Respiratory Flashcards

(116 cards)

1
Q

What value of pulmonary artery pressure is diagnostic for pulmonary hypertension when measured by right heart catheterisation?

A

≥25mmHg

How well did you know this?
1
Not at all
2
3
4
5
Perfectly
2
Q

What is the difference between pre-capilary and post-capillary pulmonary hypertension?

A

Background: PHT is an interplay between pulmonary blood flow, vascular resistance and pulmonary venous pressure.
Pre-capillary PHT is associated with an increase in pulmonary capillary wedge pressure ≥15mmHg

Pre-capilary PHT implies that there is pathology of the blood vessels themselves whereas pre-capillary suggests an increase in pressure that is not dependent on the vasaculature (e..g left-sided cardiac disease)

How well did you know this?
1
Not at all
2
3
4
5
Perfectly
3
Q

What value of tricuspic velocity implies pulmonary hypertesions?

A

≥3.4 m/s

How well did you know this?
1
Not at all
2
3
4
5
Perfectly
4
Q

What are the diagnostic criteria for low, intermediate and high risk of pulmonary hypertension?

A

Low = TR <3.0m/s with 0 - 1 sites of PHT
Medium =
- TR ≤ 3 with 2 sites of PHT
- TR 3.0 - 3.4 with 0 - 1 sites of PHT
- TR ≥3.4 with 0 sites of PHT
High:
- TR < 3.0 with 3 sites of PHT
- TR 3.0 - 3.4 with≥2 sites of PHT
- TR >3.4 with ≥1 sites of PHT

How well did you know this?
1
Not at all
2
3
4
5
Perfectly
5
Q

What are the echocardiographic sites of pulmonary hypertension and their signs?

A

Ventricals: flattening of the IVS, underfilling of the LV, RV hypertrophy, RV systolic dysfunction
Pulmonary Artery: Enlargement, Increased PR velocity, RPAD index < 30%, RV doppler acceleration time, systolic notching of the dopple RV outflow
RA and CVC: RA enlargement, enlargement of the caudal vena cava

How well did you know this?
1
Not at all
2
3
4
5
Perfectly
6
Q

What are the conditions that need to be pressent in order to diagnose PHT secondary to left-heart disease?

A
  • Left atrial enlargement needs to be present as this indicates pulmonary artery wedge pressure being increased
  • Demonstration of left heart disease (e.g. MMVD needs to be present)
How well did you know this?
1
Not at all
2
3
4
5
Perfectly
7
Q

What are the clinical findings suggestive of pulmonary hypertension?

A

Syncope
Respiratoy distress at rest
Activity or exercise terminatin in respiratory distress
Right-sided heart failure

+/- Tachypnoea at rest
+/- Increased respiratory effort at rest
+/- Prolonged post-exercise tachypnoea
+/- cyanotic or pale MM

How well did you know this?
1
Not at all
2
3
4
5
Perfectly
8
Q

Group 1 PHT

A

Pulmonary arterialhypertension

How well did you know this?
1
Not at all
2
3
4
5
Perfectly
9
Q

Group 2 PHT

A

Left heart disease

How well did you know this?
1
Not at all
2
3
4
5
Perfectly
10
Q

Group 3 PHT

A

Respiratory disease/hypoxia

How well did you know this?
1
Not at all
2
3
4
5
Perfectly
11
Q

Group 4 PHT

A

Thromboembolic disease

How well did you know this?
1
Not at all
2
3
4
5
Perfectly
12
Q

Group 5 PHT

A

Parasitic disease

How well did you know this?
1
Not at all
2
3
4
5
Perfectly
13
Q

Group 6

A

Multifactorial or unclear mechanisms

How well did you know this?
1
Not at all
2
3
4
5
Perfectly
14
Q

What are the thoracic imaging findings that suggest PHT (5 points)?

