Gastroenterology & GI Surgery Flashcards

(147 cards)

1
Q

Autosomal dominant

A
  • Familial adenomatous polyposis
  • Peutz Jeghers syndrome
How well did you know this?
1
Not at all
2
3
4
5
Perfectly
2
Q

Autosomal recessive

A

Gilbert’s syndrome

How well did you know this?
1
Not at all
2
3
4
5
Perfectly
3
Q

Liver damage enzymes

A
  • ALT
  • ALP
  • AST
How well did you know this?
1
Not at all
2
3
4
5
Perfectly
4
Q

Liver function enzymes

A
  • Bilirubin
  • Albumin
How well did you know this?
1
Not at all
2
3
4
5
Perfectly
5
Q

Category 1 Colorectal cancer risk

A

Low risk
1 1st degree relative > 60 years at dx

How well did you know this?
1
Not at all
2
3
4
5
Perfectly
6
Q

Category 1 Colorectal cancer screening

A
  • iFOBT every 2 years after 45 years to 74
  • low-dose (100 mg) aspirin daily should be considered from age 45 to 70
How well did you know this?
1
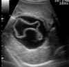
Not at all
2
3
4
5
Perfectly
7
Q

Category 2 Colorectal cancer risk

A

Moderate risk

One 1st degree relative < 60 years at dx
OR
One 1st degree relative + > 1 2nd degree diagnosed at any range
OR
Two 1st degree relatives diagnosed at any age

How well did you know this?
1
Not at all
2
3
4
5
Perfectly
8
Q

Category 2 Colorectal cancer screening

A
  • Colonoscopy every 5 years starting at 10 years younger than the earliest age of diagnosis in 1st degree relative

OR age 50, whichever is earlier, to age 74.

  • CT colonography if clinically indicated
  • Low dose aspirin (100mg)
  • Update history
How well did you know this?
1
Not at all
2
3
4
5
Perfectly
9
Q

Category 3 Colorectal cancer risk

A

High risk
Two 1st degree relatives + One 2nd degree relative diagnosed < 50
OR
Two 1st degree relatives + > Two 2nd degree relative diagnosed at ANY age
OR
> Three 1st degree relatives diagnosed at ANY age

How well did you know this?
1
Not at all
2
3
4
5
Perfectly
10
Q

Category 3 Colorectal cancer screening

A
  • Colonoscopy every 5 years starting at 10 years younger than the earliest age of diagnosis of colorectal cancer in a first-degree relative
    OR
    age 40, whichever is earlier, to age 74.
  • CT colonography if clinically indicated
  • Low dose aspirin (100mg)
  • Update history
How well did you know this?
1
Not at all
2
3
4
5
Perfectly
11
Q

migratory superficial thrombophlebitis + deep vein
thrombosis

A

Trousseau’s syndrome

How well did you know this?
1
Not at all
2
3
4
5
Perfectly
12
Q

hix of gastric bypass + discomfort, including nausea, vomiting, cramps, and diarrhea

A

Dumping syndrome

How well did you know this?
1
Not at all
2
3
4
5
Perfectly
13
Q

Dumping syndrome management

A
  • Diet modification (high fibre + protein)
  • -Hydrogen breath test positive
  • Barium fluoroscopy
  • radionuclide scintigraphy
    reoperation if diet fails
How well did you know this?
1
Not at all
2
3
4
5
Perfectly
14
Q

Trousseau’s syndrome associated tumours

A

1-Pancreas 24%
2-Lung 20%
3-Prostate 13%
4-Stomach12%
5-Acute leukaemia 9%
6-Colon 5%

How well did you know this?
1
Not at all
2
3
4
5
Perfectly
15
Q

Small bowel obstruction investigation

A

initial: Abdominal X-ray
Best: CT abdomen/gastograffin meal (dx & tx)

