A patient has an infection in the external acoustic meatus leading to unilateral facial paralysis. Which cranial nerve is damaged?
CN VII - facial
A patient presents with symptoms that you believe involve descending motor tracts. Which region of the brainstem would be the likeliest area to have been damaged?
Basal
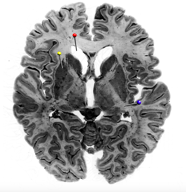
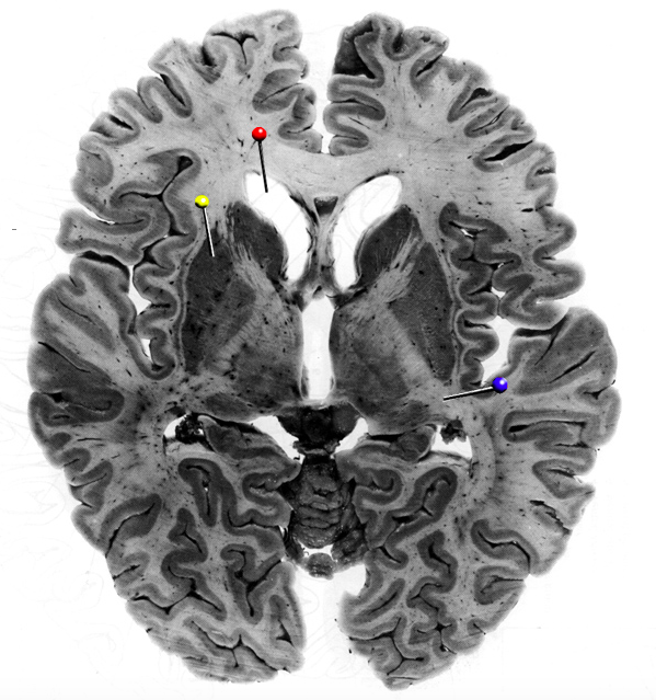
In this horizontal brain slice, the yellow pin is in

Occlusion of the basilar artery would lead to deficits associated with:…?
movement
The ________ nerve is responsible for chewing; the _______ nerve is responsible for smiling.
Trigeminal (V3); facial
The ciliary ganglion receives autonomic fibres from which cranial nerve?
The neurons of the ciliary ganglion receive preganglionic autonomic fibers of the oculomotor nerves.
The forebrain is comprised of which regions of the brain?
Cerebral hemispheres and diencephalon
The hypoglossal nerve passes through a foramen which is part of which bone of the skull?
Hypoglossal canal in the occipital bone
The lentiform nucleus is directly supplied via branches of which artery?
Middle cerebral artery
What is the structure indicated by the black pin?
?

What fibres is the structure marked by the black pin made up of?

Commisural fibres
The superior cerebellar peduncle connects the cerebellum to the:
midbrain
The tectum is predominantly found in which brain region?
midbrain
Which class of nerve fibres link regions between the two hemispheres?
Commissural
Which cranial nerve does not pass through the superior orbital fissure?:
II
In this horizontal brain slice, the yellow pin is in the…

putamen
Occlusion of the basilar artery would lead to deficits associated with: