Quais são as estruturas presentes em toda célula eucariótica animal?

Verdadeiro ou falso
Lente objetiva e ocular constituem uma associação de lentes capaz de aumentar a amostra analisada em até 1000 vezes.
Verdadeiro.
Objetivas aumentam até 100x e a ocular aumenta em até 10x.

Dê o nome das estruturas A,B,C e D, respectivamente

A - Ocular
B - Objetiva
C - Diafragma
D - Parafusuo Micrométrico

Qual a função do condensador no microscópio?
Distribuir regularmente a luz que atravessa o diafragma.

Do que depende a abertura numérica?
Do semiângulo do cone máximo de luz que pode entrar ou sair da lente.

Qual a principal característica da Microscopia Eletrônica?
Uso de um feixe de elétrons ao invés de um feixe de luz.

Essa imagem é típica de qual microscópio? Por que?

De varredura, pois apresenta uma estrutura tridimensional e permite a análise da superfíce amostral.

Qual o princípio do funcionamento do microscópio eletrônico.
Princípio de raios catódicos.
Um feixe de elétrons atravessa o espécime e forma uma sombra em uma superfície interna do microscópio que, posteriormente, é fotografada.

Os lisossomos são formados por qual organela?
Complexo de Golgi.
A eosina cora o citoplasma de qual cor?
Róseo.

Que partes do microscópio estão indicadas pelos números 1, 2, 3 e 4,
respectivamente?

1 - Lente Ocular
2 - Lente Objetiva
3 - Fonte de luz
4 - Parafuso para ajuste de foco

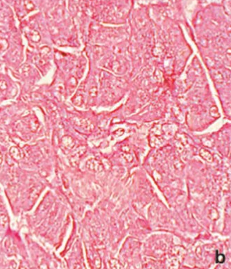
O corte apresentado é parte de qual órgão?

Bexiga urinária.

Quais são os mecanismos pelos quais a membrana plasmática exerce a permeabilidade seletiva?
As caraterísticas descrita a seguir são típicas de qual organela?
Retículo Endoplasmático Liso.

Caracterize os peroxissomos.
Organelas vesiculares arredondadas (0,5 a 1,2 micrômetros)
Possui enzimas que catalizam o peróxido de hidrogênio (catalase)
Quais são os fatores que influenciam o limite de resolução? Qual sua fórmula?
O limite de resolução (LR) depende do comprimento de onda, radiação e da abertura numérica utilizada na objetiva.

Qual a diferença entre o parafuso micrométrico e o macrométrico?
Ambos apresentam a função de regular a altura da platina. Todavia, o parafuso macrométrico faz um ajuste mais grosseiro, já o micrométrico é utilizado para um ajuste fino do foco.
A presença de cisternas cis, medianas e trans é característica de qual organela?
Complexo de golgi

O que é a membrana celular e qual sua constituição?
É uma barreira para manutenção de microambientes. Constituída por uma bicamada fluida de fosfolipídeos, colesterol e proteínas.

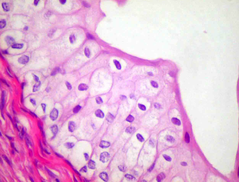
A lâmina apresentada é de um…

Retículo Endoplasmático Rugoso.

Da esquerda para a direita, quais são os filamentos e seu principal constituinte?

Filamentos intermediários: Diversas proteínas
Microtúbulos: Tubulina
Microfilamentos: Actina

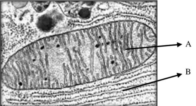
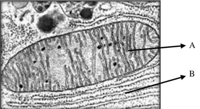
Qual o nome da estrutura A? Qual microscópio formou essa imagem?

A amostra é de uma mitocôndria. Foi formada por microscopia eletrônica.

A imagem apresenta exemplos de…

Endocitose.

Verdadeiro ou falso
A Segunda amplificação do objeto é função da lente objetiva.
Falso.
A primeira amplificação do objeto é função da objetiva.