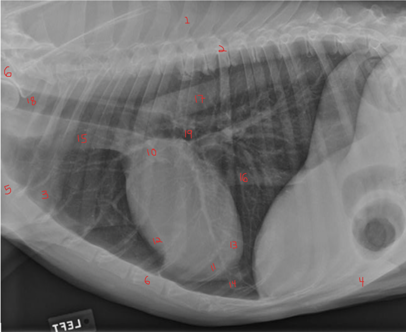
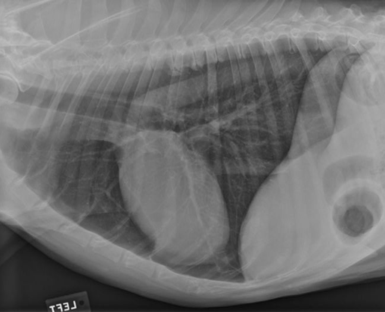
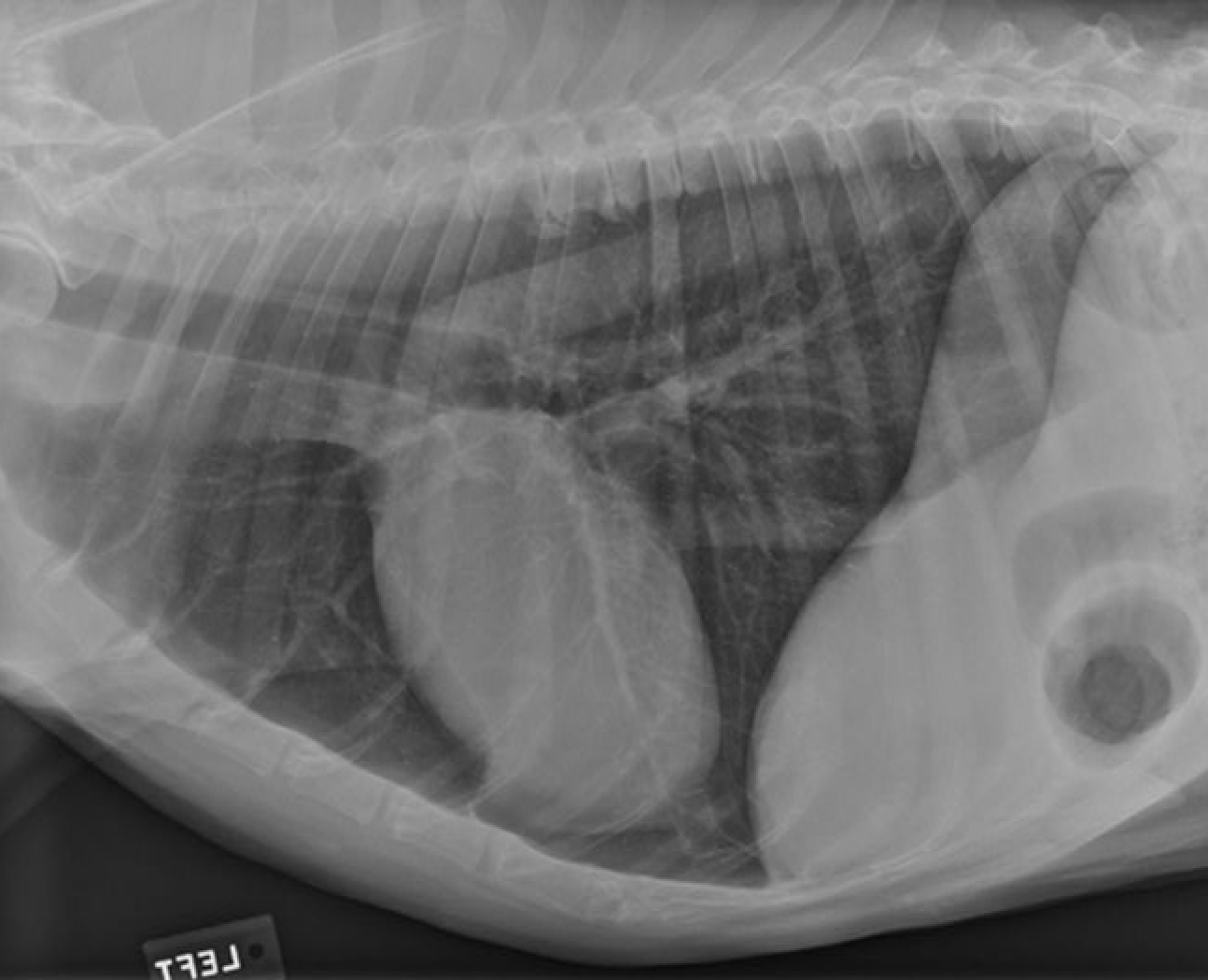
