when would you need a partial denture
when there is some natural teeth in a jaw
when would you need complete full dentures
no natural teeth in a jaw
A prosthesis that replaces some teeth in a partially dentate arch. It can be removed from the mouth and replaced at will.
this statement describes what?
partial denture
partial dentures can be subdivided by the material they are made of. what are the two major types they are made of
PMMA and Cobalt/chromium
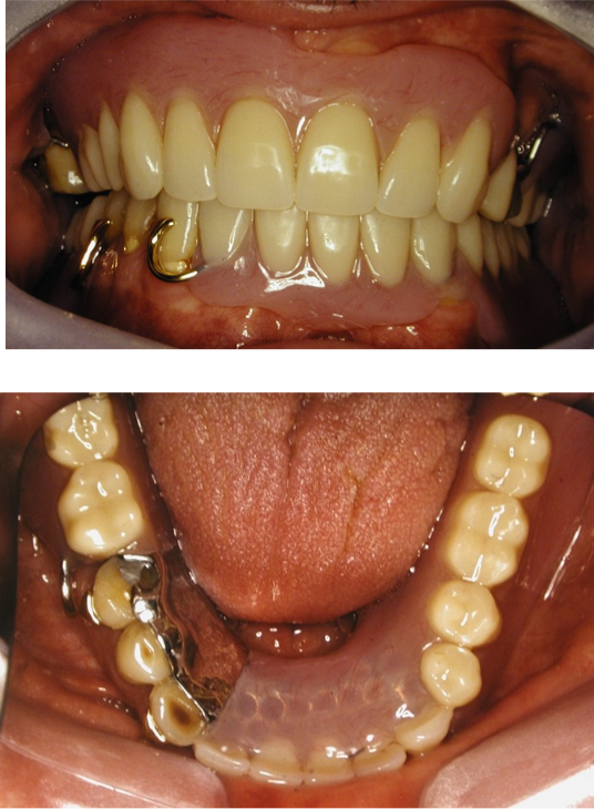
name this type of partial denture

PMMA Partial denture
name this type of partial denture

cobalt/chromium partial denture
what does PMMA stand for
polymethylmethacrylate
polymethylmethacrylate is commonly know as what
acrylic
why is there some form of weakness in this type of denture

this particular denture comprises of cobalt/chromium and PMMA. the PMMA teeth have to be bonded to it, and this causes a weakness.
weakness in materials = when one material has to be bonded to another.

there are many reasons as to why we make partial dentures, however what are the three main reasons they are made
appearance
speech
mastication
appearance in prosthodontics is sometimes refrred to as what?
Aesthetics
the tongue on the back of the teeth help with speech. which particular sounds does it help produce
and also which 3 letters does it help prounce

vowel sounds
F’s, V’s, and S’s
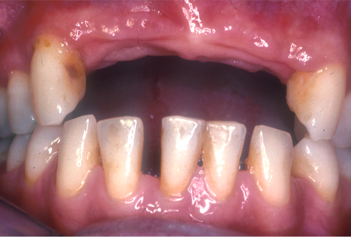
an upper and lower partial denture is required for this patient, for mastication as the primary reason, what other features will threse dentures improve

other features of improvement will be speech and appearance
sometimes when we make partial dentures for primary reasons, they can also have multitue improvements too.

how can you aquire a cleft palate if not congenitally
through cancer
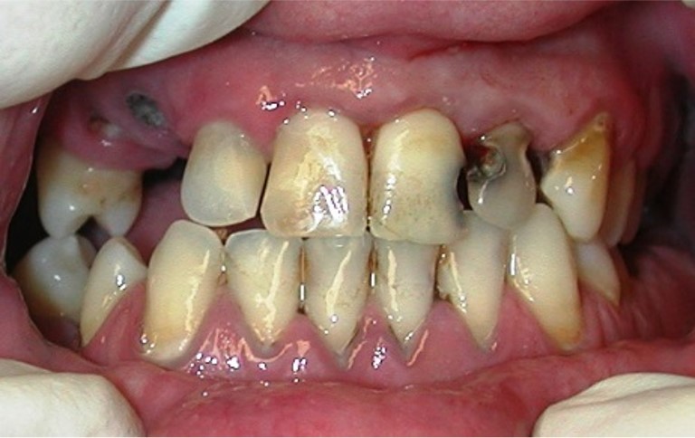
if we have space around teeth, then the teeth qhich has aquired space will have some form of movement, they will do one of three things
what are these three type of movements
they will
overerupt
drift
tilt

what has occured to this lower molar

due to their not being an upper molar present, the lower molar has over erupted
what is occuring to right central incisor

the right central incisor is drifting towards the midline

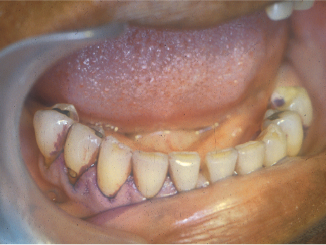
this is image indicates one of the most common movements of teeth after an extraction, what is happening
the tooth are undergoing tilting
the molar is is tilting mesially and the premolar distally
how does partial dentures increase the risk of caries

it is said that the use of partial dentures increases plaque retention. thus increasing caries
what does rocking of the denture cause
causes gum recession or “stripping”

this image shows a particular area of the oral mucosa that is more red compared to other regions.
this particular area indicates where a denture was sitting, what is the name of this condition

denture stomatitis
denture stomatis is caused by a fungal infection. what is the name of the fungi responsible for this condition

Candida albicans
the wearing of an upper partial denture full time (whilst a sleep) will eventually result in which oral mucosal problem
denture stomatitis

why do partial dentures often result in increased plaque levels

partial dentures are regarded as a foreign body and usually there is an increased affinity to anything foreign.