Cryptophyta Flashcards

(8 cards)

1
Q

What are Cryptophyta?

A
  • microalgae
  • unicellular
  • flagellate (2, heterokont)
  • elongated cell shape
How well did you know this?
1
Not at all
2
3
4
5
Perfectly
2
Q

describe both flagella

A
How well did you know this?
1
Not at all
2
3
4
5
Perfectly
3
Q

do Chryptophyta have scales such as Haptophyta?

A
  • they have scales
  • they are not covering the cell wall
  • they are covering flagella
How well did you know this?
1
Not at all
2
3
4
5
Perfectly
4
Q

what Phyla? What kind of view on the cell?

A
  1. left: ventral
  2. middle: lateral
  3. apical
How well did you know this?
1
Not at all
2
3
4
5
Perfectly
5
Q

what happens here?

A
  • if you look at a Haptpthypa from apical or ventral view you can see a groove
How well did you know this?
1
Not at all
2
3
4
5
Perfectly
6
Q

what is a nucleomorph? specific for what phyla?

A
  • Cryptophyta
  • organelle
  • represents the vestigial nucleus of a photosynthetic, eukaryotic endosymbiont
  • has been incorporated into the heterotrophic ancestor of the Cryptophytes
How well did you know this?
1
Not at all
2
3
4
5
Perfectly
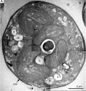
7
Q

what structure is there to see?
describe its features

A
  • nucleopmorph
How well did you know this?
1
Not at all
2
3
4
5
Perfectly
8
Q

where is a nucleomorph located?

A
  • in periplastidial compartment
How well did you know this?
1
Not at all
2
3
4
5
Perfectly