S2 - Endodontic Diagnosis Flashcards

(45 cards)

1
Q

What is diagnosis? What is the purpose?

A

detecting and distinguishing deviations from health and the cause and nature thereof

purpose - to determine what problem the pt is having and why

How well did you know this?
1
Not at all
2
3
4
5
Perfectly
2
Q

5 stages of making a diagnosis

A
  1. pt tells clinician reason for seeking advice
  2. q’s about symptoms and history that led to visit
  3. objective clinical tests
  4. correlate objective findings with subjective details and makes differential diagnoses
  5. formulate definitive diagnosis
How well did you know this?
1
Not at all
2
3
4
5
Perfectly
3
Q

What is involved in E/O examination?

A

observe patients as soon as they enter the clinic

signs of physical limitations may be present or facial asymmetry e.g. facial swelling

How well did you know this?
1
Not at all
2
3
4
5
Perfectly
4
Q

What is involved in I/O examination?

A

can give clinical insight as to which areas need focused evaluation

but also any other abnormalities should be examined for either prevention or early tx e.g. oral cancer

How well did you know this?
1
Not at all
2
3
4
5
Perfectly
5
Q

What is involved in soft tissue examination?

A
  • routine evaluation of ALL soft tissues for abnormalities in colour or texture
  • dry gingiva and mucosa with low-pressure air syringe or gauze
How well did you know this?
1
Not at all
2
3
4
5
Perfectly
6
Q

How to evaluate intra-oral swelling? (3)

A
  • should be visualised and palpated to determine whether: diffuse or localised, firm or fluctuant
  • location: attached gingiva, alveolar mucosa, mucobuccal fold, palate or sublingual tissues
How well did you know this?
1
Not at all
2
3
4
5
Perfectly
7
Q

How to trace origin of sinus tract?

A

insert gutta-percha point and radiograph

How well did you know this?
1
Not at all
2
3
4
5
Perfectly
8
Q

What does intraoral sinus tract indicate?

A

chronic endodontic infection

How well did you know this?
1
Not at all
2
3
4
5
Perfectly
9
Q

What is involved in palpation? (3)

A
  • should be placed on any soft tissue swelling or bony expansion
  • note how compares and relates to adjacent and contralateral tissues
  • index finger is usually used with glove, lightly applied with rolling motion
How well did you know this?
1
Not at all
2
3
4
5
Perfectly
10
Q

Why is percussion testing done even if there is known pain on biting, what does it indicate?

A
  • acute sensitivity/pain on mastication can typically be duplicated by individually percussing a tooth → isolate symptoms to a particular tooth
  • does not indicate that a tooth is vital or non-vital but indicates inflammation of the PDL
How well did you know this?
1
Not at all
2
3
4
5
Perfectly
11
Q

What does mobility indicate?

Name some causes (including endodontic cause)

A

a compromised periodontal attachment apparatus, not an indication of vitality

causes: acute or chronic physical trauma, occlusal trauma, parafunctional habits, periodontal disease, root fractures, rapid orthodontic movement, extension of pulpal disease specifically an infection, into the PDL space

How well did you know this?
1
Not at all
2
3
4
5
Perfectly
12
Q

How should periodontal probing be done?

A

place around long axis of tooth, progressing in 1mm increments

How well did you know this?
1
Not at all
2
3
4
5
Perfectly
13
Q

What is a typical characteristic of periodontal probing with vertical root fracture?

A

localised narrow periodontal pocket that extends deep down root surface, adjacent periodontium is within normal limits

How well did you know this?
1
Not at all
2
3
4
5
Perfectly
14
Q

Types of pulp test stimuli

A

electrical, mechanical, thermal

How well did you know this?
1
Not at all
2
3
4
5
Perfectly
15
Q

What is the aim of a pulp test?

A

aims to obtain a subjective response from the patient to determine whether the pulpal nerves are functional or not

How well did you know this?
1
Not at all
2
3
4
5
Perfectly
16
Q

T/F Pulp tests are vitality tests?

