
Hydrocephalus
Etiopath:
Sx: headache, vomiting worse in morning & triad of nl hydrocephalus (urinary incontinence, gait instability, dementia)
Sx in children: bulging frontal bone, sunsetting eyes (downward deviation)

Epidural hemorrhage

Subdural hemorrhage
Diffuse Axonal Injury (DAI)
Concussions
Transient and highly variable disturbance of neurological function following trauma
– Blow to the head is not required
– Predispositions (APO-E genotype, other)
– Repeated insults (boxing, football, hockey)
Theories: microscopic membrane injuries, dysruption of blood-brain-barrier, convulsive
Ischemic stroke

Cerebral Infarct

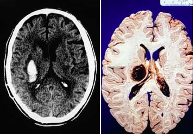
Intraparenchymal/intracerebral hemorrhage

C&C:
Vascular malformations
AVMs
– Greatest potential for hemorrhage
– High flow channels without arterial structure -> high calibre vessels in cortex where it should small calibre
– Rx: excision, endovascular occlusion, spray embolic agents
Also:
– venous angiomas, cavernous angiomas, capillary telangiectasias
Viral encephalitis / encephalomyelitis
C&C:
HIV-1 Associated Neuropathology
HIV
Morphology:
lymphocyte, histiocyte, giant cells
– encephalitis and leukoencephalopathy
– Vacuolar myelopathy
– Neuropathy, inflammatory myopathy
Opportunistic infections
– CMV, VZV, candida, papova virus (PML)
– Mycobacteria, fungi, ameoba
Prion Diseases
2 forms: CJD and vCJD
CJD
Morphology: intracell vacuoles w abnormal protein aggregates
– Sporadic & degenerative
– 1 per million annual incidence
– Rapidly progressive dementia
– Myoclonus
Variant CJD (vCJD)
– Associated with BSE meat consumption
– Almost all cases from UK origin, new cases waning
– Slower onset, progressive personality changes

Brian abscess
Etiology:
Sx: ICP: Cushing triad (lower heart rate, mental changes, irregular breathing), papilledema, projectile vomitting, headache, fever
Dx:

Alzheimer’s disease
Gross
– atrophy, esp. frontal, temporal, parietal (apraxia)
Micro
– neuronal loss in cerebral cortex
– gliosis (astrocyte proliferation and hypertrophy)
– neurofibrillary tangles (Tau hyperphosphorylated intracell) and neuritic plaques (extracell)
- Carenal bodies in HIPP
Etiopath
Parkinson’s
Sx: tremor, rigidity, akinesia, postural instability & shuffling gait (TRAP)
usually no family history
Gross
– pallor and atrophy of substantia nigra (nucleus of dopaminergic neurons in the midbrain)
Micro
– neuronal dropout, gliosis
– Lewy bodies (in substantia nigra neurons)
Etiopath
Huntington’s Disease
Clinical:
choreiform movements, motor difficulties, athetosis, dementia
Pathology:
– Gross
– Micro
Etiopath:
Amyotrophic Lateral Sclerosis (ALS)
Pathology
Neuronal loss
– spinal cord anterior horns, motor cortex
Cytoplasmic inclusions
– Ubiquitin (a protein deposited in response to cell injury)
– TDP-43, FUS (DNA/RNA binding/stabilizing proteins)
Pathogenesis

Multiple Sclerosis
– common, young adults, F:M = 3:1, latitude
– Other associations: smoking, low vitamin D, maternal history
MRI: demyelination plaques
Pathology
– perivascular lymphocytic inflammation
– demyelination (patchy loss of myelin): grey & white matter *
– symptoms related to area involved & gray matter injury may correlate best with disability*
Risks:
– Smoking, low vitamin D, race (white), EBV, HLA , maternal family history, move to endemic area before puberty
Pathogenesis
Sx
Investigations: MRI, CSF showing oligoclonal bands of IgG, lymphocytes, and MBP
C&C: relapse and remission type: 80%
Rx: high dose cort during acute attaack & interferon therapy to slow progression
Myelinolysis
Wernicke’s Encephalopathy
Thiamine deficiency
Hypoglycemia
Tumour types
Primary
– intrinsic: gliomas (astrocytic, oligodendroglial, mixed)
– extrinsic: meningiomas, schwannomas, pituitary adenomas
Adults: Astrocytomas, oligoendrogliomas, mixed (>90% supratentorial)
Children: Astrocytomas pilocytic, ependymomas, medulloblastomas (>90% infratentorial)
Secondary

Glioblastoma multiforme
Morphology
Etiopath:
Dx:
Better prognosis if: younger, - EGFR, + IDH-1, + P53, + MGMT methylation
Side note: Anaplastic Astryocytoma dx requirments -> pleiomorphic, mitotic figures, dysplasia