CIR - Trauma Flashcards

(102 cards)

1
Q

TRAUMA

V ou F?
Politraumatizado é o paciente que apresenta lesão em pelo menos 3 sistemas, sendo pelo menos 2 com risco vital.

A

Falso

Politraumatizado é o paciente que apresenta lesão em pelo menos 2 sistemas, sendo pelo menos 1 com risco vital.

How well did you know this?
1
Not at all
2
3
4
5
Perfectly
2
Q

TRAUMA

Quais as radiografias obrigatórias em politraumatizados?

(3)

A

Coluna cervical

Tórax

Pelve

How well did you know this?
1
Not at all
2
3
4
5
Perfectly
3
Q

TRAUMA

50% dos óbitos por trauma ocorrem no(s)…

A

primeiros minutos.
(TCE, TRM, lesão cardíaca ou de aorta)

How well did you know this?
1
Not at all
2
3
4
5
Perfectly
4
Q

TRAUMA

30% dos óbitos por trauma ocorrem…

A

em até 24h.
(pneumotórax, fratura de pelve, trauma de abdome)

How well did you know this?
1
Not at all
2
3
4
5
Perfectly
5
Q

TRAUMA

20% dos óbitos por trauma ocorrem…

A

após 24h.
(sepse, TEP, SDMO)

OBS: A Sd da disfunção múltipla de órgãos (SDMO) é uma complicação comum em pacientes em terapia intensiva, caracterizada por falência de múltiplos órgãos.

How well did you know this?
1
Not at all
2
3
4
5
Perfectly
6
Q

TRAUMA

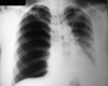
Qual o primeiro passo no atendimento à vítima de trauma?

A

Garantir a segurança da cena.

(paramentação se cenário hospitalar)

How well did you know this?
1
Not at all
2
3
4
5
Perfectly
7
Q

TRAUMA

Mneumônico do atendimento primário.

A

ABCDE

Airways (via aérea + coluna cervical);
Breathing (respiração);
Circulation (circulação+controle hemorragia);
Disability (disfunção neurológica);
Exposition (exposição+controle ambiente).

How well did you know this?
1
Not at all
2
3
4
5
Perfectly
8
Q

TRAUMA

O que é o X no X-ABCDE?

A

X = Exsanguinante

Protocolo de atendimento pré-hospitalar de trauma, que permite a compressão de hemorragias importantes antes de iniciar o “ABCDE”.

How well did you know this?
1
Not at all
2
3
4
5
Perfectly
9
Q

TRAUMA

No “A” do ABCDE, além da via aérea, deve-se assegurar…

A

Proteção cervical:

  1. Colar cervical;
  2. Prancha rígida;
  3. Coxins laterais.
How well did you know this?
1
Not at all
2
3
4
5
Perfectly
10
Q

TRAUMA

Via aérea x proteção cervical

Qual providenciar primeiro no “A” do ATLS?

A

Proteção cervical

(a IOT movimentaria o pescoço)

How well did you know this?
1
Not at all
2
3
4
5
Perfectly
11
Q

TRAUMA

Via aérea

Como avaliar a perviedade rapidamente?

A

Através da fonação

(se preservada → oferecer somente O2)

How well did you know this?
1
Not at all
2
3
4
5
Perfectly
12
Q

TRAUMA

Via aérea

Qual a conduta se fonação ausente?

A

Afastar obstrução por corpo estranho, secreções ou queda da base da língua.

How well did you know this?
1
Not at all
2
3
4
5
Perfectly
13
Q

TRAUMA

O que é via aérea definitiva?

A

É uma sonda endotraqueal com balonete (“cuff”) insuflado, conectada a um sistema de ventilação assistida, com mistura enriquecida de oxigênio, e mantida em posição por meio de fixação apropriado.

How well did you know this?
1
Not at all
2
3
4
5
Perfectly
14
Q

TRAUMA

Exemplos de via aérea definitiva.

(4)

A
  1. IOT
  2. Intubação nasotraqueal
  3. Cricotireoidostomia cirúrgica
  4. Traqueostomia

(testar o cuff em todos antes de introduzir)

How well did you know this?
1
Not at all
2
3
4
5
Perfectly
15
Q

TRAUMA

Exemplos de via aérea temporária.

