Stroke Flashcards

(27 cards)

1
Q

What is the primary causes of ICH stroke? [1]

What are secondary causes? [3]

A

Primary:
* Hypertension (microaneurysm)

Secondary:
* Trauma
* Tumour
* AV malformation
* Venous thrombosis
* Coagulopathy
* Drugs (cocaine)

How well did you know this?
1
Not at all
2
3
4
5
Perfectly
2
Q

Pathophysiology of ICH

What are potential complications of ICH? [3]

A

herniations (if bleed big enough)
* subfalcine hernia;
* transtentorial hernia (ascending or descending)
* tonsillar hernia

Raise ICP - reduces brain perfusion

Hydrocephalus: blood into ventricles can clog up CSF drainage pathways / cerebral aquaduct is block

How well did you know this?
1
Not at all
2
3
4
5
Perfectly
3
Q

Pathophysiology of ICH

What are potential complications of ICH? [3]

A

herniations (if bleed big enough)
* subfalcine hernia;
* transtentorial hernia (ascending or descending)
* tonsillar hernia

Raise ICP - reduces brain perfusion

Hydrocephalus: blood into ventricles can clog up CSF drainage pathways / cerebral aquaduct is block

How well did you know this?
1
Not at all
2
3
4
5
Perfectly
4
Q

Management of ICH

What would need to check what medicaton a patient is on and why? [2]

A

Confirm if on aspirin and warfarin & stop.

Warfarin worsens the severity of hemorrhage and dramatically increases the risk of mortality from ICH.

How well did you know this?
1
Not at all
2
3
4
5
Perfectly
5
Q

Management of ICH

What should you do if ICH patient has raised BP? [1]

Why is this a tricky problem to manage? [2]

A

Lower BP (if more than 150 mmHG systolic ) to about 140 mm HG

Higher chance of AKI
Patients might have **secondary raised ICH **- then reducing cerebral blood flow if lowering BP

(conflicting evidence on cost / benefit)

How well did you know this?
1
Not at all
2
3
4
5
Perfectly
6
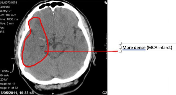
Q

Ischaemic stroke

Which artery is affected in this ischaemic stroke [1]

A

MCA

How well did you know this?
1
Not at all
2
3
4
5
Perfectly
7
Q

Ischaemic stroke pathophysiolgoy

Describe the ischaemic stroke cascade at microscopic level [4]

A

Cellular ischaemia:
- Na / K+ pump failure
- Causes depolarisation
- Causes Ca2+ food in
- Cascade of enzymes that respond to ischaemia (like caspases)
- Causes cell death

How well did you know this?
1
Not at all
2
3
4
5
Perfectly
8
Q

Ischaemic stroke pathophysiolgoy

Describe the core - penumbra effect of ischaemic stroke

A

Non-end artery is very likely to have collateral flow to perfuse the core area that is suffering from stroke.

Causes reduced impact / salvigable if treatment rapid

How well did you know this?
1
Not at all
2
3
4
5
Perfectly
9
Q

Label A

A

Penumbra

How well did you know this?
1
Not at all
2
3
4
5
Perfectly
10
Q

Define ischaemic penumbra

A

Ischemic penumbra denotes the part of an acute ischemic stroke that is at risk of progressing to infarction but is still salvageable if reperfused.

It is usually located around an infarct core which represents the tissue which has already infarcted or is going to infarct regardless of reperfusion.

How well did you know this?
1
Not at all
2
3
4
5
Perfectly
11
Q

Ischaemic stroke

Which pathologies cause ischaemic stroke?

A
  • Atherosclerosis of small vessels (25%)
  • Atherosclerosis of large vessels (50%) carotid stenosis is 10% of all stroke
  • Carotid dissections (<5%)
  • Cardiac / AF (15%)
  • Vasculitis (<1%)
How well did you know this?
1
Not at all
2
3
4
5
Perfectly
12
Q

Which cause of ischaemic stroke increases in younger patients? [1]

A

Carotid dissections

How well did you know this?
1
Not at all
2
3
4
5
Perfectly
13
Q

Risk factors for stroke?

What are the key medical conditions that increase risk of stroke? [4]

A

Hypertension
Hypercholesteroamia
Diabetes
Cardiac - AF

How well did you know this?
1
Not at all
2
3
4
5
Perfectly
14
Q

Whats important to think about age & stroke?

A

Increases with age but also 1/10 happens in people under 50

How well did you know this?
1
Not at all
2
3
4
5
Perfectly
15
Q

How does increasing BP increase risk of stroke? [1]

A

Absolute risk of stroke doubles with every 10 mmHG of systolic rise in BP

How well did you know this?
1
Not at all
2
3
4
5
Perfectly
16
Q

Stroke classification

What are the methods of classifying a stroke [3]

A

Clinical picture: Oxford Bamford Classification

By vascular anatomy

By aetiology: Toast classification

17
Q

State what each arrow is pointing to [5]

18
Q

visual deficits with stroke

19
Q

Describe the Oxford Bamford Classification of Stroke

A

Oxford Bamford Classification of Stroke:

Anterior circulation:
- strokes from MCA, ACA and carotid artery

Posterior Circulation
- PCA, basilar arteries and cerebellar arteries

Lacunar: absence of cortical signs

20
Q

Describe the signs of anterior [3], posterior [4] and lacunar strokes [4]

A

Anterior:
* Unilateral motor deficit
* Homonymous hemianopia
* Neglect / dysphasia

Posterior:
* Pure hemianopia
* Cerebellar signs
* Dipolplia and CN palsy
* Bilateral / crossed sensory motor-signs

Lacanar:
* Pure motor
* Pure sensory
* Ataxic hemiparesis
* Senosorimotor

21
Q

Investigations for strokes

What factors would you investigate for person with a stroke whos under 50? [4]

A
  • Vasculitis screen
  • HIV test
  • Drug screen
  • Thrombophilia Screen
  • Lumbar puncture
22
Q

What brain imaging would you do for stroke investigation? [2]

What blood tests? [4]

What other tests? [3]

A

CT & MRI scans

Bloods:
* FBC
* ESR
* Fasting glucose
* Cholesterol
* VDRL

Carotid doppler
ECG
ECHO

23
Q

Treatment of stroke

What is the overall step-wise plan for treating stroke? [6]

A
  • Consider thrombolysis
  • Transfer to stroke unit
  • Review antiplatelet therapy
  • Address risk factors
  • Treat complications
  • MDT Rehab
  • Advice and Education
24
Q

Stroke treatment

Antiplatelet therapy for stroke? [3]

A

Aspirin
Aspirin & Clopidogrel
Aspirin and Dipyridamole

25
Define TIA Why is TIA a medical emergency?
transient episode of neurological dysfunction caused by focal brain, spinal cord or retinal ishchaemia, without acute infarction need MRI scan to diagnose ! Medical emergency - because if treat than can reduce likelyhood of stroke (by up to 80%)
26
Surgical treatment for strokes?
Mechanical thrombectomy
27
TIA treatment?