Trends indicate that total tooth loss tends to occur in which areas
socia-economically deprived areas
•Periodontal disease although seen frequently in the elderly is not part of the ageing process but as a consequence of disease progression in the susceptible patient over a number of years
true or false
truse
at what pH would demineralisation occur
6.5
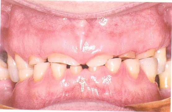
what is the cause of this condition

bruxism
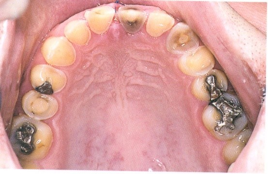
what may have caused this condition

abrasion
what may have caused this erosion

acid erosion through soft drinks
which teeth are affected the most through acid reflux
molars
erosive conditions excluding dietary include hiatus hernia, what is hiatus hernia
A hiatus hernia is when part of your stomach moves up into your chest. It’s very common if you’re over 50. It does not normally need treatment if it’s not causing you problems.
these medication induce which oral condition
antidepressants
antihypertensives
anxiolytics
medication induced xerostomia

which infections are common in patients with xerostomia
candida
calcium channel blockers
anti epileptic drugs
cyclosporin
the drugs listed above cause overgrowth of what in the mouth
gingival overgrowth
how many roots must a tooth have in order to qualify for a over denture
two
how much bone support must be available in order to qualify for an over denture
50%
