Mx of overactive bladder
conservative
medical
surgery
summarise urinary retention
suddenly unable to pass urine - if pressure build up severely = pressure on kidney = obstructive nephropathy and renal failure - check UE and FBC, consider US
pain
catheterise - measure residual - know how acute: 600-800ml = acute. 3-4L = chronic and chance of detrouser functioning in future reduced
DRE - check for ca
culture - UTI common cause
cause of urinary retention and walking problems
cord compression - prostate mets
check neurology
refer for decompression immediately
what do you prescribe for urinary retention
AB
laxatives - if cause is constipation
A blocker if renal function normal and plan to remove catheter
if renal failure - dont remove catheter
admit and monitor urine output and replace fluids if obstructive nephropathy suspected
Mx of low pressure urinary retention
normal UE, Cr, no hydronephrosis
consider a blocker and trial w/o catheter
Mx of high pressure urinary retention
high UE and CR
bilateral hydronephrosis
measure UO, BP and body weight
<10% need fluid replacement
never trial without catheter
surgery or long term catheter to unblock the prostate to stop them going into renal failure
causes of detrouser overactivity
secondary to BPH, UTI, age related, sensitive to foodgps – caffeine/acidic things eg citrus, usually idiopathic
causes of haematuria
infection - UTI
cancer
medical - nephritic syndrome
trauma
kidney stones - rub against the urothelium = microscopic haematuria
approach to haematuria
resusitate including transfusion
3 way catheter
need to wash out the clots to completeness otherwise they carry on bleeding (clots splint open the BV) - saline and water
Hx Ex
bloods including clotting and G&S; KUB
MSU if infection signs (dysuria and temp) - AB
RF for bladder cancer
smoking
criteria for admission with haematuria
frank haematuria with clots
drop in Hb
social circumstances
haematuria clinic
2 week wait
If just passing blood in urine and Hb and renal func fine
haematuria Ix
FBC, clotting, UE
MSU MC&S
urine cytology
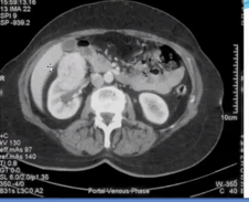
CT urogram (contrast enhanced urogram to check for abnormality in kidney parenchyma)/KUB US
flexible cystoscopy - have to wait until bleeding stops

Renal cell ca from cortext of the kidney
Iff transitional it would be from the pelvis

bladder cancer - looks like seaweed
presentation of ureteric colic
loin pain
soft abdo
microscopic haematuria
causes of ureteric colic
stones
TCC
blood clot
RPF
?BPH/CaP
ddx for ureteric colic
AAA
testicular torsion
perforated PU
appendicitis
ruptured ectopic
MI
diverticulitis
prostatitis
Mx of ureteric colic
analgesia - morphine +- anti-emetic. Diclofenac if creatinine normal
if stoen <10mm, pain controlled, no sepsis - 2week trial of tamsulosin relaxes sm around distal part of the ureter – help improve spontaneous passage of small ureteric stones
follow up with KUB or IVU or CT KUB - 2weeks if significant obstruction or stones >5mm. otherwise 4weeks
high fluid intake
normal diet - dont cut out dairy
A and E if pain not controlled or pyrexia