(3)

A
  1. Máscara laríngea
  2. Combitubo
  3. Cricotireoidostomia por punção

(testar o cuff em “1” e “2” antes de introduzir)

How well did you know this?
1
Not at all
2
3
4
5
Perfectly
16
Q

TRAUMA

A via aérea avançada pode ser obtida por…

A

IOT (intubação orotraqueal) ou DEGs (dispositivo extraglótico: máscara laríngea, tubo duplo esôfago-traqueal ou tubo laríngeo).

How well did you know this?
1
Not at all
2
3
4
5
Perfectly
17
Q

TRAUMA

Quais as indicações de via aérea avançada?

(4)

A

APIT

Apneia;
Proteger vias aéreas (sangue, vômitos);
Incapacidade de manter a oxigenação;
TCE grave (Glasgow ≤ 8).

How well did you know this?
1
Not at all
2
3
4
5
Perfectly
18
Q

TRAUMA

V ou F?
A IOT no trauma deve ser realizada em sequência rápida (“assistida por drogas”).

A

Verdadeiro

How well did you know this?
1
Not at all
2
3
4
5
Perfectly
19
Q

TRAUMA

IOT em sequência rápida

Quais fármacos utilizar?

(dose adulto)

A

Sedação/Indução: Etomidato 0,3 mg/kg
+
Bloqueio NM: Succinilcolina 1,5 mg/kg

Outros fármacos:
Pré-medicação (opcional) - Fentanil ou Lidocaína.
Sedação/Indução - Midazolam, Quetamina ou Propofol.
Bloqueio NM - Rocurônio.

How well did you know this?
1
Not at all
2
3
4
5
Perfectly
20
Q

TRAUMA

Principais causas de dessaturação em pacientes intubados?

(5)

A

DOPES

Deslocamento do tubo
Obstrução por secreção
Pneumotórax
Equipamento (falha)
Sibilos e sedação

How well did you know this?
1
Not at all
2
3
4
5
Perfectly
21
Q

TRAUMA

IOT

Se inviável, qual a 1ª conduta?

A

Máscara laríngea ou combitubo

How well did you know this?
1
Not at all
2
3
4
5
Perfectly
22
Q

TRAUMA

IOT

Se inviável, e não tenho máscara laríngea ou combitubo, o que eu faço?

A

Cricotireoidostomia

(cirúrgica em ≥ 12 anos; por punção em < 12 anos)

Se IOT inviável e não tenho máscara laríngea ou combitubo, o “CRICO” eu faço?

How well did you know this?
1
Not at all
2
3
4
5
Perfectly
23
Q

TRAUMA

Cricotireoidostomia cirúrgica

Qual a principal contraindicação relativa?

A

Crianças < 12 anos

(nesse caso realizar crico por punção)

How well did you know this?
1
Not at all
2
3
4
5
Perfectly
24
Q

TRAUMA

Cricotireoidostomia por punção

Quais as indicações?

(2)

