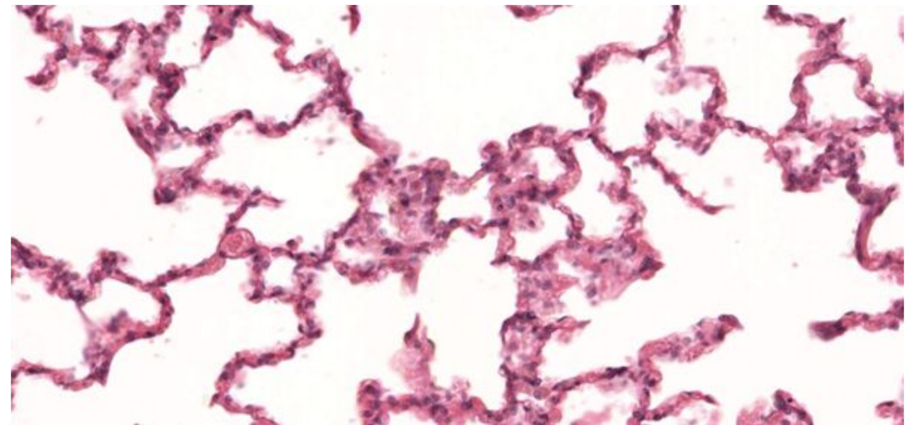
What tissue
Simple squamous epithemlium
What tissue
Simple squamous epithelium
What tissue
Simple cuboidal epithelium
What tissue
Simple columnar epithelium
What cell type
Goblet cell
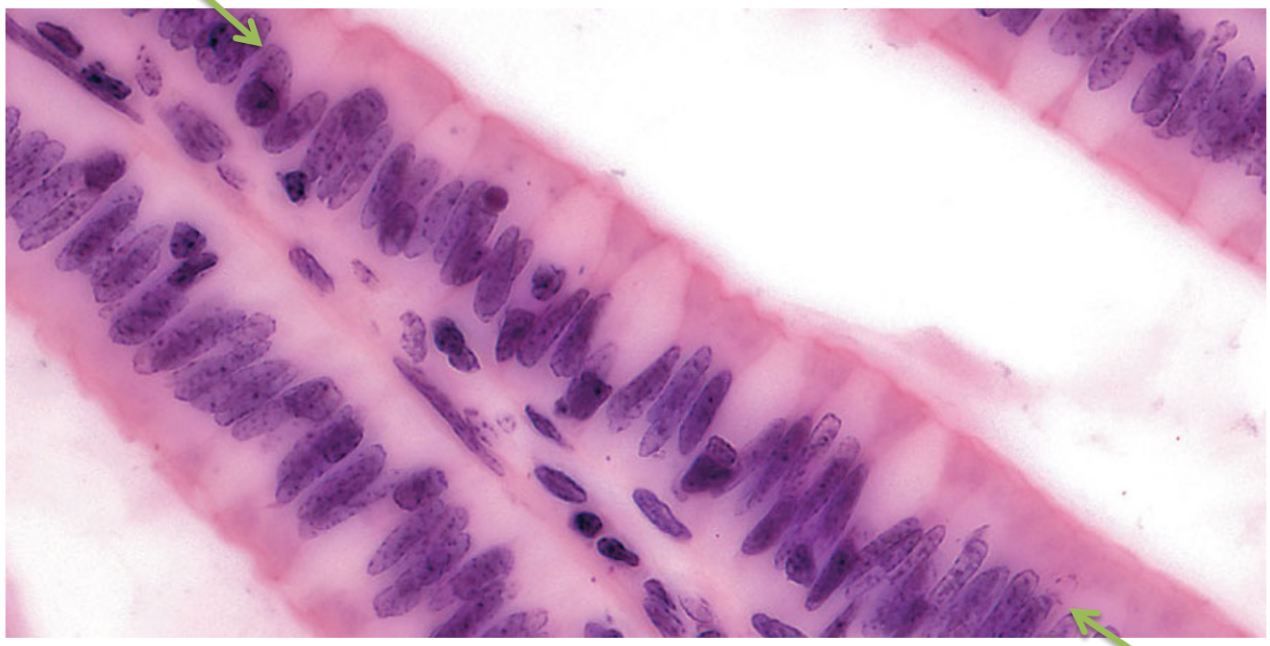
