> 2d/wk (but not \>1x/day) Nighttime awakenings: 3-4x/mo AODL: Minor limitation
182
PFT's of Persistent Mild Asthma
FEV1\>80% predicted FEV1/FVC Normal
183
Tx of persistent Mild Asthma
Inhaled SABA (Albeterol) Low dose ICS (beclemethasone, Flunisolide, Triamcinolone)
184
Define Moderate persistent Asthma
sx: Daily SABA use: Daily Nighttime awakenings: \>1x/week (but not nightly) AODL: Some limitation
185
PFT's of Moderate persistent Asthma
FEV1 60-80% predicted FEV1/FVC reducted by 5%
186
TX of moderate persistent asthma
Low ICS (beclemethasone, flunisolide, triamcinolone) + Laba (Salmeterol, advair) OR Inc ICS to medium OR Add LTRA (Montelukast, Zafirlukast)
187
Define Severe Persistent Asthma
Sx: throughout the day SABA: several times throughout the day Nighttime awakenings: Often 7x/week AODL: Extremely limited
188
PFT's of Severe persistent Asthma
FEV1 \<60 predicted FEV1/FVC reduced by \> 5%
189
TX of Severe persistent asthma
High dose ICS + LABA +/- Omalizumab (Anti-IgE drug)
190