UTUC Flashcards

(36 cards)

1
Q

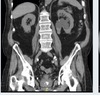
72 y/o male with painless macroscopic hematuria . Describe the images

A

These are static images of the axial, coronal and saggital views of a delayed phase abdominal CT
The most striking feature is the left UP fillings defect seen, bilateral kidney parenchyma appeears normal , there is no HUN , no other renal masses, contralateral kidney on these iamges appears intact
The bladder is full with thickening of the inferior wall of the bladder - can also be sediment
The rest of the ureter can not be visualised on these images
I would also like to asess the Liver, Chest bones for mets

How well did you know this?
1
Not at all
2
3
4
5
Perfectly
2
Q

What would you like to do next

A
  1. Cystoscopy TRO bladder mass
  2. Bilateral selective cytology + RPGs
  3. Risk stratify
  4. Decide on Managment strategy
    - Kidney sparing
    - RNU + template LND + single post op intravesical chemo
  5. T2-T4 / N0-N2 = Platinum based Adj chemo
    T3-T4 , N+ PDL1+ = Nivolumab/Pembro
How well did you know this?
1
Not at all
2
3
4
5
Perfectly
3
Q

65 y/o male with flank pain and microscopic hematuria
CT : Large right renal upper pole cyst with fillling defect in the pelvis
What is your diff diagnosis

A

Radiolucent Filling defects:
- UTUC
- Blood clot
- stone
- Sloughed papilla
- Fungus ball
- bowel gass

External compresison

How well did you know this?
1
Not at all
2
3
4
5
Perfectly
4
Q

Describe the Paris classification

A

Used to report on urine cytology

How well did you know this?
1
Not at all
2
3
4
5
Perfectly
5
Q

How do you do Selective cytology

A

Ureteral catheters are inserted and Barbotage with saline is done to increase detection to 91%

Brush biopsies can also be done but has increased risk of bleeding and perforation

How well did you know this?
1
Not at all
2
3
4
5
Perfectly
6
Q

UTUC Epidemiology , Presentation, Pathology , Etiology, Eval ( Dx), Treatment

A

DEPPER Stepwise ( all in summary)

Definition : Urothelial Carcinoma of the Upper tract
E: Similar to Bladder Ca with Lynch and Balkan nephropathy
P : Hematuria
Flank pain
Acute renal colic
Asymptomatic

Advanced disease
Abdo pain
LOW
Bone pain

How well did you know this?
1
Not at all
2
3
4
5
Perfectly
7
Q

What is the risk of Bladder recurrence after UTUC Rx

A

EAU = 29 %

How well did you know this?
1
Not at all
2
3
4
5
Perfectly
8
Q

Risk of contralateral UTUC after Rx 6

A

2- 6%

How well did you know this?
1
Not at all
2
3
4
5
Perfectly
9
Q

Risk Stratification of UTUC

A

Low risk UTUC
- LG cytology
- LG histology
- unifocal
- no invasion on CT
< 2cm

High risk UTUC
- HG cytology
- HG histo
- Local invasion
- Histological subtype
- multifocal
-> 2cm
- HUN

How well did you know this?
1
Not at all
2
3
4
5
Perfectly
10
Q

TNM staging

A

Ta - non invasive papillary Uca
Tis - carcinoma insitu
T1 - Invades subepithelial connective tissue
T2 - Invades muscularis
T3 - Invades beyond the muscularis into the peripelvic fat or renal parenchyma ( ureter) tumour invades beyond muscularis into perinephric fat
T4 - Into adjacent organs or through the kidney into perinephric fat

N1 - Single LN < 2cm
N2 - Multiple LN or LN > 2cm

M1 - Distant mets

How well did you know this?
1
Not at all
2
3
4
5
Perfectly
11
Q

What risk factors are different to bladder cancer

A

Balkan nephropathy
Lynch syndrome
Analgesic abuse - phenacetin

How well did you know this?
1
Not at all
2
3
4
5
Perfectly
12
Q

How can you make the diagnosis for UTUC

A

CT IVP 92% sens
MRU 72% sens
Cytology
URS —If urine cytology is indeterminate

How well did you know this?
1
Not at all
2
3
4
5
Perfectly
13
Q

Treatment for Low risk UTUC

A

NB! Pt must be able to follow up
- Ureteroscopy + laser ablation
- percutaneous acess and resection
- ureteral resection
- Chemo ablation - Mitomycin containing thermal gel ( UGN 101)

