
Double exposure

Roller or developer error

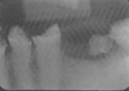
Herringbone pattern

Bent film

Conecut

Root tip

Crack in tooth

Fingernail print

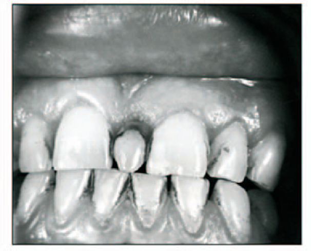
Mesiodens

Amalgam

Amalgam tattoo

Amalgam tattoo

implants with crowns

Baby tooth

Mesiodens between centrals

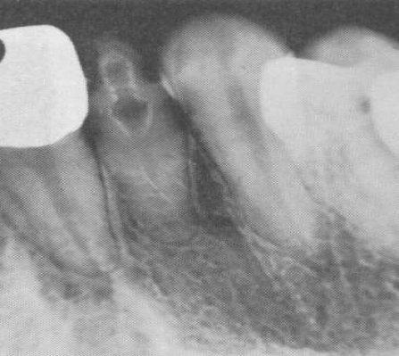
Dens in dente

Dens in dente

Dens in dente

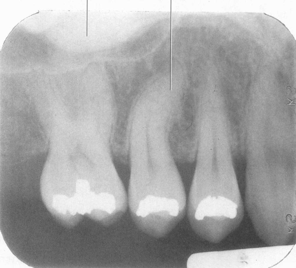
Hypercementosis

Hypercementosis
Excess cementum formation

Dilaceration

Taurodontia

Taurodontia

Gemination