What key areas should you review on CXR?
Name some main visible structures on a CXR
Name some importnant obscured structures on CXR
What shape should the aortopulmonary window be?
What should you consider if it is not that shape?
Normally: concave
If straightened or convex consdier Mediastinal lymphadenopathy
Name some structures in the AP window
Consolidaiton VS Collapse
Consolidation: Alveolar airspaces filled with fluid/ tissue/other matrial
Lobar collapse: Signs of volume loss & absences of air bronchograms
You may see the fissues and hilar having moved up or down
Which lung hilum is normally higher
left lung hilum
What is (loss of) silhouette sign indicate? (very broad)
Pathology

What imaging features should you look for on CONSOLIDATION?
A2BC3
PA CXR
What is this showing? Collapse or consolidation?

Consolidation. Hilar are equal levels. Ill defined appearance

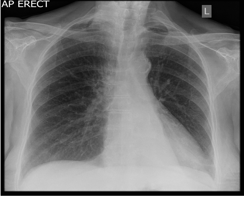
What is this showing?
AP errect

LUL collapse- collapses anteirorly becoming a thin sheet of tissue –> “Veil sign”
Loss of silhouette sign of aortic knuckle
General opacity on the left
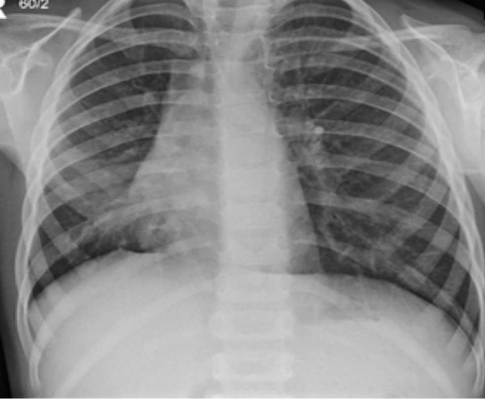
What is this AP CXR showing?

Left Lower Lobe collapse –> Sail sign
Loss of silouette sign of left demidiaphragm and descending aorta
Inferior displacement of left hilum
Inferior displacement of oblique fissue
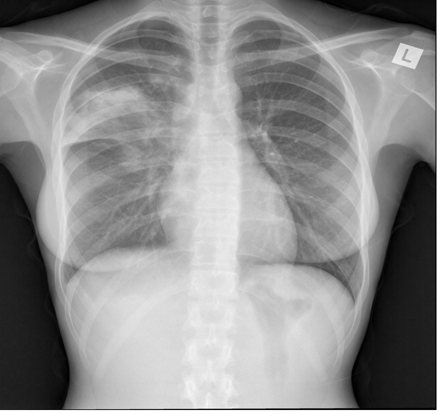
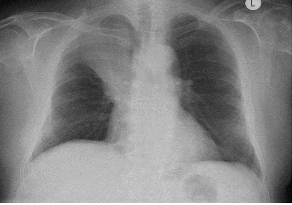
What is the PA CXR showing?

Right middle lobe collapse. Child has inhaled foreign body
Loss of horizontal fissure
Loss of silhouette sign of right hear boarder
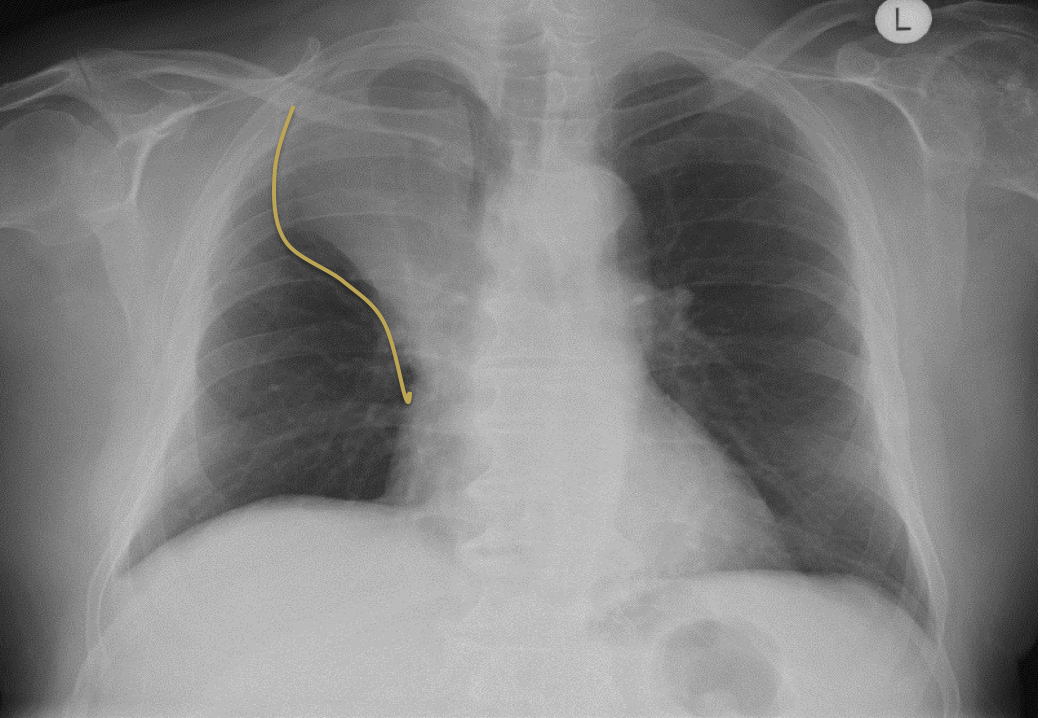
What is this PA CXR showing?
What should you be suspicious of?