How well did you know this?
1
Not at all
2
3
4
5
Perfectly
16
Q

Elective non-cardiac surgery following PCI

A

Defer surgery for 6 weeks - 3 months

How well did you know this?
1
Not at all
2
3
4
5
Perfectly
17
Q

Elective surgery with history of drug eluding stents

A

Defer for 12 months

How well did you know this?
1
Not at all
2
3
4
5
Perfectly
18
Q

emergency surgery with history of rug eluding stents

A

Withhold clopidogrel for 5-7 days
- continue aspirin

How well did you know this?
1
Not at all
2
3
4
5
Perfectly
19
Q

most common cause of large bowel obstruction

A

Colon cancer

How well did you know this?
1
Not at all
2
3
4
5
Perfectly
20
Q

upper GIT endoscopy 🚩’s

A

▪ anaemia (new onset)
▪ dysphagia (difficulty swallowing)
▪ odynophagia (painful swallowing)
▪ haematemesis or melaena
▪ unexplained weight loss >10%
▪ vomiting older age >50 yrs
▪ chronic NSAID use
▪ severe frequent symptoms including hiccoughs, hoarseness
▪ family history of upper GIT or colorectal cancer
▪ short history of symptoms
▪ neurological symptoms and signs

How well did you know this?
1
Not at all
2
3
4
5
Perfectly
21
Q

Oropharyngeal dysphagia causes

A

Neuro-muscular disease:
* Stroke
* Parkinson’s disease
* Brain stem tumour
* Degenerative conditions: ALS
MS
* Myasthenia gravis
* Peripheral neuropathy

Obstructive lesion:
* Tumour
* Inflammatory masses: abscess
* Pharyngeal pouch (Zenkers)
* Anterior mediastinal mass

How well did you know this?
1
Not at all
2
3
4
5
Perfectly
22
Q

Oesophageal dysphagia causes

A

Neuro-muscular disease:
* Achalasia
* Scleroderma
* GORD

Obstructive lesion:
* Tumour
* Strictures:
Peptic (reflux oesophagitis)
Radiation
Chemical (caustic Ingestion)
Medication
* Oesophageal webs (Plummer
Vinson)
* Foreign Bodies

Extrinsic Structural Lesions:
* Vascular compression (enlarged or Left Atrium)
* Mediastinal masses:
lymphadenopathy or retrosternal
thyroid.