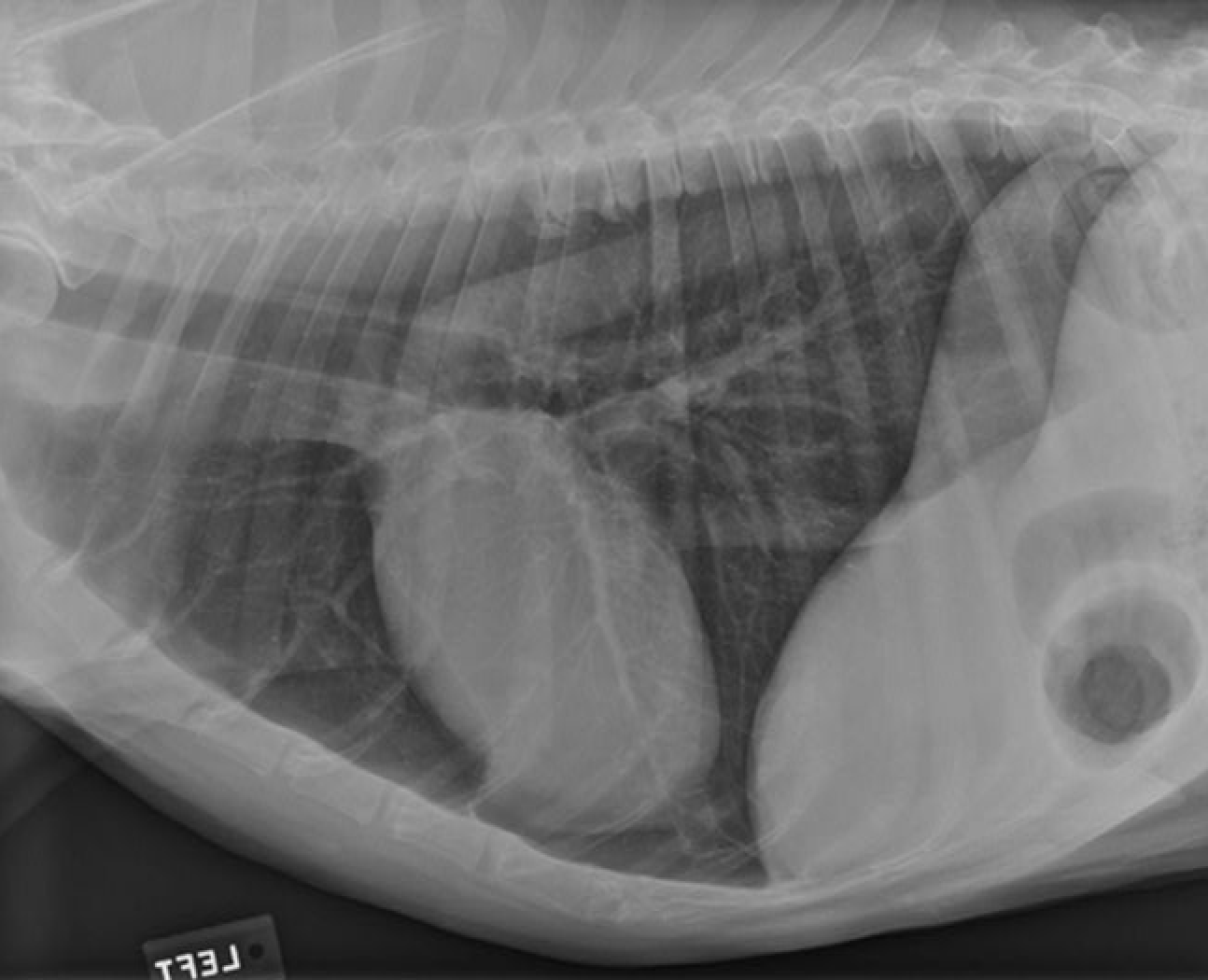
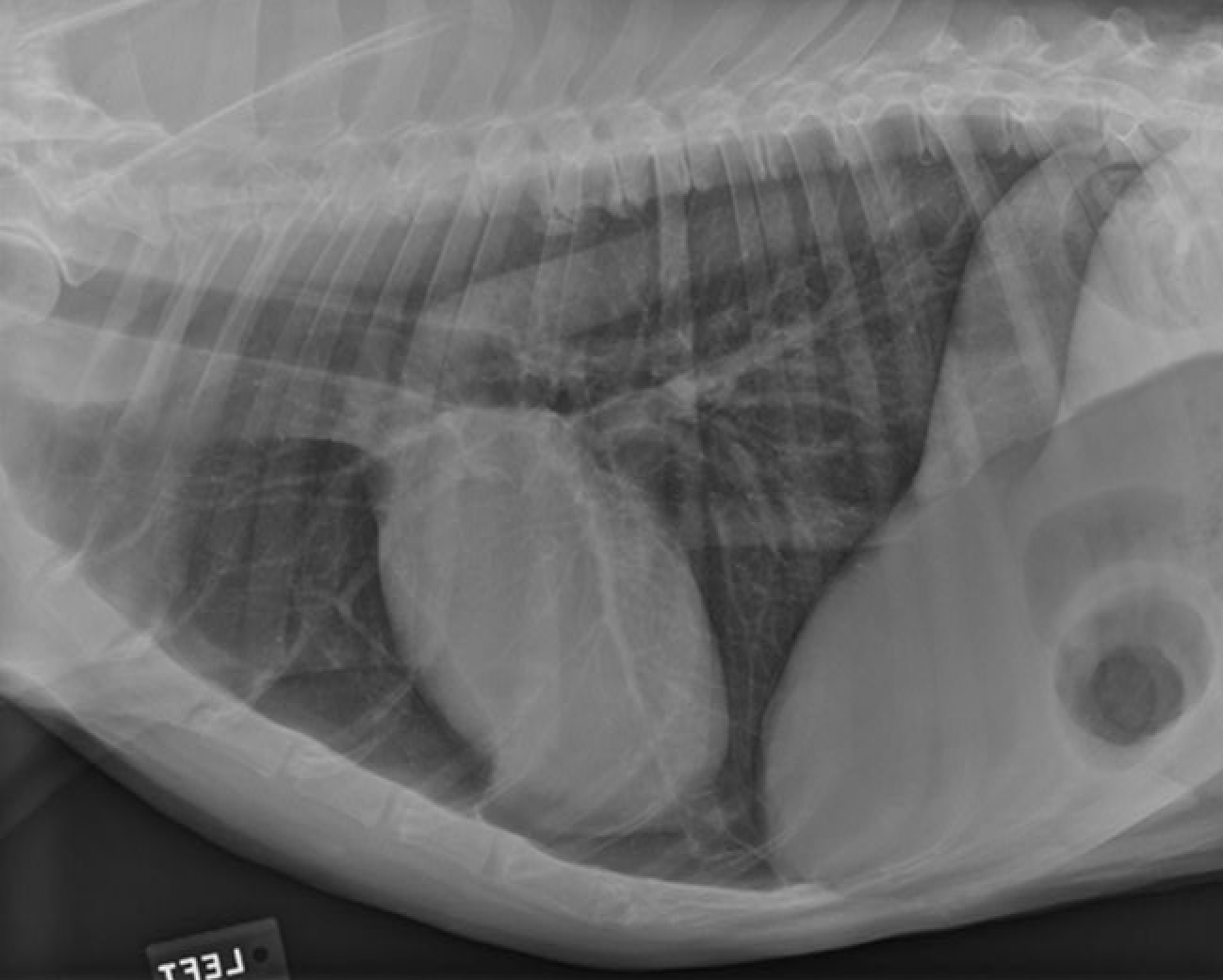
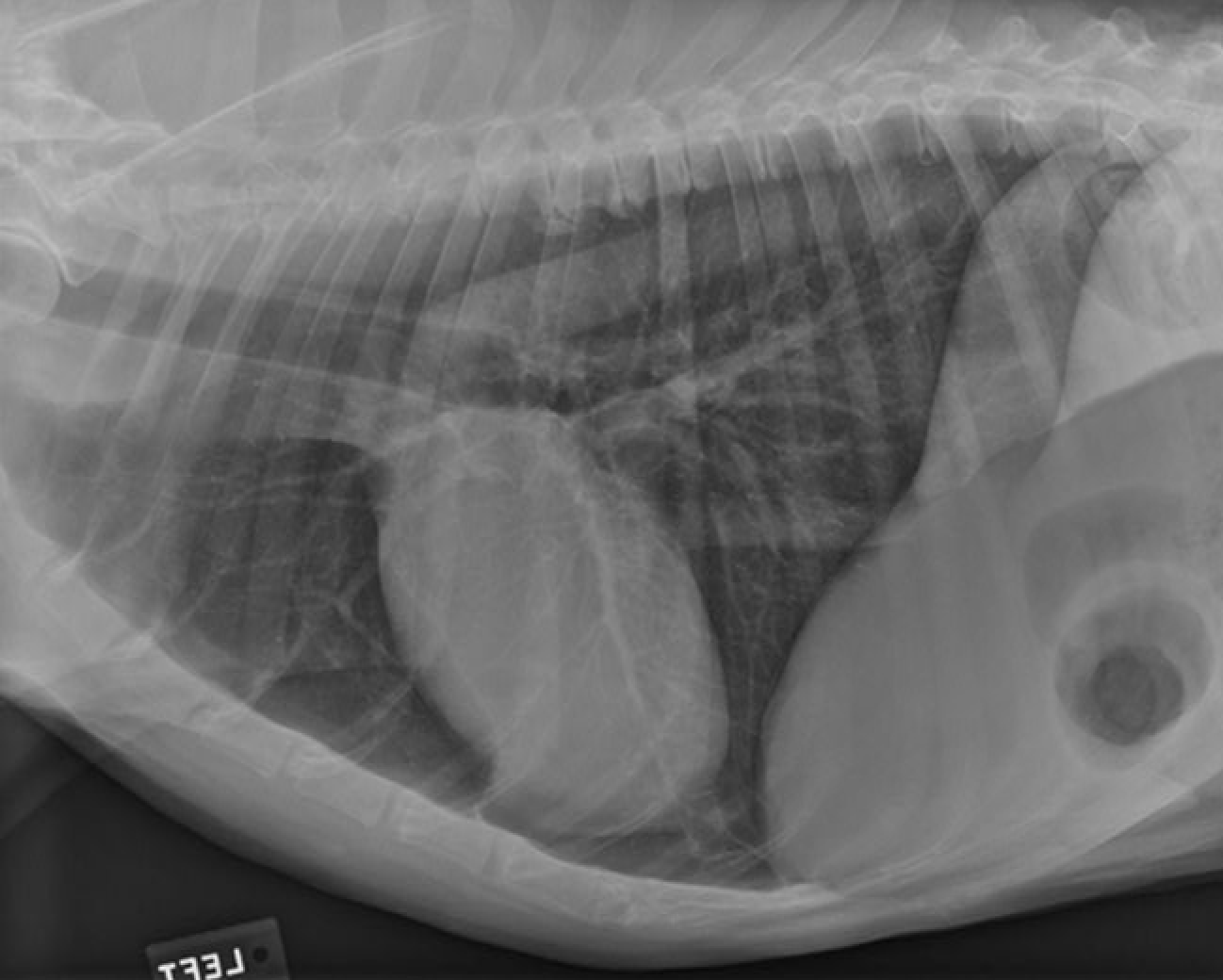
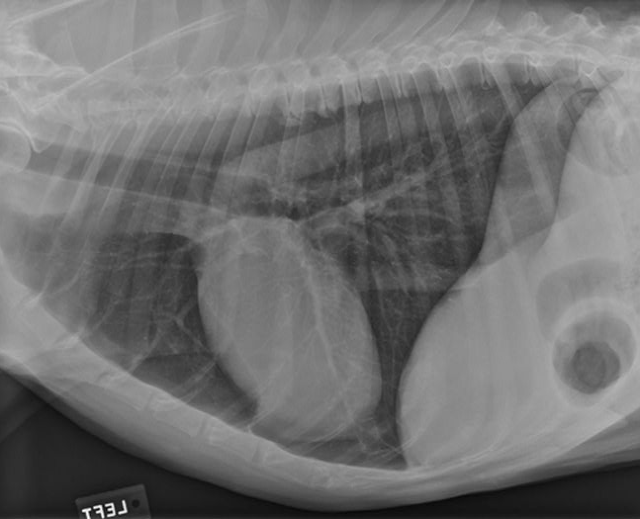
identity the structures on the thorax radiograph left lateral view

