What is a venous thromboembolism (VTE)?

Where are deep vein thrombosis most common?

What is Virchows triad?
What are the 3 risk factors in Virchows triad?

In normal blood flow it is always moving, but if they blood slows or even stops, this is referred to as circulatory stasis. What are some common risk factors for circulatory stasis?
Vascular injury is a part of Virchows triad, what are some common risk factors for this?
What are some of the most common factors that can induce a hypercoaguable state?
What is acquired thrombophilia in relation to deep vein thrombosis (DVT)?
What is the most common acquired thrombophilia?
Antiphospholipid syndrome is the most common acquired thrombophilia, what is it?

Antiphospholipid syndrome is the most common acquired thrombophilia, who is most affected?
Dysfibrinogenaemia is the second most common acquired thrombophilia, what is it?
What is the most common cause of inherited thrombophilia, which causes increased risk of blood clot formation?
Factor V Leiden is the most common cause of inherited thrombophilia, what is it?
Factor V Leiden is the most common cause of inherited thrombophilia, is it dangerous?
Prothrombin thrombophiliais the second most common cause of inherited thrombophilia, what is it?
-
What happens in inherited thrombophilias when there is protein S and C deficiency?
When investigating a DVT we can perform a d-dimer test. What is this?

What is the Wells Score used in DVT?
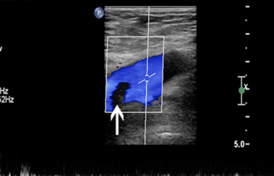
If a patient has had a d-dimer test and a Wells Score calculated and you are still unsure if the patient has a DVT, what imaging technology can you use?

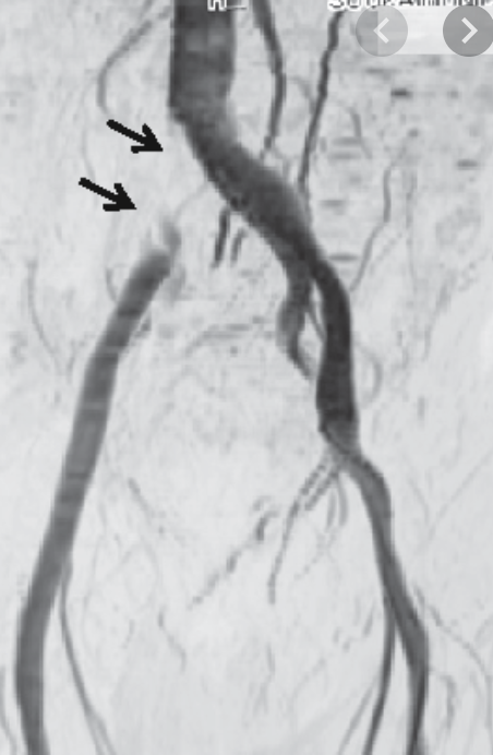
If a patient has had a d-dimer test, wells score and ultrasound and the clinician is still unsure, what test can be performed?

If a patient has a positive d-dimer test, is this diagnositc?
What is the difference between sensitivity and specificity?
Are patients with a DVT always treated?