A

F, they are sensibility tests

vitality depends on blood flow and oxygen inside the root, these tests only stimulate the A and C fibres

How well did you know this?
1
Not at all
2
3
4
5
Perfectly
17
Q

What is a normal/baseline vs the 3 abnormal responses to thermal test (either cold or hot)?

A

baseline/normal: sensation is felt but disappears immediately upon removal of thermal stimulus

abnormal: lack of response, lingering or intensification of painful sensation after the stimulus is removed, or an immediate excruciatingly painful sensation as soon as the stimulus is placed on the tooth

How well did you know this?
1
Not at all
2
3
4
5
Perfectly
18
Q

What does a response to EPT denote?

A

some viable nerve fibres are present in the pulp and are capable of responding

numeric readings on the pulp tester have significance only if the number differs signficantly from the readings obtained from a control tooth tested on the same patient

How well did you know this?
1
Not at all
2
3
4
5
Perfectly
19
Q

When do numeric readings from PDL have signifcance?

A

only when numbers significantly differ from readings from a control tooth on the same patient

20
Q

Potential common interpretation errors of false-positive responses obtained from EPT (4)

A

partial pulp necrosis (still have type C fibres)

patient’s high anxiety

ineffective tooth isolation

contact with metal restorations

21
Q

Potential common interpretation errors of false-negative responses obtained from EPT (5)

A
  • obliterations/calcifications
  • recently traumatised teeth
  • immature (open) apex
  • drugs that increase patient’s threshold for pain (e.g. antidepressants)
  • poor contact of pulp tester to tooth
22
Q

Name 2 vitality tests. Briefly describe them.

A

Laser doppler flowmetry - assess blood flow in microvascular systems, attempts are being made to adapt this technology to assess pulpal blood flow

Pulse oximetry - measures oxygen concentration in blood and pulse rate, the transmission of light to the sensor requires there be no obstruction from restorations

no one rly uses these in practice

23
Q

Causes of painful/sensitive response to bite test? (2)

A
  • when pulpal pathosis has extended to PDL space creating symptomatic apical perio (pain on biting)
  • crack/fracture (pain on release)
24
Q

When is a test cavity done and why?