Right upper lobe collapse –> Golden S sign
Consider: carcionma. The mass can block the bronchus to right upper lobe causing it to collapse and the lung rotates backwards

What should you never XRAY if you have suspicions of?
What is the treatment for this?
Tension pneumothorax
Tx: 14G cannular –> 2nd ICS MCL
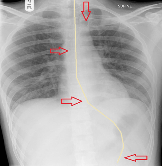
For an ETT placement what are the rules of placement
Flexed neck- 3cm (+/- 2 cm)
Extended neck- 7cm (+/- 2cm)
If incorrectly places can cause right lung hyperinflation and left lung collapse
What are the rules of NG tube placement?

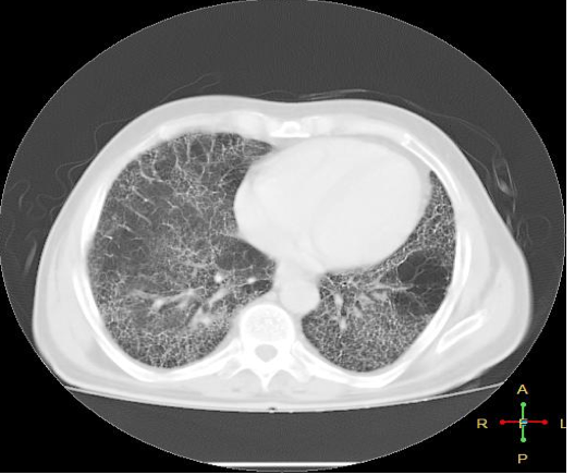
What is this HRCT showing?
What is it indicative of?

HONEYCOMBING indicative of pulmonary fibrosis
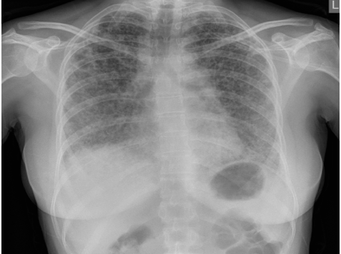
What is the CXR showing?

Reticular shadowing- looks course, nodular type pattern unlike consolidation/ pulmonary oedema
“Reticular nodular” is typical of a fibrotic lung condition
Then do high resolution CT scan
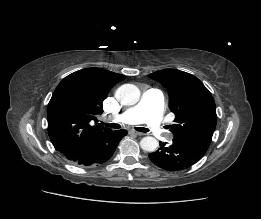
What is this CTPA showing?

Pulmonary embolism. Areas of radiolucency are the PE
What blood test should you never do in pregnant women who you suspect have a pulmonary embolism
D-Dimer. Already in a hyper-coaguable state
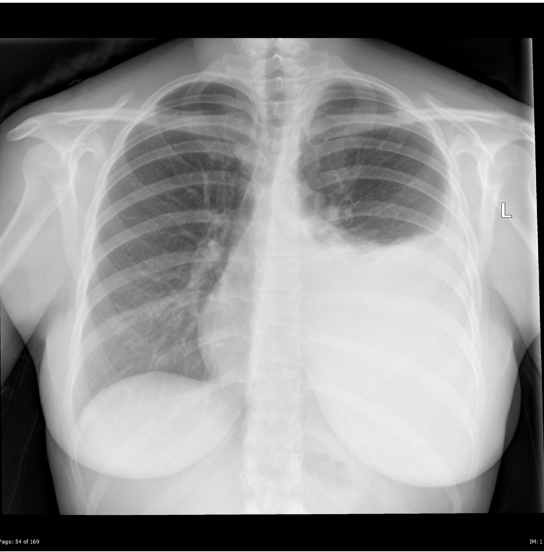
What is this CXR showing?

Radio opacity and miniscus present thus PLEURAL EFFUSION