heart
identify the right cranial pulmonary vein


identify the pulmonary arteries


identify the right cranial lung lobe


identify the right cranial bronchus


identify the right accessory lobe of the lung


identify the right crus of the diaphragm


identify the left crus of the diaphragm

identify the dome of the diaphgram


identify the left cranial lung lobe


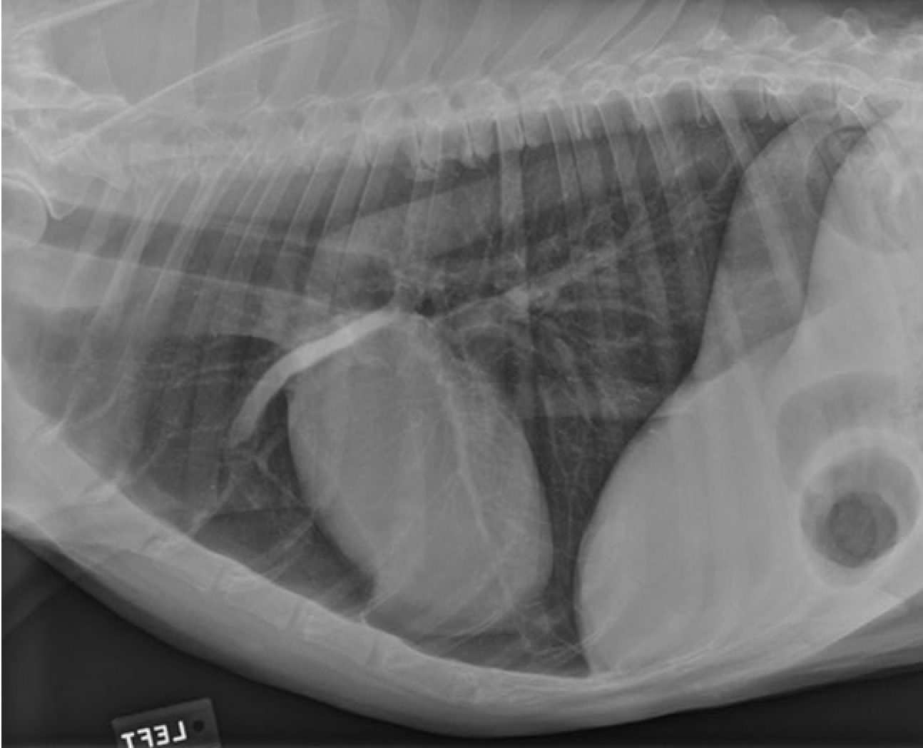
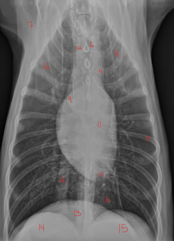
identify the structures

