Misc Flashcards

(34 cards)

1
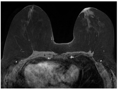
Q

What clinical history most likely accounts for the imaging findings shown?

A

Bilateral reduction mammoplasty

How well did you know this?
1
Not at all
2
3
4
5
Perfectly
2
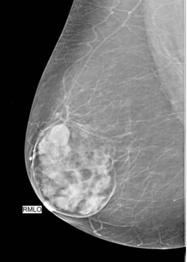
Q
A

Breast Hamartoma.

“Breast within a breast”, or “sausage appearance”

association: cowden syndrome

How well did you know this?
1
Not at all
2
3
4
5
Perfectly
3
Q
A
How well did you know this?
1
Not at all
2
3
4
5
Perfectly
4
Q
A

Inflamed cyst

MR: T2-hyperintense, oval or round mass; slow, persistent, uniformly thin rim (not nodular or irregular) enhancement

How well did you know this?
1
Not at all
2
3
4
5
Perfectly
5
Q
A

mucinous carcinoma/colloid carcinoma

-subtype of IDC

MR: Characteristic high-signal T2/STIR due to high mucin content; avid, slow rim enhancement

How well did you know this?
1
Not at all
2
3
4
5
Perfectly
6
Q

Six months between exams. Likely diagnosis?

How well did you know this?
1
Not at all
2
3
4
5
Perfectly
7
Q
A

Paget disease of the left breast. Left areolar thickening.

Paget is DCIS of the nipple. Stage 0

How well did you know this?
1
Not at all
2
3
4
5
Perfectly
8
Q

True or false, discharge associated with breast cancer usually arises from a single duct

A

true.

Benign nipple discharge usually arises from multiple ducts, whereas nipple
discharge from a papilloma or DCIS usually occurs from a single duct.

How well did you know this?
1
Not at all
2
3
4
5
Perfectly
9
Q
A
How well did you know this?
1
Not at all
2
3
4
5
Perfectly
10
Q

Most common mass producing bloody nipple discharge:

A

benign intraductal papilloma

How well did you know this?
1
Not at all
2
3
4
5
Perfectly
11
Q

When is nipple discharge concerning?

A

Nipple discharge is of particular concern if it is spontaneous and from a
single duct, or if the discharge is clear or bloody.

How well did you know this?
1
Not at all
2
3
4
5
Perfectly
12
Q

Which of the following risk factors places a patient at highest risk for developing breast cancer?

A. Moderate/florid ductal hyperplasia

B. Lobular carcinoma in situ

C. Sclerosing adenosis

D. Atypical ductal hyperplasia

A

B. Lobular carcinoma in situ.

High risk for breast cancer with lobular carcinoma insitu( 8-10X
increase)

Ductal hyperplasia, sclerosing adenosis and typical ductal hyperplasia have a moderate increased risk

How well did you know this?
1
Not at all
2
3
4
5
Perfectly
13
Q

What percentage of breast cancers occur in men?

A

1%

How well did you know this?
1
Not at all
2
3
4
5
Perfectly
14
Q

mean age of presentation of phyllodes

A

40 -50 years old. Phyllodes tumors typically occur 10-20 years later than
fibroadenomas

How well did you know this?
1
Not at all
2
3
4
5
Perfectly
15
Q
A
How well did you know this?
1
Not at all
2
3
4
5
Perfectly
16
Q

if you see an MRI finding on MRI for the extent of the disease and see a new lesion, next step?

A

go to mammo or US and look for the lesion there and then biopsy it using either of those modalities

17
Q

if you get a benign path result for a BI-RADS cat 5 lesion, what is the next step?

A

surgical excision. BI RADS 5 means you are really sure it is cancer despite the path results and it should be taken out

18
Q

surgically excise what lesions?

A

DCIS, LCIS, anything with atypia in the name

19
Q
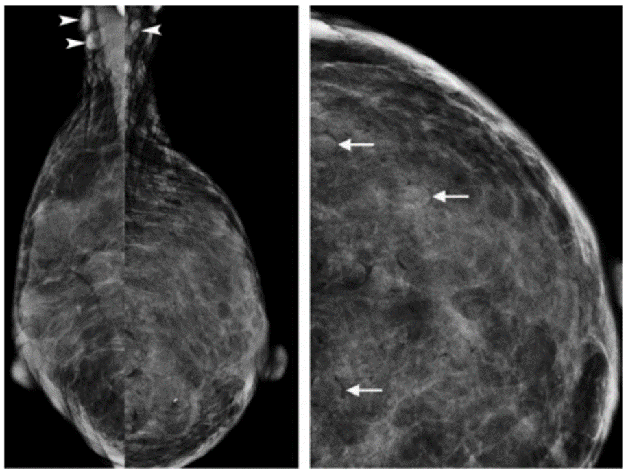
A

NF1

NF-1 in an 80-yearold woman with multiple superficial neurofibromas over her torso. Right and left MLO mammograms (a) and left craniocaudal mammogram (b) show numerous dense, circumscribed ovoid masses surrounded by lucent halos of air in the axillae (arrowheads in a) and breasts (arrows in b), findings that represent cutaneous neurofibromas.

https://pubs.rsna.org/doi/pdf/10.1148/rg.314105205

20
Q
A

Mixed connective tissue disease characterized by limited systemic sclerosis, severe Raynaud phenomenon, and dermatomyositis in a 37-year-old woman.

21
Q
A

complicated cyst

30% chance of malignancy

BUT…in this case on mammo there was egg shell/rim calcifications. So this was a case of fat necrosis which can mimic malignancy

22
Q

how thick does the breast has to be for stereotactic biopsy?

A

3 cm thickness (minimum)

23
Q

how deep does the lesion have to be for a stereotactic biopsy?

A

at least 1 cm

24
Q

male with breast tenderness

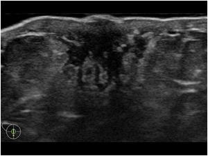
25
NF1
26
breast feeding woman with new palp
lactating adenoma notice the internal vascularity. in contrast, a galactocele will not have internal flow
27
next step for breast abscess
aspiration and antibiotics
28
bi-rads for an abscess
bi-rads 2
29
what is a granular cell tumor
rare tumor of neural origin typically benign in pre-menopausal women when deep may adhere to pectoralis fascia (commonly seen in the retroglandular fat)
30
if there are suspicious calcs ans associated increased density, what is the next step?
go to ultrasound to look for the invasive mass lesion --\> US biopsy calcs in the duct are typically not invasive (confined to the duct)
31
what are the predominant type of xrays generated in mammography?
characteristic radiation
32
US of intracapsular rupture (step ladder sign)
33
normal US appearance of an implant
34
what factors cause decreased breast density?
vitamin D and calcium intake, Danazol, age, weight gain