Eye Anatomy

Conjunctiva anatomy

Patient will present with → eyelid changes: crusting, scaling, red-rimming of eyelid and eyelash flaking along with dry eyes and associated seborrhea and rosacea

Blepharitis (ble-phar-itis) = Bilateral eyelid inflammation
Patient will present with → painless granuloma of the internal meibomian sebaceous gland (PAINLESS LID NODULE)

Chalazion (Ka-lazion)
Name

Hordeolum “STYE” (hord-e-ulum) = painful abscess at eyelid margin
Hordeolum vs Chalazion

Name

Pterygium “eye web” = elevated, superficial fleshy, triangular mass
Patient will present with → eyelid swelling, decreased visual acuity, enophthalmos (sunken eye), anesthesia/paresthesia in the gums, upper lips and cheek due to damage to the infraorbital nerve.

Orbital floor “blow out” fracture = orbital floor (maxillary, zygomatic, palatine) due blunt force trauma to the globe/infra-orbital rim.
Macular Degeneration

Macular Degeneration = mc cause of permanent legal blindness & visual loss in elderly (>75yo). Macula is responsible for central vision (detail & color vision)

Macular Degneration
Macular Degeneration = mc cause of permanent legal blindness & visual loss in elderly (>75yo). Macula is responsible for central vision (detail & color vision)

Name

Diabetic Retinopathy = mc cause of new, permanent vision loss/blindness in 25-74 yo (MC due to maculopathy)

Name
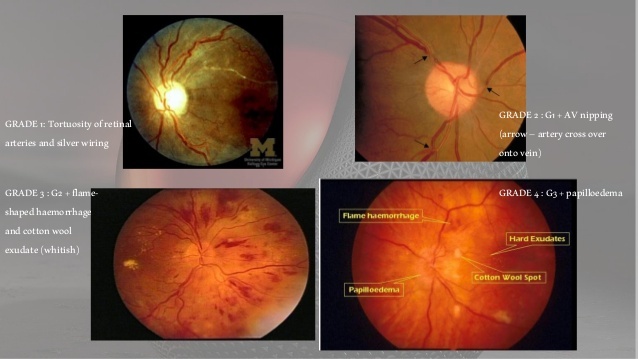
Hypertensive Retinopathy

Marcus Gunn test
Rapid flash light test

Name

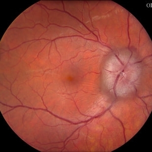
Papilledema = increase intracranial pressure => bilateral optic nerve (disc) swelling

Name

Retinal Detachment = optho emergency

Corneal Abrasion that requires emergent referral x 4
Corneal Abrasion
Patient will present with → history of mild trauma followed by sudden onset of eye pain, photophobia, tearing, foreign body sensation, blurring of vision, and/or conjunctival injection

Foreign Body (ocular) & Corneal Abrasion
Corneal abrasion mc emergency ophthalmologic visit

Name

Keratitis = corneal ulcer/inflammation

Patient will present with → purulent (yellow) discharge, crusting, usually worse in the morning

Conjunctivitis = pink eye c crusted eyelids
Name

Central Retinal Vein Occlusion (CRVO) = Retinal vein thrombus => fluid back up in retina

Name

Central Retinal Artery Occlusion (CRAO) = Retinal artery thrombus or embolus => Optho Emergency!

Name

Orbital (postseptal) Cellulitis

Glaucoma

Acute Narrow/Closed Angle
fluid buildup BEHIND lens => sudden block of drainage canal => ↑ IOP => optic n. damage
