is bone marrow fibrosis normal with increased age?
no, but it does become hypocellular and decrease in mass, more fat
what happens when you give a COPDer oxygen?
vasodilation occurs and shunts blood away from well-ventilated areas and increases physiologic dead space, increasing VQ mismatch
are femoral hernias above or below the ingional lig?
BELOW because they are near the FEMOR
5 a reductase inhibiotrs, like finasteride, have wht side effects?
what is the MOA?
gynecomastia and decreased libido
decrease dihydrotestosterone synthesis
how does simultaneous use of aceteminophen and ethanol decrease hepatoxicity by tylenol?
through competitive inhbition by CYP P450 2E1, ethanol can decrease metabolism of NAPQI and therefore decrease NAPQI concentrations
what is the mechanism of tylenol induced hepatotoxicity?
depleted glutathione, build up of NAPQI
NAPQI binds with mitochondira
leads to oxidative hepatocellular injury
post-MI, what is a common occurance?
how can this be attenuated (avoided)
LV dilation driven by angiotensin II
ACEi
what is the MOA of penicilliminie?
increases urinary excretion of Cu
what happens to children exposed to second hand smoke?
mucocilliary dysfunction
imparied phagocytosis of alveolar macrophage
immune and inflam cell recruitment
what are teh associated syndromes for small cell lung carcinoma?
SIADH
Cushing
Lamber Eaton
know galactose metabolism deficiency
notable that galactose-1-phosphate uridyl transferase makes babies more at risk for e coli sepsis

injury to the membranous urethra (posterior urethra) is assox with what findings?
anterior (spongy) urethral injury is assoxi with
pelvic fracture
blood at meatus
high riding boggy prostate
straddle injury
flu vaccine neutralizes __
HA
inhibits viral entry into cells
in hirshprungs, would a biopsy of the narrow submucsa portion or dilated portion show absence of neurons
narrow portion of the submucosa has an absence of ganglion celsl
(absence of myenteric and aurbacuh)
in unilateral renal artery stenosis, what is the pathology of the stenotic kdiney?
and the normal kidney?
tubular atrophy, interstitial ischemia, glomerular crowding,
arteriolar thickening due to hyaline or hyperplastic arteriolarsclerosis
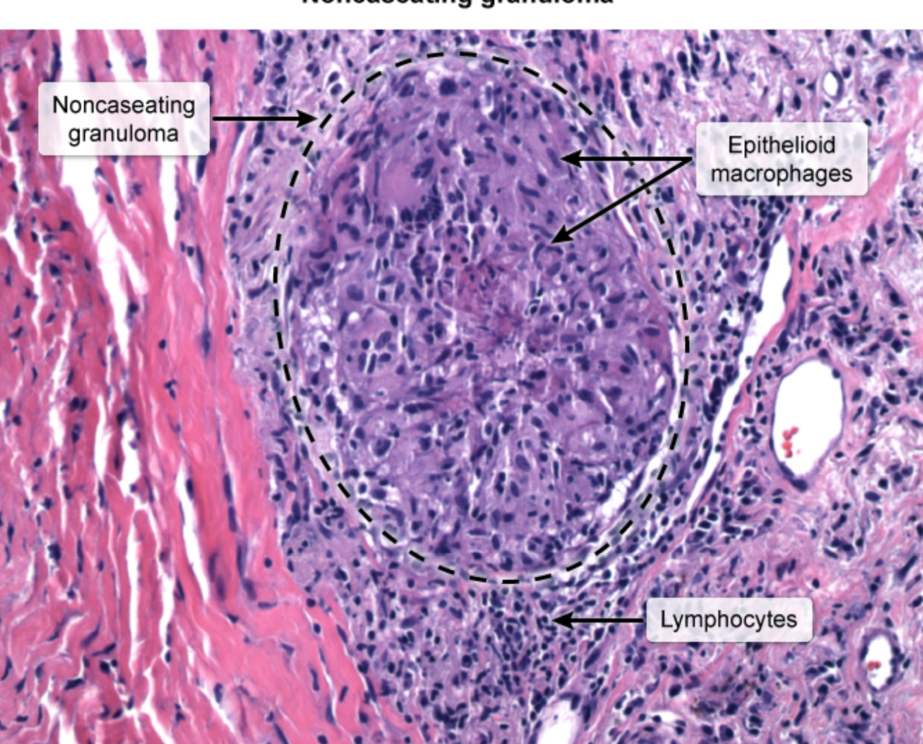
non caseating granulomas in the GI tract may indicate
Crhons

Cd55 defienciny-what will you find in the kidney?
hemosiderosis due to chronic RBC breakdown and iron depostion
wht is the brain pathology for cerebral palsy?
periventricular leukomalacia or necrosis
what has the fastest rate of metabolism in the glycolytic pathway?
fructose 1 phostphate because it bypasses PFK1, the rate limiting enzyme
what are neurophysins?
carrier proteins for ADH and oxytocin
mutation in them could cause DI
S4?
blood FOURced against a stiff ventricle
could mean diastolic dysfunction from LVH
is the bladder extraperitoneal?
yes
what is thyroglobulin?
large protein that carries around tyrosine to help make thyroid hormone. if you take exogenous thyroid homrone, thyroglobulin will be low, because no need to make your own TH
add to list