How well did you know this?
1
Not at all
2
3
4
5
Perfectly
23
Q

Iron deficiency anaemia in elderly

A

colon cancer

How well did you know this?
1
Not at all
2
3
4
5
Perfectly
24
Q

high INR + low calcium + hypochromic microcytic anaemia

A

malabsorption syndrome

How well did you know this?
1
Not at all
2
3
4
5
Perfectly
25
malabsorption syndrome investigation
Anti-gliadin antibodies
26
Coeliac disease Symptoms:
Chronic diarrhoea Steatorrhoea Weight loss Anorexia Abdominal distension Nutritional deficiency: folate, calcium, zinc or iron (in particular) Grouped blisters around the knees, elbows and buttocks (dermatitis herpetiformis) Hair loss Mouth ulcers
27
Coeliac vitamin deficiencies
- iron (most common) - B12 - ADEK
28
Coeliac disease investigation
Serum transglutaminase antibodies
29
conditions is associated with an increased risk of coeliac disease
- Type I diabetes mellitus - Hashimoto’s thyroiditis - autoimmune diseases - Down’s syndrome - Turner’s syndrome - IgA deficiency
30
long hx of vomiting after food + reduced appetite
Gastro-oesophageal reflux disease (GORD)
31
Most common complication of GORD
Oesophagitis
32
Gastro-oesophageal reflux disease (GORD) investigation
Initial: Intraoesophageally pH probe monitoring diagnostic: oesophageal endoscopy with multiple biopsies
33
GORD management
Therapeutic trial of proton pump inhibitor
34
high age + progressive dysphagia + decreased contractions + increased tertiary wave activity
Presbyoesophagus
35
- Dysphagia to solids and liquids - Heartburn unresponsive to a trial of proton pump inhibitor therapy for 4weeks - Retained food in the oesophagus on upper endoscopy - Unusually increased resistance to passage of an endoscope through the oesophagogastric junction
achalasia
36
Most important diagnostic feature of achalasia?
Dysphagia for both solids and liquids
37
Barrett’s oesophagus monitoring
2-5 years by endoscopy and biopsy depending on segment length
38
bariatric surgery indications
– BMI above 40 with no co-morbidities – BMI above 35 with co-morbidities such as hypertension – BMI above 30 with poorly controlled type 2 diabetes – BMI above 30 with increased cardiovascular risk due to multiple risk factors such as hypertension, hyperlipidemia, strong family history of cardiovascular disease at a young age
39
bariatric surgery contraindications
– Irreversible end-organ dysfunction. – Cirrhosis with portal hypertension. – Medical problems precluding general anaesthesia. – Centrally mediated obesity syndromes such as Prader-Willi syndrome or Craniopharyngioma.
40
PUD risk factors
-Male sex. -Family history of peptic ulcer disease. -Smoking. -Stress. -NSAIDs. -H.pylori.
41
H. Pylori
Gram -ve - corkscrew-shaped, motile bacillus with three to seven flagella - rapid urease test - Eradication with colloidal bismuth (Pepto-Bismol), an antibiotic (amoxicillin or ampicillin), and a nitroimi-dazole such as metronidazole.
42
Left supraclavicular lymph node cancer
- abdominal or pelvic
43
Acute pancreatitis investigation
- serum lipase (elevated)
44
acute pancreatitis surgery indications
- Uncertainty of clinical diagnosis - Worsening clinical condition despite optimal supportive car2 - Infected pseudocysts - Gallstone-associated pancreatitis
45
Pancreatic pseudocyst management
- size > 6cm ERCP - Present for > 6 weeks - Wall thickness for > 6 mm NOTE: if ERCP fails, then move on to laporotomy
46
Pancreatic cancer risks
-Smoking. -Long-standing diabetes mellitus. -Chronic pancreatitis. -Obesity. -Inactivity (high cholesterol/obesity? -Non–O blood group
47
freckling + gastrointestinal polyposis (polyps in small bowel) + intussusception + pigmented macules (1–5mm) on lips, buccal mucosa and fingers
Peutz Jeghers Syndrome
48
Peutz Jegers Syndrome complications
high risk of specific cancers: intestine colon pancreas breasts cervix ovaries testes
49
Diverticultis highest mortality rate complication
Perforation 20% - Bleeding especially in elderly – Intra-abdominal abscess. – Peritonitis. – Fistula formation. – Intestinal obstruction.
50
Meckel diverticulum investigation
- painless large-volume intestinal hemorrhage **Technetium-99m pertechnetate scintigraphic study**
51
– Severe colicky epigastric and periumbilical pain – Absolute constipation. – Nausea and vomiting. – Abdominal distension
small bowel obstruction
52
jaundice, dark urine, and pale stool + palpable gall bladder
Periampullary tumor
53
GI bleed with weight loss and decreased appetite
colon adenocarcinoma
54
5 F's of cholecystitis
- Fair - Fat - Female - Fertile - Forty
55
infective cholecystitis pathogen
E. Coli
56
hx of cholecystectomy + abdominal pain + dyspepsia + increased liver enzymes abd cholesterol