How well did you know this?
1
Not at all
2
3
4
5
Perfectly
14
Q

Mitomycin Hydrogel = UGN 101

A

Reverse polymer hydrogel = thick at cold temperatures and gel at body temperature an dissolves in liquid
Thus developed as a sustained release mitomycin

Response rate of= 58 %
Side effects = Stricture rate 41 %

Stricture mitigation off label advice = Steroids and treatment holiday at first suggesition of any narrowing usually seen by 3rd or 4th Rx
Stenting
Give limited dose as adjuvant Rx after laser ablation
If giving all 6 doses for residual tumours = place a NT

How well did you know this?
1
Not at all
2
3
4
5
Perfectly
15
Q

Who gets adjuvant chemo for UTUC

A

LEVEL 1 evidence
POUT phase III prospective RCT
4 cycles of CG combo within 90 days post RNU vs AS
Disease free surveilance at 3 yrs 71 % vs 50%
5yrs 63% vs 46 %
MFS improvement = 19%

Indication = UTUC pT2-T4 N0M0 or any N1-2M0 , PS =0-1

Exclusion = GFR < 30 , Distant mets, unresectable, concurrent MIBC, PS >-2

How well did you know this?
1
Not at all
2
3
4
5
Perfectly
16
Q

What aboutt NAC for UTUC

A

Neoadjuvant Chemotherapy for High-risk Localized Upper Tract Urothelial Carcinoma: Final Long-term Outcomes from a Phase 2 Clinical Trial and an Expanded Cohort

Aug 2025 _ European journal of urology

Pathologygical response rate of 63% in patients with high risk Utuc was treated with GC 4 cycles prior to definitive surgery and had RNU within 12 weeks after NAC

DFS and OS rates was similar to POUT at 5 yrs
But becase 60-85% of patients may be ineligibleible for adjuvant GC or even carbo -itcan be strongly recommendedmended

17
Q

Survival outcomes of KSS vs RNU in Low risk disease

A

CSS and OS at 5-10 yrs has no significant difference

18
Q

65 y/o male with flank pain and microscopic hematuria
CT : Large right renal upper pole cyst with fillling defect in the pelvis
Define High risk and low risk features

A

Low risk
- LG on cytology
- LG on biopsy
- Unifocal
- < 2cm
- No invasive features on CT

High risk
- HG on cytology
- HG on URS biopsy
- local invasion on CT
- Histological subtype

Weak criteria
-HUN
- multifocal
- Tumour > 2cm

19
Q

Risk factors for UTUC

A

Smoking
Aromatic amines
Phenacetine
Arsenic
Aristolochic acid = Balkan nephropathy
Lynch syndrome
Radiation
Chronic infection ( UTIS, stones)
Cyclophosphamise

20
Q

Risk for bladder cancer in patient with UTUC

A

Synchronous Bladder Ca = 17%
Synchronous UTUC ( bilat) = 1.6%

Bladder recurrence afterr Rx = 29%
UTUC contralat after Rx = 2-6%

21
Q

What happens to the risk of bladder cancer if JJ stent was placed for URS in UTUC

A

Thus, while URS with biopsy (which often involves JJ stent placement) increases bladder recurrence risk, the guidelines do not specify an exact percentage increase in risk due to JJ stent placement alone

22
Q

CT : Large right renal upper pole cyst with fillling defect in the pelvis
What is your diff diagnosis
How will you manage this patient.

