If you find a 1.5 cm soft, movealbe L thyroid nodule in an asymptomatic patient, what lab/procedure would you use to evaluate them next?
Thyroid panel to measure T3, T4
If a patient’s thyroid nodule is found to be hyperthyroid by a thyroid panel (elevated T3,T4), what would this indicate about the functionality of the nodule and what test should be done next?
If a patient is found to have a euthyroid with the thyroid nodule, what diagnostic test should be undertaken next?
What aspects of the nodule is examined by this test?(x5)
What general wideness and deepness of a thyroid nodule would indicate a malignancy?
If Ultrasound visualization showed a smooth walled solid nodule that is well defined, what is the next step in management?
FNA
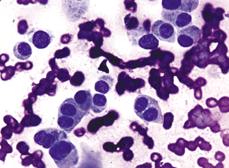
What condition do the cells in this thyroid FNA?
What are the histologic changes seen in these cells? (2x)
Where do these cells originate from?

If Thyroidectomy and Lymph node biopsy on a patient with thyroid medullary carcinoma yields several LN containing cancer, what are some useful ways to monitor the patient? (x3)
What condition must you check for before undertaking a thyroidectomy in a patient with suspected MEN syndrome?
What test would you use to check for the condition?
Why are Serum thyroglobulin and Radioactive iodine ablation not useful diagnostic study and management in thyroid medullary carcinomas thyroidectomy?
What is one increased lab measurement that would signify high likely hood of metastatic medullary thyroid carcinoma?
Elevated serum Calcitonin
Why would you perform RET proto oncogene study on a patient with thyroid medullary carcinoma’s children?
(type of mutation)
RET is a germline mutation and marker for thyroid medullary carcinoma
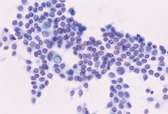
What types of cells can be seen in this FNA and what kind of tumor do they characterize?

What is the appropriate treatment for a papillary carcinoma?
How do papillary carcinomas of the thyroid spread?
prognosis for papillary carcinoma of the thyroid
good
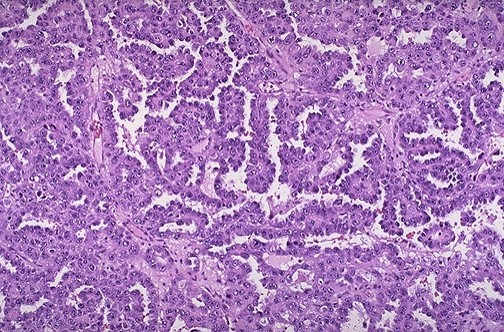
What tumor type does this histologic slide show?
what are the characteristics that indicate the tumor type?

In the absence of growth or suspicious clinical or radiologic findings, thyrid nodules with a benign finding on FN can be managed by what?
observation
Patients with thyroid nodule FNAs that are interpreted as suspicious for malignancy or malignant should be referred for what?
a total thyroidectomy
If an FNA is non diagonistic on the biopsy what do you do?
If an FNA is benign on the first biopsy what do you do?
Risks of a thyroidectomy procedure would include? (x2)
If a thyroid lobectomy frozen section was reported as a low grade well differentiated follicularcarcinoma w/o thyroidal extention, what surgery should be undertaken in the patient?
* lobectomy would negate the effectiveness of radioactive iodine ablation post-op treatment