A

when all other test methods deemed impossible or results inconclusive

no LA is used because we want to see if pt has sensitivity during drilling

25
When is staining and transillumination done?
to determine presence of crack/fracture (transillumination with FOTI or proving surface may be helpful)
26
When is selective anaesthesia testing done?
when symptoms are not localised or referred e.g. cant determine between upper and lower, numb one only when **pulp testing is inconclusive**, may be helpful
27
How should/shouldnt radiographic examination be used for diagnosis?
* dont make defintive dx solely on radiographic interpretation prematurely * should only be used as one sign, when not coupled with proper hx, exam and testing can lead to misdiagnosis
28
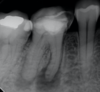
What is shown?
no caries or restos, teeth vital, not apical perio → cemento-osseous dysplasia
29
What is shown?
odontoma | (teeth will be vital)
30
What is CBCT and how may it help in endo diagnosis and tx planning?
* tomography refers to ‘slice imaging' in which thin slices of anatomy of interest are captured * can visualise dentition and relationship of anatomical structures in 3-dimensions * can show root canal morphology and other subtle changes within root canal system
31
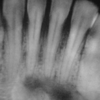
What is this?
dens invaginatus
32
4 types of pulpal disease
reversible pulpitis irreversible pulpitis asymptomatic irreversible pulpitis pulp necrosis
33
Normal pulp - symptoms, response to pulp testing, radiographic appearance
* do not usually exhibit any spontaneous symptoms * normally responsive to pulp testing, symptoms are mild, do not cause distress and transient (resolves in seconds) * radiographiccally may have pulpal calcification but no resorption, caries or mechanical pulp exposure
34
What is the clinical diagnosis of reversible pulpitis based on? Symptoms? Tx?
subjective and objective findings indicate that inflammation should resolve and the pulp should return to normal when pulp stimulation is uncomfortable but reverses quickly after irritation conservative removal of irritant will resolve symptoms
35
What may be confused with reversible pulpitis?
dentin hyper/sensitivity - when there is exposed dentine without evidence of pulp pathosis, which can sometimes respond with sharp, quickly reversible pain when subjected to thermal, evaporative, tactile and mechanical, osmotics or chemical stimuli
36
Characteristics of symptomatic irreversible pulpitis - Onset of pain, exacerbating factors, character and radiographic appearance
intermittent or spontaneous pain rapid exposure to dramatic temperature changes (especially cold) → prolonged episodes of pain even after stimulus removed pain may be: sharp or dull, localised or diffuse, or referred radiographic: minimal to no changes in periradicular bone, with advanced irreversible pulpitis thickening of PDL may be present
37
What is asymptomatic irreversible pulpitis
vital inflamed pulp incapable of healing no symptoms deep caries will not produce any symptoms even though caries may extend well into the pulp clinically or radiographically
38
What is pulp necrosis? Histological status? Symptoms? Response to different tests? Radiographic appearance? What is it subsequent to?
diagnostic category indicating death of dental pulp pulpal bloody supply is non-existent and nerves are none functional, it is the only clinical classification that directly attempts to describe the histological status of the pulp usually non-responsive to pulp testing, tooth is asymptomatic until there is an extension of the disease process into periradicular tissues usually wont respond to EPT or cold test, if heat is applied for an extended period of time (may respond as fibre C is resistant to hypoxia so they may remain vital), tooth may respond to this stimulus, the tooth is often relieved by applications of cold pulpal necrosis may be partial or complete and it may not involve all canals in a multirooted tooth radiographic changes may occur, ranging from thickening of PDL space to appearance of PA RL lesion subsequent to symptomatic or asymptomatic irreversible pulpitis
39
4 types of apical disease
symptomatic apical periodontitis asymptomatic apical periodontitis acute apical abscess chronic apical abscess
40
What is symptomatic apical periodontitis? Clinical symptoms? Radiographic appearance?
inflammation of apical periodontium, producing clinical symptoms including pain on biting, percussion or palpation or spontaneous pain radiograph will show atleast a widened PDL space and may or may not show PA RL associated with one or all of the roots
41
What is asymptomatic apical periodontitis? Radiographic appearance? Symptoms?
inflammation and destruction of apical periodontium of pulpal origin, appears as an apical RL and does not produce clinical symptoms radiograph will show PA RL tooth generally not sensitive to biting pressure but may ‘feel different’ to the patient on percussion
42
What is acute apical abscess? Symptoms? Presentation (local and systemic)?
inflammatory reaction to pulpal infection and necrosis characterised by rapid onset, spontaneous pain, pain to biting pressure, percussion, palpation and varying degrees of mobility swelling intraorally (through pulp, mucosa or skin) and adjacent facial tissues will almost always present with some degree of swelling, pt will often be febrile and cervical and submd lymph nodes may be tender to palpation radiograph can exhibit anything from widened PDL space to PA RL
43
What is chronic apical abscess? Symptoms?
inflammatory reaction to pulpal infection and necrosis characterised by gradual onset, little or no discomfort and intermittent discharge of pus through associated sinus tract (distinguishing it from asymptomatic apical perio) radiograph: apical RL symptoms: not sensitive to biting pressure but can ‘feel different’ to pt on percussion
44
Name for acute exacerbation of chronic periapical lesion?
Phoenix's abscess
45
What questions should a clinician answer before performing any endodontic treatment
is the existing problem of dental origin? are the pulpal tissues within the tooth pathologically involved? why is the pulpal pathosis present? what is the prognosis? what is the appropriate form of treatment?