A
  1. < 12 anos (risco de traqueomalácia, se crico cirúrgica);
  2. Apneia com necessidade de correção imediata.
How well did you know this?
1
Not at all
2
3
4
5
Perfectly
25
# **TRAUMA** **Cricotireoidostomia por punção** Quais as características e os parâmetros? | (4)
1. Acesso temporário; 2. 40-50 PSI: 15 L/min de O2; 3. Inspiração:Expiração → 1:4 segundos. 4. Tempo máximo de utilização: 30 a 45 min.
26
# **TRAUMA** **Cricotireoidostomia por punção** Qual o risco se ultrapassar o tempo máximo?
Rebaixamento do nível de consciência por **carbonarcose** ## Footnote Ao dar um fluxo muito alto de oxigênio para o paciente, ele vai reter mais CO2.
27
# **TRAUMA** **V ou F** A traqueostomia é realizada no 2º ou 3º anel traqueal.
**Verdadeiro**
28
# **TRAUMA** O que fazer no “B” do ATLS? | (3)
1. Oferecer O2 a 100% 10-12 L/min por máscara com reservatório; 2. Exame físico do aparelho respiratório; 3. Oxímetria de pulso.
29
# **TRAUMA** O que fazer no “C” do ATLS? | (3)
1. Exame físico (foco em PA, FC, cor, e turgência jugular); 2. Dois acessos venosos periféricos calibrosos; 3. Monitorização cardíaca.
30
# **TRAUMA** **Classificação do choque hipovolêmico hemorrágico** Classe 1 | (9)
1. Volume perdido: < 750 mL 2. Porcentagem perdida: < 15% 3. FC < 100 bpm 4. FR entre 14 e 20 irpm 5. PA normal 6. Pressão de pulso normal ou diminuída 7. Débito urinário > 30 mL/h 8. Estado neurológico: ansiedade leve 9. Reposição volêmica com solução cristalóide.
31
# **TRAUMA** **Classificação do choque hipovolêmico hemorrágico** Classe 2 | (9)
1. Volume perdido: 750-1500 mL 2. Porcentagem perdida: 15-30% 3. FC > 100 bpm 4. FR entre 20 e 30 irpm 5. PA normal 6. Pressão de pulso diminuída 7. Débito urinário entre 20 e 30 mL/h 8. Estado neurológico: ansiedade moderada 9. Reposição volêmica com solução cristalóide.
32
# **TRAUMA** **Classificação do choque hipovolêmico hemorrágico** Classe 3 | (9)
1. Volume perdido: 1500-2000 mL 2. Porcentagem perdida: 31-40% 3. FC entre 120 e 140 bpm 4. FR entre 30 e 40 irpm 5. PA diminuída 6. Pressão de pulso diminuída 7. Débito urinário entre 5 e 15 mL/h 8. Estado neurológico: confusão 9. Reposição volêmica com solução cristalóide + sangue.
33
# **TRAUMA** **Classificação do choque hipovolêmico hemorrágico** Classe 4 | (9)
1. Volume perdido: > 2000 mL 2. Porcentagem perdida: > 40% 3. FC > 140 bpm 4. FR > 35 irpm 5. PA diminuída 6. Pressão de pulso diminuída 7. Débito urinário < 5 mL/h 8. Estado neurológico: letargia 9. Reposição volêmica com solução cristalóide + sangue.
34
# **TRAUMA** **Choque** A melhor forma de monitorizar a perfusão do paciente vítima de trauma é por meio da…
**Diurese**
35
# **TRAUMA** **Choque** Qual a meta de diurese em adultos? E em crianças?
Adultos: > 0,5 mL/kg/h Crianças (< 1 ano): > 2 mL/kg/h Crianças (> 1 ano): > 1 mL/kg/h
36
# **TRAUMA** Quais as contraindicações ao cateter vesical? | (4)
1. Sangue no meato (uretrorragia); 2. Hematoma perineal; 3. Retenção urinária; 4. Fratura de pelve.
37
# **TRAUMA** No “C” do ATLS deve-se infundir…
SF0,9% ou RL *aquecido*. 1L no adulto e 20 mL/kg na criança.
38
# **TRAUMA** Se eu não conseguir acesso venoso periférico, posso tentar...
Acesso central, intraósseo e hipodermóclise.
39
# **TRAUMA** **V ou F** Em crianças < 4 anos, a primeira escolha é o acesso venoso periférico e a segunda é a punção intra-óssea.
**Falso** ## Footnote Em crianças < **6** anos, a primeira escolha é o acesso venoso periférico e a segunda é a punção intra-óssea.
40
# **TRAUMA** **Choque** Quando a vítima de trauma se mantém hipotensa após a infusão de cristaloides (1L para adultos ou 20 mL/kg para crianças), deve-se…
**considerar hemotransfusão**
41
# **TRAUMA** **Choque** O que é hipotensão permissiva e qual a sua principal contraindicação?
Realizar a reposição volêmica de forma a atingir uma PA mínima para garantir a perfusão, sem “encharcar” o paciente (aumentando o risco de ressangramento de lesões). A principal contraindicação é o TCE.