A
  • Tortuous, blunted or dilated pulmonary arteries
  • Asymettrical radiolucent lung fields
  • Patchy or diffuse alveolar infiltrates
  • Bulge in the pulmonary trunk
  • Right sided cardiac enlargement
How well did you know this?
1
Not at all
2
3
4
5
Perfectly
15
Q

What are the CT findings that can suggest PHT (6 points)?

A

Pulmonary trunk to descenting aorta ratio >1.4
Evicdence of RA and RV enlargement
Decreased pulmonary vein to pulmonary artery ratio, increased RV to LV ratio
Presence of pulmonary arterial filling defects
Mosaic attentuation pattern on an inspiratory scan that does not go away with an expiratory phase
Perivascular patterns

How well did you know this?
1
Not at all
2
3
4
5
Perfectly
16
Q

What are the three groups of treatment for pulmonary hypertension?

A

Decrease risk of progression or complications from pulmonary hypertension
Target the underlying disease or factors contributing to pulmonary hypertension
Specific treatment of pulmonary hypertension

How well did you know this?
1
Not at all
2
3
4
5
Perfectly
17
Q

What strategies can be applied to mimise the risk of diease progression and complications from PHT (5 points)?

A

Exercise restriction
Prevent respiratory pathogens (vaccination and deworming)
Avoid pregnancy (may exacerbate PHT)
Avoid high altitude and air travel
Avoid non-essential procedures that require a GA

How well did you know this?
1
Not at all
2
3
4
5
Perfectly
18
Q

In which group of PHT disorders is sildenafil not reccomended?

A

Left heart disease since the cause is really post-capilary hypertension and in L>R shunting (can consider in R>L shunting). In both these scenarious increasing pulmonary blood flow can result in pulmonary oedema. However, it can be considered in LHD as long as CHF is not present and they have syncope thought to be due to PHT

How well did you know this?
1
Not at all
2
3
4
5
Perfectly
19
Q

When can the use of tPA be considered in cases of PHT?

A

In group 4 disease where RV dilation and systolic dysfunction, hypotension and collapse are all present (essentially there aren’t other options)

How well did you know this?
1
Not at all
2
3
4
5
Perfectly
20
Q

What condition can sildenafil be given in group 1 (pulmonary arteria hypertension)?

A

In hospital, due to the risk of pulmonary oedema development

How well did you know this?
1
Not at all
2
3
4
5
Perfectly
21
Q

What treatments, other than sildenafil, can be considerd in PHT but do not have sufficient evidence for or against?

A

Pimobendan
Milrinone (an IV PDE3 inhibitor)
rTKIs (inhibit the action of PDGF)
L-arginine (when combins with oxygen it forms NO)

How well did you know this?
1
Not at all
2
3
4
5
Perfectly
22
Q

How should patients wit pulmoanry hypertension be monitored?

A
  1. Clinical assessment:
    - RR, Reff, RCHF
    - At baseline, 2 weeks after starting therapy and q 3 - 6 month therafter
  2. Echocardiography: at clinicians discretion
  3. Other:
    - 6 minute walk tests
    - Repeat thoracic imaging and pulse oximetry
How well did you know this?
1
Not at all
2
3
4
5
Perfectly
23
Q

What is the success rate of lateral wall resection compared to TECALBO?

A

40-55% success for LWR vs. 90% for TECALBO

How well did you know this?
1
Not at all
2
3
4
5
Perfectly
24
Q

What are the potential neurological complications of ear surgery?

