What appears solid but actually is honeycombed with air space and blood capillaries and is classified into two types?
Bone
What is the two types of bone?
Cortical Bone
-Derived from latin word cortex and means outer layer. -Also referred to as compact bone, the dense outer layer of the bone. -Appears radiopaque on the radiograph.
Cancellous Bone
-Derived from a latin word and means “arranged like a lattice”. -Is a soft spongy bone located between two layers of dense cortical bone. -Is composed of numerous bony trabeculae that form a lattice like network of intercommunicating spaces filled with bone marrow.
Prominences of Bone
Composed of dense cortical bone and appears radiopaque on dental radiograph.
Process
Marked prominence or projection of bone; Example is the coronoid process of the mandible.
Ridge
Linear prominence or projection of the bone; Example is the internal oblique ridge of the mandible.
Spine
Sharp, thorn-like projection of the bone; Example is the anterior nasal spine.
Tubercles
Small bump or nodule of bone; Example is the genial tubercles.
Tuberosity
Rounded prominence of bone; Example is the maxillary tuberosity.
Space and Depressions in Bone
Appears Radiolucent on a dental radiograph.
Canal
Tube-like passageway through bone that contains nerves and blood vessel; Example is mandibular canal.
Foramen
Opening or hole in bone that permits the passage of nerves and blood vessels; Example is Mental Foramen
Fossa
Broad, shallow, scooped out or depressed area of bone; Example is submandibular fossa of the mandible.
Sinus
Hollow space, cavity, or recess in bone; Example is maxillary sinus.
Septum
-Bony wall or partition that divides two spaces or cavities. -Appears Radiopaque. -Example- Nasal Septum
Suture
-Immovable joint that represents a line of union between adjoining lines of the skull. -A suture appears as a thin radiolucent line. -Example- Median palatal suture of the maxilla.
What has been described as the architectural cornerstone of the face?
The Maxilla
All of the bones of the face articulate with what?
The Maxilla
The Maxilla forms what?
Orbit of eyes, sides and floor of the nasal cavities, and the hard palate.

Incisive Foramen
What is the Incisive Foramen?

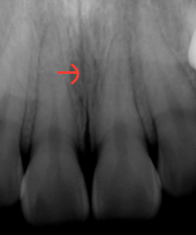
Median Palatal Suture
What is the Median Palatal Suture?