TBI & Concussions Flashcards

(43 cards)

1
Q

Cause of TBI

A
  • head injury usually d/t contact, acceleration/deceleration force (MVA, falls)
How well did you know this?
1
Not at all
2
3
4
5
Perfectly
2
Q

Complications of a TBI

A
  • brain contusions, localized ischemia, edema, focal neuro signs, evolving hematoma/hemorrhage
How well did you know this?
1
Not at all
2
3
4
5
Perfectly
3
Q

Diagnostic testing for TBI

A

CT/MRI without contrast to look for bleeding

How well did you know this?
1
Not at all
2
3
4
5
Perfectly
4
Q

Characteristics of a concussion/Mild TBI

A
  • trauma induced alteration in mental status +/- LOC
  • direct force or brain being slapped against intracranial surfaces (contre-coup)
  • axonal damage
How well did you know this?
1
Not at all
2
3
4
5
Perfectly
5
Q

Symptoms of a concussion/mild TBI

A
  • confusion and amnesia +/- LOC
  • headache, dizziness, n/v, visual disturbances, mood change, photosensitivity, sleep disturbance
How well did you know this?
1
Not at all
2
3
4
5
Perfectly
6
Q

Diagnostic testing for concussion/mild TBI

A

GCS for medically trained
SAC, ACE, SCAT-5 for non-medically trained

How well did you know this?
1
Not at all
2
3
4
5
Perfectly
7
Q

Return to play guidelines following a concussion

A

complete resolution of all symptoms
- return of memory and concentration
- no symptoms after testing
- 6 step process

How well did you know this?
1
Not at all
2
3
4
5
Perfectly
8
Q

What are the Canadian Head CT Rules

A

Minor head injury presenting with GCS 13-15 after witnessed LOC, amnesia, confusion

High risk for neurosurg
- GCS <15 at 2 hrs post injury
- suspected open/depressed skull fx
- sign of basal skull fracture
- vomiting 2+ times
- age 65+

Medium Risk
- amnesia 30+ mins before incident
- dangerous mechanism

How well did you know this?
1
Not at all
2
3
4
5
Perfectly
9
Q

What are the signs of basal skull fracture

A
How well did you know this?
1
Not at all
2
3
4
5
Perfectly
10
Q

What is the GCS score for a moderate TBI

A

GCS 9-13 within 48 hours

How well did you know this?
1
Not at all
2
3
4
5
Perfectly
11
Q

What is the GCS score for a severe TBI

A

GCS 3-8 within 48 hours

How well did you know this?
1
Not at all
2
3
4
5
Perfectly
12
Q

Describe the primary and secondary injuries related to moderate-severe TBIs

A

Primary = occurs at moment of trauma
- skull fx
- hematoma
- auditory symptoms

Secondary = occurs immediately after trauma and produces long term effects
- excitatory AA
- increased ICP

How well did you know this?
1
Not at all
2
3
4
5
Perfectly
13
Q

What are the characteristics of moderate to severe TBI

A

permanent or temporary impairment of cognitive, physical, and psychosocial functions

How well did you know this?
1
Not at all
2
3
4
5
Perfectly
14
Q

What is the treatment for moderate TBI

A

tranexamic acid, avoid hypotension and hypoxia

How well did you know this?
1
Not at all
2
3
4
5
Perfectly
15
Q

What is the treatment for severe TBI

A
  • neuro trauma center
  • prevent hypotension and hypoxia
  • treat ICP
  • intubation if GCS <9
How well did you know this?
1
Not at all
2
3
4
5
Perfectly
16
Q

What are some treatments for increased ICP

A

mannitol, keppra, decompressive craniectomy, extraventricular drain

How well did you know this?
1
Not at all
2
3
4
5
Perfectly
17
Q

What is one of the most life threatening complications of a TBI

A

subarachnoid hemorrhage

How well did you know this?
1
Not at all
2
3
4
5
Perfectly
18
Q

Define a subarachnoid hemorrhage

A

rupture of small cortical arteries/veins bleeding into the subarachnoid space
- worst headache of life, thunderclap, meningeal signs

19
Q

Diagnostic testing for SAH

A
  • CT without contrast may show bleeding following circle of willis, “star of death”
  • lumbar puncture may show presence of RBCs and xanthochromia
20
Q

SAH treatment

A
  • calcium channel blocker to prevent vasospasm (Nicardipine)
  • phenytoin
  • neurosurg consult for potential aneurysm clip or coil
21
Q

Define post concussive syndrome

A

prolonged symptoms related to initial head injury
- headache, dizziness, memory loss, loss of libido, ataxia, difficulty sleeping, fatigue

22
Q

Define second impact syndrome

A

Fatal brain swelling occurring after minor head trauma, occurs in pts <20
- headache, neck pain, n/v
- get head CT and treat with hyperventilation and osmotic agents

23
Q

Define chronic traumatic encephalopathy (CTE)

A

progressive degenerative dz beginning months-years after last brain trauma, results from repetitive trauma
- progressive dementia, confusion, judgement, aggression, impulsive

24
Q

Signs and symptoms of an impending cerebral herniation

A
  • increase in ICP d/t CSF, brain tissue, blood shift in the skull
  • significant pupillary asymmetry
  • cushing triad
  • decorticate/decerebrate
  • respiratory depression
25
Describe the cushing triad
Increased ICP - bradycardia - irregular respiration - widened pulse pressure
26
How to treat an impending cerebral herniation
-intubate -head of bed elevation -hypertonic saline or mannitol -seizure prophylaxis
27
Describe blunt cerebrovascular injury
Injury to carotid/vertebral arteries with skull base or vertebral fracture - Dx with CBC, BMP, coags, EtOH - Tx with 81mg ASA qd
28
What are the components of the glasgow coma scale
- Eye opening response - Verbal response - Motor response
29
List the components and points of the Eye Opening response of the GCS
4 pts - spontaneous eye opening and blinking at baseline 3 pts - open to verbal stimuli, command, speech 2 pts - open to pain only (not on face) 1 pt - no response
30
List the verbal response components of the GCS
5 pts - oriented 4 pts - confused conversation but able to answer questions 3 pts - inappropriate words 2 pts - incomprehensible speech 1 pt - no response
31
List the motor response components of the GCS
6 pts - obeys commands for movement 5 pts - purposeful movement to painful stimulus 4 pts - withdraws in response to pain 3 pts - flexion/decorticate response to pain 2 pts - extension/decerebrate response to pain 1 pt - no response to pain
32
What is the GCS for a mild TBI
13-15 30 mins after the injury, 14-15 48 hours after
33
Primary injuries in TBIs
- skull fracture (vault, basal) - Epidural hematomas (tear in mid meningeal artery) - subdural hematomas (cortical vein injury) - coup/contrecoup contusion - diffuse axonal injury - audiovestibular dysfunction
34
Secondary injuries in TBIs
- excitatory amino acids - increased ICP - apoptosis - etc.
35
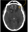
Describe
frontal cerebral contusion
36
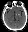
Describe
traumatic subdural hematoma
37
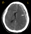
Describe
diffuse axonal injury
38
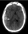
Describe
traumatic epidural hematoma
39
40
41
42
43
E2 V4 M4 = GCS 10