A

Horners - more common in cats
Facial nerve paralysis
Vestibular signs

How well did you know this?
1
Not at all
2
3
4
5
Perfectly
25
What is the genetic basis for congenital sensorioneural deafness in the following breeds? a) Collies, Austrailian Shepherds, Shelties, Great Danes b) Bull Terriers, Bulldogs, Great Pyrenees and Dalmatians c) Dobermans d) Cats
a) Dominant in merle variants b) Autosomal recessive in piebalds c) not stated d) Autosomal dominant with incomplete penetrance
26
Categories of DDx for nasal disease
Stenosis Foreign bodies Oronasal communication Rhinitis Neoplasia Non-malignant masses (e.g. fungal)
27
% of cases of chronic nasal discharge that are due to neoplasia?
30%
28
Identify the structures in this picture of a larynx
29
Which breeds are commonly affected by acquired laryngeal paralysis?
Labrador (most common) Golden Retriever St. Bernard Newfoundland Irish Setter Brittany Spaniel
30
What are the main DDx for laryngeal paralysis?
- Congenital: genetic or laryngeal paralysis-polyneuropathy complex - Trauma affecting the recurrent laryngeal nerve - Neoplasia affecting the RLN (e.g. thymoma, lymphoma, thyroid carcinoma) - Neuromuscular diseases: e.g. GOLPP
31
Which breeds suffer from: a) Congenital laryngeal paralysis b) Congenital laryngeal paralysis-polyneuropathy
a) Bouvier des Flandres, Huskeys and Malamutes, Bull Terriers, GSD b) Dalmatians, Rottweilers, Leonburgers, Pyrenean Mountain Dogs
32
What structure should be considered in the evaluation of dogs with laryngeal paralysis?
Thoracic imaging to identify for evidence of megaoesophagus
33
Which is the best induction agent for allowing laryngeal motion when performing airway examination?
Thiopental
34
Which breed gets a concurrent laryngeal paralysis and laryngeal collapes syndrome?
Norwich Terriers
35
What are the three clinical stages of laryngeal collapse?
1. Eversion of laryngeal saccules into the glottis 2. Collapse of the cuneiform process into the laryngeal lumen 3. Collapse of the carnuculate process causing complete airway obstruction
36
Treatment options for laryngeal collapse?
1. Sacculectomy 2. Relief of airway obstruction (e.g. BOAS surgery) 3. Unilateral laryngoplasty 4. Permanent tracheostomy
37
What are the main causes of laryngeal stenosis?
Bilateral ventriculochordectomy Trauma or chronic inflammatory laryngeal disease
38
What is the normal inspiratory:expiratory ratio in small animals?
1:1 to 1:2 (inspiratory to expiratory)
39
How does stertor differ to stridor?
Stertor is a low pitched sound originating from the nasopharyngeal meatues whereas stridor is a high pitched sound originating from the larynx or trachea. It can worsen with exercise (in contrast to stertor)
40
What advanced imaging technique can be used to assess for pulmonary perfusion?
Tc 99 nuclear imaging
41
What is the minimum size required generally for a TTW?
15kg
42
What additional radiographic view may be helpful in diagnosing tracheal collapse?
Rostrocaudal veiw
43
Grades of tracheal collapse
Grade I: Tracheal membrane is slightly pendulous, cartilage maintains normal shape, and lumen size is reduced by 25%. Grade II: Tracheal membrane is widened and pendulous, cartilage is partially flattened, and lumen size is reduced by 50%. Grade III: Tracheal membrane is almost in contact with the ventral trachea, cartilage is nearly flat, and lumen size is reduced by 75%. Grade IV: Tracheal membrane is lying on dorsal cartilage, cartilage is flattened and may invert, and lumen is essentially closed.
44
What are the medical treatment options for tracheal collapse?
Corticosteroids (systemic or inhaled) Stonazalol Anti-tussives (hydrocodone, butorphanol, codeine, diphenoxylate, maropitant) Bronchodilators (theophylline, terbutaline, albuterol)
45
What are the surgical treatments for the following? a) Intra-thoracic tracheal collapse b) Cervical tracheal collapse
