What is pericoronitis?
Soft tissue inflammation related to the crown of a partially erupted tooth

When may conditions of pericoronitis worsen?
When a patient is stressed
What is a clinical feature you may see in a patient with chronic pericoronitis?
Pus exuding from beneath the operculum
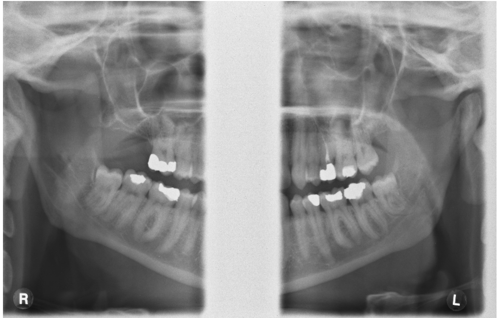
What can you observe in this radiograph?
What condition does this show?

Enlargement of pericoronal space
Chronic Pericoronitis
What conditions may present in a patient to prescribe antibiotics for pericoronitis?
Temperature 38.5C
Feeling unwell
Difficulty swallowing
Had wisdom tooth pain recently
What is the Operculum?
Flap of gum over the crown of a partially erupted tooth

What would you tell a patient to manage pericoronitis?
OHI
Single tufted brush to clean around the tooth
Prescribe Chlorhexidine mouthwash
What can you do as a practioner to help treat pericoronitis?
Irrigate the operculum
Grind cusps or extract opposing third molar
Describe a general presentation of a patient with acute pericoronitis
Pain and swelling localised to the operculum overlying the tooth
Radiation of pain
Severe cases – trismus (reduced mouth opening) and facial swelling
What is trismus?
Restricted jaw opening
What is the first line prescription for pericoronitis?

What is the second line prescription for pericoronitis?

What is the name of the flap you raise during surgical removal of a third molar?
Raise mucoperiosteal flap
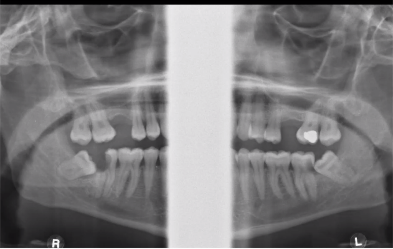
What do you see in this image?

Caries in both lower second molars
What type of impaction are these third molar?

Vertical
What type of impaction are these third molar?

Right - Vertical
Left - Mesio angular
What type of impaction are these third molar?

Horizontal
What type of impaction are these third molar?

Disto angular
What are indications of a coronectomy?
What is a contrinadiction for this?

Used for high risk third molars which are in close proximity to the IDC
Caries is a contra-indication