Headache: Cluster or Migrainous Neuralgia CLINICAL FEATURES
TRIAD:
* Retroorbital Headache
* Rhinorrhoea
* Lacrimation
Unilateral headache
Occurs nightly or in the early hours of
the morning
No visual disturbances or vomiting
Hallmark : Cyclical nature of the attacks and at least 5 attacks. Occurs typically in males; Rare in childhood.
Headache: Cluster or Migrainous Neuralgia ACUTE Management
1st line: 100% O2 15 L/min for 15 minutes
2nd line: Sumatriptan sc injection or intranasally
Headache: Cluster or Migrainous Neuralgia PROPHYLAXIS (once a cluster starts TO PREVENT FURTHER ATTACKS)
Headache: Tensional Clinical findings
Symmetrical bilateral tightness (muscle contraction headaches)
Lasts from 30 minutes to 7 days
Non-pulsating, mild to moderate intensity
No nausea, vomiting, photophobia, or phonophobia
Headache: Tensional Management
Relaxation techniques
Lifestyle modifications
Avoid tranquilisers and stronger analgesics
Headache: Tensional Treatment
Headache: Migraine Clinical Features
MC triggered by Stress
Headache lasts 4- 72 “hours”
Unilateral, Pulsatile in nature.
Moderate or severe intensity, inhibiting daily activities associated with nausea, vomiting, photophobia, or phonophobia
Not attributable to another disorder
Headache: MILD
Acute Migraine Management
1st line: ASPIRIN OR
PARACETAMOL + METOCLOPRAMIDE
ADVISE LYING DOWN
IN A QUIET DARK COOL ROOM.
COLD PACKS ON THE FOREHEAD OR NECK.
AVOID: COFFEE, TEA, MOVING AROUND TOO MUCH, READING, WATCHING TV
Headache: SEVERE
Acute Migraine Management
1st line: TRIPTANS (BEST AT START OF ATTACK)
AVOID IN:
Management of Acute Migraine attack during pregnancy
Paracetamol is the preferred non-opioid analgesic.
Avoid NSAIDs and
Aspirin in the first trimester and after 30 weeks of gestation
Management of severe refractory Acute Migraine attack during pregnancy
NOTE: Beta blockers can cause IUGR and should be weaned off before labour to prevent Fetal bradycardia.
Migraine Prophylaxis
1st line: Avoidance of known trigger factors.
Indication: 2 or more
severe migraine attacks per month attacks disrupting the
patient’s well being/lifestyle.
Drugs:
* Beta blockers (Propranolol)
* TCA (Amitryptyline)
* Sodium valproate
* CCBs ( Verapamil, Nifedipine)
* Candesartan
* Sumatriptan
* Gabapentin
* Botulinum toxin into the muscles of the face, scalp or neck
Headache: Temporal
arteritis (Giant cell arteritis) CLINICAL FEATURES
Persistent/intermittent unilateral throbbing headache in the
temporal region and scalp sensitivity with localized thickening
With or without loss of pulsation of the Superficial temporal artery.
Age > 50 years
Intermittent blurred vision
Tenderness on brushing hair
Jaw claudication on eating
Hypertension
Polymyalgia Rheumatica
Headache: Temporal
arteritis (Giant cell arteritis) MANAGEMENT
1) Very responsive to corticosteroids- start treatment immediately to prevent permanent blindness.
2) Aspirin to prevent ischemic events
Headache: Subarachnoid Hemorrhage CLINICAL FEATURES
Presentation: Acute severe headache “thunderclap” (in 75% patients); Loss of consciousness in the remaining 25%.
TRIAD
* Occipital Headache
* Vomiting
* Neck stiffness
Also:
- With or without seizures
- Kernig sign positive
Headache: Subarachnoid Hemorrhage INVESTIGATIONS
Dx: 1) CT Head – investigation of
choice
2) Lumbar puncture is used if CT scan is
negative – Homogenous blood staining of CSF
and Xanthochromia are diagnostic of SAH
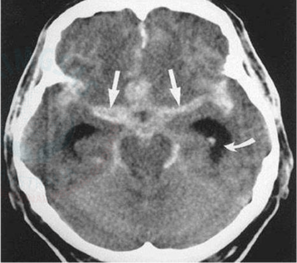
Headache: Subarachnoid Hemorrhage CT Imagen
Areas of hyper density within the cisterns and sulci
Headache: Subarachnoid Hemorrhage Management
URGENT REFERRAL!!
Headache: Trigeminal
Neuralgia CLINICAL FEATURES
> 50 yo
Almost always unilateral
Presentation:
* Brief paroxysms of pain 1-2 minutes (upto 15 minutes)
* Excruciating burning knife or electric shock like pain.
* Precipitated by talking, chewing, touching trigger areas on face, cold weather, and wind.
Headache: Trigeminal
Neuralgia. Associated diseases
Headache: Trigeminal
Neuralgia Investigation
MRI
Headache: Trigeminal
Neuralgia MANAGEMENT
1st line: Patient education and reassurance.
2nd line: Carbamazepine (from onset of attack until resolution)
3rd line: Surgery. Just if medical treatment is ineffective: Decompression of the Trigeminal nerve root
CLINICAL FEATURES Idiopathic Intracranial Hypertension (Pseudotumour cerebri)
FIRST INVESTIGATION Idiopathic Intracranial Hypertension (Pseudotumour cerebri)
CT and MRI are normal.