



What view is most important when evaluating calcs though to represent milk of calcium?
90 degree lateral view


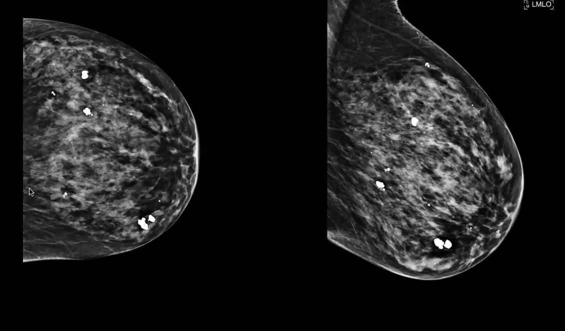
dermal calcs
typically benign calcifications
BI-RADS for new or changing calcs
4 or 5
anything new or changing is suspicious!
calcifications in DCIS are due to
comedo necrosis in ducts


Secretory calcs


Radiation changes

dermal calcs:
most common in the parasternal area and inframammary fold

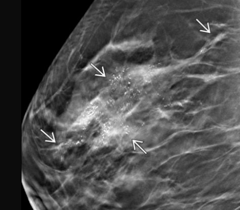
fine pleomorphic
= scary
BR 4 or 5

segmental fine pleomorphic calcs. BAD!
BR 5

Dermatomyositis



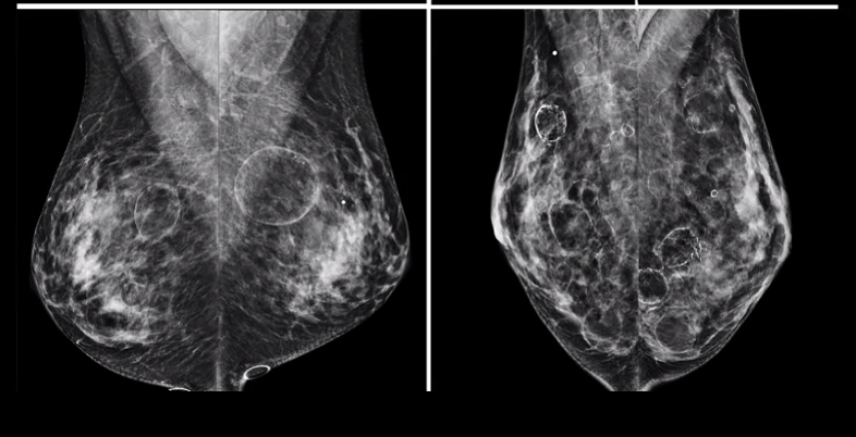
autologous fat injection
deep oil cysts bilaterally - a lot of them
what bir-rads?

BR-2. multiple popcorn (dystrophic) calcs = multiple degenerating fibroadenomas