Lucent and opaque
Lucent is not blocking the x-rays and opaque blocks them
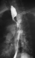
How does a barium study help you figure out whats going on in this image?

It coats the lining of the gut with barium. Smooth contrast shows normal esophagus, rough contrast shows esophageal cancer.
What are the three body planes?
*

What shows up dark in ultrasound imaging?
Fluid
What are the correct terms for CT contrast?
Attenuation. High attenuation is light and low attenuation is dark.
What are the correct terms for MRI contrast?
Signal intensity. Hyperintense = bright, hypo intense = dark
T1
Fat and blood is brightest
T2
Water is brightest