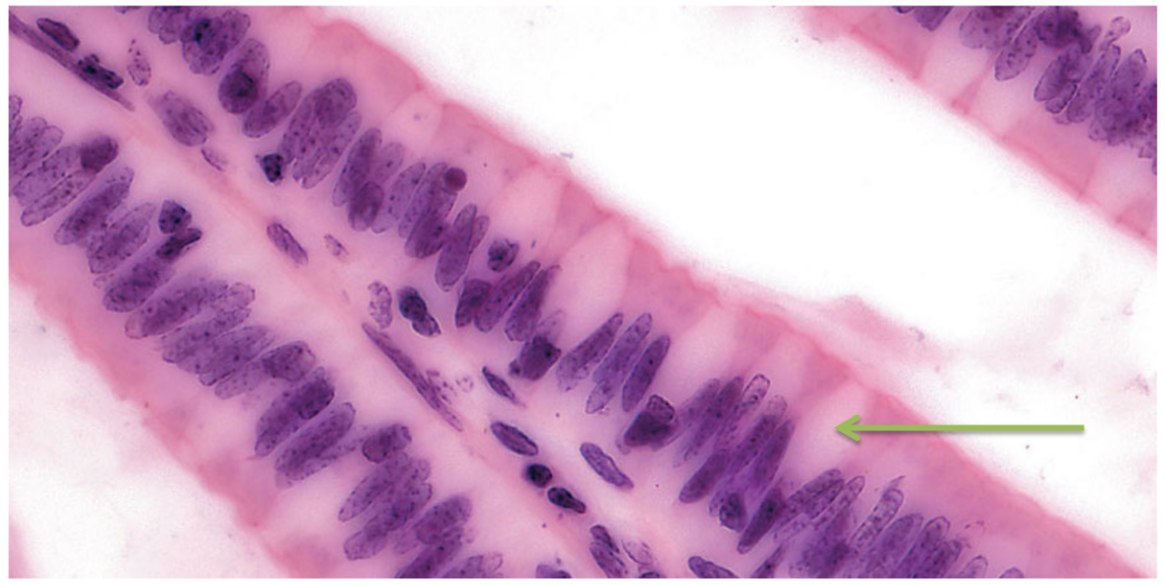
What tissue
Pseudostratified ciliated columnar epithelium
What cell type
Goblet cell
What tissue
Stratified cuboidal epithelium
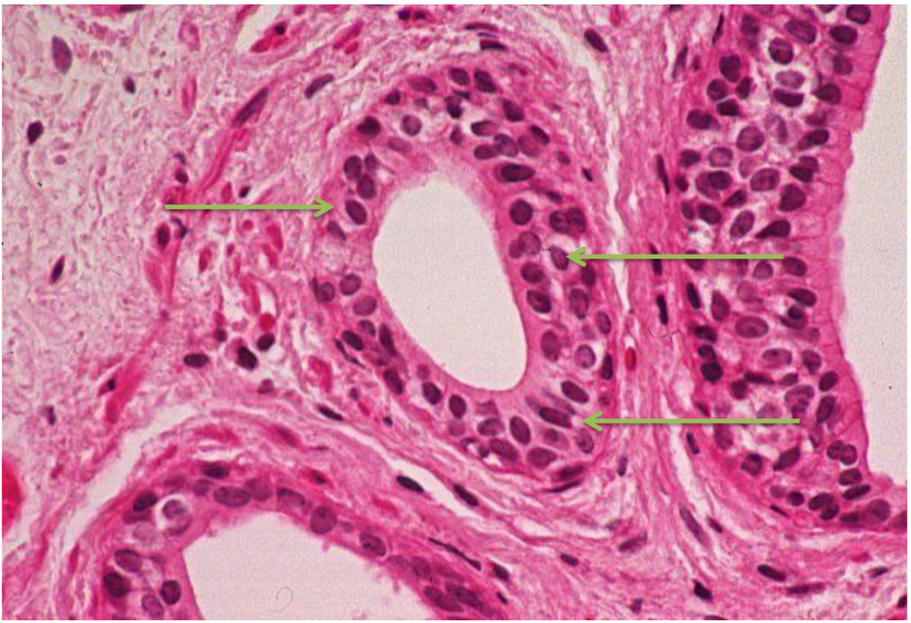
What tissue
Stratified columnar epithelium
What tissue
Transitional epithelium
