____ zone of prostate is where BPH arises
Transitional zone of prostate is where BPH arises

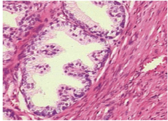
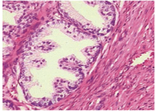
This is a ____

This is a normal prostate acinus and surrounding stroma

Describe the 3 anatomic / physiologic zones of the lower urinary tract
3 anatomic / physiologic zones of the lower urinary tract

Prostate growth and differentiation is ___
Prostate growth and differentiation is a complex interaction between the epithelial / stromal components, hormones, and growth factors

___ may promote prostate cell proliferation
Estrogens may promote prostate cell proliferation

BPH has ___ with ___ and ___ on histology
BPH has nodular cell proliferation with glandular epithelial cells and stromal cells

BPH can compress the ____
BPH can compress the prostatic urethra

BPH results in ____
BPH results in bladder wall thickening / trabeculation reflecting increased detrusor collagen deposition

BPH usually begins at ___ histologically and increases with ___
BPH begins at age 30 histologically and increases with age
Describe phases of BPH
BPH phases
PSA is a surrogate marker of ___
PSA is a surrogate marker of prostate volume
Describe presentation of BPH
BPH presentation

BPH is a ___ diagnosis
BPH is a clinical diagnosis

Prostate volume ____ with age and ____ with PSA
Prostate volume increases with age and increases with PSA

Urinary flow rate ____ with age
Urinary flow rate decreases with age

Post void residual urine is ___
Post void residual urine is amount of urine not emptied during voiding

BPH involves detrusor ____
BPH involves detrusor areflexia

Describe behavioral therapy for BPH
BPH behavioral therapy
There is ____ evidence for use of herbal therapies in BPH
There is NO objective evidence for use of herbal therapies in BPH
Describe medical treatment of BPH
Medical treatment of BPH
____ is a potential complication associated with use of a1 blockers for BPH
Intraoperative Floppy Iris Syndrome is a potential complication associated with use of a1 blockers for BPH

5a-reductase inhibitors ___ in treatment of BPH
5a-reductase inhibitors decrease likelihood of surgery and acute urinary retention in treatment of BPH

Combination therapy with a1 blocker and 5-alpha reductase inhibitor is used for treatment of BPH in patients with ____, ____, ____, and ____
Combination therapy with a1 blocker and 5-alpha reductase inhibitor is used for treatment of BPH in patients with moderate-severe symptoms, prostates above 40 mL, higher PSA, and advanced age