identify the pulomary arteries


identify the aorta


identify the ventral mediastiunum


identify the scapula


identify the ventral lung lobes


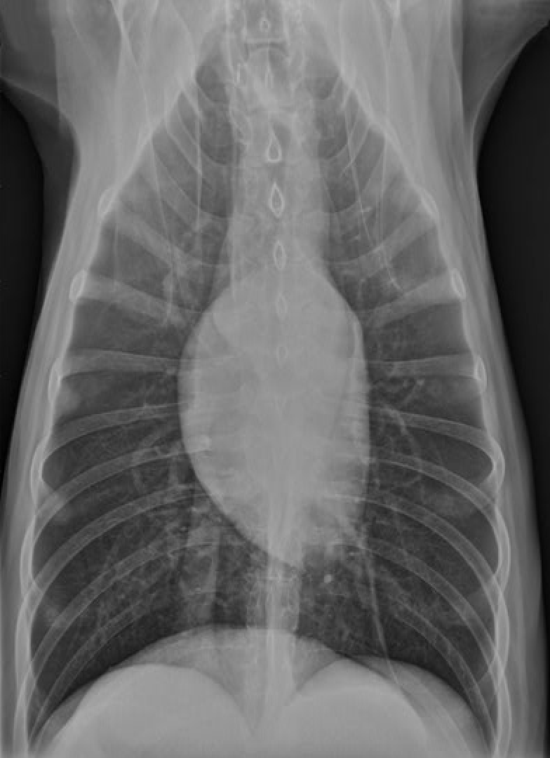