a) Intraluminal stents b) Extraluminal rings (better prognosis)
46
What are the main tumour types encountered in the trachea?
Young dogs get osteochondroma Older dogs: MCT, SCC, adenocarcinoma, osteosarcoma, extramedullary plasmacytoa, leiomyoma, fibrosarcoma
47
What are the reasons for tracheal granuloma formation, how are these treated?
○ Complication of intraluminal stenting ○ Parasitic § Oslerus osleri § Filaroides osleri Cuteribri larvae (cats) Treat with corticosteroids
48
What are the three diagnostic criteria to allow a diagnosis of chronic bronchitis?
1. Chronic cough (>2 months) 2. Evidence of excessive mucus or mucus hypersecretion 3. Exclusion of other chronic cardiopulmonary diseases
49
Which breeds of dog are overrepresented in eosinophilic bronchopneumopathy?
Siberian Huskies and Malamutes
50
How is eosinophilic bronchopneumopathy suggested based on ETW?
The BALF should be >50% eosinophils
51
DDx for eosinophilc bronchopneumopathy?
* GIT Worms (migrating larval migrans) ○ Strongyloides ○ Ascaris ○ Toxocara canis ○ Ancyclostoma * Occult heartworm infection * Angiostrongylus * Other worms: ○ Capillaria aerophilia ○ Oslerus osleri ○ Filaroides hirthi Crenosoma vulpis
52
What are the components of Kartagener's syndrome?
Bronchiectasis Left to right transposition of the vicera (situs invertus) Chronic rhinusitis
53
For which breed is there a genetic test available for primary ciliary dyskinesia and what is its mode of inheritance?
Old English Sheepdog - CCDC39 gene Autosomal recessive
54
Other than respiratory signs, what may be seen with primary ciliary dyskinesia
○ Otitis media ○ Female infertility ○ Asthenosteratopspermia ○ Hydrocephalus ○ Renal fibrosis/renal tubule dilation
55
What are the main clinical signs to prompt a hunt for primary ciliary dyskinesia
In a young dog: Recurrent bilateral nasal discharge Repeated episodes of bronchitis or bronchopneumonia
56
What is the gold standard for diagnosis of ciliary dyskinesia?
Showing a functional issue with scintigraphy and TEM to demonstrate structural abnormalities with the cilia.
57
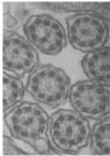
What does the following image indicate?
Cliated epithelia, some of the cilia have a lack of central dynein rings suggestive of primary ciliary dyskinesia
58
What disease should be expected if a dog that has recently had a bronchial foreign body removed suddenly develops a pleural effusion?
Bronchooesophageal fistula, consider contrast imaging followd by surgical correction
59
What is the reason for formation of broncholithiasis?
Can occur secondary to any chronic infectious or inflammatory condition
60
Which breed is static bronchomalacia often seen in
Brachycephalic dogs, in contrast to dynamic collapse which is seen in cases of tracheal collapse
61
What distributions of cell populations would be expected in the following from a cat? a) Eosinophilc BAL b) Neutrophilic BAL
○ Eosinophilic BAL: >20% eosinophils with neutrophils WNL/>50% eosinophils (suggests FAAD?) Neutrophilic BAL: >20% neutrophils with eosinophils WNL/>50% neutrophils (suggests CB?)
62
What parasitic diseases should be considered when evaluating a cat for lower airway disease?
○ Aelurostrongylus abstrusus ○ Troglostrongylus breviour ○ Eucoleuos aerophilis ○ Dirofilaria immitis * Toxocari cati
63
What condition should be considred in a young cat with a history of cough that develops a spontaneous pneumothorax?
Feline lower airway disease
64
What are the 5 mechanisms of hypoxaemia, which will have a normal or increased A-a gradient, which will improve with O2 therapy?
Hypoventillation - normal A-a gradient, increased PCO2 V/Q mismatch - increased A-a gradient that will improve with supplementation R-L shunting - increased A-a gradent that will not improve with O2 supplementation Diffusion impairment - increased A-a gradient, improves with O2 supplementation Reduced inspired O2 - increased A-a gradient, will resolve with O2 supplementation
