Urinary System Flashcards

(5 cards)

1
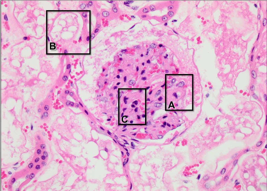
Q

Tissue from a cat with proteinuria.

The diagnostic lesion is in which box?

A

A

How well did you know this?
1
Not at all
2
3
4
5
Perfectly
2
Q

Characteristic lesion caused by Encephalitozoon caniculi:

A

Multifocal to coalescing granulomatous nephritis.

subcapsular depressions, resulting from loss of tubules and interstitial fibrosis (which eventually contracts)

How well did you know this?
1
Not at all
2
3
4
5
Perfectly
3
Q

Which organ is most commonly affected by Encephalitozoon caniculi in rabbits?

A

Kidney

How well did you know this?
1
Not at all
2
3
4
5
Perfectly
4
Q

snake

Name the condition:

A

Renal gout

predisposing factors: dehydration, kidney disease, high protein diet

How well did you know this?
1
Not at all
2
3
4
5
Perfectly
5
Q

What factors predispose animals to renal gout?

A

dehydration, kidney disease, high protein diets, etc.

How well did you know this?
1
Not at all
2
3
4
5
Perfectly