A
  1. Cystoscopy
  2. Bilateral selective cytology + RPGs
  3. U&E prior to CT IVP
  4. Risk stratify
  5. Decide on Managment strategy
    - Kidney sparing
    - RNU + teplate LND + single post op intravesical chemo
  6. T2-T4 / N0-N2 = Platinum based Adh chemo
    T3-T4 , N+ PDL1+ = Nivolumab/Pembro
23
Q

What are kidney sparing options

A
  1. Ureteroscopy + endoscopyic ablation using Holmium or thulium laser ( laser vaporisation or excision with irrigationn to clear fragments and close surveilance with repeat URS in 8 weeks
  2. Perc access - resection
  3. Ureteral resection ( segmenral/ distal ureterectomy ) + ureteroneocystostomy , end-end technique, ileal interposition, renal auto transplantationt
  4. Chemo ablation = Mitomycin containing thermal gel - UGN 101 instillations 6 weekly via uteral catheter, complete response rate = 58 %
    Cx Ureteric strictures, UTIS, HU, Pain
24
Q

You do a laparoscopic nephroureterectomy and the patient develops an air embolism.
How would that present
How do you manage it ?

A

Occurs when gas ( CO2) used for pneumoperitoneum enters thee venous circulation and travels to the heart, lungs and can obstruct blood flowow. Rare and life threatening

CVS :
- Sudden hypotension
- Tachhy
- CVS collapse
- Mill wheel murmur

Resp :
Sudden drop in end tidal CO2 ( earlies sign)
Hypoxia
Cyanosis
Pulm HPT

Monitorng changes
Decrease ETCO2
Decreased SpO2
Increased Pulm artery Pressurere

Rx : Stop Co2 insufflation
Release pneumoniamoperitoneum
Control bleeding vessels
Place pt in latereal decubutyrs + head down positionon ( Durant position) = traps air in the right atrium
Gice 100% O2
Aspirate air via CVC
Hemodynamic supportt - IV fluids, Vasopressors,CPR

Advanced Rx = Hyperbarric O2

25
Describe cuff of bladder surgery Options and risk and benefit of each
Early ureter ligation decreases intravesical recurrence Different techniques include - Extravesical - Transvesical - Combined - Laparoscopic
26
How do you give Intra op/ Post op MMC
Single dose post op instillation can be given at the time of TUC removal in 2- 11 days Intra op : MMC can also be given immediately prior to surgery
27
What is Lynch sydnrome
28
Who needs screening for lynch and what is the critaria called ?
Modified Amsterdam criteria
29
Who can get Adjuvant Immunotherapy
Muscle incasive Uca with PD-L1 expression>1% who is unfit for chemo = Pembrolizumab. Ambassodor trial
30
Management of LN in UTUC
Renal pelvis UTUC : Right paracaval, retrocaval , interaorto cacal , Left = para aoric Inferior margin = IMA Upper 2/3 ureter - extend template to bifurcation of the aorta Distal ureter - Extended LAD template to external and internal iliac, obturator and presacral T2 = 19 % nodes T3 = 47% nodes T4 = 20-100% nots
31
Metastatic disease management for UTUC
32
Do you know any other Novel agents that can be used for Metastatic UTUC
FIbroblast growth factor receptor inhibition (FGFR)= Erdafitinib Assoc with 40% radiological response 36 % risk reduction in death Antibody drug conjugate = Enfortumab Vedotin = is an antibody–drug conjugate targeting Nectin-4 that is internalized and releases a microtubule inhibitor, causing cell-cycle arrest and apoptosis.”
33
Follow up of UTUC
Low risk - Like LG Bladder CA 3m cystoscopy —> 9m —> yearly High Risk Cystoscopy + cytology at 3m —> 3 monthly x2 years —> 6 monthly x 5 years CT 6 monthly for the first 2 years
34
Describe what you see and what investigations would you like
I see the a Collimated view of a retrograde pyelogram focussing mostly on the left kidney and proximal ureter with a large filling defect I would proceed with selective cytology with barbotage FBC, U&E U-MC&S Book a CT IVP / 3phase CT ( if normal creat)
35
CT findings post RPG reveals
Coronal image of an abdominopelvic CT With left pelcis and proximal ureter mass like filling defect
36