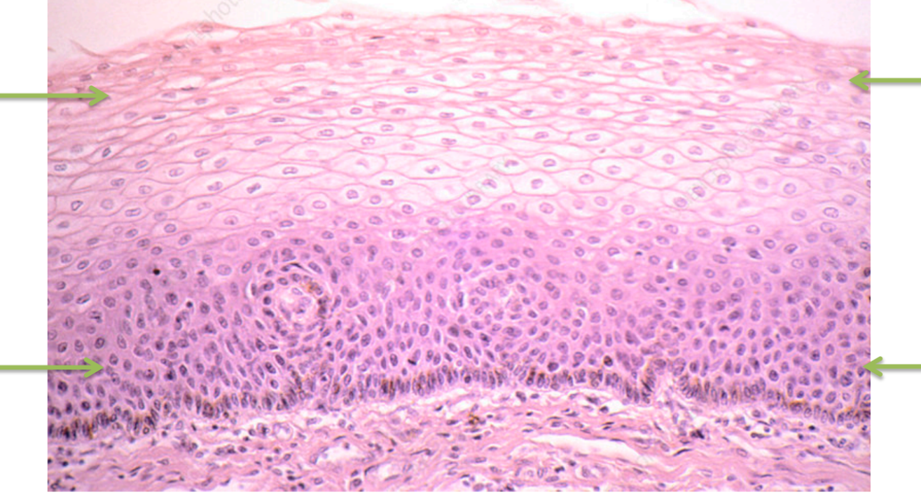
What tissue
Stratified squamous epithelium
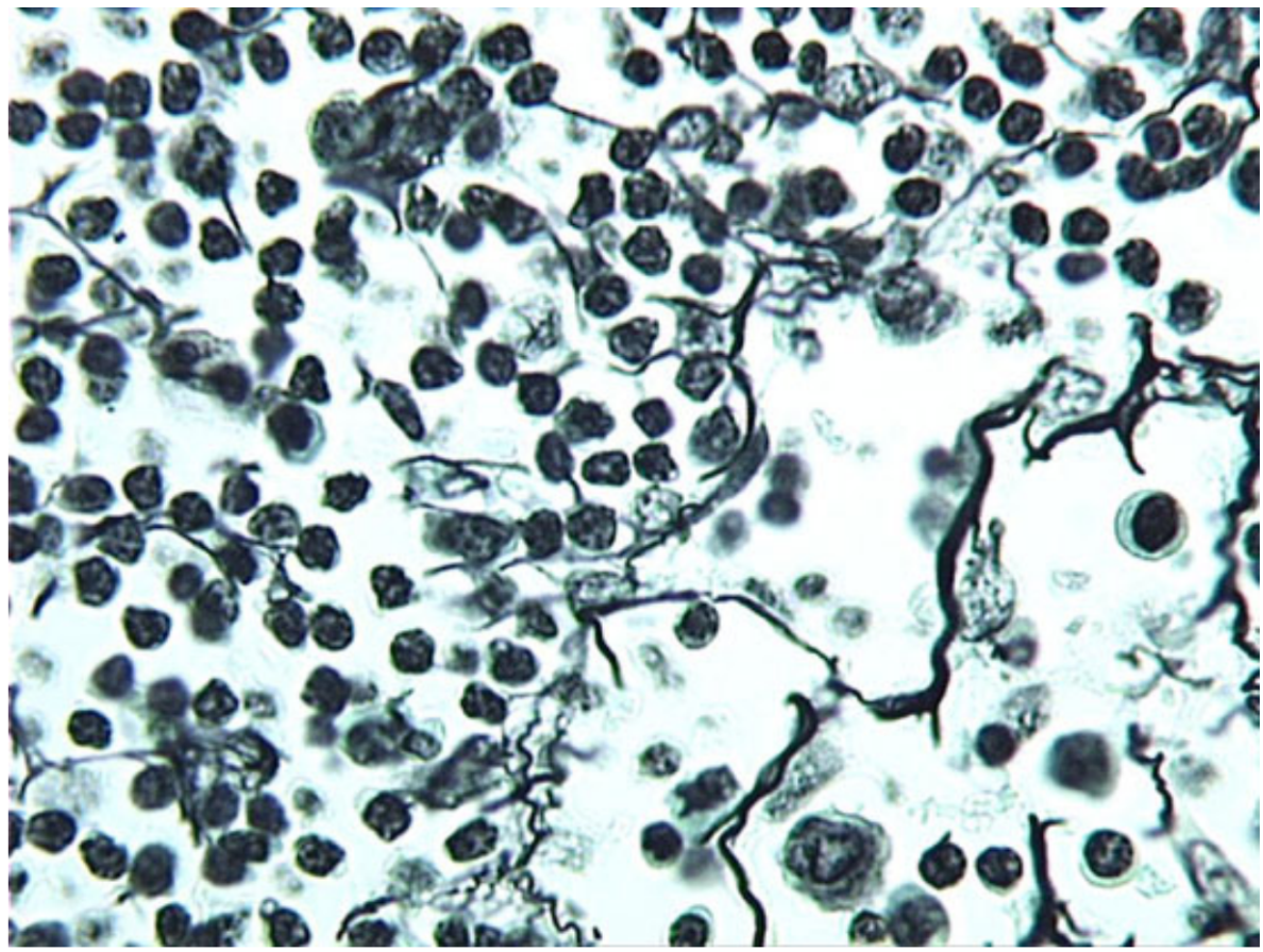
What tissue
Areolar connective tissue
What fiber (dark)
Elastic fiber
What fiber (pink)
Collagen fiber
What tissue
Adipose tissue
What cell type
Adipocyte