42
# **TRAUMA** O que é o protocolo de transfusão maciça?
É a transfusão de > 10 concentrados de hemácias nas primeiras 24h ou > 4 concentrados de hemácias na 1ª hora.
43
# **TRAUMA** Quando está indicada a transfusão maciça? | (3)
1. Choque classe 4; 2. ABC score ≥ 2; 3. Shock Index (SI) > 0,9. | Considerar no choque classe 3 não responsivo.
44
# **TRAUMA** **V ou F?** No trauma, pode-se indicar ácido tranexâmico (transamin®) para sangramentos importantes não compressíveis.
**Verdadeiro** | (iniciar em até 3 horas)
45
# **TRAUMA** **V ou F?** O torniquete é autorizado como “medida heroica”, por até 6 horas, para lesões de membros com sangramento importante.
**Verdadeiro**
46
# **TRAUMA** Quando realizar ácido tranexâmico (transamin®) no trauma? | (3)
1. Primeira dose em até 3h (idealmente em até 10 min); 2. Dose de reforço nas primeiras 8h; 3. Sangramento não compressível. | (não iniciar após a 3ª hora)
47
# **TRAUMA** Considera-se que todo paciente vítima de trauma tenha qual tipo de choque?
Hemorrágico hipovolêmico, até que se prove o contrário.
48
# **TRAUMA** Quais os principais focos de hemorragia no choque hipovolêmico? | (4)
1. Tórax 2. Abdome 3. Pelve 4. Fêmur
49
# **TRAUMA** **Pneumotórax hipertensivo** Quais os sinais? | (6)
1. Hipotensão; 2. Hipertimpanismo; 3. Desvio traqueal; 4. MV diminuído/abolido; 5. Turgência jugular; 6. Enfisema subcutâneo.
50
# **TRAUMA** **Pneumotórax hipertensivo** Qual a conduta?
**Toracocentese com drenagem em selo d'água** no 5º EIC entre a linha axilar anterior e a linha axilar média. *Posicionar a agulha/pinça na margem superior da costela.*
51
# **TRAUMA** **V ou F?** A punção no pneumotórax hipertensivo em crianças deve ser feita no 5º EIC na linha hemiclavicular.
**Falso** ## Footnote A punção no pneumotórax hipertensivo em crianças deve ser feita no 2º EIC na linha hemiclavicular. *OBS: ângulo de Louis é o ângulo manubrioesternal.*
52
# **TRAUMA** **V ou F?** O diagnóstico de pneumotórax hipertensivo é clínico, não sendo indicados exames de imagem.
**Verdadeiro** | (o ATLS autoriza o e-FAST, se prontamente disponível)
53
# **TRAUMA** **Pneumotórax hipertensivo** Caso o paciente não tenha melhorado após o dreno, pode ser? Como fazer o diagnóstico?
Pode ser lesão de brônquio-fonte (grande via aérea). O diagnóstico é feito por meio de broncoscopia.
54
# **TRAUMA** **Lesão de brônquio-fonte** Qual a conduta imediata e a conduta definitiva?
Imediata - IOT e/ou 2º dreno. Definitiva - Toracotomia com reparo da lesão.
55
# **TRAUMA** O que é um pneumotórax simples?
Pneumotórax formado por lesão em menos de 1/3 do diâmetro da traqueia, sem instabilidade hemodinâmica (não-hipertensivo).
56
# **TRAUMA** Todo pneumotórax deve ser drenado?
Não! Se simples e < 20-30% do hemitórax, não drenar. Exceções: Transporte aéreo e VM.
57
# **TRAUMA** Qual a condição para formação de um **pneumotórax aberto**?
Trauma penetrante > 2/3 do diâmetro da traquéia. | (a resistência à entrada de ar será menor na lesão que pela traqueia)
58
# **TRAUMA** **Pneumotórax aberto** Qual a conduta imediata?
Curativo de 3 pontas
59
# **TRAUMA** **Pneumotórax aberto** O que acontecerá se oclusão completa da lesão?
Pneumotórax hipertensivo
60
# **TRAUMA** **Pneumotórax aberto** Qual a conduta definitiva?
Toracostomia (drenagem em selo d’água) no 5º EIC entre linha axilar anterior e linha axilar média.
61
# **TRAUMA** **Hemotórax** Quais os sinais/sintomas?
1. Macicez à percussão; 2. ↓Murmúrio vesicular; 3. Jugular colabada.
62
# **TRAUMA** **Hemotórax** Qual a conduta definitiva?
Toracostomia + Drenagem
63
# **TRAUMA** **Hemotórax** Quais as indicações de toracotomia imediata? | (3)
1. Drenagem inicial > 1500 mL; 2. Débito constante > 200 mL/h, em 2-4h; 3. Necessidade persistente de hemotransfusão. | ("hemotórax maciço”)
64