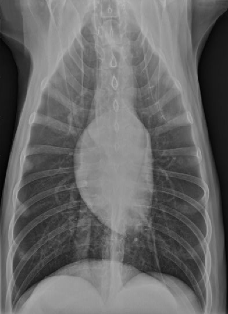
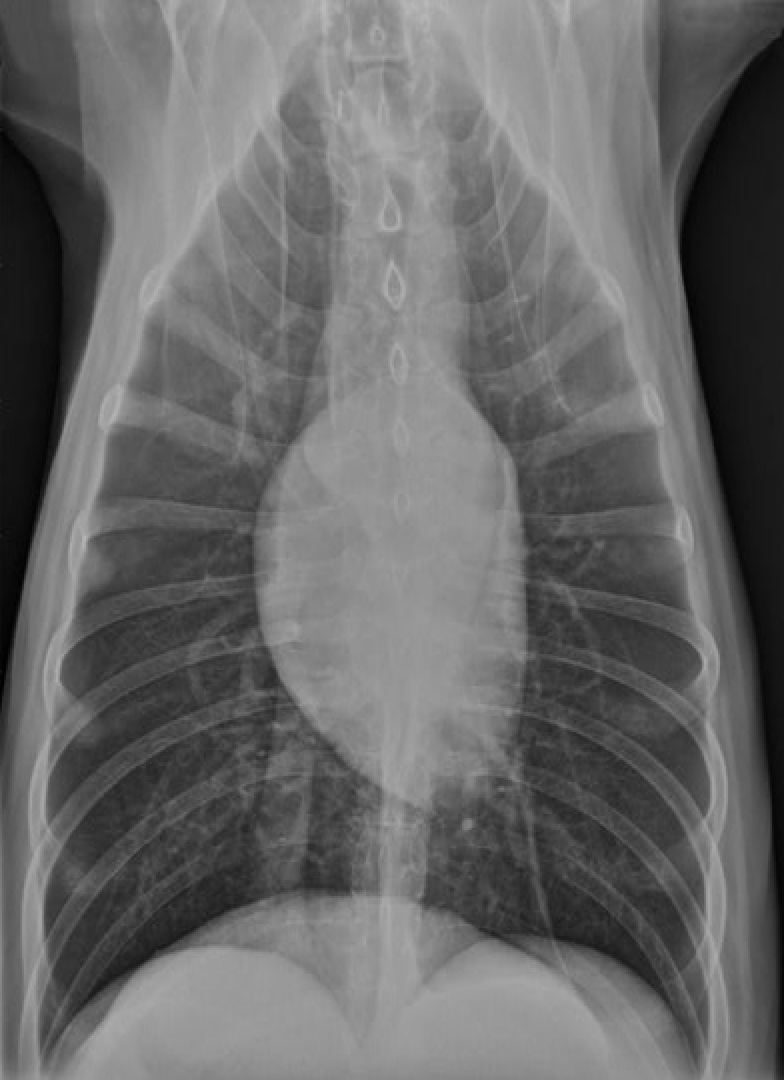
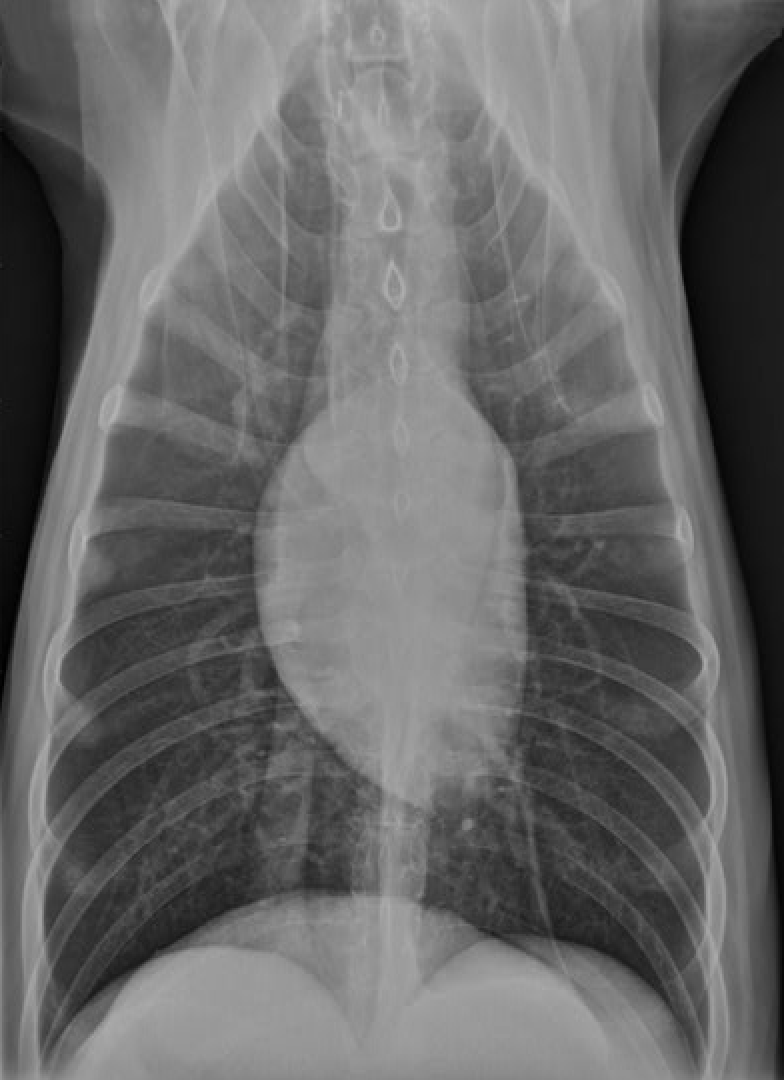
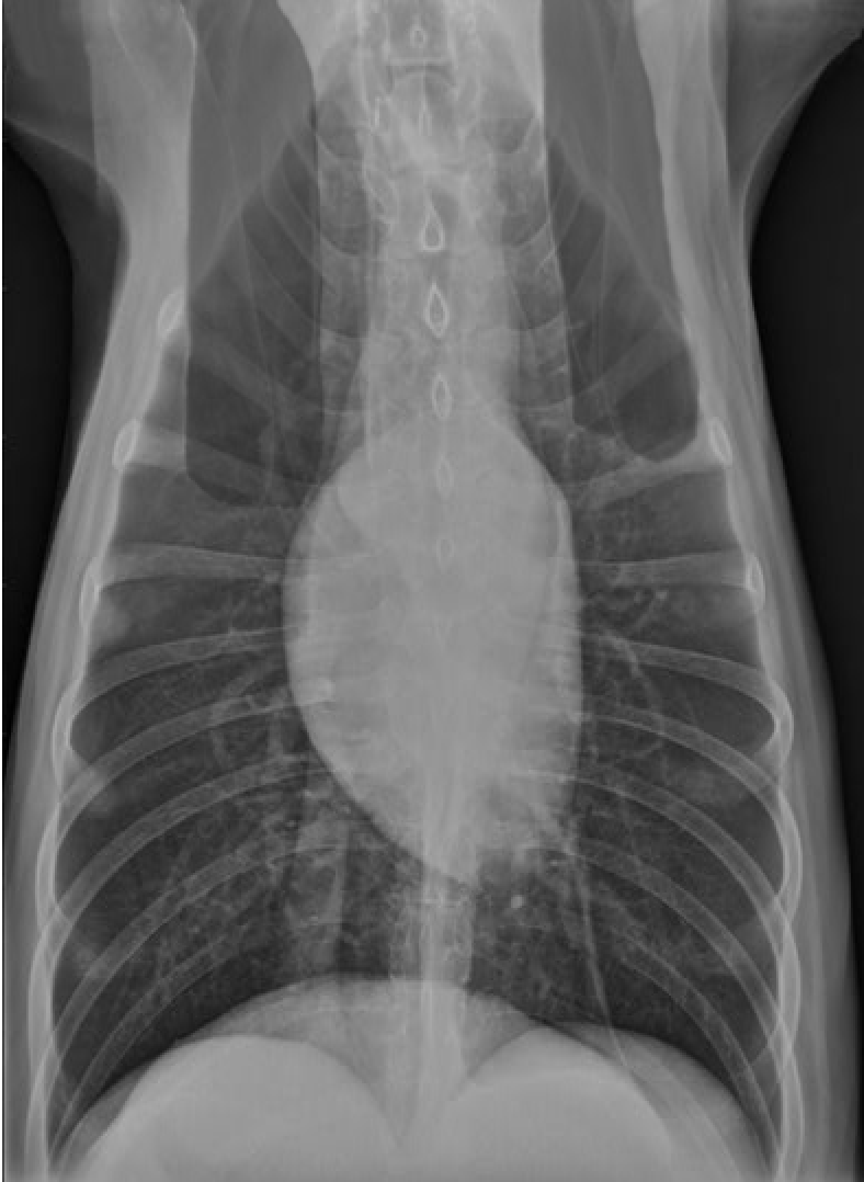
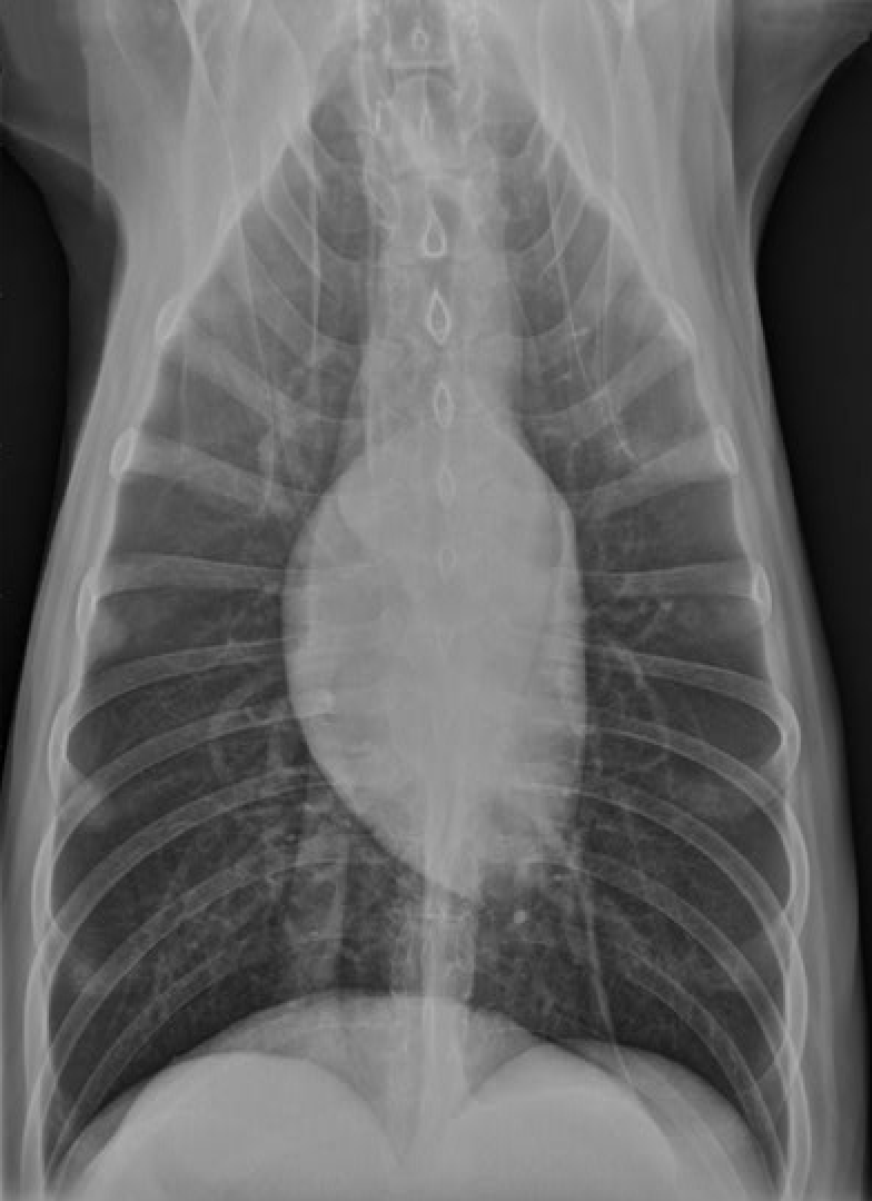