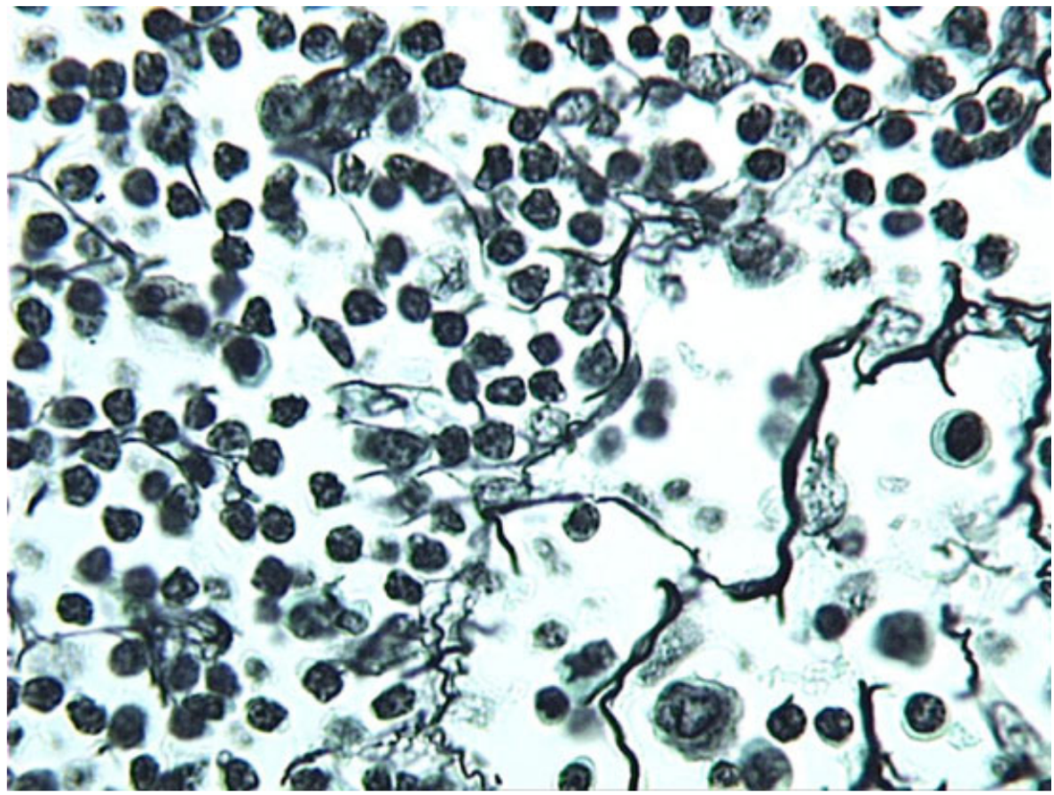
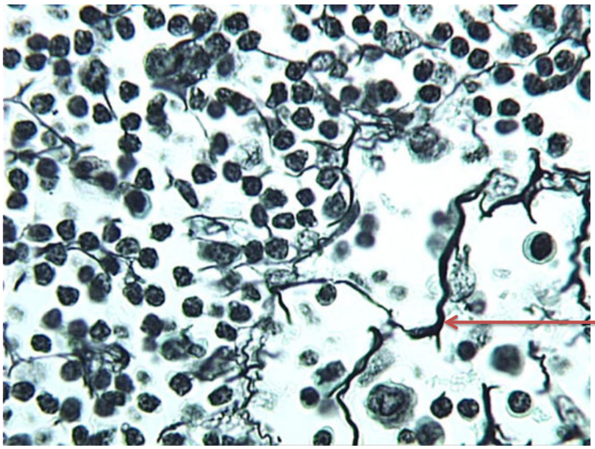
What tissue
Reticular connective tissue
What cell type
Mostly reticular cells (fibroblasts) from leukocytes (white blood cells); but hard to distinguish them here
What fiber
Reticular fiber