# **TRAUMA** **V ou F?** O hemotórax normalmente ocorre por lesão de pequenos vasos intercostais, com sangramento autolimitado.
**Verdadeiro**
65
# **TRAUMA** A toracostomia estará sempre indicada no ________ (hemotórax/pneumotórax).
**Hemotórax** | (toracoStomia ≠ toracotomia)
66
# **TRAUMA** O tamponamento cardíaco ocorre quando há…
acúmulo > 100-150 mL de líquido no espaço pericárdico.
67
# **TRAUMA** **Tamponamento cardíaco** Qual a clínica? | (3)
1. Tríade de Beck: Turgência jugular; Hipotensão; e Hipofonese de bulhas. 2. Pulso paradoxal: ↓PAS > 10 mmHg à inspiração; 3. Sinal de Kussmaul: ↑turgência jugular à inspiração.
68
# **TRAUMA** **Tamponamento cardíaco** Qual a conduta imediata?
**Pericardiocentese** ## Footnote Drenagem de 15-20 mL → não precisa drenar todo o líquido p/ estabilizar.
69
# **TRAUMA** A pericardiocentese é uma conduta _______ (temporária/definitiva) no tamponamento cardíaco.
**Temporária** | (definitiva: toracotomia com reparo da lesão)
70
# **TRAUMA** Quando vemos jugular túrgida? | (2)
1. Pneumotórax 2. Tamponamento cardíaco
71
# **TRAUMA** Quando vemos jugular colabada?
**Hemotórax**
72
# **TRAUMA** O que define o tórax instável?
Fratura em ≥ 2 arcos costais consecutivos em ≥ 2 locais em cada arco.
73
# **TRAUMA** **Tórax instável** Qual a clínica? | (2)
1. Dor intensa 2. Respiração paradoxal.
74
# **TRAUMA** **Tórax instável** Qual a conduta?
**Suporte clínico** ## Footnote Ofertar oxigenoterapia e analgesia otimizada. Monitorar oximetria e gasometria.
75
# **TRAUMA** **V ou F?** Apesar de assustador, o tórax instável não é fatal, devendo-se atentar à contusão pulmonar subjacente.
**Verdadeiro**
76
# **TRAUMA** **Contusão pulmonar** Qual a conduta? | (3)
1. Evitar hiper-hidratação; 2. Suporte clínico (analgesia e O2); 3. Monitorizar oximetria e gasometria arterial.
77
# **TRAUMA** **Contusão pulmonar** Quando indicar IOT?
SatO2 < 90% OU PaO2 < 60 mmHg
78
# **TRAUMA** **Toracotomia de reanimação** Quais os objetivos? | (5)
1. Descompressão de tamponamento cardíaco e subsequente controle de sangramento no interior do saco pericárdico; 2. Controle de hemorragia intratorácica; 3. Evacuação de embolia aérea broncovenosa maciça (controverso); 4. Compressão cardíaca direta; 5. Oclusão temporária (clampeamento) da aorta descendente torácica.
79
# **TRAUMA** **Toracotomia de reanimação** Quando indicar? | (3)
PCR pós-traumática + Trauma de tórax + Sinais de vida (pupilas reagentes, movimentos, ECG com atividade organizada).
80
# **TRAUMA** **V ou F** No trauma de tórax deve-se solicitar marcadores de necrose miocárdica.
**Falso** ## Footnote No trauma de tórax não deve-se solicitar marcadores de necrose miocárdica, pois estarão elevados e sem significado clínico.
81
# **TRAUMA** **Contusão miocárdica** Qual a conduta?
Monitorização por 24h ± dobutamina (se instável). | (normalmente acomete VD)
82
# **TRAUMA** **Lesão de aorta** Qual o principal local de lesão?
Ao nível do ligamento arterioso, após a emergência das subclávias.
83
# **TRAUMA** **Lesão de aorta** Qual a clínica?
Pulsos normais em MMSS e reduzidos em MMII. | (hematoma após a emergência das subclávias)
84
# **TRAUMA** **Lesão de aorta** Quando suspeitar na radiografia? | (3)
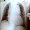
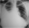
1. Mediastino > 8 cm; 2. Perda do contorno aórtico; 3. Desvio do TOT/SNG para a direita.
85
# **TRAUMA** **Lesão de aorta** Qual o exame mais usado? E qual o padrão-ouro?
**Angio-TC** (+ usado). **Aortografia** (padrão-ouro).
86
# **TRAUMA** **Lesão de aorta** Qual o tratamento? | (2)
1. Betabloqueador; 2. Reparo da aorta (toracotomia ou terapia endovascular) em até 24h. | (manter FC < 80 e PAM < 60-70)
87
# **TRAUMA** Quais as contraindicações absolutas à VNI? | (4)
1. Necessita intubação de emergência; 2. Parada cardiorrespiratória; 3. Rebaixamento do nível de consciência; 4. Encefalopatia grave.
88
