What is this view of the foot? what views are missing?

Oblique (medial)
MISSING:
Dorsal Plantar
Lateral
What is this view of the hand? What views are missing?

Scaphoid
MISSING:
PA
Lateral
Lateral Oblique (PA)
Medial Oblique (PA)
What is this view of the shoulder? what views are missing?

Scapular Y Shoulder
MISSING:
AP
AP internal rotation
AP external rotation
Axial
AC Joints (spot, weighted
What is this view of the knee? Which views are missing?

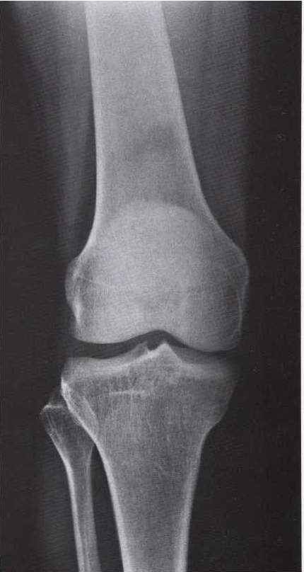
AP
MISSING:
Lateral
Intercondylar
Skyline
Medial oblique
What is this view of the shoulder? what views are missing?

AP internal rotation
MISSING:
AP
AP external rotation
Axial
Scapular Y Shoulder
AC Joints (spot, weighted
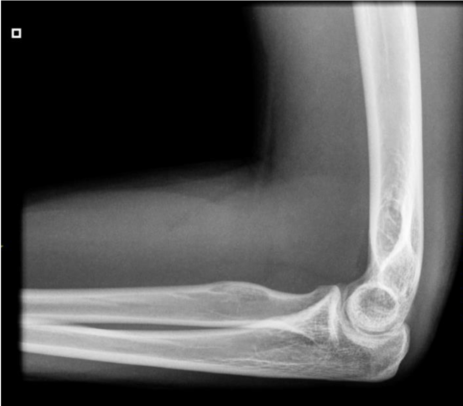
What is this view in the elbow? What views are missing?

– AP
MISSING:
– Lateral Flexion
– Medial Oblique
– +- supination or pronation AP
What are the views for Cx
○ APOM
○ AP Lower Cervical
○ Lateral
○ Right and Left Oblique Posterior)
Davis Series:
○ Flexion and extension lateral (along with all other films)
What is this view of the knee? Which views are missing?

Lateral
MISSING:
AP
Intercondylar
Skyline
Medial oblique
What is this view of the shoulder? what views are missing?

AP
MISSING:
AP internal rotation
AP external rotation
Axial
Scapular Y Shoulder
AC Joints (spot, weighted
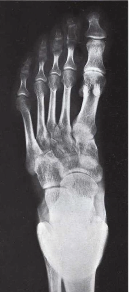
What is this view of the foot? what views are missing?

Dorsal Plantar
MISSING:
Lateral
Oblique (medial)
What is this view of the knee? Which views are missing?

Medial oblique
MISSING:
AP
Lateral
Intercondylar
Skyline
What is this view of the ankle? what views are missing?

Oblique
MISSING:
AP
Lateral
What is this view of the shoulder? what views are missing?

AP external rotation
MISSING:
AP
AP internal rotation
Axial
Scapular Y Shoulder
AC Joints (spot, weighted
What is this view of the hand? What views are missing?

PA
MISSING:
Lateral
Lateral Oblique (PA)
Medial Oblique (PA)
Scaphoid
What is this view in the lumbars? Whart views are missing?

Oblique
AP (tilt 15 degree SIJ)
Lateral
Oblique on other side
L5/S1 spot (AP and Lat)
What is this view? What views are missing?

○ Lateral
MISSING
○ APOM
○ AP Lower Cervical
○ Lateral from the other side
○ Right and Left Oblique Posterior)
Davis Series ○ Flexion and extension lateral (along with all other films)
What is this view of the ankle? what views are missing?

Lateral
MISSING:
AP
Oblique
What is this view in the lumbars? What views are missing?

AP (tilt 15 degree SIJ)
MISSING
Lateral
Oblique R & L
L5/S1 spot (AP and Lat)
What is this view in the elbow? What views are missing?

– Lateral Flexion
MISSING:
– AP
– Medial Oblique
– +- supination or pronation AP
What is this view of the hip? what views are missing?

AP widely collimated
MISSING
Spot AP Hip
Frogleg
Lateral (uncommon due to superimposition)
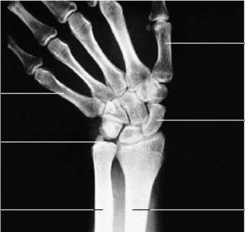
What are the views of the hand?
PA
Lateral
Lateral Oblique (PA)
Medial Oblique (PA)
Scaphoid
What is this view in the lumbars? Whart views are missing?

Lateral
MISSING
AP (tilt 15 degree SIJ)
Lateral on other side
Oblique R & L
L5/S1 spot (AP and Lat)
What is this view of the hand? What views are missing?

Lateral Oblique (PA)
MISSING:
PA
Lateral
Medial Oblique (PA)
Scaphoid
What is this view? What views are missing?

APOM
MISSING
○ AP Lower Cervical
○ Lateral
○ Right and Left Oblique Posterior)
Davis Series ○ Flexion and extension lateral (along with all other films)