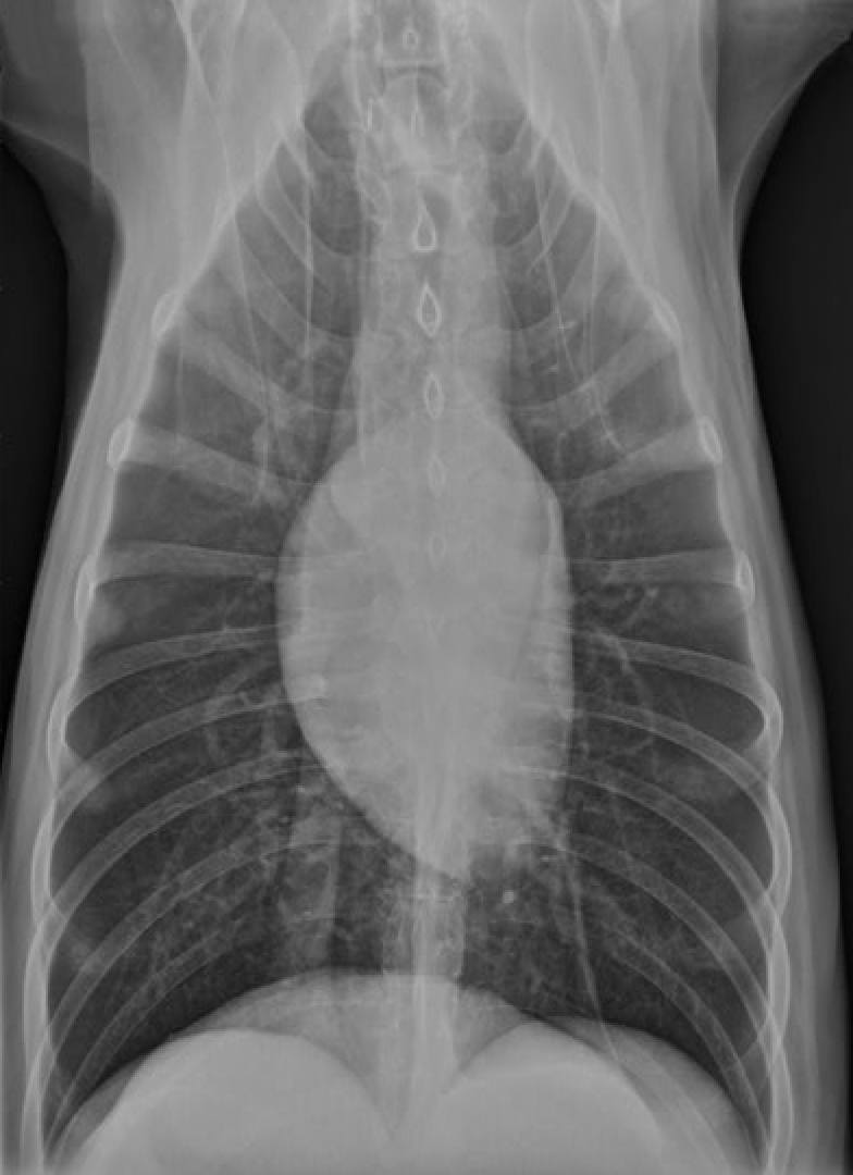
Where is the apex of the heart?
towards the left of the midline
why does the heart appear to sit to the left of the midline in this dorsal ventral radiograph