65
Pragnimus kellicotti - What is it - What is the intermediate host - Life cycle in mammalian host - Clinical signs - Diagnostic features - Diagnostic method - Treatment
- Tremtode lung fluke - Crayfish, particularly in the midwest and southeast united states - Migration from the GI to the peritoneaum, through the diaphragm and then into the subpleural tissues where they encyst. Eggs are coughed up and swallowed - Can be clinically silent, bullae rupture can lead to pneumothorax, haemorrhage and haemoptysis - Bullae and cysts - Ova can be visualised in lavage fluid or using faecal sedimentation techniques - Fenbendale (10 days) or praziquantel
66
Paragmonius kellicoti egg
67
Whats this?
Paragmonius kellicoti egg
68
Filaroides - Epidemiologic features - Radioraphic signs - Diagnosis - Treatment
-More common in research colonies, young and immunocompromised patients - Bronchinterstitl or alveolar infiltrates - Zinc sulfate faecal flotation, demenstration of ova in lavage fluid - Fenbendazole, ivermectin
69
Whats dis?
Filaroides egg
70
Filaroides egg
71
Aulurostrongylus abstrusus - What is it? - Intermediate host - Radiographic signs - Diagnosis - Treatment
- Feline lungworm - Molluscs - Diffuse nodular interstital pattern (can look like FAAD) - Baerman's, airway lavage - demonstrate larvae - Fenbendazole, ivermectin, selamectin
72
Crenosoma vulpis - What is it - Intermediate host - Diagnosis - Treatment
- Canine only pulmonary parasite (a lungworm) - Molluscs - Baerman's sedimentation or zinc flotation - demonstration of larvae - Fenbendazole, Ivermectin, Milbemcin
73
Oslerus osleri - What is it - Diagnosis
- Similar pathogen to filaroides - Zinc sulfate flotation
74
Eucoleus - What it causes - Diagnosis
- Eosinophilc pneumonia through embedding in tracheal and bronchial mucosa - Faecal flotation or airway lavage
75
Trogostrongylus
Domestic and wild cat airway worm
76
What are the ISCAID reccomendations for treatment of bacterial pneumonia (generally speaking)
Doxycycline for dogs without systemic involvement Fluroquinolone +/- penicillin or clindamycin if systemic signs are present
77
What is the advantage/disadvantage of N-acetylcystine nebulisation?
It should break down mucus disulfide bonds thus loosening respiratory secretions, however, it causes severe bronchoconstriction so use is limited
78
Which bacterial organism is responsible for necrotising haemorrhagic pneumonia?
Streoptococcus equi zooepidemicus
79
Yersina pestis - What is it - Where is it - How is it spread, what is the reservoir - What is the treatment?
- It is the plague and can cause systemic (supprative lymphadenitis) or pneumonic disease - Risk area is most of the Western USA such as New Mexico and Colorado - Rodents are the nartural reservoir and it is spread by fleas or by ingestion of reservoir hosts. It can also be spread via aerosole - Aminoglycosides or tetracyclines seem to be first line but ettinger also mentions fluroquinolones and chloramphenicol. Also treat for fleas.
80
What is this?
Gram negative safety-pin shaped rods, consistent with yersinia pestis
81
Yersinia pestis cytology
82
Which protozoa may cause a pneumonia?
Toxoplasma
83
Which fungal pathogens are more likely to result in a fungal pneumonia?
Blastomyces Histoplasmosis Coccidiodes Aspergillus Cryptococcus
84
What are the more common interstitial lung disease?
Eosinophilic pneumonia Lipid pneumonia Idiopathic pulmonary fibrosis
85
What condition has been associasted with lipid pneumonia in cats?
Atypical mycobacterial pneumonia
86
What BAL finding could indicate lipid pneumonia?
Foamy macrophages
87
Definition of pulmonary bullae vs. blebs
Bullae - air pockets within pulmonary parenchyma, are not lined by epithelia Blebs - air formed when air escapes from the lung and gets trapped in the visceral pleura
88
DDx for pulmonary bullae