# **TRAUMA** **Trauma tóraco-abdominal** A ruptura do diafragma ocorre mais à _______ (direita/esquerda).
**Esquerda** | (“proteção” do diafragma direito pelo fígado)
89
# **TRAUMA** **Trauma tóraco-abdominal** O trauma abdominal direto em gestantes pode causar…
Descolamento prematuro de placenta e/ou rotura uterina.
90
# **TRAUMA** **Trauma abdominal fechado** Qual o órgão mais acometido?
**Baço** | “**BBB**: **B**ateu a **B**arriga é o **B**aço”
91
# **TRAUMA** **Trauma esplênico** Qual o sinal clínico sugestivo?
**Sinal de Kehr** ## Footnote Ocorre quando há dor aguda, intensa e repentina sentida na ponta do ombro, desencadeada principalmente quando o paciente é colocado na posição de Trendelemburg e quando estão deitados e com o membro inferior levantado. Este sinal normalmente é utilizado como indicativo de colecistite aguda e abscessos diafragmáticos, assim como qualquer outro processo inflamatório na região do diafragma. Porém a dor em ombro esquerdo é indicativo de ruptura esplênica, problemas em uma gravidez ectópica ou irritação grave de órgãos inferiores. Isso causa irritação do nervo frênico em contato com o hemidiafragma esquerdo. Assim como a dor subescapular direita (sinal de Boas) é indicativo de cólica biliar.
92
# **TRAUMA** **Trauma esplênico** Classificação - Grau I
**Laceração no parênquima**: < 1cm de profundidade **Hematoma**: < 10% da superfície **Conduta**: Tto não operatório
93
# **TRAUMA** **Trauma esplênico** Classificação - Grau II
**Laceração no parênquima**: < 3cm de profundidade **Hematoma** * < 50% da superfície * < 5cm de extensão **Conduta**: Tto não operatório
94
# **TRAUMA** **Trauma esplênico** Classificação - Grau III
**Laceração no parênquima** * < 3cm de profundidade * Lesão de vasos trabeculares **Hematoma** * > 50% da superfície * > 5cm de extensão ou em expansão * Ruptura subcapsular **Conduta**: Tto não operatório
95
# **TRAUMA** **Trauma esplênico** Classificação - Grau IV
**Laceração no parênquima** * Vasos hilares (desvascularização > 25%) * Blush intraparenquimatoso * Qualquer lesão vascular# **Conduta**: * Desvascularização: individualizar * Blush = Arteriografia * Arteriografia ineficaz = Laparotomia ## Footnote *#Lesão vascular: pseudoaneurisma ou fístula arteriovenosa geralmente são lesões que, na fase arterial surgem como um blush, mas que fica hipoatenuada ou desaparece na fase venosa (“washout”).*
96
# **TRAUMA** **Trauma esplênico** Classificação - Grau V
**Laceração no parênquima** * Baço pulverizado * Desvascularização hilar * Blush com extravasamento peritoneal **Conduta**: Esplenectomia
97
# **TRAUMA** **Trauma esplênico** Quando tratar clinicamente? | (3)
Paciente estável + Lesão grau I-III + Boas condições de observação/ intervenção.
98
# **TRAUMA** **Trauma esplênico** Quando realizar esplenectomia?
**Todos os pacientes grau V e alguns pacientes grau IV.** ## Footnote No grau IV, a esplenectomia deve ser considerada quando a angioembolização é ineficaz nos pacientes com blush arterial intraparenquimatoso. Os pacientes grau IV sem sangramento ativo devem ter seu tto individualizado. Algumas instituições tentam o tto conservador e outras indicam a esplenectomia.
99
# **TRAUMA** **Trauma abdominal contuso** Qual a conduta se o paciente estiver estável hemodinamicamente?
**TC de abdome** | (± FAST, estimando o risco de descompensação durante a TC)
100
# **TRAUMA** **V ou F?** No trauma de abdome contuso, com estabilidade hemodinâmica, deve-se realizar o FAST para estimar risco de descompensação durante a TC.
**Verdadeiro** | (mas não contraindicará a TC se positivo)
101
# **TRAUMA** i**Trauma abdominal contuso** Qual a conduta se instabilidade hemodinâmica + politrauma?
**FAST** | (confirmar localização da hemorragia antes de indicar cirurgia)
102
# **TRAUMA** i**Trauma abdominal contuso** Qual a conduta se instabilidade hemodinâmica + não-politrauma?
**Laparotomia**