Because of the size of the right lung
Which chamber of the heart gives rise to the ‘apex’ of the heart?
left ventricle
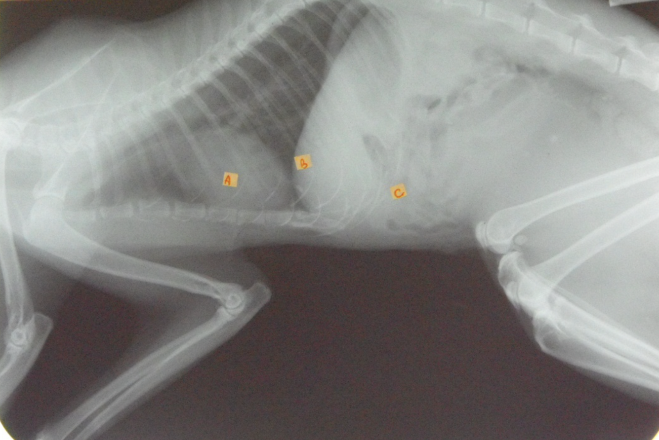
identify A, B and C

A= left atrium
B= right ventricle
C= trachea
identify the structures

RA: right auricle (atrium)
RV: right ventricle
LV: left ventricle
LA: left atrium
A: aorta
C: caudal vena cava
T: trachea
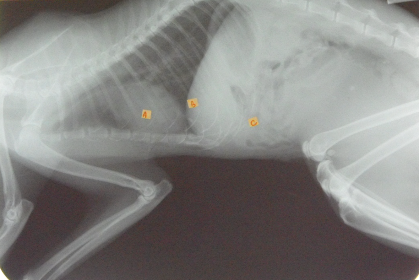
identify the structures of the cat thorax

A= heart
B= diaphragm
C= liver
how does the shape of the cat thorax differ than the dogs
shape: narrow and steep, heart sits more at an angle and it is positioned more caudally (4th-7th intercostal space) also little of the heart is covered by the forelimb as the triceps reaches no further than the 4th rib
Identify Manubrium of sternum, First rib, Apex of heart, Base of heart, Diaphragm and First lumbar vertebra
Again note the shape of thoracic cavity. How does it compare to that of the dog?

Narrower particularly about the thoracic inlet