Tissues Flashcards

(23 cards)

1
Q

What is a tissue?

A

A collection of cells containing a predominant cell type that work together to perform the same function

How well did you know this?
1
Not at all
2
3
4
5
Perfectly
2
Q

Name the 4 basic primary tissues

A

Epithelial tissue
Connective tissue
Nervous tissue
Muscle Tissue

How well did you know this?
1
Not at all
2
3
4
5
Perfectly
3
Q

State the function of epithelial tissue and an example of where it can be found

A

Protection and secretion

Skin

How well did you know this?
1
Not at all
2
3
4
5
Perfectly
4
Q

What are the defining histological characteristics of epithelial tissue?

A

Cells bound tightly together
Presence of basement membrane

How well did you know this?
1
Not at all
2
3
4
5
Perfectly
5
Q

Which layer supplies the epithelium and where is it found?

A

The lamina propria, located below the basement membrane

How well did you know this?
1
Not at all
2
3
4
5
Perfectly
6
Q

What are the two poles of an epithelial cell?

A

Apical - in contact with lumen
Basal - in contact with basement membrane

How well did you know this?
1
Not at all
2
3
4
5
Perfectly
7
Q

How is epithelium named?

A

Layer structure, cell shape and surface features

e.g stratified squamous

How well did you know this?
1
Not at all
2
3
4
5
Perfectly
8
Q

Name the different types epithelial layer types and an example of where they can be found

A

Simple - kidney
Stratified - skin
Pseudostratified - respiratory tract

How well did you know this?
1
Not at all
2
3
4
5
Perfectly
9
Q

Name two subdivisions of stratified epithelium and where they can be found

A

Keratinised - skin
Transitional - bladder

How well did you know this?
1
Not at all
2
3
4
5
Perfectly
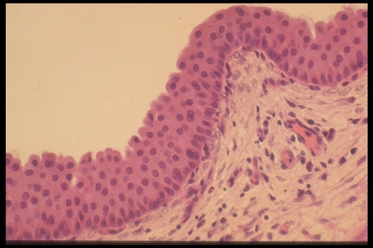
10
Q

Identify the tissue type

A

Epithelial tissue

Stratified squamous

Skin

How well did you know this?
1
Not at all
2
3
4
5
Perfectly
11
Q

Identify the tissue type

A

Epithelial tissue

Simple columnar

Gut/ ovary

How well did you know this?
1
Not at all
2
3
4
5
Perfectly
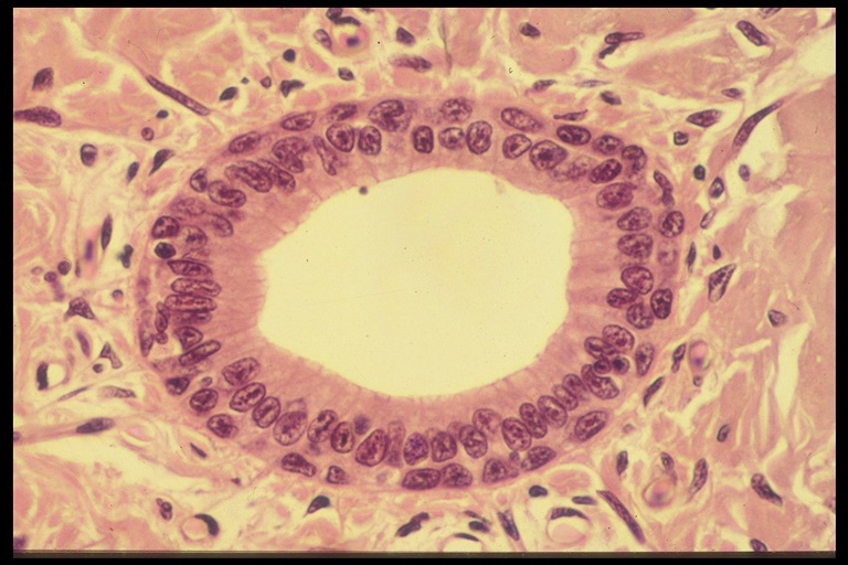
12
Q

Identify the tissue type

A

Epithelial Tissue

Stratified columnar

Gland/ duct

How well did you know this?
1
Not at all
2
3
4
5
Perfectly
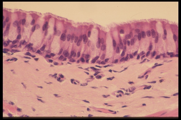
13
Q

Identify the tissue type

A

Epithelial tissue

Pseudostratified columnar

Trachea

How well did you know this?
1
Not at all
2
3
4
5
Perfectly
14
Q

Identify the tissue type

A

Epithelial tissue

Transitional

Urinary tract

How well did you know this?
1
Not at all
2
3
4
5
Perfectly
15
Q

What is the main function of simple epithelium and where can it be found?

A

Absorption, filtration and secretion

Kidney

How well did you know this?
1
Not at all
2
3
4
5
Perfectly
16
Q

What is the function of stratified epithelium?

A

Protection mostly but also secretion

Skin, glands and ducts

17
Q

What is the function of pseudostratified epithelium and where can it be found?

A

Movement and secretion

Respiratory tract

18
Q

State the function of connective tissue and an example of where it can be found

A

Connects and supports

Cartilage

19
Q

What are the defining histological characteristics of connective tissue?

A

Few cells
Cells apart from each other
Extracellular matrix composed of fibres and ground substance

ECM + Cells = Connective tissue

ECM determines structural and functional properties

20
Q

Name the 3 main types of connective tissue

A

Loose
Dense
Specialised

21
Q

Name the 2 kinds of loose connective tissue

A

Areolar
Adipose

22
Q

Name the 2 kinds of dense connective tissue

A

Regular
Irregular

23
Q

Identify the tissue type

A

Epithelial tissue

Simple epithelia

Blood vessel