
Oral leukoplakia

Erythroplakia

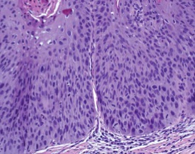
Squamous cell carcinoma (oral)
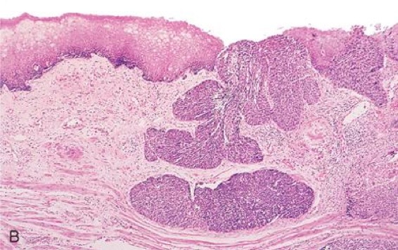
Oral hairy leukoplakia
Hiatal hernia
Achalasia/Cardiospasm
Mallory Weiss syndrome
Esophagitis
Reflux esophagitis

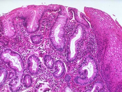
Barrett’s esophagus


SCC of esophagus


Adenocarcinoma of esophagus
Pyloric stenosis
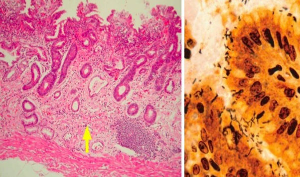
H. pylori
Types of Gastritis
Acute gastritis

Chronic Gastritis: either from autoimmune or H. pylori causes
Etiology:
Morphology
Fundic type (Type A)
Antral type (Type B)
Autoimmune Gastritis
Gastric ulcers
Acute Gastric Ulcers
– Systemic acidosis and hypoxia (severe trauma and
burns)
– Vagal stimulation (intra cranial lesions)

Chronic Gastric ulcers: PUD
– Duodenum proximal
– Stomach
– Gastro esophageal junction
– Margins of gastrojejunostomy
– Meckel’s diverticulum
– Stomach, duodenum and jejunum in Zollinger Ellison syndrome -> Gastrinoma -> high Gastrin
straight walls
* Sharp and raised margins but not everted
* Depth varies but may penetrate entire wall
* Smooth and clean base
* Radiating surrounding mucosal folds
* Active ulcer has four zones
* Necrotic fibrinoid debris
* Non specific inflammatory infiltrate (predominantly neutrophilic)
* Granulation tissue
* Fibrosis and collagenous scar
* Typically features of chronic gastritis in adjacent mucosa * Etiopath: balance bw damaging forces and Gastro Duodenal Mucosal Defenses
* incr post-prandial gastrin & decr SST leading to incr basal gastric acid secretion 1) H. pylori- 70% of gastric and 90% of duodenal ulcers 2) NSAIDS- inhibit prostaglandin synthesis 3) SMOKING- impairs mucosal blood flow 4) ALCOHOL 5) PSYCHOLOGICAL STRESS 6) ZOLLINGER ELLISON SYNDROMEZollinger-Ellison Syndrome
Sx:
Reactive Gastropathy
– Iron, Kayexalate

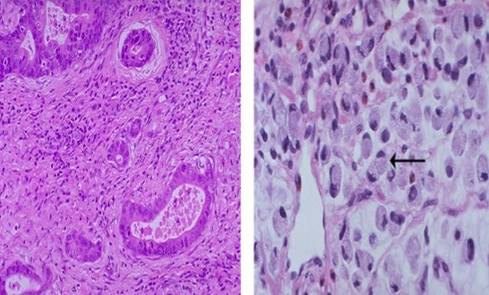
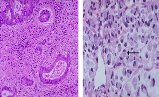
Gastric adenocarcinoma
pain
* Pyloric outlet obstruction * C&C * **Krukenberg tumor; assoc w diffuse type** * Virchow lymph node: L. supraclavicular node * **Sister Mary Joseph nodule:** palpable nodule bulging **peri-umbilical** as a result of metastasis * Prognosis depends upon depth of invasion and nodal status
Intestinal type (LEFT IMAGE)
Diffuse type (RIGHT IMAGE)

Gastrointestinal Stromal Tumors (GIST)