post-cholecystectomy syndrome
57
post-cholecystectomy syndrome investigation
Perform ERCP
58
gall stone investigation
initial: diagnostic: US/ERCP
59
Gallstone surgery indication
size > 3 cm - calcified/porcelain gallbladder
60
abdominal surgical interventions
D1. iffuse peritonitis(localized peritonitis is not always an indication). 2-Severe or increasing localized tenderness. 3-Progressive abdominal distension. 4-Tender mass with fever or hypotension (abscess). 5-Septicemia and abdominal findings. 7-Bleeding and abdominal findings. 8-Suspected bowel ischemia (acidosis,fever,tachycardia). 9-Massive bowel dilatation more than 12cm.
61
diarrhoea + abdominal pain + bloating + belching + flatus + nausea and vomiting
Giardiasis
62
Giardiasis investigation
stool examination for ova and cyst
63
most common cause of constipation
Dietary
64
dysphagia + hoarseness + hx of achalasia + thoracic inlet mass
Oesophageal cancer
65
dysphagia + chest discomfort + weight loss ± hiccoughs
oesophageal cancer
66
oesophageal malignant lesions surgical contraindication
- Invasion of tracheobronchial tree - Invasion of great vessels - lesion more than 10 cm
67
hoarseness + dysphagia + neck mass
Laryngeal cancer
68
paraesophageal/hiatus hernia investigation
Diagnostic: Barium swallow
69
fever + jaundice, + pain in the right upper quadrant + chills
Acute cholangitis Harcot's triad
70
Acute cholangitis poor prognostic determinants
1- Age more than 70. 2- Female gender. 3- Failure to respond to conservative management. 4- Concurrent medical conditions: - liver abscess - cirrhosis - hypoalbuminaemia - thrombocytopenia - IBD - malignant strictures
71
abdominal pain + diarrhoea + Tenderness on DRE
Acute appendicitis
72
Left iliac fossa pain + Fever + Tenderness and rebound tenderness + Guarding + Per rectal bleeding + hypotension
Acute diverticulitis
73
hx of ascites+ fever + altered mental status + increased WBC + abdominal pain/discomfort
spontaneous bacterial peritonitis
74
Splenectomy measures
- Vaccination against: streptococcus pneumoniae meningococcus H. influenza - Antibiotics (Penicillin) from 6 months - 2 years - target cells (deformed RBCs)
75
Peritonitis investigation
- Ascitic analysis (fluid neutrophil count more than 250 cells/mm3)
76
Malignant cells in ascites will spread to
Left supraclavicular lymph nodes
77
spontaneous bacterial peritonitis transmission
Bacterial translocation from gut to mesenteric lymph node Bacterial translocation from gut to mesenteric lymph node
78
bacterial peritonitis treatment
Cefotaxime and albumin - albumin to reduce the rate of renal failure
79
screening for hepatoma or primary liver cancers with chronic hepatitis
Alpha fetoprotein
80
Hepatic hydatid cyst pathogen
Echinococcus tape worm
81
Hepatic hydatid cyst investigation
Initial: USG Best: Triphasic abdominal CT (confirmatory) - Cyst aspiration
82
Hepatic hydatid cyst USG
83
Hepatic hydatid cyst USG
84
Hepatic hydatid cyst CT
85
Hepatic hydatid cyst CT
86
Hepatic hydatid cyst management
Albendazole Surgery Praziquantel followed by albendazole if spilled cyst
87
autoimmune hepatitis predictor of poor clinical response to therapy
Anti-liver-kidney microsomal antibody (Anti-LKM antibody)
88
Elevated liver enzymes with normal bilirubin
Ischemic hepatitis
89
Indicator for chronic liver disease
- Alanine aminotransferase - Aspartate aminotransferase
90
Child-Pugh classification
The severity of portal hypertension 1-Increased total bilirubin. 2-Prolonged INR. 3-Low serum albumin. 4-Presence of hepatic encephalopathy. 5-Presence of ascites.
91
Best predictor of patient livelihood
Hypoalbumin - decrease in osmotic pressure, therefore ANSARCA that leads to CHF
92
Best indicator for chronic liver disease
Albumin
93
Longstanding cirrhosis or Hep C
Form hepatocellular carcinioma
94
Cirrhosis findings
PE: spider naevi, palmar erythema, gynecomastia and splenomegaly LAB: - Thrombocytopenia Abnormal coagulation studies including INR and PT Hypoalbuminemia
95
Pilonidal sinus prevention
1-Keep the area clean and dry. 2-Avoid sitting for a long time on hard surfaces. 3-Remove hair from the area
96
Acute confusion post surgery
Atelectasis, PR, chest infection - check pulse oximetry
97
Encephalopathy grades
Grade-I involves altered mood/behaviour, sleep disturbance including reversal of sleep cycle. Grade-II involves increasing drowsiness, confusion and slurred speech Grade-III involves stupor, incoherence, restlessness and significant confusion Grade IV is an ultimate coma
98
Dilated abdominal veins flowing towards head + hepatomegaly
Inferior Vena Cava Obstruction
99
Dilated abdominal veins flowing towards legs+ hepatomegaly