Idiopathic Parasitic Neoplastic Infectious disease conditions Congenital (Bronchopulmonary dysplasi)
89
Radiographic appearance of congenital emphysema
Lobar hyperinflation Extension of blood vessels to the lobe margin Contralateral mediastinal shift Caudal displacement of the diaphragm Atelectasis of other lung lobes Pneumothorax
90
Predisposed breeds to lung lobe torsionb
Afgan hounds (can get chylothorax with or without lung lobe torsion) Pugs
91
Most common sites of lung lobe torsion
- Left cranial lung lobe - Right middle lung lobe - Right cranial lobe - Right caudal lobe - Left caudal lobe
92
Prognosis of dogs with lung lobe torsion
60% recover with surgery Pugs may have a better prognosis
93
What is the equation for pulmonary arterial pressure?
RV output x pulmonary vascular resistance
94
What heart sound can be noted with pulmonary hypertension?
Split or loud S2
95
Modified bernoilli equation
Pressure gradient = 4x(peak velocity)^2
96
What is the alternative to sildenafil in terms of PDE5 inhibitors?
Tadalafil
97
Which TKI has been studied most in dogs with PHT?
Imatinib - inhibits PDGF activation
98
In what time frame might D-dimer measurement be useful in determining if PTE has occured?
Within 1 - 2 hours as they have a very short half life
99
What are the indications for chest tube placement over thoracocentesis?
Recurrent or continuous pneumothorax or effusions Infectious eitiology (pyothorax)
100
What are the main DDx for chylothorax?
* Increased venous pressure ○ Right sided heart failure ○ Pericardial effusion ○ Dirofilariasis ○ Cardiomyopathy ○ Tricuspid dysplasia ○ Thromboembolic disorders * Compression of the thoracic duct ○ Neoplasia ○ Thymoma ○ Fungal granulomas ○ Lung lobe torsion * Trauma (uncommon) ○ Concurrent with traumatic diaphragmatic herniation ○ Thoracic surgery ○ Blund or penetrating trauma ○ Severe coughing or vomiting Idiopathic (most common in dogs, possibly most common in cats)
101
What stain can demonstrate chylomicrons in chylous fluid
Sudan III or IV
102
What diagnostic criteria for cholesterol/triglycerides can be applied for diagnosis of chylothorax?
* Fluid cholesterol:TG <1 is diagnostic * TG significantly higher than serum ○ Typically 12 - 200x greater * Cholesterol significantly lower than serum
103
Which breeds are predisposed to chylothorax?
Afgan hound Mastiffs Sheltland Sheepdog Shiba Inu
104
MoA of rutin
Possibly through stimulation of macrophage activity which breaks down chyle proteins and may enhance re-absorption
105
What is a normal width of the mediastinum?
<2x width of the spine
106
What is the relationship between pneumomediastinum and pneumothorax?
Pneumothorax can be caused by pneumothorax but not the other way around
107
What signalment is more common in animals with mediastinal cysts?
Older cats
108
Are cats or dogs more likely to develop mediastinal lymphoma?
Cats - parcularly younger cats
109
What disease should be tested for in cats with mediastinal lymphoma?
FeLV as it is commonly associated with mediastinal lymphoma
110
When and why does thymic haemorrhage occur?
It occurs in young animals (<2 years old) and it thought to be due to involution of the mediastinum
111
Treatment of thymoma vs. mediastinal lymphoma?
Surgery or RT for thymoma, CHOP/LOPP for lymphoma
112
What type of lymphoma is thymoma typically caused by?
T-cell
113
Most common bacteria identified in pyothorax in order
Pasteurella spp., actinomyces/nocardia, enteric anaerobes
114
Most common causes of pyothorax in dogs vs. cats
Dogs: migrating foreign material Cats: bite wounds and parapneumonic spread
115
What are the characteristics of pyothorax fluid?
Smelly Neutrophilic with sepsis Sulfur granules can indicate nocardia/actinomyces
116
Indications for surgical mnagement of pyothorax
Failure to respond to medical management Migrating foreign bodies Pulmonary abscesation Pleural fibrosis suspected Being a dog - surgery associated with better long term outcomes