why is HTN a problem
high pressure damages the walls of arteries = blocked
risk of stroke, heart attack, heart and renal failure increases with BP
definition and classificiations of HTN

Mx of HTN
drug options
Evidence that 3 drugs at half standard dose better than 1 drug at normal dose

mx of HTN in people who already have heart disease
in tightly controlled group risk of heart attack by 2%
and risk of all death by 2%
therefore aggressive mx of BP in people with heart disease improves survival
add thiazide diuretic - in 100 people witj CAD will save 2 lives oevr 5yrs
intensive lifestyle modification
aspirin
high dose statin - atorvastatin 40-80mg od
aspirin and statin prevent secondary MI
optimal BP control
assessment for t2dm
S3 heart sound
s4 heart sound
Sound of atrial contraction – to overcome LV in ventricular hypertrophy or stiff ventrivle
Long standing HTN – muscle wall thicker and exercise hard against high pressure – grow thick inwards – v tall R waves. CXR normal – ie heart not bigger. S4 1 2 – Tennessee
what is galloping heart sounds
4 heart sounds – long standing HTN and then go into ischemia – have all 4 sounds – sound like a horse gallop – summation gallop of 3rd and 4th heart sound together
cardiac risk factors

BMI – obese
RF
BMI cut offs
U shaped curve shape of survival – underweight = more at risk of infectious disease
Asian health risk start to raise >23

immediate approach to long standing HTN
encourage regular exercise
If a pt with long standing stable HTN and sent to casualty –diet and exercise and BP fall. Give drugs – but SE so use non-drug methods 1st
If diastolic >140 – accelerated HTN if have other clinical signs – casualty, check few times, see if S4, ECG – tall R waves, examine eyes. If chronic want to bring just down below 140.
If bring down too quickly = stroke. Need to drop slowly – reduce salt and then start on treatment if persistently high
signs of chronic HTN
seen on fundoscopy - hypertensive retinopathy
S4
heaves - R side of heart push through lungs
bruits
LVH cant be seen o/e
grade 1 hypertensive retinopathy
silver wiring in middle of the artery, around the disk

grade 2 hypertensive retinopathy
AV nipping
Artery crossing the vein – vein is nipped ie vein narrows where artery is because pressure in artery compresses the vein

grade 3 hypertensive retinopathy
Flame shaped haemorrhages
Patches of ischemia and cotton wool spots
Ischemia – blood not reaching retina = cotton wool (fluffy)

grade 4 hypertensive retinopathy
When really severe
Papilloedema – cant see the disk – edge is not visible
Also in obstructive hydrocephalus
Hard exudates are for diabetic not for HTN - deposits of cholesterol
sx of retinopathy
none until suddenly blind
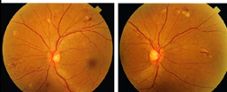
what grade of HTN

Grade 3 HTN because cotton wool and flame shaped haemorrhages
secondary causes of HTN
phaeochromocytoma
cushings
conns
acromegaly
renal artery stenosis
co-arctation of aorta
drugs - cocaine
co-arctation of the aorta
aorta gets narrowed below arch = poor blood flow to legs and kidneys – act like renal artery stenosis
basic Ix for HTN
So start with the K – if K not low it wont be conns, cushings, phaeo
summarise RAAs
ACE is in lungs


CONN’S SYNDROME
If conns = high alsosterone – increase pressure because retain salt – HTN will suppress the renin

RENAL ARTERY STENSOSIS
If K low – renal artery stenosis
Not conn’s because primary hyperaldosteronism,
This is secondary renal artery stenosis
Need ACE to vasoconstrict to maintain the eGFR


angiogram with renal artery stenosis that has since been fixed