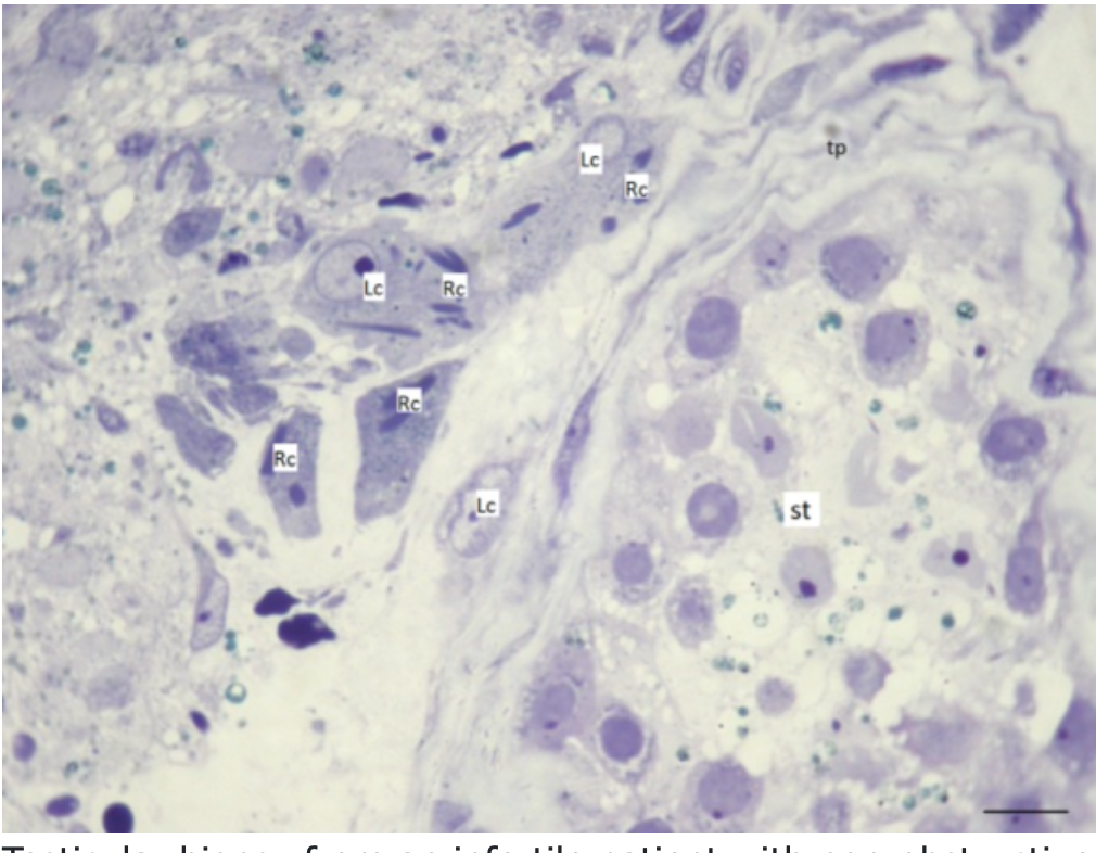
Reinke crystals (rod shaped crystals) are found in which tumor?
Leydig Cell Tumor

fibrocystic breasts can cause what type of cellular change?
atypical ductal hyperplasia
where are the anterior and psoterior chapmans points for the uterus?
anterior: inferior pubic rami
posterior: L5 TP bilateral, medial to PSIS
what is teh tumor marker for sertoli cell tumors?
what is the tumor marker for choriocarcinoma?
Inhibin
bHCG (and males may have gynecomastia)
What is elevated in PCOS, estrogen, LH, or FSH?
Estrogen and LH are elevated
FSH is decreased
Clomiphene can cause what in the ovary?
multiple enlarged follicles
(does NOT cause DVTs)
A research center is testing a novel prostate cancer antigen test that is positive in 90% of men with prostate cancer and negative in 70% of men without prostate cancer.
what is the sensitivity?
what is the specificty?
90%
70%
What type of family history is risky for breat cancer?
what type of non-familial history is risky for breast cancer?
BRCA mutations and first degree relatives (mom, sister)
obesity, OCPS/HRT, ETOH, nulliparity
What is the name of a testosterone analog that can be used for burns?
oxandrolone
what drug used to increase gastric motility can cause galactothrra?
metoclopramide
Zidovudine is an HIV drug that can be given to pregnant mothers to decrease risk of transmission to fetus by which mechanism?
competitive inhibition of RNA-dependent DNA polymerase and subsequent DNA chain termination
21 hydroxylase deficiency will have elecated levels of what?
angiotensin II
(hypotension leading to activated RAAS)
Tanner stage 4 for breast and pubic hair includes?
adult type hair on the pubic bone without spread to thighs and breasts with secondary mound
normal at age 13