Caput medusae from cirrhosis and portal hypertension
100
History of recent myocardial infarction. + acute onset of abdominal pain + Metabolic acidosis.
mesenteric ischemia
101
chronic gastrointestinal bleeding prevention
BB (Propranolol or nadolol)
102
most likely to strangulate hernia
indirect inguinal hernia
103
least likely to strangulate hernia
Direct inguinal hernia
104
gastroenteritis in Australia?
Norovirus
105
Repeated unconjugated hyperbilirubinemia + No evidence of haemolysis, with normal findings on complete blood count, reticulocyte count, and blood smear. + Normal liver function tests except for the bilirubin.
Gilbert’s syndrome
106
most common gastrointestinal complication seen after cholecystectomy
Diarrhoea
107
infliximab for inflammatory bowel disease
Crohn’s disease with perianal fistulas
108
erythematous + well define + fluctuant mass at the anal orifice
Perianal abscess
109
sulfasazine side effects
- agranulocytosis - haemolytic anaemia rash -
110
presence of eosinophils + dysphagia
eosinophilic esophagitis
111
eosinophilic esophagitis management
1. PPI 2. Swallowed budesonide 3. Systemic corticosteroids
112
CEA
glycoprotein found in colon - cancer - CEA assay is a sensitive serologic tool for identifying recurrent disease
113
infant + volvulus + duodenal obstruction + intermittent or chronic + abdominal pain
malrotation
114
hernia that follows the path of the spermatic cord within the cremaster muscle
Indirect inguinal
115
hernia passes directly beneath the inguinal ligament at a point medial to the femoral vessels
femoral
116
hernia passes through a weakness in the floor of the inguinal canal medial to the inferior epigastric artery
direct inguinal
117
hernia that protrude through an anatomic defect that can occur along the lateral border of the rectus muscle at its junction with the linea semilunaris
Spigelian
118
thiazide diuretic + beta blocker
hypokalemia
119
haemorrhoiids investigation
Proctoscopy
120
Recurrent pneumonia + dysphagia + undigested food regurgitation
Zenker diverticulum (pharyngeal puch)
121
Zenker diverticulum investigation (pharyngeal puch)
Initial: Contrast esophagography Best: Upper gastrointestinal endoscopy
122
Zenker diverticulum management (pharyngeal puch)
Surgery: cricopharyngeal myotomy ± diverticulectomy
123
dysphagia + coughing and choking + recurrent aspiration pneumonia + stroke
Oropharyngeal dysphagia
124
Oropharyngeal dysphagia investigation
Videofluoroscopic modified barium swallow study
125
middle-aged women + hyperlipidemia + fatigue + pruritus + elevated alkaline phosphatase
cholestasis
126
constipation + fecal ncontinence + hematochezia + hx of pelvic radiation therapy
Radiation proctitis
127
Acute pancreatitis worse prognosis
Blood urea nitrogen level - reflect intravascular volume depletion
128
Ursodeoxycholic acid is used to treat
Primary biliary cirrhosis - increases bile acid output and bile flow while reducing cholesterol absorption
129
primary lymphoma predisposing factors
Celiac disease
130
solids dysphagia + breathlessness, cough + heartburn + wheezing
Congenital anomaly of the aortic arch - presses against the oesophagus causing dysphagic, compression isn't too harsh as liquids can still pass through
131
long hx of constipation + sudden cut-off + dilated proximal colon + abdominal distension + empty rectum on DRE
sigmoid volvulus
132
sigmoid volvulus investigation
diagnostic: CT abdomen NOTE: barium if perforation is suspected
133
mild tenderness on rectal exam + pain localized in the pelvis
pelvic appendicitis
134
Disease with strongest association with colorectal cancer
Familial adenomatous polyposis - cancer can develop as early as 20
135
Somalian + anal fissure predisposing factor
Rectal schistosomiasis
136
most common cause of treatment failure in PUD
metronidazole/clarithromycin resistance
137
dyspepsia + belching + abdominal pain + post cholesytectomy
Post- cholecystectomy syndrome (PCS)
138
Most common cause of post-cholecystectomy syndrome (PCS)
Choledocholithiasis
139
Radiologic study of choice for oesophagus
Barium swallow
140
Radiologic study of choice for oesophagus + stomach + duodenum
Barium meal
141
Radiologic study of choice for oesophagus + stomach + duodenum + small intestine
Barium follow-through
142
Radiologic study of choice for colon
Barium enema
143
Radiologic study of choice for suspected perforations/ volvulus/ bowel obstructions
Gastrogaffin
144
Oesophagogastroduodenoscopy (OGD) indications
Haematemesis or Melena
145
Colonoscopy indications
- Diarrhoea - Dark red blood in rectal bleeding
146
OGD + colonoscopy indications
Iron deficiency anaemia
147
flexible sigmoidoscopy indications
Rectal bleeding bright red blood