Qual a função do fibroblasto?
Sintetizar colágeno e elastina, além das proteínas da matriz.
Qual a função do fluido tecidual? A que outra estrutura do corpo ele se assemelha?
Preenche o espaço entre células e fibras. Se assemelham ao plasma sanguíneo.
Caracterize os macrófagos.
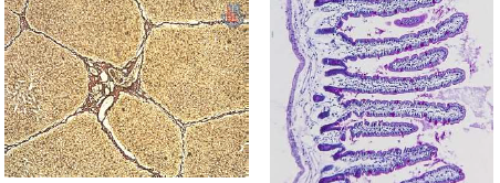
Onde são encontradas fibras reticulares? (Tipo III)

Quais são as moléculas aniônicas da substância fundamental intercelular?
Glicosaminoglicanas e proteoglicanos.
Quais são os constituintes principais da MEC (Matriz extracelular)?
Caracterize as fibras oxitalânicas.
A eosina (ácido) colore as fibras de colágeno com qual cor?
Rosa.

Como se caracteriza o tecido conjuntivo elástico?
Os macrófagos são divididos em 2 tipos, de acordo com sua movimentação. Quais são eles?
Caracterize as fibras elaunínicas.
Caracterize as células adiposas.
Adipócitos
Especializadas em armazenar energia (triglicerídeos)
Isolante térmico e proteção contra traumas
Células esféricas com núcleo deslocado para a periferia da célula

O que são leucócitos e quais seus tipos?
São glóbulos brancos
Neutrófilos
Eosinófilos
Linfócitos

Quais são as funções do Tecido Conjuntivo?
1.Estabelecimento e manutenção da forma dos órgãos/corpo
2.Conecta e liga células e órgãos
3.Funções biológicas
Quais os corantes utilizados nas fibras reticulares?

Como são conhecidas as moléculas de colágeno?
Tropocolágeno.
Onde são encontrados fibrilas de colágeno? (Tipo II)
O colageno tipo II está presente nas cartilagens.

Os plasmócitos são originados dos…
Linfócitos B.
Qual a função do tecido conjuntivo propriamente dito denso?
Resistência e proteção aos tecidos
Qual a função dos leucócitos?
São células especializadas na defesa do organismo.
O tecido conjuntivo propriamente dito é dividido em…
Frouxo e Denso.
As proteoglicanas do tecido conjuntivo propriamente dito são facilmente visíveis na microscopia de luz?
Não.
Qual o tipo de proteína mais abundante no organismo? Quantos tipos dessa proteína aproximadamente são conhecidos?
Colágeno, são conhecidos mais de 20 tipos.
A fibrilina e elastina do sistema elástico vão dar origem a quais fibras?
