Histology Flashcards

(22 cards)

1
Q
A

Hyaline cartilage

Found in epiglottis

How well did you know this?
1
Not at all
2
3
4
5
Perfectly
2
Q
A

Fibro cartilage

Found in pubic symphysis

How well did you know this?
1
Not at all
2
3
4
5
Perfectly
3
Q
A

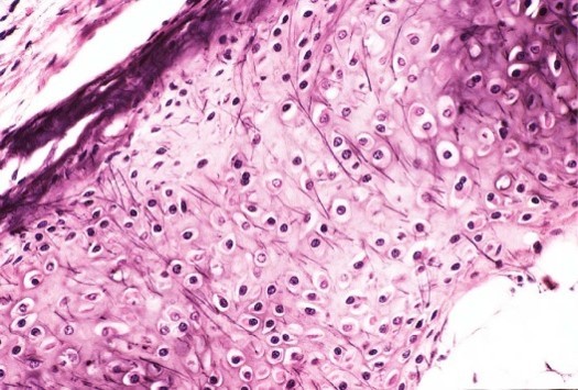
Elastic cartilage

Found in tracheal rings

How well did you know this?
1
Not at all
2
3
4
5
Perfectly
4
Q
A

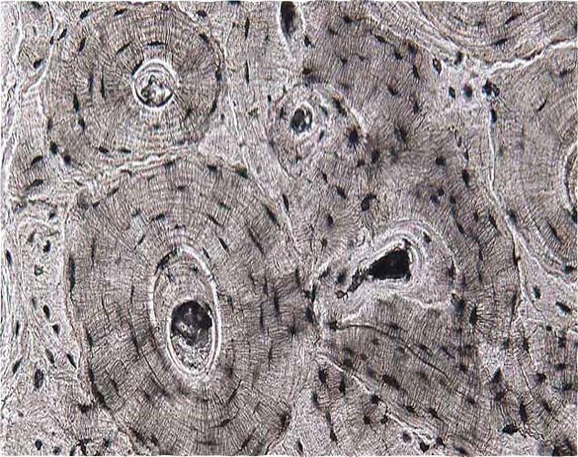
Compact bone

How well did you know this?
1
Not at all
2
3
4
5
Perfectly
5
Q
A

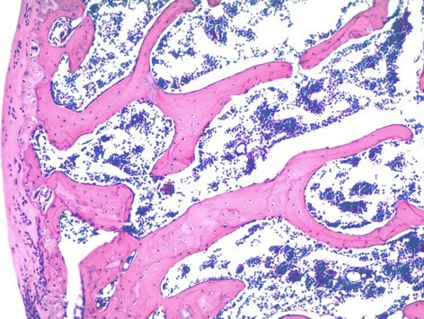
Spongy bone

How well did you know this?
1
Not at all
2
3
4
5
Perfectly
6
Q
A

Epithyseal growth plate

How well did you know this?
1
Not at all
2
3
4
5
Perfectly
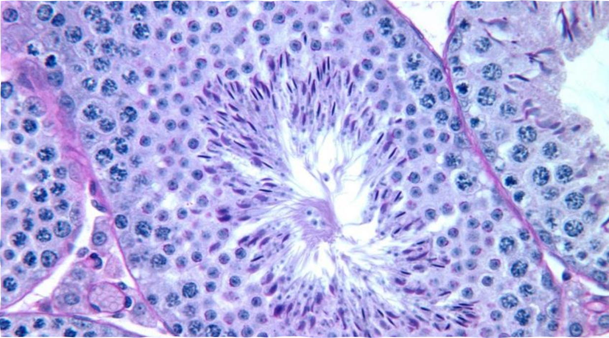
7
Q
A

Testis

How well did you know this?
1
Not at all
2
3
4
5
Perfectly
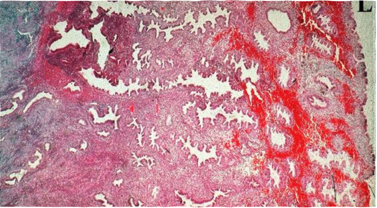
8
Q
A

