Presentations - GI Perforation Flashcards

(12 cards)

1
Q

What are some examples of an UGI perforation?

A

Peptic ulcer disease
Gastric or oesophageal cancer
Foreign body ingestion
Boerhaave syndrome

How well did you know this?
1
Not at all
2
3
4
5
Perfectly
2
Q

What are some examples of a LGI perforation?

A

Diverticulitis
Colorectal cancer
Appendicitis or Meckel’s diverticulitis
Foreign body insertion
Crohn’s or UC
Toxic megacolon

How well did you know this?
1
Not at all
2
3
4
5
Perfectly
3
Q

How do patients with GI perforation present?

A

Severe and rapid onset abdominal pain
Systemically unwell
Vomiting
Lethargy

How well did you know this?
1
Not at all
2
3
4
5
Perfectly
4
Q

What tests are done for GI perforation?

A

FBC
U&Es
LFTs
CRP
Clotting
G&S

How well did you know this?
1
Not at all
2
3
4
5
Perfectly
5
Q

What is the gold standard for diagnosis of GI perforation?

A

Contrast CT scan

With upper GI oral contrast can be used

eCXR used to be used but far less common as wouldn’t pick up all perforations

How well did you know this?
1
Not at all
2
3
4
5
Perfectly
6
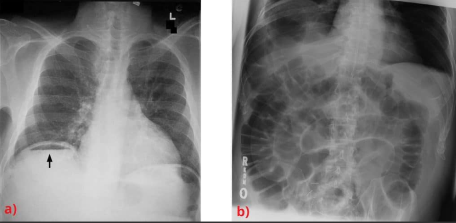
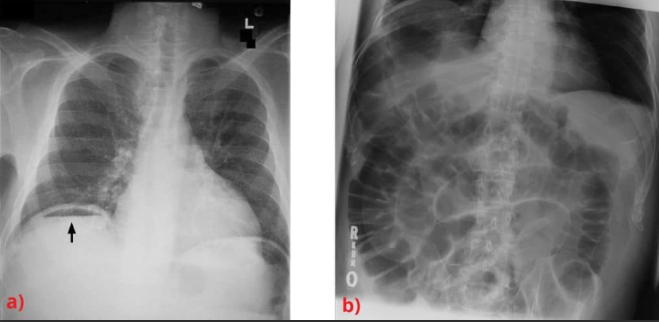
Q

What do these images show?

A

Both evidence of pneumoperitoneum - can also get psoas sign

a- Pneumoperitoneum - air under diaphragm

b- Rigler’s sign (both sides of the bowel visible)

How well did you know this?
1
Not at all
2
3
4
5
Perfectly
7
Q

How is GI perforation managed initially?

A

Broad-spectrum antibiotics
Patient NBM
NG tube
IV Fluid resuscitation
Analgesia

How well did you know this?
1
Not at all
2
3
4
5
Perfectly
8
Q

What are the key aspects of surgical intervention in GI perforation?

A

Identify cause
Manage perforation
Thorough washout

How well did you know this?
1
Not at all
2
3
4
5
Perfectly
9
Q

What is done for a peptic ulcer perforation?

A

Graham patch

Patch of omentum over the ulcer

How well did you know this?
1
Not at all
2
3
4
5
Perfectly
10
Q

What is done for a small bowel perforation?

A

Bowel resection
Anastomosis
Stoma formation

How well did you know this?
1
Not at all
2
3
4
5
Perfectly
11
Q

What is done for a large bowel perforation?

A

Can cause large amount of contamination

Bowel resection
Stoma formation

How well did you know this?
1
Not at all
2
3
4
5
Perfectly
12
Q

When are patients managed conservatively in GI perforation

A

Localised diverticular perforation with only localised peritonitis and tenderness with no contamination

Sealed upper GI perforation

Elderly frail patient with extensive co-morbidities who would not survive the surgery

How well did you know this?
1
Not at all
2
3
4
5
Perfectly