What age group is most commonly affected by appendicitis?
10-30 year olds
What causes acute appendicitis?
Typically luminal obstruction due to faecolith or lymphoid hyperplasia
Can be due to malignancy e.g. caecal adenocarcinoma
When obstructed, commensal bacteria multiply - acute inflammation
Reduced venous drainage + inflammation cause increased pressure leading to ischaemia, going on to cause necrosis then perforation
What is McBurney’s point?
One third of the distance from the ASIS to the umbilicus
What are the classic features of appendicitis?
-Rebound and percussion tenderness at McBurney’s point
-Anorexia
-Nausea and vomiting
-Low-grade fever
-Rosving’s sign (palpation of the LIF causes pain in the RIF)
-Guarding on abdominal palpation
-Rebound tenderness
-Percussion tenderness
What two specific signs can be found on examination of appendicitis?
Rovsing’s sign
Psoas sign - RIF pain with extension of right hip
Retrocaecal appendix
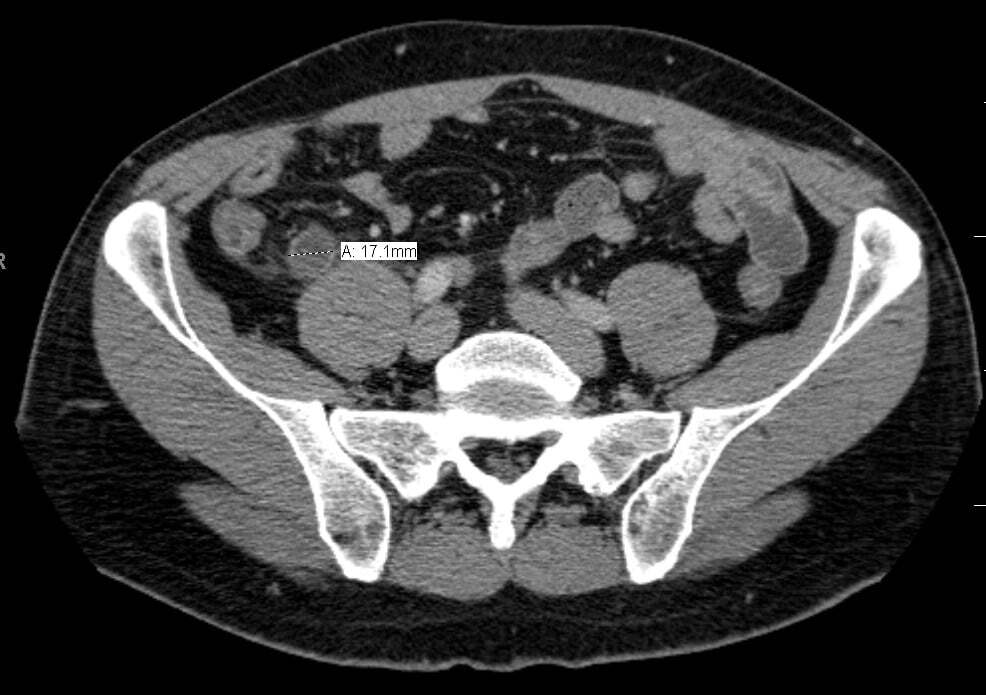
How is appendicitis diagnosed?
Clinical presentation and raised inflammatory markers
CT can be useful if another diagnosis is more likely
Ultrasound to exclude gynaecological pathology
What is the next step if a patient has a clinical presentation suggestive of appendicitis but negative investigations
Diagnostic laparoscopy
What are the key differential diagnoses of appendicitis?
Ectopic pregnancy
Ovarian cysts
Meckel’s diverticulum
Mesenteric adenitis (inflamed abdominal lymph nodes)
Children -
- Gastroenteritis
- Intussusception
- UTI
What is mesenteric adenitis associated with?
Younger children
Tonsilitis
URTI
What investigations are done in suspected appendicitis?
Urinalysis - assess for renal cause
Pregnancy test
Routine bloods - clotting + G&S
Serum bhCG
What causes an appendix mass?
Omentum surrounds and sticks to inflamed appendix
Mass forms in the RIF
Treat conservatively initially with prolonged antibiotics, higher risk of visceral injury and post-op complications
Once inflammation reduces - appendectomy
How is appendicitis managed?
Laparoscopic appendicectomy - gold standard
Open approach - Lanz incision. can be used
Give all patients pre-op antibiotics
What are the complications of appendicectomy?
What imaging is done for appendicitis?
Imaging can be used to confirm diagnosis
When is conservative management used?
High-risk surgical candidates with uncomplicated appendicitis
Antibiotics