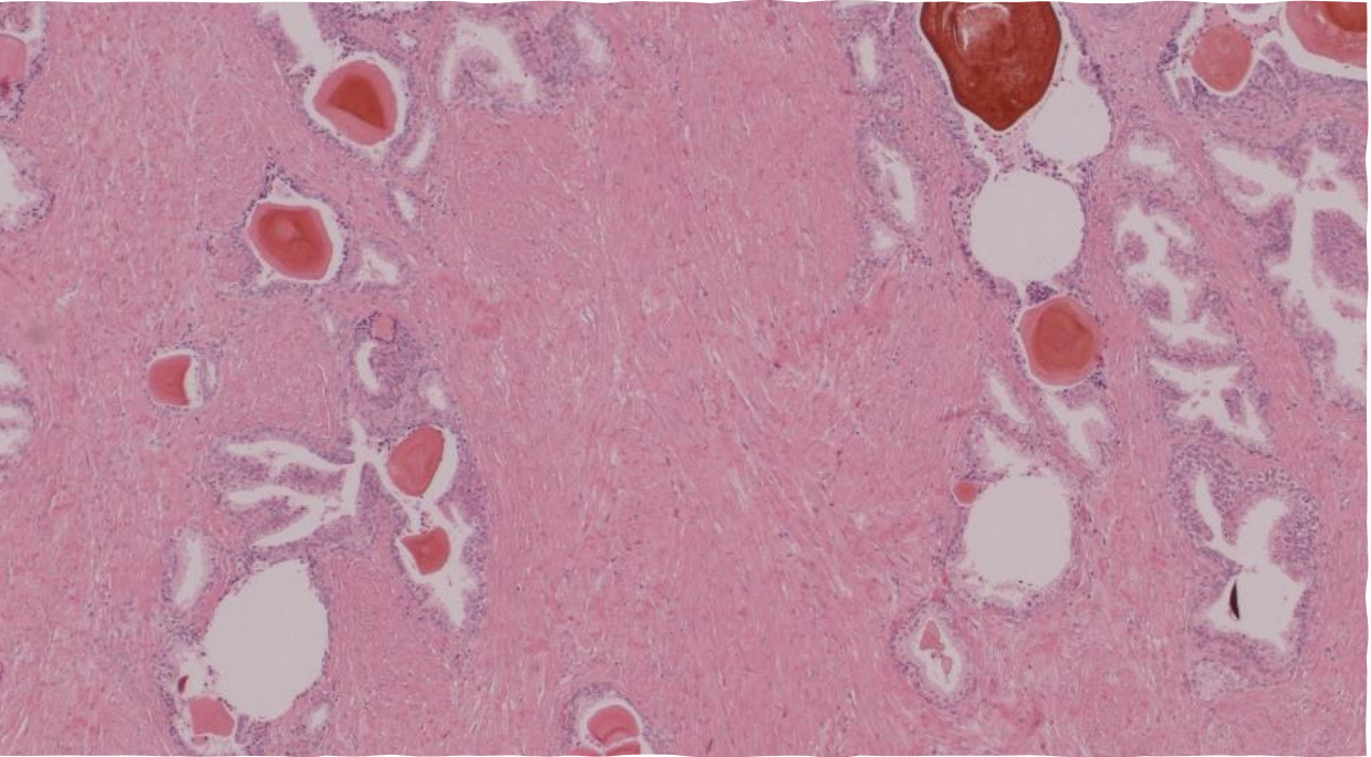
Prostate

How well did you know this?
1
Not at all
2
3
4
5
Perfectly
9
Q
A

Prostate

How well did you know this?
1
Not at all
2
3
4
5
Perfectly
10
Q
A

Epididymis

How well did you know this?
1
Not at all
2
3
4
5
Perfectly
11
Q
A

Ductus deferens

How well did you know this?
1
Not at all
2
3
4
5
Perfectly
12
Q
A

Breast during pregnancy

How well did you know this?
1
Not at all
2
3
4
5
Perfectly
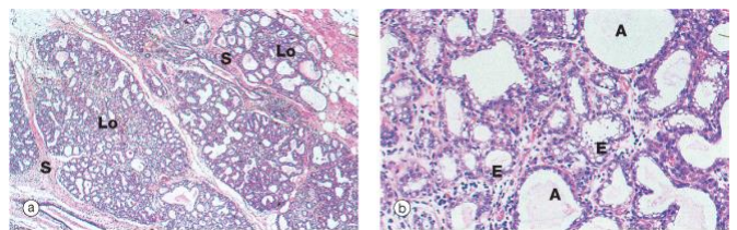
13
Q
A

Lactating breast

How well did you know this?
1
Not at all
2
3
4
5
Perfectly
14
Q
A

Endometrium - proliferative phase

How well did you know this?
1
Not at all
2
3
4
5
Perfectly
15
Q
A

Endometrium - secretory phase

How well did you know this?
1
Not at all
2
3
4
5
Perfectly
16
Q
A

Fallopian tube

21
Q
A

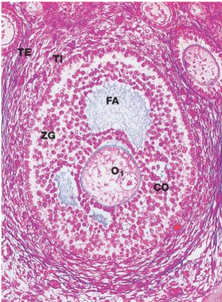
Secondary follicle

22
Q
A

Graffian follicle