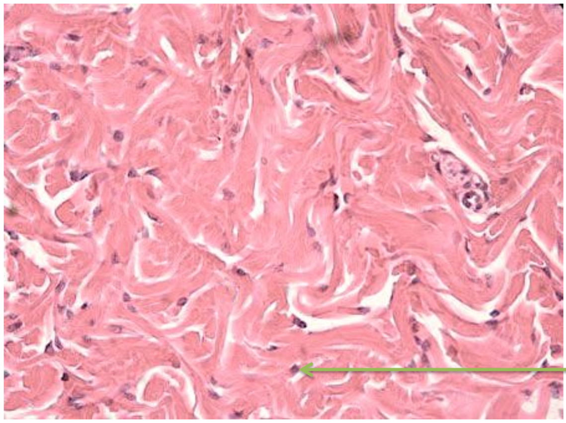
What tissue
Dense regular connective tissue
What fibers
Collagen fibers
What cell type
Indicated by nucleus
Fibroblast
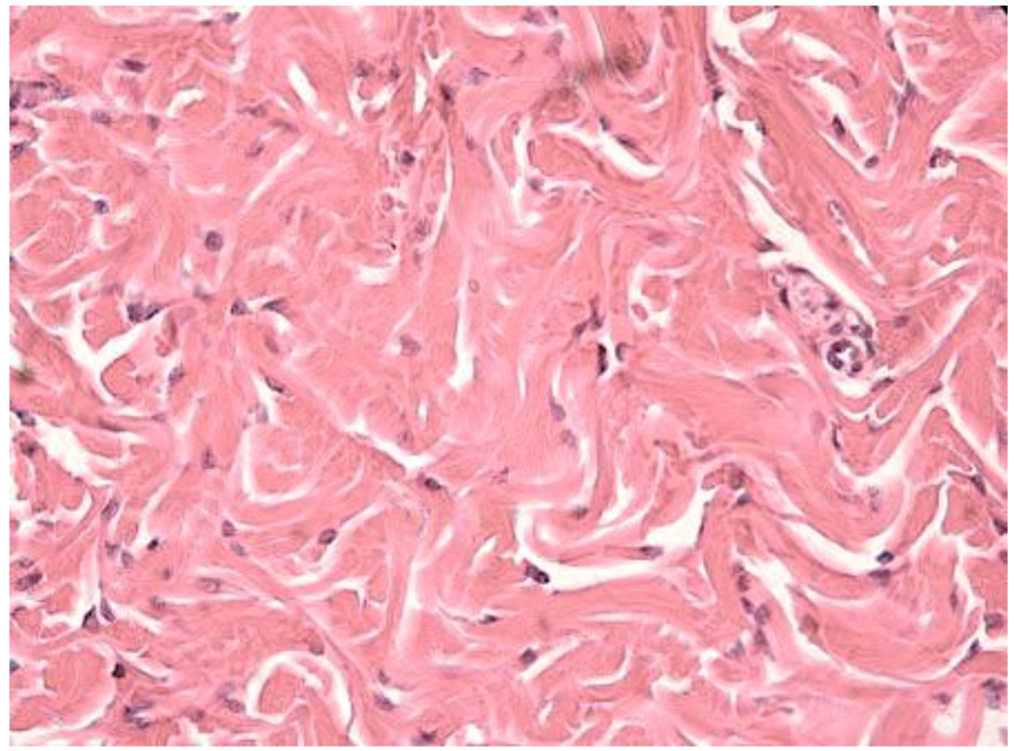
What tissue
Dense irregular connective tissue
What cell type
Indicated by nucleus
Fibroblast